Cáncer colorrectal

Cáncer de colon

Diagrama del tracto gastrointestinal bajo
Especialidad oncología
Síntomas vómitos con sangre, sangre en las heces, cambios en las deposiciones, pérdida de peso, fatiga
Factores de riesgo Dieta, obesidad, tabaquismo, falta de actividad física, consumo de alcohol

El cáncer colorrectal, también llamado cáncer de colon, cáncer de intestino o cáncer rectal, incluye cualquier tipo de neoplasias del colon, recto y apéndice. Se piensa que muchos de los casos de cáncer colorrectal nacen de un pólipo adenomatoso en el colon. Estos crecimientos celulares en forma de seta suelen ser benignos, pero de vez en cuando se vuelven cancerosos con el tiempo. En la mayoría de los casos, el diagnóstico del cáncer localizado se realiza mediante colonoscopia. El tratamiento es por lo general quirúrgico, y en muchos casos es seguido por quimioterapia.[1]

Epidemiología

Es la tercera forma más común de cáncer y la segunda causa más importante de mortalidad asociada a cáncer en los Estados Unidos. El cáncer colorrectal causa 694 000 muertes a nivel mundial cada año.[2]

Factores de riesgo

El riesgo de contraer cáncer de colon en los Estados Unidos es de alrededor del 7 %. Ciertos factores aumentan el riesgo de que una persona desarrolle esta enfermedad, entre ellos:

  • Edad. El riesgo de contraer cáncer colorrectal se incrementa al aumentar la edad. La mayoría de los casos ocurren entre los 60 y 70 años, mientras que antes de los 50 años es poco común, a menos que haya una historia familiar de aparición temprana de cáncer colorrectal en particular.
  • Pólipos adenomatosos. La eliminación de pólipos del colon durante la colonoscopia disminuye el riesgo subsecuente de cáncer de colon.
  • Antecedentes de cáncer. Los individuos que previamente hayan sido diagnosticados y tratados por tener cáncer tienen un mayor riesgo que la población general de contraer cáncer colorrectal en el futuro. Las mujeres que hayan tenido cáncer de ovario, útero o del seno tienen un riesgo aumentado de la aparición de cáncer de colon.
  • Herencia:
    • Antecedentes en la familia de cáncer colorrectal, en especial de un familiar cercano menor de 55 años o de múltiples familiares.
    • Poliposis adenomatosa familiar, conlleva cerca de un 100 % de riesgo de contraer cáncer colorrectal para la edad de 40 años, si no ha sido tratado.
    • Síndrome de Lynch o cáncer colorrectal hereditario no asociado a poliposis.
  • Colitis ulcerosa crónica o enfermedad de Crohn, aproximadamente 30 % a partir de los 25 años si el colon entero está afectado.
  • Fumar. Es más probable que una persona que fuma muera de cáncer colorrectal que una persona no fumadora. La Sociedad Estadounidense contra el Cáncer hizo un estudio donde se encontró que era un 40 % más probable que las mujeres que fuman murieran de cáncer colorrectal que una mujer que nunca haya fumado. Los varones fumadores tienen un riesgo 30 % mayor de morir de esta enfermedad que sus homólogos no fumadores.[cita requerida]
  • Dieta. Los estudios demuestran que una dieta rica en carne[3]​ y baja en frutas, verduras, aves de corral[cita requerida] y pescados aumenta el riesgo de cáncer colorrectal (lo cual es discutible, pues otros estudios han mostrado mayor incidencia en vegetarianos).[4]​ En junio de 2005, una investigación realizada por el Estudio Prospectivo Europeo Sobre Cáncer y Nutrición sugirió que las dietas altas en carnes rojas, al igual que las dietas bajas en fibra, están asociadas a un riesgo de cáncer colorrectal. Quienes frecuentemente comen pescado mostraron un riesgo disminuido.[5]​ Sin embargo, otros estudios ponen en duda la aseveración de que una dieta rica en fibra disminuya el riesgo de cáncer colorrectal; más bien, las dietas bajas en fibra están asociadas a otros factores de riesgo que es lo que ha causado la confusión de asociarla con cáncer.[6]​ De modo que la relación entre la fibra dietética y el riesgo de cáncer colorrectal permanece aún en controversia.
  • Poca actividad física. Las personas que son activas físicamente tienen un menor riesgo de desarrollar cáncer colorrectal.
  • Colangitis esclerosante primaria: ofrece un riesgo independiente a la colitis ulcerativa.
  • Bajo contenido corporal de selenio.

Alcohol

La página del Instituto Nacional del Cáncer de los Estados Unidos no contempla el alcoholismo como uno de los riesgos del cáncer colorrectal.[7]​ Sin embargo, otros artículos del mismo instituto citan que el abuso en el consumo de bebidas alcohólicas puede aumentar el riesgo de cáncer colorrectal.[8]

Otros informes citan estudios epidemiológicos en los que se ha notado una leve aunque consistente asociación del consumo dosis-dependiente de alcohol y el cáncer de colon,[9][10]​ aunque se estén controlando la fibra y otros factores dietéticos.[11][12]​ A pesar del gran número de estudios, la causa de las relaciones alcohol y cáncer de colon aún no ha sido determinada a partir de los datos disponibles.[13]

Un estudio encontró que quienes beben más de 30 g (gramos) de alcohol cada día, y en especial aquellos que beben 45 g por día, tienen un riesgo mayor de contraer cáncer colorrectal.[14][15]​ Otro estudio demostró que el consumo de una o más bebidas alcohólicas cada día se asocia con una incidencia un 70 % mayor de la media de cáncer de colon.[16][17][18]​ Mientras que se encuentra un duplicado riesgo de cáncer de colon por consumir alcohol, incluyendo cerveza, aquellos que beben vino tienen un riesgo disminuido.[19]​ Las conclusiones de un estudio citan que para minimizar el riesgo de cáncer colorrectal, es mejor beber con moderación.[13]

Planes de control en España

Para muchos profesionales, como Eduardo Díaz-Rubio García, la prevención primaria, un diagnóstico precoz y estrategias coordinadas entre distintas regiones que eliminen desigualdades y variaciones injustificadas en el riesgo de padecer cáncer pueden mejorar el pronóstico de la enfermedad.[20]

Patogenia

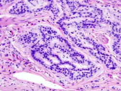
Imagen histopatológica de carcinoide de colon teñido con hematoxilina y eosina.

La patología es un tumor del colon; se reporta por lo general del análisis de tejido obtenido de una biopsia o una operación. El reporte patológico usualmente contiene una descripción del tipo de célula y el grado de avance. El tipo más común de célula cancerígena es el adenocarcinoma, el cual ocupa un 95 % de los casos. Otros tipos menos frecuentes incluyen los linfomas y el carcinoma de célula escamosa.

El cáncer del lado derecho (colon ascendente y ciego) tiende a tener un patrón exofítico, es decir, el tumor crece hacia la luz intestinal comenzando desde la pared de la mucosa. Este tipo de cáncer raramente causa obstrucción del paso de las heces y presenta síntomas como anemia. El cáncer del lado izquierdo tiende a ser circunferencial, y puede obstruir el intestino al rodear la luz del colon.

Anatomía patológica

El adenocarcinoma es un tumor de células epiteliales malignas, originándose del epitelio glandular de la mucosa colorrectal. Invade la pared, se infiltra hacia la muscularis mucosae, la submucosa y la lámina muscularis propia. Las células malignas describen estructuras tubulares, promoviendo estratificación anómala, luz tubular adicional y estromas reducidos. A veces, las células del tumor tienen un patrón de crecimiento discohesivo y secretan moco, el cual invade el intersticio, produciendo lagunas mucosas y coloides (en el microscopio se ven como espacios vacíos), llamados adenocarcinoma mucinosa o coloide, pobremente diferenciado.[21]​ Si el moco permanece dentro de la célula maligna, empuja el núcleo hacia la periferia, formando la característica célula en anillo de sello.[22]​ Dependiendo de la arquitectura glandular, el pleomorfismo celular y la mucosecreción del patrón predominante, el adenoma puede presentar tres grados de diferenciación: pobre, moderadamente o bien diferenciada.[23]

La presencia de mutaciones del gen K-ras (gen de la familia Ras) es de veraz importancia, ya que supone la aplicación de un tratamiento del cáncer colorrectal distinto al empleado en pacientes sin dicha mutación. Estas mutaciones constituyen un factor predictivo negativo de respuesta a la terapia con anti-EGFR en esta patología.[24]​ Además, el valor pronóstico del oncogén K-ras en el cáncer colorrectal también es de importante consideración.

Síntomas

El cáncer colorrectal no suele dar síntomas hasta fases avanzadas y por eso la mayoría de pacientes presentan tumores que han invadido toda la pared intestinal o han afectado los ganglios regionales. Cuando aparecen, los síntomas y signos del carcinoma colorrectal son variables e inespecíficos. La edad habitual de desarrollo del cáncer colorrectal es entre los 60 y 80 años de edad. En las formas hereditarias el diagnóstico acostumbra a ser antes de los 50 años. Los síntomas más frecuentes incluyen la hemorragia digestiva baja y la rectorragia, cambios en las defecaciones y dolor abdominal. La presencia de síntomas notables o la forma en que se manifiestan depende un poco del sitio del tumor y la extensión de la enfermedad:

Cáncer de colon derecho

Los síntomas principales son dolor abdominal, síndrome anémico y, ocasionalmente, la palpación de un tumor abdominal. Como el contenido intestinal es relativamente líquido cuando atraviesa la válvula ileocecal y pasa al colon derecho, en esta localización los tumores pueden llegar a ser bastante grandes, produciendo una estenosis importante de la luz intestinal, sin provocar síntomas obstructivos o alteraciones notables del hábito intestinal. El dolor abdominal ocurre en más del 60 % de los pacientes referido en la mitad derecha del abdomen. El síndrome anémico ocurre también en más del 60 % de los casos y se debe a pérdida continuada, aunque mínima, de sangre que no modifica el aspecto de las heces, a partir de la superficie ulcerada del tumor. Los pacientes refieren fatiga (cansancio, debilidad) palpitaciones e incluso angina de pecho y se les descubre una anemia microcítica e hipocroma que indica un déficit de hierro. Sin embargo, como el cáncer puede sangrar de forma intermitente, una prueba realizada al azar para detectar sangre oculta en heces puede ser negativa. Como consecuencia, la presencia de una anemia ferropénica en cualquier adulto, con la posible excepción de la mujer multípara premenopáusica, obliga a hacer un estudio preciso endoscópico y radiológico de todo el colon. Por razones desconocidas, las personas de etnia negra tienen una incidencia mayor de lesiones en el colon derecho que las personas de etnia blanca. Puede pasar desapercibido si se localiza en el ángulo hepático del colon y este se oculta bajo la parrilla costal.

Cáncer de colon izquierdo

Por ser más estrecho, el dolor cólico en abdomen inferior puede aliviarse con las defecaciones. En el caso de algunos pacientes, puede desarrollar anemia por falta de hierro. Igual que en el caso de Cáncer de colon derecho es importante darse cuenta de que no solo pierda sangre por las heces. Es más probable que estos pacientes noten un cambio en las defecaciones y eliminación de sangre roja brillante (rectorragia) condicionados por la reducción de la luz (lumen) del colon. El crecimiento del tumor puede ocluir la luz intestinal provocando un cuadro de obstrucción intestinal con dolor cólico, distensión abdominal, vómitos y cierre intestinal.

Cáncer de rectosigma

Como las heces se van concentrando a medida que atraviesan el colon transverso y el colon descendente, los tumores localizados a este nivel tienden a impedir su paso al exterior, lo que origina un dolor abdominal tipo cólico, a veces con obstrucción intestinal (íleo obstructivo) e incluso con perforación intestinal. En esta localización es frecuente la rectorragia, tenesmo rectal y disminución del diámetro de las heces. Sin embargo, la anemia es un hallazgo infrecuente. A veces la rectorragia y el tenesmo rectal son síntomas frecuentes de hemorroides, pero ante una rectorragia con o sin trastornos del hábito intestinal (diarrea o estreñimiento) es preciso realizar un tacto rectal y una proctosigmoidoscopia. La uretritis ocurre cuando el tumor se encuentra muy cerca de la uretra y puede comprimirla y originar infecciones recurrentes urinarias. Cuando su extensión sobrepasa los límites de la pared rectal, el paciente puede aquejar síntomas urinarios atribuibles a invasión vesical como hematuria y polaquiuria. Si aparece una fístula rectovesical hay neumaturia e infecciones urinarias recidivantes.

Diagnóstico

Existen varias pruebas que se usan para detectar el cáncer colorrectal. Con los síntomas que relate el paciente al médico, se realizará una historia clínica, donde se detallarán los síntomas, los antecedentes familiares y factores de riesgo en la anamnesis. El médico también le hará una exploración física completa que incluirá un tacto rectal. Con los datos obtenidos se solicitarán exploraciones complementarias o pruebas diagnósticas para confirmar el diagnóstico, determinar un estadio clínico y establecer un plan de tratamiento.

Tacto rectal

Mediante el tacto rectal se pueden palpar el 20 % de los carcinomas colorrectales y valorar su grado de fijación al tejido vecino. El tacto rectal puede llegar casi 8 cm (centímetros) por encima de la línea pectínea. Aunque se ha demostrado que casi la mitad de los cánceres colorrectales ocurrirán cerca del ángulo esplénico (y serían inaccesibles), un restante 20 % puede palparse. En caso de un cáncer de recto es necesario hacer un tacto rectal cuidadoso, para valorar el tamaño, fijación y ulceración del cáncer, así como el estado de los ganglios u órganos vecinos y la distancia del extremo distal del tumor al margen anal.

El tacto rectal debe formar parte de cualquier exploración física de rutina en adultos mayores de 40 años, ya que sirve como prueba de detección de cáncer de próstata en hombres, y es parte de la exploración de la pelvis en las mujeres, y una maniobra barata para detectar masas en el recto. El tacto rectal no se recomienda como única prueba para el cáncer colorrectal, porque no es muy preciso debido a su alcance limitado, pero es necesario realizarlo antes de introducir el sigmoidoscopio o el colonoscopio.

Si bien esta práctica es ampliamente conocida, y fácil de realizar, la mayoría de los tumores no se encuentran al alcance del dedo, y cuando estos son palpables el pronóstico ya suele ser ominoso. Quedando de esta manera otras alternativas como la solicitud de sangre oculta en materia fecal como un método más fiable y que ha demostrado disminuir la mortalidad por cáncer de colon en un 33 % en algunos estudios.

Prueba de sangre oculta en las heces

La prueba de sangre oculta en las heces (PSOH) se usa para detectar sangre invisible en los excrementos. Los vasos sanguíneos que se encuentran en la superficie de los pólipos, adenomas o tumores colorrectales, frecuentemente son frágiles y se dañan fácilmente durante el paso de las heces. Los vasos dañados normalmente liberan una pequeña cantidad de sangre en el excremento. Solo raramente hay sangrado suficiente para que las heces se tiñan de rojo (rectorragia o hematoquecia). La PSOH detecta la presencia de sangre mediante una reacción química. Si esta prueba es positiva, es necesario realizar una colonoscopia para ver si es un cáncer, un pólipo o si hay otra causa del sangrado, como por ejemplo hemorroides, diverticulitis o enfermedad inflamatoria intestinal (por ejemplo, Enfermedad de Crohn). Los alimentos o los medicamentos pueden afectar los resultados de esta prueba, por lo cual es necesario evitar lo siguiente:

  • Medicamentos antiinflamatorios no esteroideos (AINE) como el ibuprofeno (Neobrufen, Espidifen), naproxeno (Naproxyn) o ácido acetilsalicílico o AAS (Aspirina), durante siete días antes de la prueba porque provocan sangrado digestivo.
  • Más de 250 mg (miligramos) de vitamina C ya sea de suplementos o de frutas y jugos cítricos durante tres días antes del examen porque interfiere con las sustancias químicas de la prueba.
  • Carne roja durante tres días antes de la prueba porque contiene gran cantidad de grupo hemo que se confunde con la sangre.

Las personas que se hacen esta prueba deben recibir instrucciones detalladas que expliquen cómo obtener una muestra de heces o excremento en el hogar (generalmente tres muestras). El material se entrega al consultorio del médico o a un laboratorio clínico para su posterior análisis. La prueba de una muestra de heces que el médico obtenga mediante un tacto rectal no es una prueba adecuada de PSOH.

Aunque la PSOH se realice en condiciones ideales, tiene limitaciones importantes como técnica de detección precoz. Aproximadamente el 50 % de los pacientes con cáncer colorrectal demostrado, tienen la PSOH negativa (falso negativo), un hecho relacionado con el patrón de hemorragias intermitentes de estos tumores. Cuando se hacen estudios aleatorizados en cohortes de personas asintomáticas, de un 2 a un 4 % tienen una PSOH positiva. Pero solo de un 5 a un 10 % de estos pacientes tiene un cáncer colorrectal (el 90-95 % son falsos positivos) y en un 20 a un 30 % se encuentran pólipos benignos. Por tanto, en la mayoría de las personas asintomáticas con la PSOH positiva no se encontrará una neoplasia colorrectal.[25]​ No obstante, las personas con PSOH positiva deben someterse de forma sistemática, a más estudios médicos, que incluyen sigmoidoscopia, enema de bario y colonoscopia, técnicas que no solo son incómodas y caras, sino que también se asocian con un riesgo bajo, pero real de complicaciones importantes. El coste de estos estudios justificaría si el número pequeño de pacientes con neoplasia oculta que se descubren por tener una PSOH positiva tuvieran un pronóstico mejor y un aumento de la supervivencia.

Para algunas asociaciones médicas el cribado poblacional basado exclusivamente en la PSOH no es aconsejable, mientras que para otros lo es.[26]​ Los ensayos en los que se ha investigado este planteamiento son plenamente maduros con aproximadamente 300 000 participantes en ensayos aleatorizados bien diseñados. Demuestran que la reducción de la mortalidad existe, aunque en algunos casos, dependiendo de la técnica usada para la PSOH es modesta y después de corregir por un sesgo de observación, la reducción de la mortalidad por cáncer colorrectal no resultó estadísticamente significativa. La aparente simplicidad de la prueba no puede ser un argumento a favor de su uso generalizado. La mala especificidad de la prueba —es decir, la PSOH puede ser positiva en otras patologías— puede conducir a que una gran proporción de pacientes se sometan indebidamente a enema de bario y colonoscopias repetidas.

Actualmente existen varios tipos de PSOH: el más antiguo es el test de guayaco que busca la presencia o ausencia de actividad peroxidasa del grupo hemo en las deposiciones, es este el que arroja gran cantidad de falsos positivos. Existe también el test inmunohistoquímico que consiste en anticuerpos mono o policlonales que detectan porciones intactas de hemoglobina humana, disminuye los falsos positivos con hemoglobinas no humanas (carnes rojas, vitamina C, etc.). Últimamente se puede encontrar un test inmunohistoquímico que detecta mutaciones de ADN, puede encontrar 15 aberraciones frecuentes en K-ras, APC, p53, etc. Es más sensible y específico en la detección del cáncer colorrectal.

Sigmoidoscopia

Un colonoscopio es un tubo iluminado, delgado, flexible y hueco, que tiene el grosor aproximado de un dedo. Se introduce a través del recto, en la parte inferior del colon. El médico además de ver a través del sigmoidoscopio para detectar cualquier anomalía, también puede conectarlo a una cámara de vídeo y a un monitor de vídeo para visualizarlo mejor y grabarlo en algún soporte como documento visual. Esta prueba puede ser algo incómoda, pero no debe ser dolorosa. Debido a que tiene solo 60 centímetros de largo, solo se puede ver menos de la mitad del colon. Antes de la sigmoidoscopia, el paciente debe aplicarse un enema para limpiar la porción inferior del colon.

Las estrategias de detección precoz se han basado en el supuesto de que más del 60 % de las lesiones precoces se localizan en el rectosigma y por tanto son accesibles con el sigmoidoscopio. Sin embargo, por razones desconocidas, en los últimos decenios se ha producido una disminución constante de la proporción de cánceres de intestino grueso que se localizan inicialmente en el recto con el correspondiente aumento de los que lo hacen en la zona proximal del colon descendente.

Esta técnica indudablemente tiene importantes dificultades como:

  1. El importante gasto sanitario que conlleva un cribado por rectosigmoidoscopia, que según refieren algunos autores, cada vida salvada costaría unos 60 000 euros.
  2. La falta de adherencia de los pacientes a esta técnica, ya que en una encuesta de pacientes americanos asintomáticos, informados sobre la conveniencia de practicar este examen cada 3 a 5 años para prevenir el cáncer colorrectal, solamente un 13 % aceptaban someterse a esta prueba.
  3. La posibilidad de riesgo yatrógeno relacionado con el procedimiento, ya que se ha señalado que ocurren perforaciones en 1 de cada 1000 a 10 000 exámenes y hemorragias en 1 de cada 1000.

Proctosigmoidoscopia rígida

Se trata de un tubo con iluminación mediante el que se puede detectar entre un 20-25 % de los carcinomas colorrectales. Es útil para selección de adultos menores de 40 años con riesgo.

Sigmoidoscopia flexible

El sigmoidocopio es un instrumento fibróptico que mide 6 cm (centímetros) de largo, útil para la exploración del colon izquierdo, pudiendo llegar hasta el ángulo esplénico. No requiere preparación completa del intestino, no debe utilizarse para polipectomía terapéutica (excepto circunstancias especiales) y puede detectar el 50 % de los carcinomas más comunes.

Colonoscopia

Imagen endoscópica de un cáncer colorrectal.

Este estudio permite observar la mucosa de la totalidad del colon, recto y por lo general del íleon terminal. El colonoscopio es un tubo flexible con una cámara de vídeo en la punta y mide 160 cm (centímetro) de largo. La colonoscopia es el método más preciso para detectar pólipos menores de 1 cm de diámetro. También permite tomar biopsias, realizar polipectomías, controlar hemorragias y dilatar estrecheces. En el caso de cáncer de recto es necesario observarlo con un sigmoidoscopio rígido, tomar una biopsia adecuada, predecir el riesgo de obstrucción y medir cuidadosamente la distancia desde el borde distal del tumor hasta la línea pectínea. En la actualidad, la colonoscopia es el examen más preciso y completo del intestino grueso, pero esta prueba junto con el enema con bario deben considerarse complementarios entre sí. Un colonoscopio es una versión larga del sigmoidoscopio. Se introduce a través del recto hasta el ciego, y permite observar la mucosa de todo el colon.

Si se encuentra un pólipo pequeño, de menos de 3 cm, generalmente es posible la polipectomía. Algunos tipos de pólipo, incluso los que no son cancerosos, podrían malignizarse y por eso normalmente se extirpan. La polipectomía endoscópica se realiza pasando un asa de alambre a través del colonoscopio para cortar el pólipo de la pared del colon mediante una corriente eléctrica. Siempre que es posible, el pólipo se envía a anatomía patológica para analizarla en un microscopio y detectar si tiene áreas que se hayan malignizado.

Si se detecta un pólipo o tumor de gran tamaño o cualquier otra anomalía, se realizará una biopsia. Para tomar una biopsia a través del colonoscopio se extrae una pequeña porción de tejido. El examen del tejido puede ayudar a determinar si es un cáncer, un crecimiento benigno o el resultado de una inflamación.

Antes de realizar una colonoscopia el paciente debe tomar productos evacuantes diferentes de los laxantes habituales y, a veces, debe ponerse enemas para limpiar el colon, de manera que no haya heces que dificulten la visión. Normalmente la colonoscopia no provoca dolor, porque durante el acto se administran analgésicos y sedantes intravenosos. La colonoscopia se suele realizar ambulatoriamente y el paciente rara vez requiere ingreso hospitalario para esta prueba. Normalmente dura de 15 a 30 minutos, aunque puede tardar más si fuera necesario extirpar un pólipo.

La colonoscopia se debe realizar ante una prueba de sangre oculta en heces positiva, ante el hallazgo de un pólipo o tumor en la sigmoidoscopia o ante un enema de bario sospechoso, y es recomendable realizarla siempre que se tengan antecedentes familiares de pólipos o cáncer de colon, así como en mayores de 50 años. Otras indicaciones habituales son la emisión de sangre con las heces, los cambios en el ritmo intestinal de reciente comienzo o la anemia por falta de hierro en varones o mujeres postmenopáusicas.

Enema de bario con doble contraste

El sulfato de bario es una sustancia radioopaca que se usa para llenar parcialmente y abrir el colon. El sulfato de bario se administra a través de un pequeño tubo introducido en el ano. Cuando el colon está aproximadamente medio lleno de bario, se coloca al paciente sobre una mesa de rayos X para que el bario se disperse a través del colon. Luego se bombeará aire en el colon a través del mismo tubo, a fin de que se expanda. Esto produce las mejores imágenes de la mucosa del colon. Es preciso que el paciente tome laxantes la noche anterior y ponerse un enema de limpieza la mañana antes de esta prueba para que el colon esté limpio de heces.

El estudio de contraste de uso más frecuente para detectar cáncer colorrectal es el enema de bario con doble contraste de aire, pues tiene una sensibilidad del 90 % para detectar pólipos mayores de 1 cm (centímetro). Está siendo desplazado por la colonoscopia, aunque es más barato y accesible, por lo que se puede utilizar en pacientes con alta sospecha, mientras se espera a la realización de una colonoscopia. Junto con la sigmoidoscopia flexible es una alternativa eficaz para los pacientes que no toleran la colonoscopia o para el seguimiento a largo plazo tras resección de un cáncer o pólipo. También es útil en caso de lesión estenosante que impida el paso del colonoscopio.

Posibles imágenes que podemos encontrar sugerentes de cáncer colorrectal son:

  1. Imagen en «bocado de manzana».
  2. Estenosis en «servilletero» (típica del sigma).
  3. Imágenes de lesiones vegetantes, sobre todo en colon ascendente y ciego.
  4. Defectos de repleción fijos.

Colonoscopia virtual

El paciente debe tener limpio el colon de heces al igual que en la colonoscopia o el enema de bario, mediante laxantes y enemas de limpieza. En esta prueba no se introduce contraste en el colon, solo se insufla aire para dilatarlo. Luego se realiza una tomografía axial computarizada especial llamada tomografía computarizada helicoidal o espiral. Este procedimiento es probablemente más preciso que el enema con bario, pero no es tan eficaz como la colonoscopia para detectar pólipos pequeños. La ventaja es que este procedimiento se puede realizar rápidamente y no requiere que se sede al paciente y a un costo menor que la colonoscopia. Sin embargo, una desventaja es que si se detecta un pólipo o neoplasia, no se puede llevar a cabo una biopsia o extirpación del pólipo durante el examen. Actualmente se incluye la colonoscopia virtual en las pruebas recomendadas por la Sociedad Americana del Cáncer en sus «Guías para el cribado del Cáncer Colorrectal 2008» para la detección precoz del cáncer colorrectal como alternativa a la colonoscopia clásica para aquellos pacientes que no desean realizarse una colonoscopia clásica.

Otras

Otras pruebas que también se deben realizar son:

  • Análisis de sangre: en el análisis de sangre se realizará un hemograma, para saber si el paciente está anémico por el sangrado prolongado del tumor. También se solicitan enzimas hepáticas que valoran la función hepática, ya que el cáncer colorrectal tiende a diseminarse al hígado.
  • Marcadores tumorales: los cánceres del colon y del recto producen sustancias, como el antígeno carcinoembrionario (CEA) y el CA 19-9, que se liberan al torrente sanguíneo. Los análisis de sangre que determinan estos "marcadores tumorales" se usan con más frecuencia junto con otras pruebas durante el seguimiento de los pacientes que ya han recibido tratamiento de su cáncer colorrectal ya que estas pruebas pueden informarnos de la recidiva precoz del cáncer colorrectal tras una resección quirúrgica porque su monitorización en el tiempo tiene valor pronóstico. Estos marcadores tumorales no deben usarse como diagnóstico precoz de un cáncer colorrectal, es decir en personas que nunca han tenido un cáncer colorrectal y se encuentran asintomáticas porque posee una reducida sensibilidad y especificidad para el diagnóstico médico. Los niveles de un marcador tumoral pueden ser normales en una persona que tiene cáncer y pueden ser anormales debido a otras razones además del cáncer. Por ejemplo, en la sangre de algunas personas que tienen colitis ulcerosa, tumores no cancerosos en el aparato digestivo o algunos tipos de enfermedades hepáticas o enfermedad pulmonar crónica puede haber niveles más altos de estos marcadores. Fumar también puede aumentar los niveles del CEA. Asimismo, desde 2010 está disponible la detección en sangre de un nuevo marcador tumoral genético para el cáncer de colon: la forma metilada del gen (mSEPT9), que se encuentra en más del 90 % de los tumores de colon, pasando a la sangre en forma de ADN libre. La presencia de mSEPT9 en el plasma indica la posibilidad de que exista una neoformación relacionada con cáncer de colon. Este marcador se encuentra en otro tipo de tumores con muy poca frecuencia.
  • Biopsia: generalmente, si durante cualquier prueba se sospecha la presencia de un cáncer colorrectal, se toma una biopsia durante la colonoscopia. La biopsia proporciona el diagnóstico histológico o histopatológico, que generalmente suele ser un diagnóstico definitivo y del que depende el tratamiento junto con el diagnóstico de extensión.
  • Ecografía: la ecografía abdominal no es, en general, una buena prueba para examinar el abdomen porque el aire intestinal interfiere en la imagen. Se pueden usar dos tipos especiales de exámenes de ecografía para evaluar a las personas con cáncer del colon y del recto.
  1. La ecografía endorrectal utiliza un transductor especial que se introduce directamente en el recto. Esta prueba se usa para observar la afectación de las paredes del recto y si se ha propagado a órganos o tejidos vecinos, como los ganglios linfáticos perirrectales, en caso de cáncer de recto.
  2. La ecografía intraoperatoria se hace después de que el cirujano haya abierto la cavidad abdominal. El transductor se puede colocar sobre la superficie del hígado, lo que hace que esta prueba sea muy útil en la detección de metástasis de cáncer colorrectal en el hígado.

No se puede usar la ecografía para detectar tumores en el colon.

Un tipo especial de TAC, es la TAC espiral que proporciona gran detalle y también es útil para diagnosticar metástasis de cáncer colorrectal. En el TAC espiral con portografías, el material de contraste se inyecta en la vena porta, para ayudar a diagnosticar metástasis del cáncer colorrectal en el hígado. La TAC también se utiliza para guiar con precisión una aguja de biopsia hacia una posible metástasis. Para este procedimiento, llamado biopsia con aguja guiada por TAC, el paciente permanece en la mesa de TAC, mientras se introduce una aguja de biopsia hacia la localización exacta del tumor. La TAC continúa hasta que se está seguro de que la aguja se encuentra dentro de la masa. Se extrae una pequeña muestra de tejido mediante una biopsia con aguja y se examina al microscopio.

  • Resonancia magnética nuclear (RMN): sirve para ver la afectación abdominal del cáncer colorrectal. Produce muy buenas imágenes del cerebro y de la médula espinal, en caso de metástasis.
  • Radiografía de tórax: esta prueba se hace para determinar si el cáncer colorrectal se ha propagado a los pulmones.
  • Tomografía por emisión de positrones (PET): se utiliza para descartar la presencia de metástasis a distancia en el cáncer colorrectal.
  • Angiografía: esta prueba consiste en la inyección de contraste radiológico en un vaso sanguíneo.
  • Test genéticos: como se ha comentado hay cánceres de colon con claro factor hereditario (entre 2 y un 5 % de los diagnosticados), aunque se considera que el resto (los esporádicos y familiares) también están influidos por factores genéticos. En los últimos años se han identificado diversos genes que indican qué personas (o familiares de las mismas) tienen un mayor riesgo de sufrir un cáncer de colon. Los que proporcionan mayor información son los localizados en los cromosomas 8, 9 y 15. Existen test disponibles que valoran el riesgo de desarrollo de un cáncer de colon a partir de esta información genética.[27][28]

Tratamiento

El tratamiento del cáncer colorrectal puede incluir:[29]

  • Cirugía.
  • Medicamentos o quimioterapia por vía intravenosa u oral o quimioterapia por vía intratecal (medicamentos introducidos en la médula espinal con una aguja, en el área denominada espacio subaracnoide).[30]​ Fundamentalmente oxaliplatino, irinotecán y bevacizumab.
  • HIPEC
  • Radioterapia
  • El uso de estent de colon:[31]​ Se trata de un dispositivo que permite, en cáncer colorrectal oclusivo, tratar la oclusión de forma sintomática sin resolver el problema oncológico.
  • Terapia biológica
  • Medicamentos para prevenir y tratar náuseas y otros efectos secundarios del tratamiento

Complicaciones

Un porcentaje importante de pacientes se atiende por primera vez con síntomas agudos que indican obstrucción o perforación del intestino grueso. Desafortunadamente es posible que los primeros signos de cáncer de colon dependan de una enfermedad metastásica. Las metástasis hepáticas masivas pueden causar prurito e ictericia. La presencia de ascitis, ovarios crecidos y depósitos diseminado en los pulmones en la radiografía de tórax pueden deberse a un cáncer de colon que puede ser asintomático.

Las principales:

  1. Cáncer colorrectal con obstrucción aguda: la oclusión del colon sugiere firmemente un cáncer, sobre todo en ancianos. En menos del 10 % es completa. Los pacientes con obstrucción completa refieren distensión abdominal, dolor abdominal de tipo cólico (lo que sugiere que el cáncer está en el lado izquierdo que es más estrecho) y se quejan de la incapacidad para eliminar gases o heces. Requiere diagnóstico y tratamiento inmediato. Si la obstrucción no se alivia y el colon continúa distendido, la presión en la pared intestinal puede exceder la de los capilares y no llegar la sangre oxigenada a la pared del intestino, lo que origina isquemia y necrosis. Si no se trata inmediatamente, la necrosis evolucionará hasta la perforación con peritonitis fecal y sepsis. La obstrucción intestinal baja se produce fundamentalmente en el carcinoma de colon izquierdo (debido al menor calibre de su luz). La sintomatología típica de la obstrucción intestinal baja es la de dolor cólico, vómitos, distensión abdominal y ausencia de emisión de gases y heces. Por tanto siempre debemos incluir al cáncer de colon en el diagnóstico diferencial de las obstrucciones intestinales agudas bajas.
  2. Cáncer colorrectal con perforación: la perforación del cáncer de colon (complicación poco frecuente) se puede producir por dos mecanismos:
    1. Como complicación de una obstrucción aguda en los tumores de colon izquierdo (fundamentalmente), y suele producirse en el segmento proximal a la obstrucción, que se encuentra distendido. La perforación es muy grave por el paso de las bacterias de la flora colónica a la cavidad peritoneal, que producen una peritonitis aguda fecal.
    2. Como perforación de la propia tumoración. Ésta suele darse en los tumores derechos, y suele cubrirse mediante la formación de un plastrón (reacción del peritoneo y epiplón), dando lugar a la formación de una peritonitis circunscrita (absceso).

Metástasis

El cáncer colorrectal puede diseminarse de cinco formas diferentes:

  1. Directa: por continuidad a la pared intestinal y a través de ella, a las estructuras adyacentes. En el caso del colon izquierdo, el lugar más frecuente de propagación directa es el uréter ipsilateral.
  2. Linfática: es el tipo de diseminación más importante porque se trata de uno de los criterios fundamentales a la hora de decidir la amplitud de exéresis quirúrgica. Por ello, el cirujano debe realizar sistemáticamente la exéresis total de los trayectos y vías linfáticas correspondiente al segmento intestinal en que asienta el cáncer. Distinguiremos entre:
    1. Cáncer de colon: las estaciones ganglionares se disponen en los siguientes grupos: ganglios paracólicos, ganglios intermedios, ganglios principales y ganglios lateroaórticos y preaórticos.
    2. Cáncer de recto: la diseminación puede seguir las siguientes direcciones: diseminación ascendente, diseminación lateral y diseminación descendente
  3. Hemática: las metástasis hemáticas son frecuentes y se localizan fundamentalmente en hígado (a través de la vena mesentérica y la porta) y pulmón; también puede localizarse en las suprarrenales, huesos, riñones, cerebro.
  4. Siembra peritoneal: la carcinomatosis peritoneal es poco frecuente, aunque muy grave, ya que significa que el cáncer es irresecable con respecto a su radicalidad. Inicialmente aparecen pequeños nódulos cerca del tumor primitivo, invadiendo en fases más avanzadas todo el peritoneo parietal, epiplón y el peritoneo de las vísceras vecinas pudiendo aparecer ascitis abundante, que puede o no ser hemorrágica.
  5. Intraluminal por implantación en otros puntos del intestino: es muy frecuente que las recidivas locales ocurran en las líneas de sutura de la anastomosis intestinal, sugiriendo que se deban al injerto de células desprendidas en la luz intestinal. Otro tipo de recidiva se produciría si el cirujano dejase los bordes de la pieza quirúrgica con afectación microscópica.

Prevención

Los exámenes de prevención se utilizan para detectar pólipos y evitar que evolucionen a cáncer. Los exámenes de detección precoz se usan para detectar el cáncer en sus fases iniciales, aunque no existan síntomas ni antecedentes de dicha enfermedad. Las pruebas de detección precoz del cáncer colorrectal no solo pueden diagnosticarlo en una etapa temprana y curable, sino que también pueden prevenirlo al encontrar y extirpar pólipos que pueden malignizarse. Los cánceres también se pueden diagnosticar en sus etapas tempranas si el paciente comunica inmediatamente al médico cualquier síntoma, pero es mejor si se somete a pruebas de diagnóstico precoz antes de que aparezcan los síntomas.

La Sociedad Estadounidense del Cáncer recomienda tanto a hombres como mujeres a partir de los 50 años de edad, las siguientes tres opciones de prevención del cáncer y tres opciones de detección precoz del cáncer:[32]

Prevención:

  • Colonoscopía cada 10 años (prueba de prevención preferida).
  • Sigmoidoscopía flexible cada 5 años (prueba de prevención alternativa).
  • Colonoscopía virtual cada 5 años (prueba de prevención alternativa).

Detección:

  • Test de Inmunohistoquímica Fecal en sangre (FIT) anual (Prueba de detección preferida).
  • Prueba anual de sangre oculta en heces (PSOH) (Prueba de detección alternativa).
  • Test del ADN fecal cada 3 años. (Prueba de detección alternativa).

Debe someterse a pruebas de prevención y/o detección precoz de cáncer colorrectal a una edad más joven o hacérselas con mayor frecuencia, si existe cualquiera de los siguientes factores de riesgo de cáncer colorrectal:

  1. Antecedentes familiares de cáncer o pólipos colorrectales (cáncer o pólipos en un familiar de primer grado menor de 60 años o en dos familiares de primer grado de cualquier edad).
  2. Antecedentes familiares conocidos de síndromes de cáncer colorrectal hereditarios (poliposis adenomatosa familiar y cáncer colorrectal hereditario sin poliposis).
  3. Antecedentes personales de cáncer colorrectal o pólipos adenomatosos: Se recomienda colonoscopia anualmente en el caso de cáncer colorrectal y de uno a tres años en el caso de pólipos adenomatosos.
  4. Antecedentes personales de enfermedad inflamatoria intestinal.

Si la colonoscopia no está disponible, no es factible o el paciente no la desea, un enema de bario de doble contraste solamente, o la combinación de sigmoidoscopia flexible y enema de bario de doble contraste (EBDC) son alternativas aceptables. La adición de la sigmoidoscopia al EBDC puede proporcionar una evaluación diagnóstica más completa que el EBDC por sí solo, para encontrar lesiones significativas. Si el examen colonoscópico no puede alcanzar el ciego, es posible que se necesite un EBDC complementario, y si el EBDC identifica una lesión posible o no permite la visualización adecuada de todo el colon y recto, es posible que sea necesario realizar una colonoscopia complementaria.

Las personas con enfermedad celíaca a tratamiento con la dieta sin gluten tienen un riesgo más bajo de desarrollar cáncer de colon que el resto de la población. Un estudio de 2014 concluyó que la dieta sin gluten parece ejercer un efecto protector, puesto que este pequeño riesgo disminuye a partir del año de dieta sin gluten y es más bajo aún en las personas que hacen la dieta correctamente sin transgresiones, es decir, de forma estricta.[33][34]

Coevaluación del genoma y epigenoma

El cáncer colorrectal es la principal causa de muerte y es objeto de una extensa investigación genética. Sin embargo, las mutaciones del ADN no pueden explicar completamente la transformación maligna, por lo que es necesario estudiar la coevolución genómica y epigenética de manera cuantitativa mediante perfiles multiómicos con resolución de clon único y muestreo espacial preciso de neoplasias humanas.

Los cambios recurrentes en la cromatina son en gran medida clonales

La accesibilidad a la cromatina somática (SCAA) es altamente recurrente tanto en los promotores y potenciadores putativos de genes de interés, que producen cambios epigenéticos clonales alterados frecuentemente. Por ejemplo el que se produce en el promotor JAK3 con una ganancia de accesibilidad a la cromatina en el gen supresor de tumores CCDC6, estas mutaciones son poco frecuentes. Además se presenta la pérdida del potenciador ARID1A en los diferentes estadios del CCR.

Las alteraciones en otros impulsores como la pérdida de los promotores SMAD3 y SMAD4 y la ganancia del potenciador NCOR2 y NFATC2 y LIFR alterados epigenéticamente y presentan ausencia de mutaciones en el ADN. Existe SCAA en promotores típicamente clonales en FOXQ1, que es un oncogén implicado en la tumorigenicidad, la angiogénesis y el reclutamiento de macrófagos durante la progresión. La mayoría de SCAA recurrentes son clonales en el cáncer y una proporción de SCAA subclonales.

Cambios de cromatina en adenomas y cánceres

Entre adenomas y carcinomas existe limitaciones a nivel de mutaciones puntuales en los genes impulsores y, en cambio, diferencias importantes en el nivel de inestabilidad cromosómica y en el recableado epigenético La mayor carga de ganancias de SCAA en los cánceres respalda la idea de que la carcinogénesis implica una mayor accesibilidad a la cromatina en todo el genoma, por lo tanto los SCAA en los tumores son alteraciones somáticas originadas durante la tumorigénesis, en lugar de durante el proceso normal de envejecimiento epigenético de las criptas del colon.

Impacto de los SCAA en la expresión genética

Los promotores y de los potenciadores con SCAA presentan signos de alteración de la expresión de genes asociados al cáncer, mientras que los cambios en la cromatina son realmente importantes para la evolución del tumor. Las mutaciones somáticas en los SCAA están relacionadas con el análisis de las variantes de un solo nucleótido (SNV) que presentan cambios en la expresión del gen cis y coincidieron con un cambio en la accesibilidad a la cromatina.

Las señales de los factores de transcripción indican reprogramación epigenética

Los interferones presentan efectos proapoptóticos y antiproliferativos directos sobre las células cancerosas y estimulan la inmunidad antitumoral. Si se produce una regulación negativa se la señalización del interferón por la pérdida de accesibilidad a la cromatina en loci supuestamente unidos por factor de transcripción se suprime el sistema inmune.

En cánceres de MSI se genera la pérdida de accesibilidad del sitio de unión de CTCF y existe una mayor accesibilidad a la cromatina para los TF involucrados en el desarrollo, como las familias HOX, FOX y SOX que aportan a la reactivación de genes en el desarrollo en la tumorogénesis. Mediante el RNA-seq se evidencio que los índices del antígeno leucocitario humano disminuyen de forma significativa en cánceres MSS y MSI en comparación a los tejidos normales que está directamente relacionado con la regulación negativa del interferón, mientras tanto, los sitios de unión de TF de SNAI1 y SNAI2 presentan mutaciones truncadas en los genes modificadores de la cromatina.

Desmetilación de sitios de unión a TF en desarrollo

La metilación del ADN es un proceso epigenético donde participa la regulación de la expresión génica de forma directamente, al impedir la unión de factores de transcripción e indirectamente propiciando la estructura cerrada de la cromatina. Los cambios que se generan en la accesibilidad de la cromatina están relacionados con la metilación del ADN, en la cual la heterocromatina frecuentemente sufre una metilación del misma manera que las regiones abiertas de la cromatina. Los sitios de unión de TF de DLX5, HOXA4, HOXB4, ISL1, SOX5 y SOX6 tienen una metilación en estas regiones era significativamente menor que la del tejido normal y no está vinculado a una hipometilación global.

Los cambios de cromatina son estables y hereditarios

Los organismos con el mismo genoma heredan información adicional a la codificada en la secuencia de ADN, a este proceso de le denomina herencia epigenética. Por lo tanto los SCAA comunes presentan una descendencia en común al igual que los TF una heredabilidad, lo que significa que recableado de la cromatina existe un ancestro común y se heredan del tumor por lo tanto los cambios de cromatina son estables y hereditarios. La herencia epigenética en la actualidad es más investigada ya que es importante en el desarrollo de procesos, metabolismo y la oncogénesis.

Firmas mutacionales que afectan el epigenoma

La falta de reparación de errores de coincidencia de ADN esta relaciona con fenotipos de inestabilidad de microsatélites, lo que conlleva al aumenta la carga mutacional, lo que puede afectar las respuestas inmunes antitumorales y la eficiencia de los fármacos. En el CCR se han encontrado seis firmas mutacionales, la más importante la SparseSignature1, correspondiente a la firma COSMIC 1. Estas firmas se encuentran relacionadas con la aparición esporádica de los cánceres de colon y recto.

Los cambios genéticos y epigenéticos en los genes relacionados con el cáncer ocurren de forma independiente pero periódica, y estos cambios epigenéticos pueden controlar importantes fenotipos de células tumorales, incluso evadiendo el sistema inmunológico. Además, los cambios presentes en la cromatina son estables y hereditarios y representan cambios somáticos que pueden conducir a la evolución. Las características epigenéticas de los adenomas y los cánceres son diferentes, siendo menor la incidencia de SCAA en los adenomas.

Métodos

Para el análisis de criptas cancerígenas y normales del colon se estudio el RNA, DNA y secuencia del genoma completo.


Véase también

Referencias

  1. Cáncer colorrectal. Londres: Instituto Nacional para la Excelencia en Salud y Atención (NICE); 15 de diciembre de 2021. (Guía NICE, N.º 151.) Disponible en: https://www.ncbi.nlm.nih.gov/books/NBK559922/?report=classic
  2. «Cáncer». World Health Organization. febrero de 2006. Consultado el 24 de mayo de 2007. 
  3. Chao A, Thun MJ, Connell CJ, McCullough ML, Jacobs EJ, Flanders WD, Rodriguez C, Sinha R, Calle EE. Meat consumption and risk of colorectal cancer. JAMA 2005;293:172-82. PMID 15644544.
  4. Véase http://www.ncbi.nlm.nih.gov/pubmed/19279082
  5. Reporte de BBC news (en inglés)
  6. Park Y, Hunter DJ, Spiegelman D, Bergkvist L, Berrino F et al. Dietary fiber intake and risk of colorectal cancer: a pooled analysis of prospective cohort studies. JAMA 2005;294:2849-57. PMID 16352792.
  7. National Cancer Institute - Who is at risk? Colorectal Cancer: Who's at Risk? (National Institutes of Health: National Cancer Institute)
  8. «Alcohol Consumption». progressreport.cancer.gov (en inglés). Consultado el 10 de junio de 2025. 
  9. Longnecker, M.P. Alcohol consumption in relation to risk of cancers of the breast and large bowel. Alcohol Health & Research World 16(3):223-229, 1992.
  10. Longnecker, M.P.; Orza, M.J.; Adams, M.E.; Vioque, J.; and Chalmers, T.C. A meta-analysis of alcoholic beverage consumption in relation to risk of colorectal cancer Cancer Causes and Control 1(1):59-68, 1990.
  11. Kune, S.; Kune, G.A.; and Watson, L.F. Case-control study of alcoholic beverages as etiological factors: The Melbourne Colorectal Cancer Study Nutrition and Cancer 9(1):43-56, 1987.
  12. Potter, J.D., and McMichael, A.J. Diet and cancer of the colon and rectum: A case-control study Journal of the National Cancer Institute 76(4):557-569, 1986.
  13. a b National Institute on Alcohol Abuse and Alcoholism Alcohol and Cancer - Alcohol Alert No. 21-1993 Archivado el 23 de diciembre de 2005 en Wayback Machine.
  14. Alcohol Consumption and the Risk for Colorectal Cancer 20 April 2004
  15. «Alcohol Intake and Colorectal Cancer: A Pooled Analysis of 8 Cohort Studies». Archivado desde el original el 2 de septiembre de 2009. Consultado el 23 de octubre de 2007. 
  16. Boston University "Alcohol May Increase the Risk of Colon Cancer"
  17. Su LJ, Arab L. Alcohol consumption and risk of colon cancer: evidence from the National Health and Nutrition Examination Survey I Epidemiologic Follow-Up Study. Nutr and Cancer. 2004;50(2):111–119.
  18. Cho E, Smith-Warner SA, Ritz J, van den Brandt PA, Colditz GA, Folsom AR, Freudenheim JL, Giovannucci E, Goldbohm RA, Graham S, Holmberg L, Kim DH, Malila N, Miller AB, Pietinen P, Rohan TE, Sellers TA, Speizer FE, Willett WC, Wolk A, Hunter DJ Alcohol intake and colorectal cancer: a pooled analysis of 8 cohort studies Ann Intern Med 2004 Apr 20;140(8):603-13
  19. Joseph C. Anderson, Zvi Alpern, Gurvinder Sethi, Catherine R. Messina, Carole Martin, Patricia M. Hubbard, Roger Grimson, Peter F. Ells, and Robert D. Shaw Prevalence and Risk of Colorectal Neoplasia in Consumers of Alcohol in a Screening Population Am J Gastroenterol Volume 100 Issue 9 Page 2049 Date September 2005
  20. «Revisan el primer Plan del Cáncer en España para un mejor control de la enfermedad». 6 de septiembre de 2018. Consultado el 26 de octubre de 2018. 
  21. IBANEZ AGUIRRE, F. J., ERRO AZCARATE, J. M., ARANDA LOZANO, F. et al. Adenocarcinoma mucinoso sobre fístula perianal de largo tiempo de evolución, tratado mediante QT-RT neoadyuvante y amputación abdómino-perienal laparoscópica. Rev. esp. enferm. dig. [online]. 2006, vol. 98, no. 4 [citado 2007-10-23], pp. 310-312. Disponível em: [1]. ISSN 1130-0108.
  22. Sandro Casavilca Zambrano, Juvenal Sanchez Lihon, Alfonso Zavaleta. Carcinoma de células en anillo de sello del colon y recto en el Instituto Nacional de Enfermedades Neoplásicas. 234 REV. GASTROENTEROL. PERÚ 2004; 24: 234-237. [2]
  23. Atlas de patología. 1
  24. George B, Kopetz S. Predictive and prognostic markers in colorectal cancer. Curr Oncol Rep 2011;13:206-215.
  25. María de las Mercedes Veira, Dr. Diego Andrés Moreno Funes. PRUEBAS DIAGNOSTICAS UTILIZADAS PARA LA DETECCIÓN PRECOZ EN EL CARCINOMA COLORRECTAL Revista de Posgrado de la VI.ª Cátedra de Medicina, N.º 147, julio (2005), pp. 18-25. Último acceso: 3 de enero de 2007.
  26. Ricardo Bonafont. Universitat Autónoma de Barcelona. (2001) [3] Archivado el 20 de julio de 2011 en Wayback Machine. Último acceso: 3 de enero de 2007.
  27. Haiman CA, et al. A common genetic risk factor colorectal and prostate cancer. Nat Genet 2007; 39: 954-6
  28. «ColonRisk». Archivado desde el original el 21 de septiembre de 2017. Consultado el 2 de noviembre de 2018. 
  29. Maite Hernández Menéndez, María de los Ángeles Ríos Hernández: Oncogenes y cáncer. Archivado el 23 de septiembre de 2013 en Wayback Machine. Instituto Nacional de Oncología y Radiobiología. Rev Cubana Oncol 1999;15(2):131-9
  30. Agentes citostáticos. Archivado el 16 de mayo de 2013 en Wayback Machine. Protocolos de vigilancia sanitaria específica. Comisión de Salud Pública de Consejo Interterritorial del Sistema Nacional de Salud, España, 2003
  31. Alonso-Hernández, N; Segura-Sampedro, JJ; Soldevila Verdeguer, CM; Ochogavía Seguí, A; Olea Martinez-Mediero, JM; Fernández Isart, M; Gamundi Cuesta, M; González-Argente, XF (24 de marzo de 2020). «Results of a national survey on the use of stents for the treatment of colonic obstruction.». Cirugia espanola. PMID 32220416. 
  32. Las siguientes asociaciones médicas también recomiendan lo mismo: la National Cancer Institute, el American Gastroenterological Association, el American Society for Gastrointestinal Endoscopy, el American College of Obstetricians and Gynecologists, el American College of Physicians, el American College of Radiology Archivado el 10 de junio de 2007 en Wayback Machine., el Canadian Task Force, la U.S.Preventive Services Task Force Archivado el 13 de octubre de 2008 en Wayback Machine., la Asociación Española de Cirujanos
  33. Han Y, Chen W, Li P, Ye J (2015). «Association Between Coeliac Disease and Risk of Any Malignancy and Gastrointestinal Malignancy: A Meta-Analysis.». Medicine (Baltimore) (Meta-análisis) 94 (38): e1612. PMC 4635766. PMID 26402826. doi:10.1097/MD.0000000000001612. 
  34. Volta U, Vincentini O, Quintarelli F, Felli C, Silano M; Collaborating Centres of the Italian Registry of the Complications of Celiac Disease. (mayo de 2014). «Low risk of colon cancer in patients with celiac disease». Scand J Gastroenterol 49 (5): 564-8. PMID 24621303. doi:10.3109/00365521.2014.893012. «In conclusion, this cohort study indicates that celiac patients are at lower risk to develop a colon carcinoma with respect to the general population. This little risk declines over the first year after the diagnosis of CD and is further lower for treated celiac patients who follow a strict GFD. En conclusión, este estudio de cohorte indica que los pacientes celíacos tienen menor riesgo de desarrollar un carcinoma de colon con respecto a la población general. Este pequeño riesgo disminuye durante el primer año después del diagnóstico de EC [enfermedad celíaca] y es aún más bajo para los pacientes celíacos tratados que siguen una DSG [dieta sin gluten] estricta.» 

Enlaces externos