Carcinoma lobulillar infiltrante
| Carcinoma lobulillar infiltrante | ||
|---|---|---|
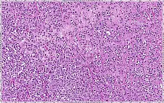
![]() Imagen de células tumorales correspondientes a un carcinoma lobulillar invasor. Se trata de células pequeñas, con citoplasma poco abundante, dispuestas en hileras ('fila india') o en forma de nido. | ||
| Especialidad |
oncología dermatología | |
| Sinónimos | ||
|
Carcinoma lobulillar invasor Carcinoma lobulillar invasivo | ||
.jpg)
El carcinoma lobulillar infiltrante, carcinoma lobulillar invasor o carcinoma lobulillar invasivo[Nota 1] es un carcinoma con origen en los acinos glandulares de las glándulas mamarias, cuyas células proliferan rompiendo la membrana basal e infiltrando los tejidos adyacentes. Es decir, en el carcinoma lobulillar infiltrante, el cáncer se disemina desde los lobulillos mamarios hasta el tejido normal circundante. Este tipo de cáncer representa aproximadamente el 5% de todos los cánceres malignos.[1] La edad de las mujeres en que se diagnostica este cáncer con mayor frecuencia es entre los 45 y los 56 años, aunque se verifican casos en prácticamente todas las edades, entre los 28 y los 86 años.[2]
Representa el 5-10% del total de cánceres de mama.[3][4][5]
Con frecuencia, el carcinoma lobulillar infiltrante puede encontrarse en más de una región del mismo seno (multicéntrico) o bien en ambos senos (bilateral),[5] esto último entre 6 y 28%.[6]
Histopatología
Vistas al microscopio, las células de este tumor son pequeñas,[1] con núcleos regulares y redondos y con nucléolos discretos. Las mitosis son escasas y el citoplasma poco abundante que, a veces, muestra vacuolas que contienen mucina.[1] Se disponen formando hileras ('fila india'),[1] o rodeando estructuras ductales normales (patrón 'en diana'). La presencia de carcinoma lobulillar 'in situ' se considera un factor de riesgo para desarrollar un carcinoma infiltrante de mama, siendo la mayoría de tipo histológico ductal.[7]
Diagnóstico
Al invadir el estroma de manera lineal, con escasa reacción desmoplásica circundante,[Nota 2] el carcinoma lobulillar infiltrante puede pasar desapercibido frente a métodos de detección físico-clínicos,[8] en particular en los primeros estadios en los que este tipo de cáncer no resulta aparente al tacto, como así también frente a los métodos mamográficos.[6] La mamografía no muestra signos de sospecha hasta en un 40% de los casos, debido al patrón de crecimiento difuso del tumor que resulta enmascarado por el parénquima glandular.[9] También puede pasar inadvertido en los primeros estadios de lesiones no palpables. Las ecografías pueden no coadyuvar a un diagnóstico temprano, al presentar este carcinoma como áreas hipoecogénicas de márgenes imprecisos y mala transmisión acústica.[10] La resonancia magnética es más precisa para definir la extensión histológica del cáncer lobulillar invasor resecado en comparación con la mamografía.[6] Las biopsias realizadas con punción-aspiración con aguja fina, cuando son correctamente efectuadas sobre tumores de mama palpables, permiten obtener suficiente material citológico para realizar un adecuado diagnóstico.[11] Por su parte, las biopsias con aguja gruesa o biopsias "core" facilitan la detección.
Tratamiento
El protocolo de tratamiento del carcinoma lobulillar infiltrante o invasivo requiere en general de mastectomía. Se contraindica de forma absoluta la cirugía conservadora del seno en los siguientes casos:[12]
- cuando el tumor es > 4 cm;
- con multicentricidad clínico patológica o radiológica;
- con microcalcificaciones difusas que comprometan el seguimiento;
- con embarazo en el primero o segundo trimestre.
- con borde positivo en la reexcisión.
La aplicación de radioterapia y quimioterapia, como la ocasión, técnica, dosis y/o duración de cada tratamiento, depende de cada caso particular.[12] Igualmente, la mastectomía podría diferirse a favor de la aplicación de radioterapia o quimioterapia, dependiendo entre otros factores del grado de avance de la enfermedad.[12] En etapas avanzadas, el cáncer puede diseminarse hasta otras partes del cuerpo a través de los sistemas sanguíneo y linfático.[13]
Notas
- ↑ Existen dos tipos de carcinomas de mama posibles: los invasores, invasivos o infiltrantes, y los no invasores o in situ. Los invasores son aquellos que, en su crecimiento, superan las paredes de la estructura en la que se encuentran para expandirse a los tejidos circundantes. Así, el carcinoma lobulillar infiltrante rompe la membrana de los lobulillos de los senos e infiltra o invade -de allí su nombre- los tejidos adyacentes.
- ↑ En general en el cáncer, la reacción del estroma (tejido conjuntivo) es similar a la reacción del estroma inducida por lesiones o heridas. Frente a muchos tipos de cáncer, el cuerpo suele reaccionar de manera similar a lo que sucede con una herida, causando tejido cicatricial alrededor del cáncer. Así, la desmoplasia se asocia con tumores malignos. Sin embargo, en el caso del carcinoma lobulillar infiltrante suele haber escasa reacción desmoplásica, lo que significa que no se estimula el desarrollo del tejido conjuntivo o fibroso, dificultando la detección física.
Referencias
- ↑ a b c d Rodríguez Costa, Julio; Vázquez, Domingo de Agustín (1997). Punción aspiración con aguja fina de órganos superficiales y profundos. Madrid: Ediciones Díaz de Santos. p. 186. ISBN 84-7978-289-7.
- ↑ Rosen, Paul Peter; Hoda, Syed A. (2010). «Invasive Lobular Carcinoma». Breast Pathology: Diagnosis by Needle Core Biopsy (en inglés). Filadelfia: Mc Millan Co. p. 263. ISBN 978-1-60831-670-0.
- ↑ Pointon, K.S.; Cunningham, D.A. (agosto de 1999). «Ultrasound findings in pure invasive lobular carcinoma of the breast: comparison with matched cases of invasive ductal carcinoma of the breast». Breast 8 (4): 188-90. PMID 14731438. doi:10.1054/brst.1999.0042.
- ↑ Boughey, J.C.; Wagner ,J.; Garrett, B.J.; et al (marzo de 2009). «Neoadjuvant Chemotherapy in Invasive Lobular Carcinoma May Not Improve Rates of Breast Conservation». Annals of Surgical Oncology 16 (6): 1606-1611. PMID 19280264. doi:10.1245/s10434-009-0402-z.
- ↑ a b Díaz-Rubio, Eduardo; García-Conde, Javier (2000). Oncología clínica básica. Madrid: Arán Ediciones. p. 373. ISBN 84-86725-60-7. «[...] comprende aproximadamente el 10% de los cánceres de mama [...] mayor proporción de tumores multicéntricos, que se manifiestan en la misma mama o en la contralateral.»
- ↑ a b c Siegelman, Evan S. (2007). Resonancia magnética: tórax, abdomen y pelvis, aplicaciones clínicas. Buenos Aires: Editorial Médica Panamericana. p. 502. ISBN 978-950-06-0445-1. «[...]dificultad para reconocer el tumor, en forma clínica o mamográfica [...] presenta una tendencia elevada hacia la bilateralidad (entre 6 y 28%) [...] la RM (resonancia magnética) es más precisa para definir la extensión histológica del cáncer lobulillar invasor resecado en comparación con la mamografía.»
- ↑ Andreu Martínez, F. J.; Martínez Mateu, J. M. (2006). «Papel de la radioterapia en el tratamiento del carcinoma in situ de mama». Oncología (Barcelona) 29 (8): 34-40. ISSN 0378-4835.
- ↑ Jiménez, Miguel Martín (2009). Cáncer de mama (2ª edición). Madrid: Arán Ediciones. p. 31. ISBN 978-84-96881-75-4.
- ↑ del Cura, J. L.; Pedraza, S.; Gayete, A. (2009). Radiología Esencial, Tomo II. Buenos Aires: Editorial Médica Panamericana. p. 953. «Hasta en un 40% de los casos, la mamografía no muestra signos de sospecha debido al patrón de crecimiento tumoral difuso que queda enmascarado en el parénquima glandular.»
- ↑ del Cura, J. L.; Pedraza, S.; Gayete, A. (2009). Radiología Esencial, Tomo II. Buenos Aires: Editorial Médica Panamericana. p. 953. «Se puede presentar como áreas hipoecogénicas de márgenes imprecisos y mala transmisión acústica.»
- ↑ Rodríguez Costa, Julio; Vázquez, Domingo de Agustín (1997). Punción aspiración con aguja fina de órganos superficiales y profundos. Madrid: Ediciones Díaz de Santos. p. 203. ISBN 84-7978-289-7.
- ↑ a b c Hospital Donostia (ed.). Protocolo de tratamiento del cáncer de mama. Osakidetza, Servicio vasco de salud. pp. 15-24.
- ↑ Instituto Nacional del Cáncer de los Institutos Nacionales de la Salud de EE. UU. «Carcinoma lobulillar». Consultado el 24 de octubre de 2014.
Bibliografía
- Rosen, Paul Peter; Hoda, Syed A. (2010). «Invasive Lobular Carcinoma». Breast Pathology: Diagnosis by Needle Core Biopsy (en inglés). Filadelfia: Mc Millan Co. pp. 263-272. ISBN 978-1-60831-670-0.
- Arpino, Grazia; Bardou, Valerie J.; Clark, Gary M.; Elledge, Richard M. (2004). «Infiltrating lobular carcinoma of the breast: tumor characteristics and clinical outcome». Breast Cancer Research (en inglés) 6 (3): R149-R156. Consultado el 25 de octubre de 2014.
Enlaces externos
Wikimedia Commons alberga una categoría multimedia sobre Carcinoma lobulillar infiltrante.
