Deficiencia de alfa-1 antitripsina

Deficiencia de alfa-1 antitripsina

Estructura de la alfa 1-antitripsina
Especialidad endocrinología
Síntomas Dificultad respiratoria,sibilancias
Complicaciones EPOC, cirrosis
Causas Mutación gen SERPINA1[1]
Diagnóstico Basado en síntomas, análisis de sangre y pruebas genéticas
Frecuencia Afecta a 1 entre 1.500 y 3.500 en persona con ascendencia europea [2]
Sinónimos
  • Deficiencia de AAT
  • DAAT

La deficiencia de alfa-1 antitripsina (abreviadamente, alfa-1 y DAAT) es un trastorno genético hereditario que puede ocasionar en la tercera y cuarta década de vida una enfermedad pulmonar obstructiva crónica (EPOC), fundamentalmente enfisema. Con menos frecuencia se puede manifestar desde el nacimiento hasta cualquier momento en la vida como una enfermedad hepática crónica. El déficit de alfa-1 se caracteriza por unos niveles en la sangre muy bajos o inexistentes de una proteína llamada alfa 1-antitripsina (AAT), que es producida por el hígado. La función principal de la AAT es proteger el tejido pulmonar de la inflamación ocasionada por las infecciones y los irritantes inhalados, como el humo de cigarrillo.[2]

Historia

La DAAT fue descrita por primera vez en 1963 por Carl-Bertil Laurell (1919–2001), en la Universidad de Lund, Suecia,[3]​ junto con el médico residente, Sten Eriksson, realizaron el descubrimiento después de notar la ausencia de la banda de α1 en la electroforesis de proteínas en 5 de 1500 muestras; tres de los cinco pacientes desarrollaron enfisema.

La asociación con enfermedad hepática fue realizada 6 años después, cuando Sharp et al describen DAAT en el contexto de enfermedad hepática.[4]

Causas

Deficiencia de alfa-1 antitripsina se transmite con un patrón autosómico dominante

La deficiencia de alfa 1-antitripsina es una enfermedad infrecuente. El defecto genético responsable afecta a 1 entre 1500-3500 en personas con ascendencia europea,[5]​ es una de las tres enfermedades genéticas letales más frecuentes (las otras dos más frecuentes son la fibrosis quística y el síndrome de Down). Afortunadamente, no todos los pacientes con deficiencia de alfa 1-antitripsina desarrollan enfermedad clínicamente significativa, depende de qué tipo de gen zz son los más agresivos y se dividen en dos grandes grupos heterocigoto y homocigoto, siendo el último el de consecuencias más letales.[6]

El gen de la AAT se trasmite por herencia de manera autosómica codominante[7]​ mediante dos alelos, uno de cada progenitor, que se expresan independientemente en los hijos al 50 %. Se han identificado hasta 70 variantes del gen. El conjunto de variantes se llama sistema Pi (protease inhibitor). La mayoría de las variantes carecen de significado clínico, hay alrededor de 30 que pueden tener repercusiones patológicas.

Las variantes se clasifican de acuerdo con su velocidad de migración electroforética. El alelo normal presente en más del 90 % de la población es el PiM. Los alelos deficientes más frecuentes son el PiS (expresa aproximadamente 50-60 % de AAT) y el PiZ (expresa alrededor del 10-20 % de AAT).

Fisiopatología

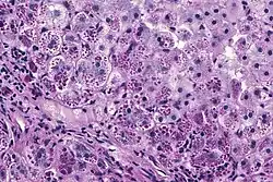
Fotomicrografía de una biopsia hepática de un paciente con deficiencia de alfa-1 antitripsina. La tinción PAS con diastasa muestra los glóbulos rosados resistentes a la diastasa que son característicos de esta enfermedad.

Los bajos niveles de AAT en sangre ocurren porque el hígado no puede liberar la AAT defectuosa a la rapidez normal. En un porcentaje pequeño de los afectados, la acumulación de la AAT ocasiona daño grave al hígado. El defecto genético con déficit de la alfa-1 antitripsina altera la configuración de la molécula de AAT e impide su liberación por los hepatocitos. Como resultado, los niveles séricos de AAT están disminuidos, conduciendo a bajas concentraciones en el alvéolo pulmonar, donde la molécula de AAT normalmente sirve como protección como antiproteasa. Como consecuencia del exceso de proteasas las paredes alveolares son destruidas y causa enfisema.

Cuadro clínico

Distribución del gen PiZZ en Europa
  • Falta de aire en reposo o al realizar algún esfuerzo.
  • Fatiga o jadeo.
  • Tos crónica o producción crónica de flema.
  • Infecciones pulmonares frecuentes.
  • Alergias todo el año.
  • Rápido deterioro de la función pulmonar sin una historia significativa de tabaquismo.
  • Ictericia (coloración amarilla de ojos y piel).
  • Acumulación de líquido en el abdomen (ascitis).
  • Sangrado gastrointestinal (proveniente de las varices del estómago o esófago).

Complicaciones

El DAAT confiere una predisposición para desarrollar enfermedades a lo largo de la vida, principalmente enfisema y diversos tipos de hepatopatías (colestasis neonatal, hepatitis juvenil, cirrosis hepáticas en niños y adultos y hepatocarcinomas). Las hepatopatías se relacionan con la acumulación intrahepática de polímeros y el enfisema con las bajas concentraciones de AAT, insuficientes para proteger el tejido conectivo del pulmón de los efectos negativos de las proteasas.

Se ha sugerido, también, que el DAAT puede estar asociado al riesgo de desarrollo de cáncer, incluidos los de vesícula biliar, pulmón, linfoma y cérvix.

Existen pruebas de relación entre DAAT y vasculitis sistémicas y paniculitis necrotizante.[cita requerida]

Diagnóstico

El DAAT puede sospecharse ante diversos cuadros clínicos. Algunos presentan la forma clásica de un adulto joven, fumador o no, con disnea progresiva y enfisema evolucionado; otros se diagnostican en edades más avanzadas tras años de clínica de EPOC con enfisema, y otros están asintomáticos y se diagnostican en los estudios familiares o en cribados epidemiológicos o por la presencia de alteración hepática en la infancia.

  • El alfa-1 no se diagnostica con la frecuencia debida y con demasiada frecuencia se diagnostica incorrectamente como asma o como enfisema ocasionado por el fumar.
  • En España se calcula un promedio de 10 años entre el diagnóstico de EPOC y el del déficit y en Estados Unidos de 7,2 años, y antes de llegar al diagnóstico en un 43 % de los casos se había consultado a 3 médicos y en un 12 % a más de 6.[8]
  • El alfa-1 ha sido identificado en virtualmente todas las poblaciones, pero es más común en personas de ascendencia del norte de Europa (Escandinavia e Inglaterra) o de Iberia (España y Portugal).[9]
  • Las personas con alfa-1 pasan un promedio de 7 años y visitan un promedio de 3 médicos antes de recibir un diagnóstico correcto.
  • Se estima que unos 100 000 europeos y un número similar de estadounidenses tienen alfa-1.[9]
  • El 95 por ciento de las personas que se estima tienen alfa-1 no han sido diagnosticadas.
  • Se estima que del 1-3 % de las personas con EPOC tienen déficit de alfa-1.
  • Se estima que 26 millones de personas sólo en Estados Unidos desconocen que son portadores del gen anormal que ocasiona el alfa-1 y pueden pasar el gen a sus hijos. Los portadores también pueden estar en riesgo de padecer de enfermedad hepática y pulmonar si son fumadores.
  • La Organización Mundial de la Salud (reunión 1996) recomienda que todos los adultos con EPOC y todos los adolescentes y adultos con asma se hagan la prueba que mide los niveles de la proteína AAT en sangre.

¿Cómo se diagnostica?

Por una parte hay que diagnosticar el déficit, y por otro hay que realizar otras pruebas para comprobar si hay alguna de las enfermedades relacionadas con el trastorno.[8]​ Se realizan una serie de análisis de sangre.

  • En primer lugar se mide la cantidad de AAT que el paciente tiene en la sangre. Si la cantidad de proteína es normal, se puede descartar esta alteración. Si está disminuida habrá que hacer otra serie de análisis para determinar el tipo de deficiencia que sufre el individuo.
  • Determinación del fenotipo: estudio del tipo de proteína que se encuentra en la sangre (proteína M, Z, S...). Por ejemplo: un paciente en el que se encuentran dos tipos de proteína M y Z será un paciente portador (MZ).
  • Determinación del genotipo: en algunas ocasiones es difícil conocer el tipo de déficit solo mediante el análisis de la proteína. En estos casos se realiza un estudio genético (también mediante un análisis de sangre), que nos permitirá conocer con exactitud los dos genes que tiene el paciente.
  • Una vez conocido el fenotipo o genotipo no será necesario realizar más veces estos estudios, ya que no van a variar a lo largo de la vida del paciente, excepto en los individuos que han recibido un trasplante de hígado, ya que adquieren el fenotipo del nuevo hígado, que es el productor principal de la AAT, pero conservan el genotipo heredado de sus padres.

¿Quién debe hacerse las pruebas?

Se recomienda hacer las pruebas necesarias para descartar un déficit de alfa-1 antitripsina, una vez en la vida, en los siguientes casos:

  • Pacientes con Enfermedad Pulmonar Obstructiva Crónica (EPOC).
  • Pacientes con asma mal controlado a pesar de seguir un tratamiento correcto.
  • Pacientes con bronquiectasias.
  • Clínica de disnea y tos crónica en muchos miembros de una familia.
  • Pacientes con enfermedad hepática sin causa conocida.
  • Pacientes con paniculitis o vasculitis de causa desconocida.
  • Familiares consanguíneos de un paciente diagnosticado de déficit de AAT.
  • Pacientes a los que se les haya realizado un proteinograma que muestre una disminución de alfa globulinas.

Por lo tanto, teniendo en cuenta que el déficit de AAT es una condición hereditaria, es recomendable que los familiares en primer grado (padres, hermanos, hijos) de los individuos afectados, se realicen las pruebas, ya que podría detectarse en algún otro miembro de la familia. De esta forma, se podrían tomar medidas de prevención para evitar la aparición de las enfermedades relacionadas, y asegurar un seguimiento y tratamiento adecuados para los miembros afectados.[8]

Tratamiento

No existe en la actualidad ningún tratamiento que corrija la alteración genética de los pacientes con déficit de alfa-1 antitripsina, sin embargo, sí que existen tratamientos para las diferentes manifestaciones que produce, e incluso la posibilidad de administrar alfa-1 antitripsina que compense el déficit.

Estilo de vida

Una vez diagnosticado el déficit de alfa-1 antripsina es muy importante seguir unos hábitos de vida saludables.

  • Es fundamental no fumar: la pérdida de capacidad respiratoria está directamente relacionada con el hábito tabáquico, de forma que personas con déficit que nunca han fumado pueden tener una expectativa de vida igual a la de personas sin el déficit. Si le han diagnosticado el déficit y nunca ha fumado es importante que mantenga esta situación. Si fuma, es fundamental que interrumpa de forma inmediata este hábito, para ello no dude en recurrir a su médico. Dejar de fumar hará que la pérdida de capacidad respiratoria se ralentice.
  • Otro de los factores que aumenta la pérdida de función respiratoria es la exposición a tóxicos ambientales, fundamentalmente en el lugar de trabajo, por lo que debe de extremar las precauciones marcadas por los servicios de prevención de riesgos laborales de su empresa (empleo de mascarillas si es necesario, sistemas de ventilación...).
  • Debe de vigilar los síntomas que sugieran la existencia de infecciones respiratorias (expectoración más abundante y con aspecto de pus, fiebre...) y contactar cuanto antes con su médico para iniciar un tratamiento correcto. Así mismo, su médico le indicará si debe o no recibir la vacuna antigripal y antineumocócica.
  • Es importante mantener la actividad física, adaptada a su nivel de fatiga. No debe de limitar la actividad física que realizaba anteriormente por haber sido diagnosticado de déficit de alfa-1 antitripsina, al contrario, si ya presenta fatiga con los esfuerzos, es importante contactar con su médico para iniciar un programa de ejercicio o rehabilitación para intentar mejorar su calidad de vida.
  • Mantener una alimentación equilibrada y un peso adecuado también le ayudará a encontrarse mejor. Deben de evitarse el sobrepeso y la desnutrición.[8]

Tratamientos para su enfermedad respiratoria

Su especialista le indicará si debe usar inhaladores u otros medicamentos para aliviar su fatiga. Como siempre, es importante seguir el tratamiento de forma disciplinada para conseguir los objetivos. Si su enfisema le ha provocado una insuficiencia respiratoria crónica puede necesitar oxígeno. Siga las indicaciones de su médico en cuanto a las horas que debe mantenerlo y las formas de uso. En casos de enfisema muy grave puede llegar a considerarse el trasplante pulmonar como tratamiento definitivo de su enfermedad respiratoria. Existen otras opciones como la cirugía de reducción de volumen o la reducción de bullas mediante broncoscopia, pero solo se pueden realizar en casos muy seleccionados. Su neumólogo le indicará la técnica idónea para su situación.[8]

Tratamientos para su enfermedad hepática

No existe un tratamiento específico para esta alteración. Sin embargo, es importante, al igual que en otras hepatopatías, seguir los controles médicos prescritos, evitar beber alcohol, o evitar en lo posible el uso de medicamentos sin control médico (muchos de ellos pueden tener efectos tóxicos sobre el hígado). En los pacientes con enfermedad hepática muy avanzada puede estar indicado el trasplante de hígado. Además de corregir la alteración hepática, el trasplante de un hígado sano puede corregir el déficit, ya que el nuevo hígado fabrica la proteína correctamente.[8]

Tratamiento con alfa-1 antitripsina

En algunos casos con enfisema pulmonar puede estar indicado el tratamiento con alfa- 1 antitripsina. La administración de AAT no repara el daño causado en los pulmones, pero frena el deterioro futuro. No tiene ningún efecto sobre la enfermedad hepática. La AAT se obtiene de la sangre de donantes. Esta sangre sigue una serie de procesos que consigue separar esta proteína del resto de los componentes del plasma. Los procesos de obtención garantizan la seguridad del producto a la luz de los conocimientos actuales. Esta proteína, hoy en día no se puede administrar ni inhalada ni en comprimidos, únicamente existe para perfusión endovenosa por lo que es necesario que el paciente acuda al hospital, con una periodicidad que establecerá de acuerdo con su médico (cada semana, cada dos semanas o cada tres semanas).[8]

Factores de riesgo

En octubre de 2003 la Sociedad Torácica Americana y la Sociedad Respiratoria Europea emitieron conjuntamente las nuevas guías para el diagnóstico y tratamiento del alfa-1, publicadas en la revista médica, American Journal of Respiratory and Critical Care Medicine. Se recomienda que consideren hacerse la prueba que detecta el alfa-1 todas las personas con las siguientes condiciones:

  • EPOC — enfisema y bronquitis crónica.
  • Asma con obstrucción de flujo de aire que no revierte completamente con un tratamiento agresivo con broncodilatadores.
  • Bronquiectasias.
  • Enfermedad hepática crónica sin causa aparente.
  • Antecedentes familiares de EPOC, bronquiectasias, enfermedad hepática, alfa-1.
  • Parejas de personas diagnosticadas con alfa-1.
  • Personas con paniculitis o vasculitis C-ANCA positivo.

Importancia de hacerse la prueba

En los afectados de alfa-1 el fumar es el principal factor de riesgo para el desarrollo precoz de EPOC. Otros factores de riesgo incluyen las infecciones pulmonares, el asma y la contaminación ambiental. La detección temprana del alfa-1 es importante para los afectados porque existen medidas preventivas y de tratamiento que podrían detener la pérdida de función pulmonar y de calidad de vida. Para los fumadores afectados el dejar de fumar es la medida más importante. Hoy en día existen tratamientos para detener el daño pulmonar y para tratar los síntomas pulmonares del alfa-1.

Por su carácter hereditario (puede pasarse el trastorno a sus hijos) es importante al momento de tomar decisiones relacionadas con la reproducción de parejas.

Una sencilla prueba de sangre es todo lo que se necesita para detectar el alfa-1.

Referencias

  1. «SERPINA1 gene: MedlinePlus Genetics». medlineplus.gov (en inglés). Consultado el 16 de noviembre de 2022. 
  2. a b Meseeha, Marcelle; Attia, Maximos (2024). Alpha-1 Antitrypsin Deficiency. StatPearls Publishing. Consultado el 14 de febrero de 2024. 
  3. Laurell CB, Eriksson S (1963). «The electrophoretic alpha 1-globulin pattern of serum in alpha 1-antitrypsin deficiency». Scand J Clin Lab Invest 15: 132-40. 
  4. Sharp H, Bridges R, Krivit W, Freier E (1969). «Cirrhosis associated with alpha-1-antitrypsin deficiency: a previously unrecognized inherited disorder.». J Lab Clin Med 73 (6): 934-9. PMID 4182334. 
  5. Meseeha, Marcelle; Attia, Maximos (2022). Alpha 1 Antitrypsin Deficiency. StatPearls Publishing. Consultado el 16 de noviembre de 2022. 
  6. «Vidal-Pla R, Moreno A. Diferencias clínicas y de tratamiento en niños y adultos. An Pediatr Contin. 2008; 6(3):127-34.». Archivado desde el original el 18 de mayo de 2015. Consultado el 7 de mayo de 2015. 
  7. «Deficiencia de alfa-1 antitripsina». rarediseases.info.nih.gov. Consultado el 16 de noviembre de 2022. 
  8. a b c d e f g https://alfa1.org.es/wp-content/uploads/2018/01/recomendaciones-del-grupo-europeo-de-expertos-en-el-deficit-aat.pdf
  9. a b http://www.archbronconeumol.org/es-diagnostico-tratamiento-del-deficit-alfa-1-antitripsina-articulo-13095974

Enlaces externos