Hepatitis alcohólica
| Hepatitis alcohólica | ||
|---|---|---|
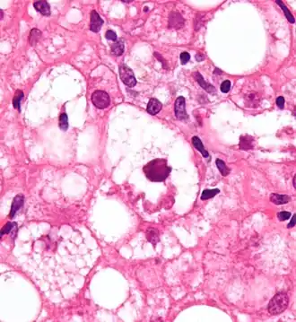
![]() Micrograph showing a Mallory body, a histopathologic finding associated with alcoholic hepatitis. H&E stain. | ||
| Especialidad | gastroenterología | |
| Complicaciones | Cirrosis, insuficiencia renal, confusión, somnolencia y dificultad para hablar (encefalopatía hepática), ascitis, venas agrandadas (varices) | |
| Factores de riesgo | Sexo, obesidad, factores genéticos, raza y etnia, consumo excesivo de alcohol | |
La hepatitis alcohólica (HA) (inflamación hepática) debido al consumo excesivo de alcohol. Mientras la cirrosis es una etapa tardía de la hepatopatía alcohólica, la hepatitis alcohólica es una etapa temprana de la enfermedad. Síntomas como ascitis, edema, fatiga, ictericia, y encefalopatía hepática pueden variar según la respuesta del propio organismo. Muchos casos son autolimitados, mientras que aquellos casos más severos incluso ponen en riesgo la vida del paciente.
Al utilizar la terminología hepatitis alcohólica, es importante entender la diferencia entre esteatohepatitis alcohólica (EHA) y hepatitis alcohólica (HA). Entre el 20% y el 40% de las personas que beben alcohol en grandes cantidades y tienen hígado graso ocasionalmente desarrollan inflamación hepática, que se conoce como EHA. La EHA es un diagnóstico basado en la histología hepática (requiere biopsia hepática), mientras que la HA es un diagnóstico clínico.[1]
Epidemiología
- La hepatitis alcohólica se presenta en aproximadamente 1/3 de los bebedores crónicos de alcohol.[2]
- Entre el 10 y el 20% de los pacientes con hepatitis alcohólica progresan a cirrosis hepática alcohólica cada año.[3]
- Los pacientes con cirrosis hepática desarrollan cáncer de hígado a una tasa del 1,5% por año.[4]
- En total, el 70% de las personas con hepatitis alcohólica desarrollarán cirrosis hepática alcohólica a lo largo de su vida.
- El riesgo de infección es elevado en pacientes con hepatitis alcohólica (12-26%). Aumenta aún más con el uso de corticosteroides (50%)[5] en comparación con la población general.
- La mortalidad por hepatitis alcohólica no tratada en el plazo de un mes desde su presentación puede llegar al 40-50%.[6]
Diagnóstico
La clínica, el antecedente de consumo de alcohol, más los hallazgos de laboratorio permiten confirmar el diagnóstico. Dentro de los hallazgos de laboratorio podemos observar:
- GOT/GPT > 2
- Aumento de la gamma glutamil transpeptidasa (CGT) (en ausencia de elevación de la fosfatasa alcalina resulta muy orientador a hepatitis alcohólica)
- Volumen corpuscular medio > 100
- Aumento en IgA
- Aumento de la concentración sérica de ferritina con valores de saturación normal
El más sensible de estos valores es el aumento de la GGT.
Diagnóstico diferencial
Los diagnósticos diferenciales de la hepatitis alcohólica incluyen esteatohepatitis no alcohólica, hepatitis viral aguda o crónica, lesión hepática inducida por fármacos, enfermedad de Wilson fulminante, enfermedad hepática autoinmune, deficiencia de alfa-1 antitripsina, absceso hepático piógeno, colangitis ascendente o descompensación asociada con carcinoma hepatocelular.[1]
Pruebas de imagen
La ecografía es la primera prueba de diagnóstico por imagen de elección para evaluar a los pacientes con hepatitis alcohólica ; puede utilizarse para descartar cálculos biliares y otros trastornos de las vías biliares. No siempre es necesaria una biopsia hepática, pero es útil para descartar otros trastornos.[1]
Fisiopatología
El consumo crónico de alcohol lleva a un aumento de la permeabilidad intestinal, empeorando la endotoxemia, estimulando las células de Kupffer y debido a esto incrementa la producción de citoquinas proinflamatorias. Altos niveles de factor de necrosis tumoral alfa (TNFα) activan las vías de muerte celular e inducen la producción de especies reactivas de oxígeno, aumenta los aniones superóxido, por medio de la mitocondria del hepatocito, llevando por último a una muerte celular.[7]
Tratamiento
El tratamiento se basa principalmente en el uso de corticoides y medidas de mantención. Es necesario además estratificar al paciente usando la escala MELD o Child Pugh.
Corticoides
Pacientes con un índice de Maddrey superior a 32 o con encefalopatía hepática debería ser considerado para tratamiento con 40 mg diarios de prednisolona por 4 semanas, seguidos por una disminución gradual. El uso de corticoides más N-acetilcisteína ha demostrado una leve disminución en la mortalidad de los pacientes con hepatitis alcohólica, pasando del 38% en el grupo que solo recibió prednisona a 27% en el grupo que recibió prednisona más N-acetilcisteína.[8]
Pentoxifilina
Un estudio randomizado encontró que entre los pacientes con un índice de Maddrey superior a 32 y al menos uno de los siguientes síntomas; Hepatomegalia palpable, Fiebre, Leucocitosis, encefalopatía hepática o soplo hepático), al ser tratados con pentoxifilina 400 mg oralmente 3 veces al día por 4 semanas solamente 1/4.6 pacientes moría.[9]
Referencias
- ↑ a b c Shah, Niraj J.; Royer, Amor; John, Savio (2024). Alcoholic Hepatitis. StatPearls Publishing. Consultado el 4 de noviembre de 2024.
- ↑ Barrio, E.; Tomé, S.; Rodríguez, I.; Gude, F.; Sánchez‐Leira, J.; Pérez‐Becerra, E.; González‐Quintela, A. (2004-01). «Liver Disease in Heavy Drinkers With and Without Alcohol Withdrawal Syndrome». Alcoholism: Clinical and Experimental Research (en inglés) 28 (1): 131-136. ISSN 0145-6008. doi:10.1097/01.ALC.0000106301.39746.EB. Consultado el 4 de noviembre de 2024.
- ↑ Fleming, Kate M.; Aithal, Guruprasad P.; Card, Tim R.; West, Joe (2012-01). «All‐cause mortality in people with cirrhosis compared with the general population: a population‐based cohort study». Liver International (en inglés) 32 (1): 79-84. ISSN 1478-3223. doi:10.1111/j.1478-3231.2011.02517.x. Consultado el 4 de noviembre de 2024.
- ↑ Schwartz, Jonathan M.; Reinus, John F. (1 de noviembre de 2012). «Prevalence and Natural History of Alcoholic Liver Disease». Clinics in Liver Disease. A Practical Approach to the Spectrum of Alcoholic Liver Disease 16 (4): 659-666. ISSN 1089-3261. doi:10.1016/j.cld.2012.08.001. Consultado el 4 de noviembre de 2024.
- ↑ «GastroJournal».
- ↑ Singal, Ashwani K.; Kodali, Sudha; Vucovich, Lee A.; Darley-Usmar, Victor; Schiano, Thomas D. (2016-07). «Diagnosis and Treatment of Alcoholic Hepatitis: A Systematic Review». Alcoholism: Clinical and Experimental Research (en inglés) 40 (7): 1390-1402. doi:10.1111/acer.13108. Consultado el 4 de noviembre de 2024.
- ↑ [1]
- ↑ Glucocorticoids plus N-Acetylcysteine in Severe Alcoholic Hepatitis. Eric Nguyen-Khac, M.D., Ph.D., Thierry Thevenot, N Engl J Med 2011; 365:1781-1789 http://www.nejm.org/doi/full/10.1056/NEJMoa1101214?query=BUL
- ↑ Akriviadis E, Botla R, Briggs W, Han S, Reynolds T, Shakil O (2000). «Pentoxifylline improves short-term survival in severe acute alcoholic hepatitis: a double-blind, placebo-controlled trial». Gastroenterology 119 (6): 1637-48. PMID 11113085. doi:10.1053/gast.2000.20189. (ACP Journal Club synopsis Archivado el 4 de marzo de 2016 en Wayback Machine.)
