Cáncer de estómago
| Cáncer de estómago | ||
|---|---|---|
![]() Una úlcera estomacal que fue diagnosticada como cáncer en una biopsia y extirpada quirúrgicamente. | ||
| Especialidad |
oncología gastroenterología | |
| Síntomas |
Tempranos: acidez estomacal, distensión abdominal, dolor abdominal superior, náuseas, eructos, pérdida del apetito. Más tardios: pérdida de peso, coloración amarillenta de la piel y el blanco de los ojos, vómitos con sangre, dificultad para tragar, sangre en las heces. | |
| Tipos | Carcinomas gástricos, linfoma, tumor mesenquimatoso. | |
| Sinónimos | ||
| Cáncer gástrico | ||
El cáncer de estómago o cáncer gástrico es un tipo de crecimiento celular maligno con capacidad de invasión y destrucción de otros tejidos y órganos, causando cerca de un millón de muertes en el mundo anualmente.[1][2] En las formas metastásicas, las células tumorales pueden infiltrar los vasos linfáticos de los tejidos, diseminarse a los ganglios linfáticos y, sobrepasando esta barrera, penetrar en la circulación sanguínea, después de lo cual queda abierto virtualmente el camino a cualquier órgano del cuerpo.
El cáncer gástrico es el quinto cáncer más frecuente en el mundo. Las tasas globales han ido en disminución. La incidencia es muy variable en todos los países. Por ejemplo en los Estados Unidos se presenta una incidencia de 4,1, en Inglaterra de 3,9 y en Japón de 27,5 por 100 000. Lo que demuestra la gran variabilidad que existe entre distintas regiones.
El hecho de que las poblaciones que migran de un país con alta incidencia a otro donde es baja muestren a partir de la segunda generación, un descenso significativo de casos de cáncer gástrico sugiere que la causa puede ser ambiental, y que existe un factor causal en los hábitos alimentarios.
A pesar de que las diferencias internacionales en la incidencia son muy pronunciadas, las variaciones con respecto al sexo son escasas, siguiendo una proporción de dos veces más frecuentes en los hombres que en las mujeres. La mayor incidencia por edad se encuentra entre los 50 y 70 años, con una incidencia máxima alrededor de los 60 años, siendo infrecuente antes de los 30 años. Petterson en 1987 en un estudio retrospectivo demostró un incremento en la incidencia de carcinomas de la región del cardias. Por otra parte Meyer en el mismo año publicó un descenso de los carcinomas de la región antral.
En Hispanoamérica: Guatemala, Costa Rica, Ecuador, Perú y Chile destacan por sus altas tasas de mortalidad.[3]
Epidemiología
| Ranking | País | Tasa estandarizada por edad por 100 000 |
|---|---|---|
| 1 | Corea del Sur | 39,6 |
| 2 | Mongolia | 33,1 |
| 3 | Japón | 27,5 |
| 4 | China | 20,7 |
| 5 | Bután | 19,4 |
| 6 | Kirguistán | 18,6 |
| 7 | Chile | 17,8 |
| 8 | Bielorrusia | 16,5 |
| 9 | Perú | 16,1 |
| 10 | Vietnam | 15,9 |
| 11 | Irán | 15,8 |
| 12 | Kazajistán | 15,7 |
| 13 | Tayikistán | 15,7 |
| 14 | Cabo Verde | 15,3 |
| 15 | Corea del Norte | 14,7 |
| 16 | Guatemala | 14,4 |
| 17 | Ecuador | 13,8 |
| 18 | Brunéi | 13,6 |
| 19 | Costa Rica | 13,4 |
| 20 | Lituania | 13,3 |
Síntomas
El cáncer de estómago puede ser difícil de detectar en sus inicios, ya que a menudo no hay síntomas, y en muchos casos, el cáncer se ha extendido antes de que se encuentre. Cuando ocurren los síntomas, son a menudo tan discretos que la persona no se preocupa por ellos. Puede causar los siguientes efectos:
- Indigestión o una sensación ardiente
- Malestar o dolor abdominal
- Náuseas y vómitos
- Diarrea o estreñimiento
- Hinchazón del estómago después de comidas
- Pérdida del apetito
- Debilidad y fatiga
- Sangrados digestivos
- Cambios en el ritmo intestinal o urinario
- Dificultad en ingerir alimentos
- Pérdida de peso
- Mal aliento
Cualquiera de estos síntomas puede ser causado por el cáncer o por otros problemas de salud menos serios. Por tanto, solamente un médico puede determinar la causa real. Si una persona tiene cualquiera de estos síntomas debe visitar a un profesional de medicina. Después, este médico, puede enviar a la citada persona a un especialista en problemas digestivos. Será este último gastroenterólogo quien diagnosticará y determinará exactamente el diagnóstico correcto.
Factores de riesgo
- Factores nutricionales
- Consumo de alcohol
- Infección crónica por H. pylory
- Factores genéticos
- Factores familiares
- Factores ambientales
Adicionalmente, los estudios han permitido identificar como factores de riesgo el sexo (más frecuente en hombres), la edad superior a 50 años, el origen étnico, las regiones geográficas (Japón, China, Europa Oriental, América del Sur y América Central), los antecedentes familiares, el tabaquismo, la obesidad y el consumo de alimentos ahumados, salados, pescado y carne salada, vegetales conservados en vinagre dan lugar a un mayor riesgo de desarrollar cáncer de estómago.[5]
Diagnóstico
Para encontrar la causa de los síntomas, se comienza con el historial médico del paciente y un examen físico, complementado con estudios de laboratorio. El paciente puede tener que realizar también uno o más de los exámenes siguientes:
- Análisis de sangre fecal oculta, no es enteramente útil, pues un resultado negativo no indica nada y un resultado positivo está presente en un gran número de condiciones además del cáncer gástrico.
- Examen gastroscópico.
- Análisis del tejido fino anormal visto en un examen con el gastroscopio hecho en una biopsia por el cirujano o el gastroenterólogo. Este tejido fino se envía después a un patólogo para el examen histológico bajo un microscopio para saber si hay presencia de células cancerosas. Una biopsia, con análisis histológico subsecuente, es la única manera segura de confirmar la presencia de células cancerígenas.
Un trastorno de hiperplasia de la piel, con frecuencia en la axila y la ingle, conocido como acantosis nigricans, más frecuente en personas obesas, puede ser parte de un síndrome paraneoplásico. Si bien su asociación con el cáncer gástrico es lejana puede generar la necesidad de estudios gástricos para descartar cáncer del estómago.
Patogenia

El cáncer de estómago o gástrico puede desarrollarse en cualquier parte del estómago y puede extenderse a través del estómago a otros órganos. El cáncer puede crecer a lo largo de la pared del estómago en el esófago o el intestino delgado. También puede extenderse a través de la pared del estómago a los nódulos linfáticos próximos y a órganos tales como el hígado, el páncreas, y el colon o bien puede extenderse a órganos distantes, tales como los pulmones, a los nodos de linfa sobre el hueso del collar, y a los ovarios.
Cuando el cáncer se extiende a otra parte del cuerpo, el nuevo tumor tiene la misma clase de células anormales y del mismo nombre que el tumor primario. Por ejemplo, si el cáncer de estómago se extiende al hígado, las células de cáncer en el hígado son células del cáncer de estómago y la enfermedad se llama cáncer gástrico metastásico a hígado, no hepatocarcinoma.
Si las células de cáncer se encuentran en la muestra del tejido fino, el paso siguiente es descubrir el grado de la enfermedad. Con las diversas pruebas que se realizan se determina si el cáncer se ha separado y, si es así, a qué partes del cuerpo afecta. Ya que, como se ha dicho anteriormente, el cáncer de estómago puede trasladarse al hígado, al páncreas, y a otros órganos cerca del estómago así como a los pulmones, hallándose con una exploración de TAC (tomografía axial computarizada), un examen de ultrasonido, u otras pruebas para comprobar estas áreas.
La ubicación exacta puede que no se sepa hasta después de cirugía. El cirujano quita nodos de linfa próximos a la localidad del cáncer y puede tomar muestras del tejido fino de otras áreas en el abdomen. Todas estas muestras son examinadas por un patólogo para comprobar si hay células de cáncer. Las decisiones sobre el tratamiento después de la cirugía dependen de estos resultados.
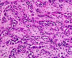
Anatomía patológica
_H%2526E_magn_400x.jpg)
El adenocarcinoma gástrico es un tumor epitelial maligno, originado en el epitelio glandular de la mucosa gástrica. Invade la pared gástrica, infiltrándose en las mucosas de los muscularis, la submucosa y por lo tanto en la lámina propia de los muscularis. Continúa su crecimiento invadiendo la capa muscular propia, la serosa y finalmente los órganos vecinos. Se define como cáncer gástrico incipiente o precoz a aquel que solo invade la mucosa o submucosa independientemente del compromiso ganglionar.[6]
Histológicamente, hay dos tipos importantes de adenocarcinomas gástricos (clasificación de Lauren):[7] tipo intestinal y tipo difuso. El adenocarcinoma tipo intestinal: las células del tumor describen las estructuras tubulares irregulares, abrigando la pluriestratificación, lúmenes múltiples, tejido conectivo reducido. A menudo, se junta la metaplasia intestinal en la mucosa vecina. Es asociado más a metaplasia y a un proceso de gastritis crónica. El adenocarcinoma tipo difuso: tiene su origen en células mucosas gástricas, no asociado a gastritis crónica y es mal diferenciado.
Dependiendo de la composición glandular, de las formas variadas de las células y de la secreción de la mucosa, el adenocarcinoma puede presentar 3 grados de diferenciación: bueno, moderado y malo.
Según el tipo adenocarcinoma (mucoso, coloide): Las células del tumor están descohesionadas y secretan el moco que se queda en el intestino produciendo grandes depósitos de moco/coloide (ópticamente con espacios vacíos). Es difícil de distinguir. Si el moco permanece dentro de la célula del tumor, empuja el núcleo a la periferia es llamada "célula en anillo de sello".
| OMS 2010 | Lauren 1965 |
|---|---|
| Adenocarcinoma tubular | Tipo intestinal |
| Adenocarcinoma papilar | |
| Adenocarcinoma mucinoso | |
| Adenocarcinoma en células en anillo de sello | Tipo difuso |
| Otros adenocarcinomas poco cohesivos | |
| Otros carcinomas | Indeterminado |
Aparte de los adenocarcinomas, existen otros tipos poco frecuentes de tumores gástricos dentro de los que se incluyen los linfomas gástricos primarios, los carcinoides gástricos y otros.
Prevención
- Hacer ejercicio.
- Comer más frutas y verduras.
- Reducir la cantidad de alimentos salados y ahumados.
- Dejar de fumar.
Tratamiento
El tratamiento se adapta para abarcar las necesidades individuales de cada paciente y depende generalmente del tamaño, de la localización y del grado del tumor, de la etapa de la enfermedad, de la salud general del paciente y de otros factores.
Se hace importante que los pacientes con cáncer aprendan sobre su enfermedad y las opciones de tratamiento para que, de esta forma, puedan tomar parte activa en decisiones sobre su asistencia médica. El especialista es la mejor persona para contestar a preguntas sobre diagnosis y planes de tratamiento.
Métodos de tratamiento
El cáncer del estómago es difícil de curar a menos que se encuentre en fases tempranas (antes de que haya comenzado a diseminarse). Desafortunadamente, ya que el cáncer temprano de estómago causa pocos síntomas, la enfermedad se detecta generalmente cuando se encuentra ya en etapas avanzadas, salvo en países como Japón donde el 60 % de los cánceres operados corresponden a carcinomas incipientes.[9] Sin embargo, el cáncer avanzado de estómago puede ser tratado y sus síntomas eliminados. Las medidas terapéuticas tradicionales para el cáncer del estómago incluyen la cirugía (cuando sea rentable la escisión de todas las células malignas), radiación ionizante (electromagnéticas o por partículas para producir una destrucción tisular) y quimioterapia (la utilización de fármacos para el tratamiento del cáncer). Los nuevos procedimientos en el tratamiento, tales como terapia biológica y maneras mejoradas de usar los métodos actuales se están estudiando en ensayos clínicos. Un paciente puede tener un único tratamiento o una combinación de tratamientos.
Los ensayos clínicos para encontrar las mejores maneras de utilizar la quimioterapia para tratar el cáncer del estómago están en proceso. Los científicos están explorando las ventajas de dar la quimioterapia antes de que cirugía para contraer el tumor, o como terapia ayudante después de la cirugía para destruir las posibles células de cáncer restantes. El tratamiento de la combinación con radioterapia de la quimioterapia está también bajo estudio. Los doctores están probando un tratamiento en el que las drogas anticáncer se pongan directamente en el abdomen (quimioterapia intraperitoneal). La quimioterapia también se está estudiando como tratamiento para el cáncer que se ha separado, y como manera de relevar los síntomas de la enfermedad.
Terapia endoscópica
El carcinoma gástrico incipiente puede ser tratado exitosamente por vía endoscópica. Existen dos técnicas disponibles: la mucosectomía y la resección endoscópica submucosa.[10]
Cirugía

La cirugía es el tratamiento más común para el cáncer del estómago, una operación llamada gastrectomía. El cirujano quita parte afectada o todo el estómago, así como algo del tejido fino alrededor de él. Después de una gastrectomía parcial, se anastomosa la parte restante del estómago que no ha sido extirpada con el esófago o el intestino delgado. Después de una gastrectomía total, el doctor conecta el esófago directamente con el intestino delgado. Debido a que el cáncer puede separarse a través del sistema linfático, los ganglios linfáticos cerca del tumor se extirpan, por lo general durante la misma cirugía de modo que el patólogo pueda comprobarlos para saber si hay células de cáncer en ellos. Si las células de cáncer están en los linfáticos, la enfermedad puede haberse separado a otras partes del cuerpo. El margen quirúrgico, es decir, la cantidad de tejido que debe ser removido alrededor de la zona afectada por el cáncer gástrico, es de 5 cm de tejido normal.[11]
La cirugía digestiva es una cirugía importante. Luego de la cirugía, las actividades se limitan para permitir que ocurra la curación. Los primeros días después de la cirugía, se alimenta al paciente intravenosamente (a través de una vena). Después de varios días, la mayoría de los pacientes están listos para los líquidos, seguido por alimentos suaves, y entonces alimentos sólidos. Los que le han removido el estómago completamente se le hace imposible digerir la vitamina B12, que es necesaria para la sangre y los nervios, así que se le administran inyecciones regulares de esta vitamina. Los pacientes pueden tener dificultad temporal o permanente para digerir ciertos alimentos, y pueden necesitar cambiar su dieta. Algunos pacientes de cirugía digestiva necesitarán seguir una dieta especial durante algunas semanas o meses, mientras que otros necesitarán hacer una modificación permanente en sus dietas. El profesional de salud o un nutricionista (especialista de la nutrición) explicará cualquier cambio dietético necesario.
Algunos pacientes después de la gastrectomía presentan calambres, náusea, diarrea, y vértigos poco después de comer porque el alimento y el líquido entran en el intestino delgado muy rápido y sin haber sido digeridos. Este grupo de síntomas se llama el síndrome de descarga.Los alimentos que contienen altas cantidades de azúcar a menudo hacen que los síntomas empeoren. El síndrome de descarga puede ser tratado cambiando la dieta del paciente. Se pueden manejar los síntomas al comer varias comidas pequeñas a través del día, evitar los alimentos que contienen azúcar, y comer alimentos altos en proteína. Para reducir la cantidad de líquidos que entre en el intestino delgado, se instruye a los pacientes generalmente, que no beban en las comidas. Ciertos medicamentos también puede ayudar a controlar el síndrome de descarga. Los síntomas desaparecen generalmente en 3 a 12 meses, pero pueden ser permanentes.
Después de la cirugía digestiva, se presentan malestares estomacales causados por la bilis. En ningún caso se debe dejar de comer ya que la bilis hay que expulsarla. Es recomendable comer menos cantidad, pero nunca dejar de comer.
Quimioterapia
La quimioterapia es el uso de fármacos para matar las células cancerosas. Este tipo de tratamiento se llama terapia sistémica porque los fármacos se incorporan en la circulación sanguínea y recorren todo el cuerpo.
La mayoría de los fármacos anticáncer son dados mediante inyección; algunos se toman por vía oral. El doctor puede utilizar fármacos o una combinación de fármacos. La quimioterapia se da en ciclos: un período del tratamiento seguido por un período de recuperación, después otro tratamiento, y así sucesivamente. La quimioterapia, generalmente no requiere hospitalización, sin embargo, dependiendo de qué fármacos se usen y la salud general del paciente, puede ser necesaria una estancia corta en el hospital.
Los efectos secundarios de la quimioterapia dependen principalmente de los fármacos que el paciente recibe. Como con cualquier otro tipo de tratamiento, los efectos secundarios también varían de una persona a otra. En los medicamentos generales, anticáncer afecta las células que se dividen rápidamente. Estos incluyen las células de la sangre, que atacan infecciones, ayudan a la sangre para coagulación (coagular), o llevan el oxígeno a todas las partes del cuerpo. Cuando las células de sangre son afectadas por los fármacos, los pacientes son más propensos a infecciones, pueden contusionar o sangrar fácilmente, y pueden tener menos energía. Las células en las raíces del cabello, así como las células que delimitan la zona digestiva también se dividen rápidamente y son afectados en las quimioterapias. Como resultado de la quimioterapia, los pacientes pueden tener efectos secundarios tales como pérdida de apetito, náusea, vómito, alopecia (pérdida del cabello), o de dolores en la boca. Para algunos pacientes, el doctor puede prescribir la medicina para ayudar con los efectos secundarios, especialmente con la náusea y el vómito. Estos efectos por lo general se alivian gradualmente durante el período de la recuperación entre los tratamientos o después de que los tratamientos paren por completo.
Radioterapia
La radioterapia consiste en el uso de radiación ionizante,
rayos de gran energía para dañar las células del cáncer e inhibir su crecimiento. Como en la cirugía, es una terapia localizada; la radiación puede afectar las células cancerosas solamente en el área tratada. La radioterapia se da a veces después de la cirugía para destruir las células de cáncer que puedan permanecer en el área de la operación. Los investigadores están llevando a cabo ensayos clínicos para descubrir si es bueno dar radioterapia durante la cirugía (radioterapia intraoperativa). La radioterapia se puede utilizar también para quitar el dolor o la obstrucción.
El paciente va al hospital o a la clínica cada día para recibir radioterapia. Los tratamientos se dan generalmente 5 días a la semana durante 5 a 6 semanas. Los pacientes que reciben la radiación al abdomen pueden experimentar náuseas, vómito, y diarrea. El doctor puede prescribir la medicina o sugerir cambios dietéticos para aliviar estos problemas. La piel en el área tratada puede llegar a ser roja, seca, blanda, e irritada. Los pacientes deben evitar usar las ropas que causen fricción; las ropas de algodón de textura suave son generalmente las mejores. Es importante que los pacientes tengan cuidado de su piel durante el tratamiento, pero no deben utilizar lociones sin consultar con su profesional de salud.
Los pacientes pueden llegar a estar muy cansados durante la radioterapia, especialmente en las semanas últimas del tratamiento. La reclinación es importante, pero los doctores aconsejan generalmente a los pacientes que intenten permanecer tan activos como puedan.
Terapia biológica
La terapia biológica, (también llamada inmunoterapia)[12] es una forma de tratamiento que ayuda al sistema inmune del cuerpo a atacar y a destruir las células cancerosas; puede también ayudar al cuerpo a recuperarse de algunos de los efectos secundarios del tratamiento. En ensayos clínicos, se está estudiando la terapia biológica conjuntamente con otros tratamientos para intentar prevenir una reaparición del cáncer de estómago en pacientes tratados. Otro uso de la terapia biológica es que los pacientes que tengan recuentos bajos de las células sanguíneas o después de la quimioterapia puedan recibir factores de crecimiento que estimulen al cuerpo para ayudar a restaurar los niveles de las células sanguíneas. Los pacientes pueden necesitar hospitalización mientras reciben algunos tipos de terapia biológica.
Los efectos secundarios de la terapia biológica varían con el tipo de tratamiento. Algunas causan síntomas gripales, tales como escalofríos, fiebre, debilidad, náuseas, vómitos, y diarrea. Los pacientes presentan a veces una erupción cutánea, y pueden tener moretones o sangrar fácilmente. Estos problemas pueden ser severos, y los pacientes pueden necesitar permanecer en el hospital durante el tratamiento.
Nutrición para los pacientes del cáncer
Es a veces difícil comer bien para los pacientes que hayan sido tratados contra el cáncer de estómago. El cáncer causa a menudo la pérdida de apetito, lo cual es entendible en quienes tengan el estómago afectado o recién operado y que además tengan náusea, vómitos, dolores en la boca, o el síndrome que descarga. Los pacientes que han tenido cirugía del estómago pueden recuperarse por completo después de comer solamente una cantidad pequeña de alimento a la vez y en varias oportunidades en el día. Para algunos pacientes, el gusto del alimento cambia. No obstante, la buena nutrición es importante. El comer bien significa conseguir bastante energía y proteína del alimento para ayudar a prevenir la pérdida del peso, fuerza en la recuperación, y reconstruir tejidos finos normales.
Vía Oral
El método de primera elección para el apoyo nutricional de estos pacientes es la vía oral, realizando las modificaciones dietéticas requeridas de acuerdo a la sintomatología y condición del paciente. Una nutrición adecuada puede mejorar la evolución clínica y la calidad de vida del paciente oncológico.
Vía Enteral
Cuando el paciente no logra cubrir sus requerimientos por vía oral, sea porque no puede o no debe utilizarla, es necesario recurrir a otra vía de alimentación.
Vía Endovenosa
La nutrición endovenosa o comúnmente llamada nutrición parenteral total (NPT) puede indicarse en los pacientes oncológicos que no deben o pueden utilizar la vía oral o enteral como aquellos con obstrucción, náusea y vómito incoercible, síndrome de intestino corto o íleo, diarrea o mala absorción grave, etc.
Efectos secundarios del tratamiento
Es difícil delimitar los efectos de la terapia para que solamente destruyan células de cáncer, pues las células y los tejidos sanos también se dañan, por lo que el tratamiento suele causar efectos secundarios desagradables.
Estos efectos secundarios son diferentes para cada persona, y pueden incluso ser diferentes a partir de un tratamiento al siguiente. Los doctores intentan planear el tratamiento de las maneras que guardan efectos secundarios a un mínimo; pueden ayudar con cualquier problema que ocurra. Por esta razón, es muy importante dar a conocer al doctor cualquier problema durante o después del tratamiento. Es recomendable que si durante el tratamiento, la persona a tratar comienza a sentir otros síntomas, se deberá suspender el mismo y verificar lo que sucede ya que esta persona puede estar sufriendo un efecto secundario.
Ensayos clínicos
Se tratan a muchos pacientes con cáncer del estómago en ensayos clínicos.[13] Los ensayos clínicos están dirigidos a descubrir nuevas perspectivas que sean seguras y eficaces y responder a las preguntas científicas propuestas con antelación. Los pacientes que participan en estos estudios son a menudo los primeros en recibir los tratamientos que han demostrado ser prometedores en la investigación de laboratorio. En ensayos clínicos, algunos pacientes pueden recibir el nuevo tratamiento mientras que otros reciben el curso estándar. De esta manera, los investigadores pueden comparar el resultado de diversas terapias. Los pacientes que participan en un ensayo hacen una contribución importante a la ciencia médica y pueden tener la primera ocasión de beneficiarse con los métodos de tratamiento mejorados. Los investigadores también utilizan ensayos clínicos para buscar maneras de reducir los efectos secundarios del tratamiento y de mejorar la calidad de las vidas de los pacientes.
Profilaxis o prevención
La profilaxis o medidas preventivas para no contraer este tipo de cáncer son de difícil manejo, por razón de que no se ha encontrado aún causas específicas del cáncer gástrico. Sin embargo, se puede disminuir el riesgo de tener este cáncer, con una dieta rica en frutas y verduras. El no fumar y el limitar el consumo de bebidas alcohólicas ayuda a disminuir el riesgo. No se ha comprobado que el consumo de antioxidantes o vitamina C tenga un efecto sobre la incidencia de cáncer de estómago.[11]
Los exámenes del diagnóstico precoz se usan para detectar una enfermedad en sus fases iniciales, aunque no existan síntomas ni antecedentes de dicha enfermedad. Las pruebas de detección precoz del cáncer gástrico no solo pueden diagnosticarlo en una etapa temprana y curable, sino que también pueden prevenirlo al encontrar curar úlceras que pueden malignizarse.
Complicaciones
Una complicación bien conocida del cáncer de estómago, en aproximadamente 5 % de los casos, es cuando se extiende a un ovario; el tumor en el ovario de este tipo se llama un tumor de Krukenberg. Este tumor, nombrado por el primer doctor que lo describió, es un cáncer metastásico de estómago que infiltra el estroma del ovario, es decir, las células del cáncer en un tumor de Krukenberg son las células del cáncer de estómago, son las mismas que las células cancerosas en el tumor primario.[14]
Otras complicaciones, en especial en casos avanzados, incluyen hemorragia masiva, estenosis de la región pilórica, perforación del tumor hacia el páncreas y metástasis en los linfáticos, hígado, pulmones, etc.
Véase también
Referencias
- ↑ «Stomach Cancer (Gastric Cancer) | Diagnosis and Treatment». patient.info (en inglés). Consultado el 26 de septiembre de 2021.
- ↑ «Cáncer de estómago». www.aecc.es. Consultado el 26 de septiembre de 2021.
- ↑ «Estimated age-standardized mortality rates (World) in 2018, stomach, both sexes, all ages» [Tasas de mortalidad ajustadas por edad, 2018, ambos sexos, todas las edades.]. 2018.
- ↑ «Stomach Cancer Statistics» (en inglés). 2018.
- ↑ Cardona Rivas, Dora (2021). Carga de enfermedad por variables ambientales y costos de la atención en salud. Descripción de la carga de enfermedad en cinco departamentos del región central de la región de Colombia 2010-2016. Colombia: Editorial Universidad Autónoma de Manizales. ISBN 978-958-5558-21-2.
- ↑ «Disección submucosa endoscópica en cáncer gástrico incipiente».
- ↑ «This Week´s Citation Classic» (en inglés).
- ↑ «Gastric cancer. Classification, histology and application of molecular pathology» [Cáncer gástrico. Clasificación, histología y aplicación de la patología molecular.]. 2012.
- ↑ Attila Csendes, Manuel Figueroa. «Situación del cáncer gástrico en el mundo y en Chile».
- ↑ «Guías Clínicas Auge. Cáncer Gástrico». 2014.
- ↑ a b Abramson Cancer Center of the The University of Pennsylvania: OncoLink - en español. Cancer Gástrico, Los Fundamentos. [1]
- ↑ «Inmunoterapia para el cáncer estómago». www.cancer.org. Consultado el 26 de septiembre de 2021.
- ↑ «Cáncer de estómago - Acerca de los estudios clínicos». Cancer.Net. 21 de junio de 2012. Consultado el 26 de septiembre de 2021.
- ↑ F.J. Blanco González, et al, Tumor de Krukenberg. A propósito de un nuevo caso. Cirugía Española. Volumen 68 - Número 1 p. 68 - 70. [2]
Enlaces externos
- En MedlinePlus hay más información sobre Cáncer de estómago
