Absceso hepático
| Absceso hepático | ||
|---|---|---|
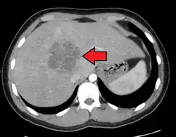
![]() Absceso hepático en la imagen axial de TAC: una lesión hipodensa en el hígado con realce periférico. | ||
| Especialidad | gastroenterología | |
| Sinónimos | ||
| Absceso hepático piógeno | ||
Un absceso hepático es una colección encapsulada llena de pus dentro o asociado al hígado. Las causas más comunes son las infecciones abdominales, tales como una apendicitis, diverticulitis, una enfermedad inflamatoria intestinal, un intestino perforado, infecciones sistémicas como una endocarditis bacteriana o la manipulación del tracto biliar.[1]
El hígado es el órgano intraabdominal que con mayor frecuencia desarrolla abscesos. De los abscesos intraabdominales, un 25 % son viscerales y cerca de la mitad de ellos son propias del hígado.[2] Los abscesos hepáticos pueden ser únicos o múltiples y se deben a diseminación hematógena o por extensión local a partir de una infección circunvecina al hígado.
Con tratamiento, la tasa bruta de mortalidad por un absceso hepático está entre el 10-30 % y la tasa es aún mayor en pacientes con múltiples abscesos.[3] El absceso hepático piógeno en el período neonatal es poco habitual y de mal pronóstico, por lo general como resultado de una complicación de un cateterismo venoso umbilical.[4]
Clasificación
Existen tres tipos principales de abscesos hepáticos, clasificados basándose en su etiología:[5][6]
- Absceso hepático purulento o absceso hepático piógeno, el cual tiende a ser polimicrobiano (por gémenes aerobios gramnegativos y anaerobios grampositivos, con mayor frecuencia a la Escherichia coli en las dos terceras partes, seguida por el S. faecalis, Klebsiella y Proteus vulgaris). En tiempos de cirugía moderna, trasplante y técnicas percutáneas, el absceso hepático piógeno se ha convertido esencialmente en un problema de origen biliar o iatrogénico.[7][8]
- Absceso hepático amebiano, causado por el parásito Entamoeba histolytica.
- Absceso hepático fúngico, principalmente causado por especies del hongo Candida.[9]
Absceso hepático purulento
Los abscesos hepáticos purulentos se han conocido por más de 100 años y han sido una causa importante de morbilidad y mortalidad en pacientes con apendicitis y trombosis de la vena porta. Se caracteriza por dolor en el cuadrante abdominal superior derecho especialmente a la palpación profunda del examinador y que puede referirse al hombro del mismo lado, al epigastrio o al hipocondrio derecho.[10] Suele acompañarse con fiebre de 38 °C, sudoración profusa, pérdida de peso y, a menudo, un hígado palpable e ictericia.[1] Aproximadamente un tercio de los pacientes con un absceso hepático no presentarán un punto de origen identificable de la infección.
Los abscesos hepáticos son hallazgos en un 0,36 % de todas las autopsias y en mayor frecuencia en la sexta y séptima décadas de la vida, sin que haya predilección por uno de los dos géneros. En un estudio, más del 80% de los pacientes con un absceso hepático piogénico tenían cáncer de hígado, de vesícula o de páncreas. La segunda causa más frecuente se relaciona con septicemia generalizada. La incidencia de absceso hepático piogénico asociada a una diverticulitis es tan alta como lo es para las apendicitis perforada, es decir, aproximadamente 3 % de los casos.[1]
Se observa leucocitosis, es decir, aumento en el conteo de los glóbulos blancos circulantes en la sangre, por lo general entre 18 000 y 20 000/ml. La mitad de los pacientes están anémicos. Tanto los valores de las enzimas hepáticas, como las transaminasas, así como la hipoalbuminemia no tienen valor diagnóstico pues siempre salen valores inconsistentes.
En el ultrasonido se mostrará una masa quística en el hígado que tiende a ser septado o bien con características homogéneas. Si se hace una tomografía axial computarizada (TAC), se apreciará una masa hipodensa (oscura) con bordes precisos.[10] La aspiración percutánea del absceso y su cultivo microbiológico es esencial para el tratamiento adecuado y el drenaje del absceso. Con frecuencia se instala un catéter de drenaje, en especial para pacientes con abscesos complejos o que contengan fluido muy espeso. Los abscesos múltiples son comunes en pacientes inmunosuprimidos y se debe considerar varios organismos etiológicos, incluyendo una candidiasis.
Algunas de las bacterias más comunes que causan un absceso hepático purulento incluyen:[5]
- Streptococcus milleri.
- Escherichia coli.
- Streptococcus faecalis.
- Klebsiella.
- Proteus vulgaris.
- Patógenos oportunistas como el estafilococo.[11]
- Entameoba histolytica
Absceso hepático amebiano

La Entamoeba histolytica es un parásito que se encuentra en todas las regiones del mundo y causa abscesos hepáticos en adultos de edad media y predomina en hombres 9:1 sobre las mujeres.[1] El absceso hepático amebiano es una entidad muy rara en países desarrollados. En países en vías de desarrollo, como Vietnam, México, India, América Central y áreas tropicales de Asia y África [11] donde la infección por E. histolytica es endémica, la incidencia anual del absceso hepático amebiano es de 21 casos por 100 000 habitantes.[12][6]
Absceso hepático amebiano se caracteriza por una incidencia de 7 a 12 veces mayor en hombres,los factores de riesgo de infección incluye viajar o residir en áreas endémicas .[11]
Por su parte, la E. histolytica atraviesa el colon e invade el sistema porta por donde logra infectar al hígado. El diagnóstico es radiológico y con pruebas de serología. Raramente se requiere drenar un absceso amebiano,[10] pues la mayoría de los pacientes responden favorable y rápidamente con metronidazol al cabo de una semana. Clínicamente, es muy difícil distinguir un absceso hepático amebiano de un absceso hepático purulento.[10] Por lo general, constan de un solo absceso que contiene material licuado de color marrón rojizo que se describe clásicamente como «pasta de anchoas» y predominan en el lóbulo derecho del hígado. Bajo el microscopio se aprecian una zona central necrótica bacteriológicamente estéril con escasas o ninguna célula, una zona media con parénquima destruido y una región externa o cápsula del absceso en la que se aprecian células hepáticas relativamente normales, y donde suelen visualizarse los parásitos. El principal síntoma es fiebre acompañado casi siempre con dolor en la región del hígado. Tres cuartos de los pacientes tienen también escalofríos y sudoración. La ictericia no es frecuente. La complicación más común son infecciones secundarias, que aparecen en un 20 % de los casos. La segunda complicación de más frecuencia es la ruptura del absceso repartiendo la infección a las pleuras, pericardio y la cavidad abdominal.[1]
La resolución completa de un absceso hepático en seis meses puede anticiparse en dos tercios de los pacientes, pero el 10 % puede tener alteraciones persistentes hasta por un año.[2]
Absceso hepático fúngico
Los quistes por Echinococcus. granulosus son lesiones que pueden romperse e infectarse con otros microorganismos o infectar a otros órganos adyacentes al hígado. El diagnóstico es por lo general serológico (ELISA), ultrasonido o una TAC.[10] Las serologías suelen volverse negativas en seis a 12 meses. El tratamiento implica la administración de antihelmínticos como el albendazol.
Cuadro clínico
La fiebre es el signo inicial más frecuente del absceso hepático. Otros síntomas comunes, en especial en pacientes que tienen una afectación activa de la vesícula biliar, muestran signos y síntomas circunscritos en el hipocondrio derecho, tales como dolor, defensa, hipersensibilidad, escalofríos, anorexia, pérdida de peso, náuseas y vómitos. Solo 50 % de los pacientes con abscesos hepáticos tiene hepatomegalia o ictericia; de modo que la mitad de los pacientes carecen de signos o síntomas que dirijan la atención hacia el hígado. El 95 % de los pacientes con un absceso amebiano tendrán síntomas en los primeros cinco meses.[2]
La fiebre de origen desconocido puede ser la única manifestación inicial de un absceso hepático, especialmente entre los ancianos. Un 70 % de los pacientes tendrán una elevación de la concentración en el suero sanguíneo de la fosfatasa alcalina, 50 % tendrán una bilirrubina alta, anemia hipoalbuminemia y concentraciones elevadas de aspartato aminotransferasa, mientras que las demás pruebas de laboratorio suelen estar normales.
La anemia de un paciente con un absceso hepático bacteriano tiende a ser normocrómica y normocítica, es decir, no afecta la morfología del glóbulo rojo. Por su parte, la anemia en pacientes con abscesos hepáticos amebianos suele ser microcítica e hipocrómica. En la radiografía de tórax, suele apreciarse una elevación del hemidiafragma derecho cuando se trata de abscesos amebianos, mientras que suele ser normal en los abscesos purulentos.
Diagnóstico

La radiografía es la técnica más fidedigna para diagnosticar los abscesos hepáticos: la ecografía, la tomografía axial computarizada y, de encontrarse disponible, las gammagrafías con leucocitos marcados con indio o con galio radioactivos y la resonancia magnética.
Los aspirados de abscesos purulentos se caracterizan por tener varias especies de microorganismos. Si la infección proviene de las vías biliares suelen hallarse bacilos aerobios intestinales Gram negativos y enterococos, más raramente se aíslan anaerobios. En cambio, si el absceso hepático se origina en la pelvis u otras partes de la cavidad peritoneal, es frecuente la flora mixta constituida por especies tanto aerobias como anaerobias, especialmente el B. fragilis. Si la infección es de origen hematógena, suele aislarse solo un microorganismo: el Staphylococcus. aureus o una especie de estreptococo como el S. milleri. Los abscesos hepáticos pueden ser causados también por especies de Candida en particular en los pacientes con neutropenia causada por quimioterapia para el cáncer.
Las pruebas serológicas amibianas tienen resultados positivos en más de 95 % de los casos, por lo que un resultado negativo sugiere la exclusión de este diagnóstico.[2]
En la ecografía se observa como una lesión redonda u oval, con ausencia de una pared prominente del absceso, hipoecogenicidad comparada con la del hígado normal, ecos internos de nivel bajo finos y la contigüidad con el diafragma. Hay dos formas que son las más prevalentes:
- Formas redondas u ovales en un 82 %.
- Un aspecto hipoecogénico con ecos internos finos a una ganancia alta.
La mayoría de los abscesos hepáticos amebianos aparecen en el lóbulo derecho.
Diagnóstico diferencial
El absceso hepático se manifiesta con dolor en el cuadrante superior derecho, fiebre y hepatitis. Sus diagnósticos diferenciales se incluyen muchas enfermedades hepáticas y no hepáticas , como:[13]
- Hepatitis viral
- Colecistitis
- Colangitis
- Neumonía del lóbulo pulmonar inferior derecho
- Apendicitis
- Masas hepáticas necróticas
- Otras causas de hepatitis, como la autoinmune, la inducida por fármacos y la toxicidad por paracetamol, pueden confundirse, aunque normalmente no son dolorosas.
Tratamiento
Los antibióticos utilizados en el tratamiento empírico de amplio espectro suelen administrarse después de efectuarse una aspiración diagnóstica del contenido del absceso. El drenaje puede ser percutáneo (utilizando un catéter) o quirúrgico (a cielo abierto) y sigue siendo el pilar básico del tratamiento de los abscesos hepáticos purulentos, aunque hay un interés creciente por el tratamiento médico exclusivo de estos abscesos piógenos. Sin embargo, se ha demostrado que los pacientes tratados sin drenaje del absceso requerían ciclos más prolongados de tratamiento antibiótico.[2] El antibiótico apropiado se elige en función de los resultados de la tinción de Gram y de los cultivos del absceso.
Se ha demostrado que el drenaje percutáneo viene acompañado de una duración doble de estancias hospitalarias que los drenajes a cielo abierto, sin embargo, la tasa bruta de mortalidad es muy similar entre ambos procedimientos: aproximadamente 15 %.[2] El drenaje quirúrgico está indicado en casos de abscesos voluminosos o numerosos, o si el contenido del absceso es muy viscoso —lo que tiende a obstruir el catéter subcutáneo—, si hay enfermedades asociadas o si el drenaje percutáneo no ha dado resultados de mejoría.
Durante la aspiración o tratamiento quirúrgico de quistes de una hidatidosis, se debe ejercer extremada cautela para evitar romper los quistes, con la consiguiente liberación de protoscolices a la cavidad peritoneal.
El tratamiento de los abscesos hepáticos por Candida exige, por lo general, la administración prolongada de anfotericina B, pero se han descrito casos de tratamiento satisfactorio con fluconazol tras un ciclo inicial de anfotericina.[2]
Véase también
Referencias
- ↑ a b c d e Brunicardi, F. (2006). «Capítulo 30: El hígado». Schartz: Principios de cirugía (8va edición). McGraw-Hill. ISBN 9789701053737.
- ↑ a b c d e f g Harrison Principios de Medicina Interna 16a edición (2006). «Abscesos intraperitoneales». Harrison online en español. McGraw-Hill. Consultado el 17 de septiembre de 2008.
- ↑ MedlinePlus (julio de 2006). «Absceso hepático piógeno». Enciclopedia médica en español. Consultado el 16 de septiembre de 2008.
- ↑ BUSTOS B., Raúl y CORDERO S., Lorena. Absceso hepático piógeno: complicación del cateterismo venoso umbilical en un paciente prematuro. Rev. chil. pediatr. [online]. set. 2001, vol.72, no.5 [citado 16 septiembre de 2008], p.449-453. Disponible en la World Wide Web: [1]. ISSN 0370-4106.
- ↑ a b Ana María Mendoza M. Absceso Hepático (artículo completo disponible en español). Revista Peruana de Radiología. Vol. 2, Nº 3, noviembre de 1998. Último acceso 16 de septiembre de 2008.
- ↑ a b Akhondi, Hossein; Sabih, Durr E. (2021). Liver Abscess. StatPearls Publishing. Consultado el 13 de octubre de 2021.
- ↑ Czerwonko, Matías E.; Huespe, Pablo; Bertone, Santiago; Pellegrini, Pablo; Mazza, Oscar; Pekolj, Juan; de Santibañes, Eduardo; Hyon, Sung Ho et al. (2016-12). «Pyogenic liver abscess: current status and predictive factors for recurrence and mortality of first episodes». HPB : The Official Journal of the International Hepato Pancreato Biliary Association 18 (12): 1023-1030. ISSN 1365-182X. PMC 5144545. PMID 27712972. doi:10.1016/j.hpb.2016.09.001. Consultado el 13 de octubre de 2021.
- ↑ Webb, Gwilym James; Chapman, Thomas Patrick; Cadman, Philip John; Gorard, David Angelo (2014-1). «Pyogenic liver abscess». Frontline Gastroenterology 5 (1): 60-67. ISSN 2041-4137. PMC 5369710. PMID 28839753. doi:10.1136/flgastro-2013-100371. Consultado el 15 de noviembre de 2022.
- ↑ Pemán, Javier; Salavert, Miguel (1 de febrero de 2012). «Epidemiología general de la enfermedad fúngica invasora». Enfermedades Infecciosas y Microbiología Clínica 30 (2): 90-98. ISSN 0213-005X. doi:10.1016/j.eimc.2011.09.004. Consultado el 9 de noviembre de 2021.
- ↑ a b c d e PINILLA, Análida Elizabeth, LOPEZ, Myriam Consuelo, RICAURTE, Orlando et al. Liver abscess caused by Ascaris lumbricoides: case report. Rev. Inst. Med. trop. S. Paulo [online]. 2001, vol. 43, no. 6 [citado 16 septiembre de 2008], pp. 343-346. Disponible en la World Wide Web: [2]. ISSN 0036-4665. doi: 10.1590/S0036-46652001000600010
- ↑ a b c «Absceso hepático».
- ↑ SANCHEZ-POBRE, P., SAENZ-LOPEZ, S., SALTO, E. et al. Absceso hepático amebiano sobreinfectado sin antecedentes epidemiológicos. Rev. esp. enferm. dig. [online]. 2004, vol. 96, no. 11 [citado 2008-09-17], pp. 796-800. Disponible en: [3]. ISSN 1130-0108.
- ↑ Akhondi, Hossein; Sabih, Durr E. (2024). Liver Abscess. StatPearls Publishing. Consultado el 19 de noviembre de 2024.
