Cirrosis hepática
| Cirrosis hepática | ||
|---|---|---|
|
Cirrosis de hígado visto axialmente con tomografía computada de abdomen | ||
| Especialidad |
gastroenterología hepatología | |
| Síntomas | Cansancio, picazón, hinchazón en la parte inferior de las piernas, ictericia, aparición de moretones con facilidad, acumulación de líquido en el abdomen | |
| Complicaciones | Peritonitis bacteriana espontánea, encefalopatía hepática, venas dilatadas en el esófago, cáncer de hígado[1] | |
La cirrosis hepática es la cirrosis que afecta al tejido hepático como consecuencia final de diferentes enfermedades crónicas.[2]
Las consecuencias de la cirrosis hepática sobre la salud del individuo dependen fundamentalmente del grado de funcionalidad que el hígado pueda conservar a pesar de la alteración histológica.[3][1]
Epidemiología

Según la OMS, en total mueren anualmente aproximadamente unas 27 000 personas a causa de cirrosis hepática en los países desarrollados.[4]
En España, afecta a 4 de cada 10 000 personas. De éstas, la gran mayoría desarrolla la enfermedad por el consumo excesivo de alcohol.[5]
Anatomía patológica
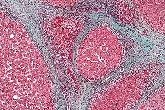
La anormalidad principal de la cirrosis hepática es la presencia de fibrosis, que consiste en el depósito de fibras de colágeno en el hígado. Pero para que se pueda hacer el diagnóstico anatomopatológico de cirrosis, este acúmulo de fibras ha de delimitar nódulos, es decir, ha de aislar áreas de tejido hepático, alterando la arquitectura del órgano y dificultando la relación entre los hepatocitos y los finos vasos sanguíneos a través de los cuales ejercen su función de síntesis y depuración y a través de los cuales se nutren.
De modo esquemático, la fibrosis forma algo parecido a una red tridimensional dentro del hígado, en la que las cuerdas de la red serían la fibrosis y las áreas que quedan entre las mismas los nódulos de células que regeneran dentro del mismo. Esta alteración se denomina nódulo de regeneración y es la característica que permite establecer el diagnóstico de cirrosis. Existen otras alteraciones hepáticas que se acompañan de fibrosis, que no se consideran cirrosis al no cumplir la condición de formar nódulos de regeneración.
Etiología (causas)
Las principales causas de cirrosis en los países desarrollados son:
- El consumo excesivo de alcohol (cirrosis hepática de Laennec, cirrosis alcohólica, etílica o enólica).
- La hepatitis crónica por virus C (cirrosis por virus C).
- Otros virus, como el de la hepatitis crónica por virus de la hepatitis B y o infección crónica mixta por virus de la hepatitis B y virus de la hepatitis D.
- Cirrosis biliar primaria de origen inmunológico.
- Cirrosis hepática criptogénica: de origen desconocido.
- Enfermedades colestásicas crónicas (que afectan a la producción o a la salida de la bilis del hígado), tales como la cirrosis biliar primaria o la colangitis esclerosante primaria.
- Enfermedades metabólicas congénitas del hígado como la hemocromatosis primaria (sobrecarga hepática de hierro —bastante frecuente—), la enfermedad de Wilson (sobrecarga hepática de cobre —muy rara—) y la deficiencia de alfa-1 antitripsina (también bastante rara); o enfermedades metabólicas adquiridas como la esteatohepatitis no alcohólica asociada a la diabetes o la dislipidemia.
- Otras: hepatitis autoinmune. Toxicidad hepática por fármacos u otros químicos hepatotóxicos. Existen otras causas mucho más raras y algunas específicas de la infancia que producen cirrosis precoz en niños o adolescentes.
Todas las enfermedades anteriormente citadas habitualmente necesitan años de evolución para llegar a producir cirrosis. Además, en muchos casos, el consumo excesivo de alcohol o la hepatitis crónica por virus C no llegan a producir nunca cirrosis y el paciente fallece por un motivo independiente de la enfermedad hepática.
Etiopatogenia
De forma similar a lo que acontece en otros tejidos, la inflamación hepática es el proceso básico por el que el hígado responde al daño, cualquiera que sea este. Mediante este proceso, el tejido hepático es capaz de reconocer el daño y si es posible repararlo. Si la reparación no es posible, entonces destruirá el tejido dañado. En condiciones normales, este tipo de respuesta restaura la estructura y la función originales y mantiene la homeostasis tisular, pero a veces la lesión es demasiado intensa o persistente, y el propio proceso inflamatorio compromete la integridad estructural a través de procesos como la fibrosis, con posterior esclerosis, ya que se reemplazan las estructuras dañadas por tejido anormal.
Los diferentes agentes etiológicos de las enfermedades hepáticas crónicas mencionados en el anterior apartado pueden causar daño tisular, inflamación y necrosis hepatocitaria, pero el tipo de reparación celular que predomine (regeneración o fibrosis) determinará que el tejido hepático se recupere, o bien que la fibrosis progrese y esta regeneración tisular anormal conduzca a la cirrosis.
El predominio de un tipo u otro de respuesta depende tanto de las características y persistencia del agente lesivo, como de las características del individuo.
Fases de la cirrosis

En la evolución de la enfermedad, podemos distinguir dos fases: cirrosis compensada y descompensada. Esta diferenciación tiene en cuenta que los pacientes hayan desarrollado o no las complicaciones propias de la enfermedad.
Mientras se encuentre compensada, los pacientes pueden no presentar ningún síntoma, y esta fase puede vivir años. En esta fase hay un importante número de pacientes que todavía no han sido diagnosticados. Asimismo, los pacientes con cirrosis compensada tienen una supervivencia parecida a la de la población general. Esto es así porque en condiciones normales el organismo no requiere de todo el "potencial" que el hígado tiene. Se puede tener el 100 % del hígado afectado y no tener ningún tipo de sintomatología, detectando en todo caso un aumento de las transaminasas en un análisis de sangre.
Las complicaciones que definen la cirrosis descompensada son:
- Ascitis: acúmulo de líquido libre intraabdominal con características de trasudado. Este trasudado además puede infectarse (peritonitis bacteriana espontánea), habitualmente a causa de la translocación bacteriana (paso al torrente sanguíneo de las bacterias que conforman la flora intestinal).
- Síndrome hepatorrenal: insuficiencia renal prerrenal funcional y reversible sin que exista alteración de la estructura renal. Se produce debido a una intensa vasoconstricción renal que conduce a una insuficiencia renal que se establece en el plazo de días o semanas, de forma muy agresiva y que tiene un pronóstico fatal a corto plazo, en la mayoría de los casos en semanas (síndrome hepatorrenal tipo I) o de forma más insidiosa, con un pronóstico ligeramente mejor y una supervivencia media de alrededor de seis meses (síndrome hepatorenal tipo II).
- Encefalopatía hepática: deterioro de la función neurológica, habitualmente episódico y reversible, relacionado con el paso desde la circulación portal sustancias no depuradas por el hígado a la circulación general, siendo la principal el amoníaco.
- Hemorragia digestiva por varices esofágicas sangrantes.
- Ictericia: tinte amarillento de la piel y las mucosas a consecuencia del acúmulo de bilirrubina.
La cirrosis descompensada, sin embargo, predice habitualmente una importante disminución de la supervivencia, y un mal pronóstico a corto plazo.
En el desarrollo de estas complicaciones intervienen básicamente dos factores patogénicos:
- La hipertensión portal (aumento de la tensión normal de la vena porta).
- La insuficiencia hepatocelular.
Además de las complicaciones descritas, pueden aparecer otras muchas, entre las cuales destaca el riesgo aumentado que tienen los pacientes con cirrosis hepática de desarrollar un hepatocarcinoma.
Clínica

En muchos casos, el diagnóstico de la cirrosis es casual, puesto que como se ha dicho, en la fase compensada de la enfermedad sus manifestaciones pueden ser poco aparentes, presentando síntomas vagos o inespecíficos como dispepsia, astenia o fiebre. Así, puede detectarse ante la existencia de hepatomegalia en una exploración física de rutina, ante alteraciones en las pruebas de función hepática, o ante la positividad en las pruebas de estudio de las hepatitis virales.
Entre las manifestaciones que es posible encontrar se encuentran algunos signos cutáneos. Ninguno es patognomónico, pero pueden resultar útiles para la sospecha diagnóstica; entre estos "Estigmas de hepatopatía" cabe destacar las arañas vasculares o spiders, distribuidas en el territorio de la vena cava superior. En ocasiones, está presente también un enrojecimiento de las eminencias tenar e hipotenar que se conoce como eritema palmar. En la cirrosis de origen alcohólico, puede aparecer hipertrofia parotídea y contractura de Dupuytren.
En ocasiones aparecen xantelasmas en los párpados, sobre todo en las enfermedades colestáticas (colangitis esclerosante primaria y cirrosis biliar primaria) mientras que en la enfermedad de Wilson aparece el anillo de Kayser-Fleischer (anillo de coloración pardo-verdosa en el borde límbico de la córnea, por depósito de cobre en la membrana de Descemet).
Al efectuar la exploración física abdominal suele observarse el hígado aumentado de tamaño con superficie irregular y consistencia dura, si bien en los estadios finales de la enfermedad puede encontrarse totalmente atrófico y retraído no siendo accesible a la palpación.
Dado que la hepatomegalia es en general indolora, la existencia de dolor abdominal debe hacer sospechar algún fenómeno intercurrente como una pancreatitis o un cólico biliar, dada la elevada incidencia de la litiasis biliar en el paciente cirrótico.
La esplenomegalia junto con la presencia de circulación colateral (múltiples venas dilatadas subcutáneas en la pared abdominal), indican la existencia de hipertensión portal. Cuando la circulación colateral es prominente alrededor de la vena umbilical en la zona del ombligo se denomina clásicamente como "cabeza de Medusa".
La hipertensión portal puede también condicionar la presencia de ascitis, que puede manifestarse como un aumento del perímetro abdominal, indicando la presencia de líquido libre intra-abdominal. Las hernias de la pared abdominal, sobre todo umbilicales son frecuentes cuando hay ascitis, así como el edema subcutáneo que aparece en las zonas declives (las piernas generalmente).
Las alteraciones endocrinas son comunes en la cirrosis, sobre todo en las de etiología alcohólica (cirrosis hepática de Laennec); los varones pueden presentar atrofia testicular, disminución de la libido y disfunción eréctil. La ginecomastia es frecuente. Las mujeres suelen presentar alteraciones menstruales e incluso amenorrea. A estas alteraciones endocrinas se le denomina Síndrome de Silvestrini-Corda.
La ictericia es un signo que acompaña con cierta frecuencia a la cirrosis descompensada y generalmente es un dato de enfermedad avanzada.
En la cirrosis descompensada pueden existir lesiones hemorrágicas como petequias, equímosis o hematomas ante traumatismos mínimos, epistaxis y gingivorragias que traducen la frecuente alteración de la coagulación que puede existir en los cirróticos.
El hedor hepático es un olor dulzón característico que aparece en estos pacientes por la exhalación de substancias derivadas de la metionina (metilmercaptán), por defecto en su desmetilación.
A todos los hallazgos expuestos se suele añadir un estado de desnutrición con evidente disminución de la masa muscular y del panículo adiposo.
Diagnóstico

Para el diagnóstico de la cirrosis hepática, habitualmente es suficiente con procedimientos no invasivos, como la combinación de técnicas de imagen como la ecografía, y hallazgos de laboratorio. También se usa la biopsia hepática, sin embargo, hoy en día este procedimiento sólo se utiliza en casos seleccionados.
El índice fibrosis 4 (FIB-4) es un score clínico que permite evaluar de forma no invasiva y con una alta sensibilidad el grado de fibrosis hepática. Fue desarrollado por el Dr. Richard Sterling, jefe del departamento de hepatología en el VCU (Virginia Commonwealth University) y estaba orientado originalmente a la estadificación de cirrosis hepática en pacientes con HIV. No obstante, existe un gran volumen de evidencia que prueba su efectividad en pacientes con hepatitis B, hepatitis C y diabetes.[6][7][8][9][10]
Para calcular el FIB-4 se tiene en cuenta de la edad del paciente, el recuento de plaquetas expresado en ×10³/µL y las concentraciones séricas de aspartato aminotransferasa (AST) y alanino aminotransferasa (ALT) expresadas en U/L, utilizando la siguiente fórmula:
[11]
Índices menores 1,45 tienen un valor predictivo negativo del 90 % para fibrosis avanzada con un 81 % de sensibilidad. Por otro lado, índices mayores a 3,25 tienen un valor predictivo positivo del 65 % para fibrosis avanzada con un 97 % de especificidad. Los autores han señalado que la biopsia hepática puede ser evitada usando el FIB-4, el cual estiman conlleva una precisión del 86 %.[12]
Clasificación
Mortalidad
La mortalidad suele ser calculada mediante la escala Child-Pugh.[13] Este sistema fue ideado en 1964 por Child y Turcotte, y modificado in 1973 por Pugh y otros.[14] Esta escala usa parámetros de laboratorio que incluyen bilirrubina, albúmina e INR; así como la presencia de ascitis y de encefalopatía hepática.[15]
| Clase | Puntos | Función hepática | Pronóstico | Mortalidad posterior cirugía abdominal |
|---|---|---|---|---|
| Child-Pugh Clase A | 5–6 puntos | Buena función hepática | 15–20 años | 10% |
| Child-Pugh Clase B | 7–9 puntos | Función hepática comprometida | 30% | |
| Child-Pugh Clase C | 10–15 puntos | Insuficiencia hepática avanzada | 1–3 años | 82% |
Prevención
Las cosas más importantes que puede hacer una persona para prevenir la cirrosis son:
- Evitar el consumo de alcohol.
- Moderar el consumo de sal de mesa (cloruro de sodio).
- Consultar a un médico por si existe una enfermedad hepática crónica silente que pueda llegar a producir cirrosis.
- Si un paciente sabe que tiene alguna enfermedad hepática, debe consultar periódicamente con su médico por si es una enfermedad tratable, cuya progresión se pueda evitar (enfermedad alcohólica o hepatitis B o C, por ejemplo).
- Evitar el consumo de medicamentos o sustancias tóxicas para el hígado.
- No tener prácticas sexuales de riesgo.
- No compartir agujas o jeringas con otras personas.
- Vacunación en el caso de la hepatitis B, por ejemplo.
Tratamiento
La cirrosis como tal carece de tratamiento médico específico dado que es, en general, irreversible. Se pueden tratar algunas de las enfermedades que la producen y evitar o retardar la evolución de una cirrosis en estado inicial a las fases avanzadas es la consecuencia de enfermedades crónicas. También tienen tratamiento algunas de las complicaciones de la cirrosis tales como las hemorragias digestivas, la ascitis y la encefalopatía hepática, que siempre deben ser indicados por un médico.
El tratamiento definitivo de la cirrosis es el trasplante hepático. Se realiza solamente en los pacientes en que se estima una supervivencia menor de dos años, a consecuencia de la cirrosis, y en los que no existe contraindicación para realizarlo por otros motivos.
A través de la alimentación y terapia con medicamentos/fármacos se puede mejorar la función mental que se encuentra alterada por causa de la cirrosis. La disminución de la ingestión de proteínas ayuda a que se formen menos toxinas en el tracto digestivo. Algunos laxantes como la lactulosa pueden ser administrados para ayudar en la absorción de toxinas y acelerar su eliminación a través de los intestinos.
Véase también
- encefalopatía hepática
- hepatitis C
- colangitis esclerosante primaria
- ictericia
- ascitis
- David Kershenobich Stalnikowitz
Enlaces externos
- Asociación Latinoamericana para el Estudio del Hígado
- Asociación Europea para el Estudio del Hígado
- Asociación del Asia Pacífico para el Estudio del Hígado
- Asociación Americana para el Estudio de las Enfermedades Hepáticas
Referencias
- ↑ a b «Cirrhosis | NIDDK». National Institute of Diabetes and Digestive and Kidney Diseases (en inglés estadounidense). Consultado el 15 de noviembre de 2022.
- ↑ Moore, Keith L.; Dalley, Arthur F. (30 de enero de 2009). Anatomía con orientación clínica. Ed. Médica Panamericana. ISBN 9789687988894. Consultado el 4 de febrero de 2018.
- ↑ «Cirrhosis». National Institute of Diabetes and Digestive and Kidney Diseases. 23 de abril de 2014. Archivado desde el original el 9 de junio de 2015. Consultado el 19 de mayo de 2015.
- ↑ Anderson RN, Smith BL (2003). «Deaths: leading causes for 2001». National vital statistics reports: from the Centers for Disease Control and Prevention, National Center for Health Statistics, National Vital Statistics System 52 (9): 1-85. PMID 14626726.
- ↑ Gran Colección de la salud, Enfermedades y tratamientos 3, páginas 26 y 27, Editorial Plaza & Janéz, 2003, ISBN 84-9789-265-8
- ↑ Mallet, V., DHALLUIN‐VENIER, V., Roussin, C., Bourliere, M., Pettinelli, M. E., Giry, C., ... & Pol, S. (2009). The accuracy of the FIB‐4 index for the diagnosis of mild fibrosis in chronic hepatitis B. Alimentary pharmacology & therapeutics, 29(4), 409-415.
- ↑ Vallet‐Pichard, A., Mallet, V., & Pol, S. (2006). FIB‐4: A simple, inexpensive and accurate marker of fibrosis in HCV‐infected patients. Hepatology, 44(3), 769-769.
- ↑ Mendeni, M., Foca, E., Gotti, D., Ladisa, N., Angarano, G., Albini, L., ... & Torti, C. (2011). Evaluation of liver fibrosis: concordance analysis between noninvasive scores (APRI and FIB-4) evolution and predictors in a cohort of HIV-infected patients without hepatitis C and B infection. Clinical infectious diseases, 52(9), 1164-1173.
- ↑ Teshale, E., Lu, M., Rupp, L. B., Holmberg, S. D., Moorman, A. C., Spradling, P., ... & CHeCS Investigators. (2014). APRI and FIB‐4 are good predictors of the stage of liver fibrosis in chronic hepatitis B: the Chronic Hepatitis Cohort Study (CH e CS). Journal of viral hepatitis, 21(12), 917-920.
- ↑ FILOZOF, C. M., JONES, S., & GOLDSTEIN, B. J. (2018). Liver Fibrosis as Assessed by the FIB-4 Index in Patients with Type 2 Diabetes (T2DM).
- ↑ «Fibrosis-4 (FIB-4) Index for Liver Fibrosis Noninvasive estimate of liver scarring in HCV and HBV patients, to assess need for biopsy.».
- ↑ Sterling, R. K., Lissen, E., Clumeck, N., Sola, R., Correa, M. C., Montaner, J., ... & Messinger, D. (2006). Development of a simple noninvasive index to predict significant fibrosis in patients with HIV/HCV coinfection. Hepatology, 43(6), 1317-1325.
- ↑ a b Tsoris A, Marlar CA (2022). «Use Of The Child Pugh Score In Liver Disease». StatPearls. Treasure Island (FL): StatPearls Publishing. PMID 31194448. Consultado el 23 de marzo de 2022.
- ↑ Shakerdge K. «What Are the MELD and Child-Pugh Scores for Liver Disease?». WebMD. Consultado el 23 de marzo de 2022.
- ↑ a b «Child-Pugh Score for Cirrhosis Mortality». MDCalc. Consultado el 23 de marzo de 2022.