Cáncer de endometrio
| Cáncer de endometrio | ||
|---|---|---|
![]() Adenocarcinoma endometrial grado III: invadiendo más de la mitad del músculo uterino. | ||
| Especialidad | oncología | |
| Sinónimos | ||
| ||
El cáncer de endometrio incluye un conjunto de variantes malignas que provienen del endometrio o revestimiento del útero. El cáncer endometrial es muy frecuente en países desarrollados; el tipo más común es el adenocarcinoma endometriode, que ocurre por lo general pocas décadas después del inicio de la menopausia y está asociado a una excesiva exposición al estrógeno. Con frecuencia el cáncer de endometrio se desarrolla en la forma de una hiperplasia endometrial, presentándose principalmente con metrorragia. El carcinoma de endometrio es una causa común de muerte debido a un cáncer ginecológico, generalmente por detrás del cáncer de ovario y el cáncer cervical. El abordaje terapéutico más frecuente es la remoción quirúrgica del útero —histerectomía abdominal total— y sus anexos —salpingooforectomía bilateral—, que incluye ovarios y las trompas de Falopio.
Debido a que se puede desarrollar cáncer en otras porciones del útero además del endometrio, el término «cáncer de útero» no es apropiado para referirse exclusivamente al cáncer de endometrio.
Epidemiología
El cáncer de endometrio ocurre tanto en mujeres premenopáusicas (25 %), como en mujeres postmenopáusicas (75 %). La edad afectada más comúnmente está entre los 50 y los 59 años, y es raro ver casos en mujeres menores de 40 años.[1] La mayoría de los tumores (75 %) se detectan en estadios tempranos (I-II), por lo que el pronóstico y la morbilidad están en declive.[2][3]
La incidencia de cáncer endometrial en mujeres está entre 15-25/100 000.[2] La incidencia tiene un pico entre las edades de 60 y 70 años, pero entre el 2 % y 5 % de los casos pueden ocurrir antes de los 40 años de edad. Un riesgo mayor de la aparición de cáncer de endometrio ha sido notado en mujeres con niveles elevados de estrógeno natural.[4]
Una hiperplasia atípica y compleja conlleva un riesgo cercano al 30 % de contraer cáncer de endometrio, mientras que una hiperplasia simple y no compleja tiene un riesgo tan solo del 2-3 %. A pesar de que el fumar cigarrillos aumenta el riesgo de muerte temprana, las mujeres que fuman un paquete de cigarrillos al día tienen un menor riesgo de contraer cáncer de útero.[5]
Etiología
La mayoría de las mujeres con cáncer endometrial tienen una historia de niveles elevados de estrógenos sin oposición.[6] Una de las funciones normales del estrógeno es estimular el crecimiento del revestimiento endometrial. Un exceso de la actividad de estrógeno, en especial acompañado de insuficientes niveles del opositor natural del estrógeno, la progesterona, puede producir hiperplasia endometrial, que es un precursor de cáncer.
Una elevación de los niveles de estrógeno puede ser debido a:
Otras condiciones asociadas al cáncer de endometrio incluyen:
Se ha notado un mayor riesgo en los siguientes casos:
- Mujeres nulíparas; es decir, que nunca han llegado a un embarazo;[5]
- Infertilidad o la incapacidad de quedar embarazada;
- Menarquia precoz, comienzo de la menstruación a una muy temprana edad;
- Menopausia tardía, la cesación de la menstruación a una muy tardía edad.[1]
Se ha notado que las mujeres con un historial de pólipos endometriales u otros crecimientos benignos del revestimiento uterino, así como mujeres postmenopáusicas que usan terapia de reemplazo de hormonas estrogénicas —especialmente si no toman conjuntamente la progestina periódica[7]— y mujeres con diabetes,[5] tienen un riesgo mayor de contraer cáncer del endometrio.
El medicamento tamoxifeno, usado para el tratamiento del cáncer de mama, puede también aumentar el riesgo de cáncer endometrial.[8]
Clasificación

La mayoría de los tipos de cáncer de endometrio son carcinomas —por lo general (95 %) adenocarcinomas—, queriendo decir que se originan de la capa única de células del epitelio que reviste al endometrio, así como también de las glándulas endometriales.[9] Existen varios subtipos histopatológicos del carcinoma endometrial, incluyendo la forma común tipo endometrioide, en la que las células cancerígenas crecen en patrones similares al endometrio normal, así como las formas más agresivas tipo seroso papilar y células claras. Algunas fuentes han propuesto que los carcinomas de endometrio sean clasificados en dos grupos patogénicos:[10]
- Tipo I: Este tipo de cáncer ocurre con más frecuencia en mujeres en las etapas pre y perimenopáusicas, usualmente con una historia de exposición de estrógeno sin oposición y/o hiperplasia de endometrio. A menudo son mínimamente invasivas en las profundidades del endometrio, y tienen estadificación endometrioide baja, por lo que presentan un buen pronóstico.
- Tipo II: Son cánceres que ocurren en mujeres en su vejez postmenopáusica, muy comunes en afroamericanas y no tienden a estar asociadas a la exposición de estrógenos. Típicamente tienen una estadificación endometrioide elevada, son papiloserosos o de tipo células claras y presentan un pronóstico pobre.
En contraste a los carcinomas endometriales, el menos frecuente sarcoma del estroma endometrial es un tipo de cáncer que se origina en el tejido conjuntivo no glandular del endometrio. El carcinosarcoma uterino, antes llamado tumor muleriano mixto maligno, es un cáncer uterino raro que contienen células cancerosas tanto del tipo glandular como las de apariencia sarcomatosas —en este caso el origen de las células es desconocido—.[11]
Subtipos
- Endometrioide: se da en mujeres premenopáusicas y posmenopáusicas. Requiere de un estímulo estrogénico y generalmente tiene un buen pronóstico. Se encuentran alteraciones en los genes PTEN, KRAS, ß-catenina y ARID1A, así como inestabilidad en los microsatélites de los cromosomas afectados.
- Seroso: se da en mujeres posmenopáusicas. Es un subtipo más agresivo y suele dar metástasis e invadir tejidos como el miometrio. No está relacionado con hiperplasia de células endometriales o con una respuesta a estrógenos. Se encuentran alteraciones en el gen p53.
Cuadro clínico
- Sangrado uterino anormal, períodos menstruales anormales;
- Sangrado entre los períodos normales en mujeres premenopáusicas;
- Sangrado vaginal y/o manchado en mujeres postmenopáusicas;[1] en mujeres mayores de 40 años, episodios extremadamente largos, frecuentes y voluminosos de sangrado pueden indicar cambios malignos;
- Anemia, causada por la pérdida crónica de sangre, en especial si la paciente ha ignorado los síntomas de un sangrado menstrual prolongado o anormalmente frecuente
- Dolor abdominal bajo o calambres intra-pélvicos[6]
- Dolor durante las relaciones sexuales[4]
- Flujo vaginal blanquecino o incoloro en mujeres postmenopáusicas.
Diagnóstico
Evaluación clínica
Los chequeos de rutina en mujeres asintomáticas no está indicado, por razón de que la enfermedad es curable desde sus estadios iniciales. Los resultados de un examen pélvico por lo general salen normales, especialmente temprano en la enfermedad. Los cambios de tamaño, forma o consistencia del útero y/o sus alrededores y estructuras de soporte pueden ocurrir cuando la enfermedad está en estadios más avanzados.
- Una prueba de Papanicolaou puede verse normal o,[6] en ocasiones, mostrar cambios celulares anormales;
- El legrado endometrial es el método diagnóstico tradicional. Tanto la muestra del endometrio como endocervical debe ser estudiado;
- Si legrado endometrial no produce suficiente material de diagnóstico, una dilatación y legrado (D & L) sería necesaria para diagnosticar el cáncer.
- Una biopsia endometrial o una biopsia por aspiración puede ayudar en el diagnóstico;
- El ultrasonido transvaginal para evaluar el grosor del endometrio en mujeres postmenopáusicas que estén sangrado se ha estado usado con mayor frecuencia para evaluar el cáncer de endometrio;[1]
- Recientemente, se ha presentado un nuevo método de examen llamado el TruTest, el cual usa un pequeño cepillo que rastrea el revestimiento completo del útero. Este método resulta menos doloroso que la biopsia y tiene una mayor probabilidad de procurar suficiente tejido para hacer el examen. Por razón de que es un procedimiento más sencillo y menos invasivo, el TruTest puede ser realizado con la misma frecuencia y conjuntamente con un Papanicolaou, permitiendo así una temprana detección y tratamiento.
Anatomía patológica
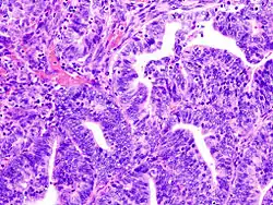
.jpg)
La histopatología del cáncer endometrial es altamente diversa. El hallazgo más común es el adenocarcinoma endometrial bien diferenciado, el cual está compuesto por numerosas glándulas pequeñas, congestionadas con variados grados de atipia nuclear, actividad mitótica y estratificación. A menudo está situado en un fondo de hiperplasia endometrial. Los francos adenocarcinomas pueden distinguirse de la hiperplasia endometrial por el hallazgo de una clara invasión del estroma o por glándulas muy juntas (espalda-a-espalda) los cuales representan el reemplazo no destructivo del estroma endometrial por el cáncer. Con la progresión de la enfermedad, el miometrio llega a ser infiltrado.[11]
Evaluación adicional
Las pacientes con un recientemente diagnosticado cáncer de endometrio, por lo general no proceden con estudios de radiología, tales como TAC, para evaluar el grado extensión de la enfermedad, puesto que los resultados no son productivos. Una evaluación pre-operativa idealmente incluye un historial médico completo y un examen físico, una evaluación pélvica, un examen rectal con sangre oculta, rayos X tórax, hematología completa y química sanguínea, incluyendo función hepática. Se recomienda una colonoscopia si la sangre oculta de heces resulta positiva o si la paciente tiene síntomas, debido a los factores etiológicos comunes tanto del cáncer de endometrio y el cáncer de colon. Ocasionalmente se evalúa el marcador tumoral CA-125, puesto que puede predecir los estadios avanzados de la enfermedad.[12]
Estadificación
El carcinoma endometrial se examina quirúrgicamente usando el sistema de estadios de la Federación Internacional de Ginecología y Obstetricia:[6]
- Estadio IA: el tumor está limitado al endometrio
- Estadio IB: invasión de menos de la mitad del miometrio
- Estadio IC: invasión de más de la mitad del miometrio
- Estadio IIA: está involucrado el endocervix solo hasta la capa glandular
- Estadio IIB: estroma cervical está comprometido
- Estadio IIIA: el tumor invade la membrana serosa o anexos, o se consigue una citología peritoneal maligna
- Estadio IIIB: metástasis vaginal
- Estadio IIIC: metástasis hacia la pelvis o los ganglios linfáticos para-aórticos
- Estadio IVA: invasión de la vejiga urinaria o el aparato digestivo
- Estadio IVB: metástasis distante, incluyendo los ganglios linfáticos intra-abdominales o inguinales
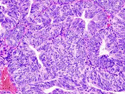
Tratamiento
.jpg)
El tratamiento primario es quirúrgico, que consiste en, al menos un muestreo citológico del fluido peritoneal, exploración abdominal, palpación y biopsia de algún nódulo linfático, histerectomía abdominal y remoción de ambos ovarios y trompas de Falopio (denominado salpingooforectomía).[1] La linfadenectomía o el remover los nódulos linfáticos pélvicos y para-aórticos, se realiza a veces para tumores que tiene características de alto riesgo, tales como un tumor patológico seroso o de células claras grado III, la invasión de más de la mitad del miometrio o la extensión hacia la cérvix o anexos. A menudo, puede ser indicado el remover el omento.
Se prefiere la histerectomía abdominal por encima de la vaginal, porque permite al examinador evaluar y obtener lavados de la cavidad abdominal y detectar así mayor evidencia del cáncer.
Las mujeres con el estadio 1 de la enfermedad están a un aumentado riesgo de recurrencia, y las pacientes en el grado 2 se les ofrece a menudo la combinación quirúrgica con terapia de radiación. La quimioterapia puede ser considerada en algunos casos, especialmente en estadios 3 y 4 de la enfermedad. La terapia de reemplazo hormonal con progestinas y antiestrógenos ha sido usada para el tratamiento de sarcomas del estroma endometrial.[13]
Complicaciones del tratamiento
Durante la operación o una biopsia o un legrado pueden presentarse perforaciones del útero.
Grupos de apoyo
El estrés causado por tener cáncer puede ser aliviado cuando la paciente se une a un grupo de apoyo donde sus miembros comparten experiencias comunes, problemas y opciones para las soluciones.
Pronóstico
Debido a que el cáncer de endometrio es usualmente diagnosticado en sus estadios iniciales (de 70 a 75 % de los casos están en el estadio 1 para el momento del diagnóstico; 10-15 % de los casos están en el estadio 2; 10-15 % de los casos en los estadios 3 o 4), hay una mejor probabilidad de un buen pronóstico en comparación con otros cánceres ginecológicos, tales como el cáncer cervical o de ovario.[2] A pesar de que el cáncer de endometrio es 40 % más frecuente en mujeres de etnia blanca, las mujeres afroamericanas diagnosticadas con cáncer uterino tienen el doble de probabilidad de morir por la enfermedad, quizás por razón de la aparición más frecuente de los subtipos más agresivos entre su etnia.[9]
Véase también
Referencias
- ↑ a b c d e Colegio Estadounidense de Obstetras y Ginecólogos (noviembre de 2006). Cáncer de útero. (en español). ISSN 1074-8601. URL accedida el 5 de febrero de 2008.
- ↑ a b c Nicolaije, K. A. et al. «Follow-up practice in endometrial cancer and the association with patient and hospital characteristics: A study from the population-based PROFILES registry» Gynecologic Oncology, 129 (2), 2013, 324-331, PMID 23435365
- ↑ a b Oldenburg C. S. et al. «The relationship of body mass index with quality of life among endometrial cancer survivors: a study from the population-based PROFILES registry.» Gynecologic Oncology, 129 (1), 2013, 216-21, PMID 23296262 Archivado el 17 de octubre de 2019 en Wayback Machine..
- ↑ a b c por MedlinePlus (enero de 2008). «Cáncer de útero». Consultado el 5 de febrero de 2008.
- ↑ a b c Centro de Prevención de Cáncer de Harvard. «Información básica del cáncer uterino.» Consultado el 5 de febrero de 2008.
- ↑ a b c d por National Cancer Institute (agosto de 2007). «Cáncer del endometrio: Tratamiento (PDQ®)». Información general sobre el cáncer del endometrio. Consultado el 5 de febrero de 2008.
- ↑ a b Academia Americana de Médicos de Familia (mayo de 2004). «Cáncer del endometrio.»
- ↑ por MedlinePlus Medicinas (agosto de 2006). «Tamoxifeno». Consultado el 5 de febrero de 2008. «Cumpla con todas las citas con su doctor. Usted necesitará tener regularmente exámenes ginecológicos (exámenes de los órganos femeninos) para detectar signos tempranos del cáncer de útero.»
- ↑ a b Sociedad Estadounidense del Cáncer (enero de 2007). ¿Qué es? Cáncer del endometrio (en español). Último acceso 5 de febrero de 2008.
- ↑ Bokhman, J. V. (1983). «Two pathogenetic types of endometrial carcinoma». Gynecol. Oncol. 15 (1): 10-. PMID 6822361.
- ↑ a b Cote, Richard; Saul Suster, Lawrence Weiss, Noel Weidner (coordinador). Modern Surgical Pathology (2 Volume Set). Londres: W B Saunders. ISBN 0-7216-7253-1.
- ↑ Dotters, D. J. «Preoperative CA 125 in endometrial cancer: is it useful?» Am J Obstet Gynecol 2000;182:1328-34. PMID 10871446.
- ↑ «Uterine Sarcomas - Hormonal Therapy.» American Cancer Society. Consultado el 25 de febrero de 2007.
Enlaces externos
