Adenocarcinoma
| Adenocarcinoma | ||
|---|---|---|
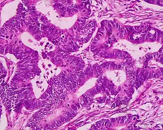
![]() Adenocarcinoma rectal altamente diferenciado (histopatología) | ||
| Especialidad | oncología | |
Un adenocarcinoma (ADC)[1] es un carcinoma que tiene su origen en células que constituyen el revestimiento interno de las glándulas de secreción externa.[2][3] Estas células son las encargadas de sintetizar y de verter los productos que generan en la luz glandular.
Varias de las formas más comunes de cáncer son adenocarcinomas, y los diversos tipos de adenocarcinoma varían enormemente en todos sus aspectos, por lo que se pueden hacer pocas generalizaciones útiles sobre ellos.
El adenocarcinoma es la contrapartida maligna del adenoma, que es la forma benigna de tales tumores. A veces los adenomas se transforman en adenocarcinomas, pero la mayoría no lo hace.
Los adenocarcinomas bien diferenciados tienden a parecerse al tejido glandular del que se derivan, mientras que los adenocarcinomas mal diferenciados pueden no serlo. Al teñir las células de una biopsia, un patólogo puede determinar si el tumor es un adenocarcinoma o algún otro tipo de cáncer. Los adenocarcinomas pueden surgir en muchos tejidos del cuerpo debido a la naturaleza ubicua de las glándulas dentro del cuerpo y, más fundamentalmente, a la potencia de las células epiteliales.
Fisiopatología
Los adenocarcinomas son un conjunto de cánceres muy frecuentes puesto que se originan en un tipo de células que se encuentran en continua división celular y que presentan mayor riesgo de mutaciones.
Pueden presentarse inicialmente en forma de adenoma (un tumor glandular que es benigno).[4]
Localización
Entre los adenocarcinomas más frecuentes se encuentran:
- Adenocarcinoma de pulmón.
- Adenocarcinoma de próstata. Supone más del 95 % de los cánceres de próstata.
- Adenocarcinoma de colon. Casi todos los cánceres de colon.
- Adenocarcinoma de mama. Existen muchos subtipos de carcinomas de mama, siendo el carcinoma ductal infiltrante el más frecuente.
- Enfermedad de Paget extramamaria. Adenocarcinoma de piel extramamario.
- Adenocarcinoma de estómago.
- Adenocarcinoma de páncreas.
- Adenocarcinoma renal.
- Adenocarcinoma de endometrio.
Mama
La mayoría de los cánceres de mama empiezan en los conductos o lóbulos, y son adenocarcinomas. Los tres tipos histopatológicos más comunes representan en conjunto aproximadamente tres cuartas partes de los cánceres de mama:
- Carcinoma ductal invasivo: 55 % de los cánceres de mama[5]
- Carcinoma ductal in situ: 13 % [5]
- Carcinoma lobular invasivo: 5 % [5]
Colon
La gran mayoría de los cánceres colorrectales son adenocarcinomas. Esto se debe a que el colon tiene numerosas glándulas dentro del tejido. Las glándulas normales del colon tienden a ser simples y tubulares en apariencia, con una mezcla de células caliciformes que secretan moco y células que absorben agua. Estas glándulas se llaman glándulas porque secretan una sustancia en el lumen del colon, esta sustancia es moco. El propósito de estas glándulas es doble. El primero es absorber el agua de las heces y devolverla a la sangre. El segundo propósito es secretar moco en el lumen del colon para lubricar las heces que en ese momento están deshidratadas. Esto es crucial ya que una falla en la lubricación de las heces puede resultar en un daño al colon por las heces al pasar hacia el recto.[6]
Cuando estas glándulas experimentan una serie de cambios a nivel genético, proceden de manera predecible al pasar de un cáncer de colon benigno a uno invasivo y maligno. En su trabajo de investigación «Lecciones del cáncer colorrectal hereditario», Vogelstein y otros sugirieron que las células del colon pierden el gen supresor de tumores APC y se convierten en un pequeño pólipo. Luego, sugirieron que él se activa k-Ras y el pólipo se convierte en un pequeño adenoma benigno. El adenoma, al que le falta el «carcinoma» unido a su extremo, sugiere que es una versión benigna del adenocarcinoma maligno. El gastroenterólogo realiza una colonoscopia para encontrar y extirpar estos adenomas y pólipos para evitar que continúen adquiriendo cambios genéticos que conducirán a un adenocarcinoma invasivo. Vogelstein y otros sugieren que la pérdida del gen del CCD y de la p53 da lugar a un adenocarcinoma maligno.[7]
Habrá una masa de un color diferente al del tejido circundante. La hemorragia del tumor es a menudo aparente ya que el tumor tiende a hacer crecer los vasos sanguíneos en él de manera aleatoria a través de la secreción de un número de factores promotores de la angiogénesis como el VEGF. Histológicamente, los tumores que se asemejan a las estructuras originales se clasifican como bien diferenciados. Las células tumorales que han perdido cualquier parecido con el tejido original, tanto en apariencia como en forma de estructura, se denominan células tumorales poco diferenciadas. Independientemente del grado, los tumores malignos tienden a tener un núcleo grande con nucleolos prominentes. También habrá un notable aumento de la incidencia de mitosis, o divisiones celulares.
Pulmón

Cerca de 40 % de los cánceres de pulmón son adenocarcinomas, que suelen originarse en el tejido pulmonar periférico.[9] La mayoría de los casos de adenocarcinoma están relacionados con el tabaquismo; sin embargo, entre las personas que han fumado menos de 100 cigarrillos en su vida («no han sido fumadores»),[10] el adenocarcinoma es la forma más común de cáncer de pulmón.[11] Un subtipo de adenocarcinoma, el carcinoma bronquioloalveolar, es más común en las mujeres que nunca han fumado y puede tener una mejor supervivencia a largo plazo.[12]
Este cáncer suele verse en la periferia de los pulmones, a diferencia del cáncer de pulmón de células pequeñas y del cáncer de pulmón de células escamosas, que ambos tienden a estar más centralizados.[13][14]
Otros
- Colangiocarcinoma, o cáncer del conducto biliar
- Cáncer de vagina
- Cáncer del uraco
- Cáncer de estómago
- Cáncer de próstata
Véase también
Referencias
- ↑ De adeno-, ‘glándula’, karkin(o)-, ‘canceroso’, y -oma, ‘tumor’.
- ↑ Vega, Jose Luis Sanchez; Garrido, Aida Medina; Collantes, Daniel Rastrollo. Cáncer de mama en las primíparas añosas. Lulu.com. ISBN 9781291061000. Consultado el 4 de febrero de 2018.
- ↑ Chiozza, Luis (2010). Cáncer: ¿Por qué a mí, por qué ahora? / Why Me, Why Now?. Libros del Zorzal. ISBN 9789875991590. Consultado el 4 de febrero de 2018.
- ↑ Melloni, Biagio John; Dox, Ida; Eisner, Gilbert M. (1982). Diccionario médico ilustrado de Melloni. Reverte. ISBN 9788429155488. Consultado el 4 de febrero de 2018.
- ↑ a b c Percentage values are from United States statistics 2004. Subtype specific incidences are taken from Table 6 (invasive) and Table 3 (in situ) from Eheman CR, Shaw KM, Ryerson AB, Miller JW, Ajani UA, White MC (Junio de 2009). «The changing incidence of in situ and invasive ductal and lobular breast carcinomas: United States, 1999–2004». Cancer Epidemiol. Biomarkers Prev. 18 (6): 1763-1769. PMID 19454615. doi:10.1158/1055-9965.EPI-08-1082.. These are divided by total breast cancer incidence (211,300 invasive and 55,700 in situ cases) as reported from Breast Cancer Facts & Figures 2003–2004 «Archived copy». Archivado desde el original el 15 de abril de 2009. Consultado el 15 de junio de 2010.
- ↑ Heath JE, Young B, Wheater PR, Lowe JN, Stevens A (2006). Wheater's Functional histology: a text and colour atlas (5th edición). Edinburgh: Churchill Livingstone Elsevier. p. 283. ISBN 978-0-443-06850-8.
- ↑ Kinzler KW, Vogelstein B (October 1996). «Lessons from hereditary colorectal cancer». Cell 87 (2): 159-170. PMID 8861899. doi:10.1016/S0092-8674(00)81333-1.
- ↑ Smokers defined as current or former smoker of more than 1 year of duration. Reference: Table 2 in: Kenfield SA, Wei EK, Stampfer MJ, Rosner BA, Colditz GA (20081). «Comparison of aspects of smoking among the four histological types of lung cancer.». Tob Control 17 (3): 198-204. PMC 3044470. PMID 18390646. doi:10.1136/tc.2007.022582.
- ↑ Lu, C; Onn A, Vaporciyan AA (2010). «78: Cancer of the Lung». Holland-Frei Cancer Medicine (8th edición). People's Medical Publishing House. ISBN 978-1-60795-014-1.
- ↑ Horn, L; Pao W; Johnson DH (2012). «Chapter 89». En Longo, DL; Kasper, DL; Jameson, JL; Fauci, AS; Hauser, SL; Loscalzo, J, eds. Harrison's Principles of Internal Medicine (18th edición). McGraw-Hill. ISBN 978-0-07-174889-6.
- ↑ Subramanian, J; Govindan R (February 2007). «Lung cancer in never smokers: a review». Journal of Clinical Oncology 25 (5): 561-570. PMID 17290066. doi:10.1200/JCO.2006.06.8015.
- ↑ Raz, DJ; He B; Rosell R; Jablons DM (March 2006). «Bronchioloalveolar carcinoma: a review». Clinical Lung Cancer 7 (5): 313-322. PMID 16640802. doi:10.3816/CLC.2006.n.012.
- ↑ Chapter 13, box on morphology of adenocarcinoma in: Mitchell, Richard Sheppard; Kumar, Vinay; Abbas, Abul K.; Fausto, Nelson (2007). Robbins Basic Pathology. Philadelphia: Saunders. ISBN 978-1-4160-2973-1. 8th edition.
- ↑ Travis WD, Travis LB, Devesa SS (January 1995). «Lung cancer». Cancer 75 (1 Suppl): 191-202. PMID 8000996. doi:10.1002/1097-0142(19950101)75:1+<191::AID-CNCR2820751307>3.0.CO;2-Y.
_H%2526E_magn_400x.jpg)