Efectos del tabaco en la salud
.jpg)
Los efectos del tabaco en la salud son aquellas complicaciones derivadas del consumo del tabaco. Es la acción prolongada y continuada de las distintas sustancias que componen los cigarrillos sobre el organismo humano lo que desencadena el desarrollo de patologías severas como tumoraciones, problemas cardiovasculares, respiratorios, etc. Tal es el caso, por ejemplo, del cáncer de labio en los fumadores de pipa, el cáncer de vejiga y el cáncer de esófago. En este último, se aprecia un mayor riesgo de padecerlo en pacientes adictos al tabaco negro. Los alquitranes y otras sustancias químicas que acompañan a la nicotina en la composición del cigarrillo son considerados altamente nocivos, siendo los principales responsables del desarrollo de tales complicaciones. Sin embargo, está demostrado también que el tabaco mascado «sin humo» también produce cáncer de la cavidad oral.
El tabaco puede provocar enfermedades del aparato respiratorio. Las patologías más frecuentes asociadas al tabaquismo son la bronquitis y el enfisema. Se trata de dos fenómenos esencialmente de tipo inflamatorio y destructivo, pero que pueden complicarse con lesiones obstructivas, de fibrosis alveolar e incluso de neumotórax. La nicotina tiene también un efecto directo sobre el sistema vascular, pudiendo producir gangrena como complicación de la enfermedad de Buerger.
Por otra parte, se considera que el hábito del tabaquismo puede influir negativamente en la potencia sexual e infertilidad masculina.[1][2]
El uso simultáneo del alcohol aumenta la carcinogenicidad del tabaco respecto al cáncer de cabeza y cuello.[3] El tabaco es el responsable del diagnóstico de casi la totalidad de casos de enfermedad pulmonar obstructiva crónica (EPOC), de enfisema y de cáncer de pulmón.
No existe ningún nivel seguro de consumo de tabaco.[4][5] Incluso el tabaco consumido en cigarrillos de liar o en cigarrillos electrónicos causan daño irremediable. La única opción que minimiza el riesgo de padecer enfermedades asociadas al tabaquismo es simplemente no fumar.
Control del tabaco
En las últimas décadas, las políticas de salud pública de una gran parte de los gobiernos occidentales tienen en el tabaquismo su caballo de batalla. Proliferan las reformas legislativas que tienen como objetivo controlar el margen de beneficios de las grandes tabaqueras, así como aumentar las cargas impositivas al tabaco o restringir los espacios en los que se permite fumar. En España la Ley 28/2005, del 26 de diciembre de 2005,[6] estableció un nuevo marco legal para la regulación de la venta, el suministro, el consumo y la publicidad del tabaco. Sucesivas enmiendas y anexos se han incorporado al texto inicial, hasta que en 2011 entró en vigor la «Ley antitabaco» que estableció la prohibición total de fumar en lugares públicos cerrados. Por su parte, la Organización Mundial de la Salud (OMS) respalda activamente la adopción de tales medidas. En un comunicado de prensa publicado en 2008, instaba a los gobiernos a comprometerse con la prevención del tabaquismo mediante la prohibición total de toda forma de promoción, publicidad y patrocinio en torno al tabaco.[7]
En España, según informa el Comité Nacional para la Prevención del Tabaquismo (CNPT)[8] se calcula que cada año mueren cerca de 3000 personas al verse expuestas al humo del tabaco ambiental. Dicho organismo recoge que en torno al 12 % de los no fumadores son fumadores pasivos y casi la mitad de los no fumadores vive expuesta al humo ambiental. Se estima que una parte importante de los fumadores se inicia en el tabaco antes de los 18 años, de los que casi un 25 % lo hace antes de cumplir los 10 años. Por eso se buscan en la actualidad nuevas estrategias que permitan proteger a este sector poblacional tan sensible frente al influjo ejercido por la presencia recurrente del tabaco en todo tipo de soportes audiovisuales como el cine, la televisión, las revistas o las vallas publicitarias. Sin embargo, aunque el nivel de concienciación sobre los efectos nocivos del tabaquismo ha aumentado sensiblemente, se percibe una cierta permisividad con respecto a otras sustancias afines.
En un estudio realizado en el Reino Unido, se analizó el daño que provocaban veinte sustancias psicoactivas y se calculó un valor relativo en una escala de 0 a 100 que refleja el daño que traen dichas sustancias para quien las consume, además de incluir una segunda variable que refleja el daño provocado a terceros. El valor relativo combinado de las dos variables (daño propio y daño a terceros), ordenado de mayor a menor peligrosidad, muestra: alcohol (72), heroína (55), crack cocaína (54), metanfetamina (33), cocaína (27), tabaco (26), anfetamina (23), ácido gamma-hidroxibutírico (GHB) (19), benzodiacepinas (15), ketamina (15), metadona (14) y otras menos dañinas para terceros, aunque lo sean para los usuarios: (éxtasis, mefedrona, solventes, LSD, hongos alucinógenos, cannabis). El alcohol, como puede verse, es tres veces más dañino en conjunto (para sus consumidores y para quienes los rodean) que la cocaína, el tabaco y las anfetaminas; y mucho más nocivo que la marihuana.[9]
El profesor emérito de ciencias del comportamiento Hanan Frenk y el psicólogo Reuven Dar, ambos de la Universidad de Tel Aviv, cumpliendo estudios en parte patrocinados y financiados por las mismas multinacionales tabaqueras, publicaron un libro en el que cuestionan la credibilidad de los resultados estadísticos de los estudios sobre la toxicidad y potencial adictivo de la nicotina, y afirman que estas nociones son una construcción falsa; este libro hasta el momento es la única publicación científica, contra miles, que cuestiona la toxicidad y el potencial adictivo de la nicotina.[10]
Componentes perjudiciales del tabaco
El tabaquismo es la adicción al tabaco por efecto de la nicotina,[11] sustancia presente de forma natural, aunque sobre todo por añadidos artificiales en el proceso de manufactura del tabaco, que precisamente se añade para potenciar su efecto adictivo y así procurar vender más cantidad de producto. El tabaco en forma de cigarrillo es muy perjudicial para la salud; los perjuicios para la salud expuestos anteriormente se deben fundamentalmente a los numerosos componentes tóxicos que contiene (alquitrán, CO, sulfatos, etc), radiactivos (0,01 bequerelios por gramo de tabaco, en el que se han encontrado los isotopos radiactivos plomo-210 y polonio-210)[12] y cancerígenos (por añadidos artificiales a la planta). La nicotina, además de adictiva,[11] es altamente tóxica y puede provocar la muerte a partir de la ingestión de unos 50 mg.[13] De considerarse el tabaco un producto alimenticio, cientos de sus aditivos serían considerados ilegales bajo las leyes actuales.[14]
El humo del tabaco está constituido por una fase volátil o gaseosa y una fase sólida o de partículas. La fase gaseosa representa el 95 % de su peso y posee unos 500 componentes. La fase sólida representa el 5 % del peso y está formada por unos 3500 componentes, entre los que se destacan tres: la nicotina, responsable de la adicción, el monóxido de carbono, responsable de las enfermedades cardiovasculares, y el alquitrán, responsable de los cánceres asociados.[15] Se han identificado más de 4000 sustancias en el humo del cigarrillo, de las cuales al menos 60 son probables carcinógenos humanos.[16]
Entre las múltiples sustancias del humo del cigarrillo, las que presentan un mayor efecto adverso son la nicotina y el monóxido de carbono (CO).
Sustancias cancerígenas presentes en el tabaco
En el humo del tabaco se encuentra benzopireno, N-nitrosaminas, 2-naftilamina y 4-aminobifenilo, que son carcinógenos humanos comprobados y están clasificados en el grupo I del Centro Internacional de Investigaciones sobre el Cáncer.[17] También contiene cantidades relativamente altas de posibles carcinógenos como benceno, formaldehído, cadmio, níquel y polonio 210 (radiactivo), además de dióxido de carbono y ácido cianhídrico.[17]
| Carcinógenos humanos conocidos | |
|---|---|
| Benceno | |
| 2-Naftilamina | |
| 4-Aminobifenil | |
| Níquel | |
| Polonio | |
| Carcinógenos humanos probables | |
| Formaldehído | |
| Hidrazida | |
| Benzopireno | |
| Anilina | |
| Cadmio | |
| Sustancias tóxicas | |
| Monóxido de carbono | |
| Acroleína | |
| Amonio | |
| Óxidos de nitrógeno | |
| Tabaco y cáncer de pulmón | |
| |
| Principales componentes de fase de
partículas del humo del tabaco | |
| Componente | Concentración |
| Alquitrán | 1-40 mg |
| Nicotina | 1-2,50 mg |
| Fenol | 20-150 mcg |
| CAMECOL | 130-280 mcg |
| Pireno | 50-200 mcg |
| Benzo pireno | 20-40 mcg |
La contribución del tabaco a la aparición de cáncer se debe a la gran mezcla de compuestos químicos que se encuentran tanto en el humo como en el tabaco que aún no ha sido quemado. Únicamente analizando los componentes del humo, se han llegado a encontrar hasta 70 carcinógenos, de entre los cuales pueden destacarse 3 grupos de compuestos:[18]
- Nitrosaminas.
- Hidrocarburos aromáticos policíclicos (PAHs), dentro de los cuales se encuentra el Benzopireno (BaP) que fue el primer carcinógeno encontrado en el tabaco además del principal causante de las mutaciones en P53 y formador de aductos en el ADN.
- Aminas aromáticas.
Desde el punto de vista biológico, estos carcinógenos son activados por el citocromo P450, el cual, y bajo circunstancias fisiológicas, produciría su metabolismo para posterior excreción. Sin embargo, ante acumulación de estos agentes de naturaleza química, la activación por parte del citocromo P450 permite que estos carcinógenos puedan interactuar con el ADN debido a su naturaleza electrofílica y afinidad de unión al ADN. De esta interacción entre los compuestos del tabaco y las bases nitrogenadas del material genético aparece la formación de aductos de ADN. Estos son uniones de los productos químicos al ADN que provoca daño e impiden la correcta y completa repliación del material genético, aumentando así la probabilidad de que aparezcan nuevas mutaciones, que lleven al desarrollo de cáncer.
En circunstancias fisiológicas normales los sistemas de reparación del ADN se encargan de reparar estas estructuras y eliminarlas, pero si persisten a esta reparación y además se disponen en regiones donde se encuentran oncogenes tales como Myc y Ras o bien en regiones de genes supresores de tumores como P53. Esto provoca una pérdida de control sobre el crecimiento celular, lo cual será la fase inicial de la formación de tumores.
También se han descrito otros mecanismos de actuación relacionados fundamentalmente con la nicotina y derivados. Estos compuestos son capaces de unirse a la superficie celular, concretamente a receptores nicotínicos, activando diversas proteínas y factores que llevan a una disminución del proceso de apoptosis, junto con un aumento de la proliferación celular y transformación maligna de las células. Se ha descrito que la nicotina es capaz de activar el proceso de angiogénesis que favorece el mantenimiento y crecimiento tumoral.[19]
Cada uno de los procesos o mecanismos capaces de generar mutaciones en las células somáticas deja en el genoma de la misma una firma mutacional.[18]
Efectos sobre la salud
Cáncer
El tabaco ha sido relacionado con al menos 17 tipos de cáncer, entre los cuales aparecen: cáncer colorrectal, cáncer de pulmón, cáncer de laringe, cáncer de faringe, cáncer de ovario, cáncer de cérvix, cáncer hepático, cáncer renal, leucemia mieloide aguda, cáncer de vejiga, cáncer de boca, cáncer de estómago, cáncer de esófago y cáncer de páncreas.[20] Es el principal factor de riesgo para el cáncer de pulmón, atribuyéndole entre el 80 y 85% de los casos reportados.[21]
Los primeros casos de cáncer asociados al consumo de tabaco se reportaron en el siglo XVIII. En 1761, John Hill describió los síntomas del cáncer de senos nasales en consumidores habituales de rapé.[22] A finales de ese mismo siglo, Samuel Thomas von Sömmerring reportó que existe una obvia relación entre el cáncer de labio y el consumo de tabaco en pipa.[22] Sin embargo, hasta mediados del siglo XX esto se atribuyó a la temperatura de la boquilla.[23] En aquel siglo el tabaco aun seguía figurando en las farmacopeas. Hasta la edición de 1847 del libro Primitive Physick (1747) de John Wesley, este recomendaba aspirar humo de tabaco para tratar el dolor de oído, además de incluirlo en el tratamiento de la epilepsia y la hemorroides.[24]
La primera persona en relacionar el cáncer de pulmón con el consumo de tabaco fue el médico alemán Ernst Schönherr en 1928, al notar que la mayoría de las pacientes no fumadoras con este tipo de cáncer eran esposas de fumadores que estaban expuestas al humo de segunda mano.[25] El primer estudio epidemiológico que confirma esta asociación lo publicó Franz H. Müller en 1939.[26] Entre 1940 y 1941 la Oficina de la Salud del Reich invirtió 48 000 marcos en estudios relacionados con el tabaco y el cáncer.[27] En 1941, Hitler donó 100 000 marcos de su fortuna personal para financiar estos estudios.[26] En 1943, Eberhard Schairer y Erich Schöniger publicaron un trabajo en el cual se concluye que la causa principal del cáncer de pulmón es el alquitrán presente en el humo del tabaco.[27]
Los estudios médicos realizados en Alemania durante el régimen nazi fueron ignorados tanto en Estados Unidos como el Reino Unido, no hay menciones al trabajo de Schairer y Schöniger en estos países hasta los años 1960.[26] De forma totalmente independiente, los ingleses Richard Doll y Austin Bradford Hill comenzaron a estudiar el cáncer de pulmón en 1948 y en 1954 publicaron los resultados en el British Medical Journal, atribuyéndole la causa principal al tabaquismo.[23] Este fue el primer estudio que trató el tema fuera de Alemania, lo que hace que sea frecuente, incluso en la literatura médica, que se los cite como los pioneros, pese a existir estudios alemanes que arribaron a la misma conclusión al menos una década antes.[26]
Cáncer de pulmón
Algunos tipos de cáncer se encuentran directamente relacionados con el tabaco, como es el caso del cáncer de pulmón y otros cánceres del tracto respiratorio. Esto se debe al contacto directo que presentan las células de estos tejidos con los componentes químicos presentes en el tabaco y que son perjudiciales para la salud. Sin embargo, existen otros tipos de cáncer en tejidos en los que la exposición al tabaco no es de manera directa, en este caso el desarrollo tumoral ha sido atribuido a procesos inflamatorios por depósito de partículas.[18]
Embarazo
Durante el embarazo, el tabaco multiplica su potencial dañino generando no solo riesgos para la fumadora, sino también para el bebé, entre otros riesgos aumentan los de sufrir embarazo ectópico, hemorragias vaginales, alteraciones cardíacas, o en el bebé riesgo de nacer con bajo peso, insuficiencias respiratorias, riesgo de padecer muerte súbita, infartos o leucemia infantil.[cita requerida]
Existen numerosas investigaciones que demuestran los efectos tan nocivos del tabaquismo en las mujeres embarazadas. Las fumadoras suelen dar a luz a niños de bajo peso (entre 150 y 250 gramos menos que las mujeres no fumadoras). Además, tanto la nicotina como el monóxido de carbono pasan al cuerpo del feto. Se ha demostrado que la concentración de carboxihemoglobina es dos veces mayor en la sangre del feto que en la de la madre. Si la madre fuma durante los últimos seis meses de embarazo, aumentan los riesgos de muerte para el recién nacido. Las mujeres que fuman, también corren más riesgo de sufrir desprendimiento prematuro de placenta.
Infertilidad masculina
El hábito de fumar cigarrillos también reduce la calidad del semen al impactar en la morfología y viabilidad de los espermatozoides al reducir la expresión de la enzima CHEK1 generando daño en el ADN y apoptosis de los gametos masculinos.[28] Asimismo, en función a la dosis de dependencia también afecta la motilidad, concentración y volumen del esperma.[29] En otro estudio publicado en 2019 el fumar tabaco se asoció con un recuento de espermatozoides más bajo y un aumento en el número de defectos morfológicos de los espermatozoides.[2]
Enfermedades cardiovasculares

Las enfermedades del aparato circulatorio constituyen la primera causa de muerte en la sociedad occidental. Los dos componentes más importantes son las enfermedades cerebrovasculares y la enfermedad isquémica del corazón o enfermedad coronaria. Dejar de fumar, a cualquier edad, reduce a la mitad el riesgo de muerte por enfermedades coronarias.[30]
Enfermedades de la piel
El humo del tabaco es tóxico para la piel, la exposición directa disminuye el grado de hidratación del estrato córneo, contribuyendo al envejecimiento prematuro de la piel[31] y la aparición de arrugas faciales, cuadro que se denomina rostro de fumador.[32] La nicotina es vasoconstrictora, por lo que disminuye el riego sanguíneo de la piel y provoca una disminución de la oxigenación tisular.[32] También exacerba las lesiones cutáneas de la psoriasis, de la pustulosis palmoplantar y el lupus eritematoso discoide, además es un factor de riesgo para el desarrollo de carcinoma de células escamosas, aunque no se asocia con el desarrollo de melanomas ni basaliomas.[32]
Un estudio detectó que el 42,2 % de las adictas al tabaco desarrollaron acné no inflamatorio; dolencia caracterizada por presencia de poros cerrados, quistes y puntos blancos y negros.[33]
Enfermedades digestivas
El consumo de tabaco se ha asociado con la gastritis, úlcera gastroduodenal, esofagitis por reflujo e hipertrofia de papilas gustativas con déficit del sentido del gusto.
Enfermedades respiratorias
Los efectos del tabaco sobre las vías respiratorias se han descrito tanto a nivel de estructuras (vías aéreas, alvéolos y capilares) como en los mecanismos de defensa pulmonar. Provocando, en los fumadores, sintomatología respiratoria y deterioro de la función pulmonar. El tabaco causa hipersecreción, lo que da origen a tos y expectoración crónica en los fumadores
Se ha descrito otras enfermedades respiratorias en relación con el tabaco como la fibrosis pulmonar idiopática, bronquiolitis obliterante con neumonía organizativa (BONO), granuloma eosinófilo, hemorragia pulmonar y enfermedad pulmonar metastásica. Existe evidencia de que el tabaquismo es un factor predisponente importante en el neumotórax espontáneo. Es un factor constante en la Histiocitosis X. La neumonía intersticial descamativa también está asociada al consumo del tabaco.
A fecha de 1997, los europeos y los chinos son los principales consumidores de tabaco per cápita del mundo, según el periódico alemán Nassauische Neue Presse, de Fráncfort del Meno. El 42 % de los hombres y el 28 % de las mujeres de la Unión Europea son fumadores, pero estos porcentajes son mucho más altos en el grupo de edades comprendidas entre los 25 y los 39 años. El tabaquismo siega anualmente la vida de 100 000 personas en Alemania y 100 000 más en Reino Unido. En fechas recientes a 1997, el presidente de la República Checa, Václav Havel, fumador empedernido durante muchos años, recibió tratamiento contra el cáncer de pulmón. De acuerdo con el diario Süddeutsche Zeitung, el presidente escribió al movimiento europeo denominado Tabaquismo o Salud para expresar su admiración por cualquiera que logre abandonar el hábito.
Mortalidad
Fumar puede ser el causante de varias enfermedades, como el cáncer de pulmón, la bronquitis y el enfisema pulmonar. El tabaquismo es reconocido desde hace varios años como un problema de salud pública, debido a que los daños a la salud asociados al consumo del tabaco causan más de medio millón de muertes en el continente americano.[cita requerida]
Fumar es la causa más frecuente de muertes que pueden evitarse.[cita requerida] Según los últimos informes, cientos de miles de personas mueren anualmente de forma prematura debido al tabaco. Estudios recientes indican que la exposición al humo de los cigarrillos fumados por otra gente y otros productos del tabaco, producen al año la muerte de miles de personas que no fuman. Pese a estas estadísticas y a numerosos avisos sobre los peligros de fumar, millones de adultos y adolescentes siguen fumando. De todos modos se están haciendo progresos: cada día son más las personas que dejan de fumar.
En el año 2004, la Organización Mundial de la Salud estimaba en 4,9 millones el número de muertes anuales relacionadas con el consumo de tabaco.[cita requerida] Pese a existir una probada relación entre tabaco y salud, esto no impide que sea uno de los productos de consumo legal que puede matar al consumidor asiduo.
En Europa el tabaquismo provoca cada año 1,2 millones de muertes. Está directamente relacionado con la aparición de 29 enfermedades, de las cuales 10 son diferentes tipos de cáncer y de más del 50 % de las enfermedades cardiovasculares. Fumar es directamente responsable de aproximadamente el 90 % de las muertes por cáncer de pulmón y aproximadamente el 80-90 % de la enfermedad pulmonar obstructiva crónica (EPOC) y enfisema.[34] En España cada año mueren más de 50 000 personas debido al consumo de tabaco, más que por los accidentes de tráfico y el consumo de todas las drogas ilegales juntas.
Fumar un solo cigarrillo da lugar a una elevación del ritmo cardíaco, la frecuencia respiratoria y la tensión arterial.[35] El humo produce una reacción irritante en las vías respiratorias. La producción de moco y la dificultad de eliminarlo es la causa de la tos. Debido a la inflamación continua se produce bronquitis crónica. También produce una disminución de la capacidad pulmonar, produciendo al fumador mayor cansancio y disminución de resistencia en relación con un ejercicio corporal.[cita requerida][36]
En México se estima que mueren diariamente entre 123 y 165 personas debido a haber consumido tabaco, lo que convierte a esta adicción en un grave problema de salud pública.

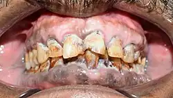
Salud bucal

El tabaco también afecta la salud bucal. La melanosis del fumador es un tipo de pigmentación de las encías,[37] en parte como respuesta del cuerpo para proteger el epitelio del tabaco.[38]
Tabaquismo
El tabaquismo es la adicción al consumo de tabaco.[39] El tabaquismo es uno de los efectos del tabaco en la salud. El consumo habitual de tabaco produce diferentes enfermedades, como cáncer, enfermedades cardiovasculares y enfermedades respiratorias, es particularmente perjudicial durante el embarazo. El tabaquismo contribuye a un deterioro general de la salud y puede causar discapacidades.
La Organización Mundial de la Salud define al tabaquismo como una epidemia.[40] Según datos de la OMS, el tabaco es la primera causa de invalidez y muerte prematura,[41] y la primera causa de muerte evitable a nivel mundial.[42] Más de 8 millones de personas fallecen cada año como consecuencia del tabaco, de las cuales 1,2 millones fallecen como resultado de la exposición al humo de segunda mano (fumadores pasivos).[43]
Diversos estudios revelan que pocas personas comprenden los riesgos específicos para la salud que entraña el consumo de tabaco.[43][44][45] Aquellos fumadores que entienden los riesgos del tabaco para la salud tienen más probabilidades de intentar dejar de fumar.[46][47] El conocimiento sobre los hábitos de fumar disminuye las probabilidades de que las personas inicien en el hábito de fumar.[48]
Las políticas públicas de salud que buscan disminuir la prevalencia del consumo del tabaco incluyen medidas como el control del tabaco, incluyendo prohibiciones de fumar en espacios públicos y el empaquetado neutro, junto con el desarrollo de programas profesionales de cesación tabáquica.[49]
El tabaquismo requiere a menudo tratamiento medicinal, rehabilitación psicológica y re-educación social. El asesoramiento profesional, las terapias de cesación del tabaquismo y la medicación pueden duplicar con creces la probabilidad de que un fumador que desea abandonar el tabaco lo consiga[43][50] y mejora el pronóstico del paciente de no experimentar recaídas a largo plazo.[51][52][53] Sin embargo, a 2019, según la OMS, solamente 23 países ofrecían políticas completas de apoyo al abandono del tabaco; 116 países ofrecían algún tipo de apoyo en centros de salud con los costos total o parcialmente cubiertos, y 32 países ofrecían servicios de apoyo pero no cubrían su costo.[49] No hay ningún tipo de asistencia para dejar de fumar en una cuarta parte de los países de bajos ingresos.[43]Formas de exposición
Fumador pasivo

El fumador pasivo es toda aquella persona que ingiere de manera indirecta las sustancias tóxicas y cancerígenas provenientes de la combustión del tabaco, en particular aquellas propagadas por el humo. Numerosos estudios alertan de los peligros para la salud de este tipo de consumo pasivo han llevado a algunas autoridades a prohibir el consumo público de tabaco para proteger a las personas de los efectos del humo de los cigarrillos.
Los efectos en la salud por la exposición al humo del tabaco incluyen cáncer de pulmón, cáncer de los senos paranasales, infecciones de las vías respiratorias y enfermedades cardíacas.[54] En las mujeres embarazadas provoca bajo peso del recién nacido y entre los lactantes causa muerte súbita.[55]
No existe una cantidad sana de inhalación pasiva.[56] Los niños, las mujeres embarazadas, las personas mayores y las personas con problemas respiratorios o cardíacos e incluso los animales deben tener especial cuidado.
La persona que no consume directamente las substancias del tabaco (fumador pasivo) le provoca más daño.[57]Humo de tercera mano

Se denomina humo de tercera mano a la contaminación producida por la acción de fumar tabaco después de que el cigarrillo haya sido apagado.
La expresión «humo de tercera mano» es un neologismo creado por un equipo de investigación del Dana–Farber/Harvard Cancer Center.[58] Se refiere a las contaminaciones que subsisten en las superficies después de que el «humo de segunda mano» se ha disipado. El «humo de primera mano» es aquel que es inhalado, entra a los pulmones del sujeto que fuma y es exhalado, mientras que el «humo de segunda mano» es una mezcla del humo exhalado y las sustancias que se liberan del extremo incandescente del cigarrillo, la cual entra en la atmósfera y puede ser inhalada por otras personas. Por su parte, el «humo de tercera mano» es la contaminación en las superficies de los objetos que permanece incluso después de que el humo de segunda mano se ha disipado.[58]Formas de consumo
Cigarrillos de liar
Según datos del Comisionado para el Mercado de Tabacos de España, se ha producido un incremento espectacular del consumo de cigarrillos o tabaco de liar, de un 32 % entre los años 2008 y 2011.[59] Existe la creencia de que el tabaco de liar tiene menos riesgo para la salud, que contiene menos aditivos, y que es menos perjudicial. La falsa creencia de que el tabaco de liar es menos nocivo para la salud es mayor en jóvenes, según los datos de la encuesta de la Semana Sin humo de la semFYC de 2012.[60]
Los fumadores de tabaco de liar muestran un mayor riesgo de cánceres de boca, faringe y laringe,[61][62] y también de pulmón (de forma importante[63] o discreta[64]) que los fumadores de cigarrillos convencionales. Pero un estudio da una prevalencia similar por el cáncer de boca.[65] En el caso del cáncer de pulmón cambiaría la proporción del tipo histológico, con una mayor prevalencia de adenocarcinomas[66] y cáncer de pulmón de células pequeñas.[67]
En un estudio analizando las marcas más consumidas en España, muestra que los contenidos de nicotina, alquitrán y monóxido de carbono del tabaco de liar son muy superiores a los permitidos para los cigarrillos convencionales, en algunos casos hasta de un 85 % más.[68] El tabaco de liar también tendría un mayor efecto oxidativo en estudios in vitro sobre cultivos de monocitos.[69]
Cigarrillos electrónicos

El cigarrillo electrónico (también, cigarro electrónico, en inglés «e-Cigarette», «vaporizador», «vapeador», «vaper») es un sistema electrónico inhalador diseñado en su origen para simular el consumo de tabaco sin quemarlo directamente, diferenciándose del cigarrillo tradicional.
Estos dispositivos utilizan una batería para calentar y vaporizar una solución líquida que el usuario inhala en forma de aerosol.[70] La solución líquida, llamada líquido de vapeo, e-Liquid, e-Juice o esencia, puede o no contener aromas. Estas soluciones líquidas suelen tener propilenglicol, glicerina, nicotina, saborizante, aunque varía según la solución, pues también las hay sin ninguno de estos componentes.
Desde su introducción al mercado a principios de este siglo, fue popularizándose en la década del 2010, como una alternativa para dejar el cigarrillo tradicional;[cita requerida] así también para su uso recreativo, esto último especialmente en personas no fumadores. En sus inicios, su diseño imitaba los cigarrillos, puros o pipas. En la actualidad hay variados diseños de más de 400 marcas de cigarrillos electrónicos; algunos de los modelos más populares se encienden automáticamente al inhalar, y otros, por medio de un botón.
Si bien se cree que el principal beneficio sobre el uso de los cigarrillos electrónicos es que son una alternativa al cigarro tradicional como terapia de reemplazo de nicotina para dejar de fumar, según estudios recientes, en algunos casos pueden ser igual o peor de dañinos que los cigarrillos comunes, por eso su venta y uso están regulados por ley en algunos países.Véase también
Referencias
- ↑ infodoctor.org. «Tabaco e impotencia». Archivado desde el original el 20 de noviembre de 2012. Consultado el 9 de octubre de 2012.
- ↑ a b Bundhun, Pravesh Kumar; Janoo, Girish; Bhurtu, Akash; Teeluck, Abhishek Rishikesh; Soogund, Mohammad Zafooruddin Sani; Pursun, Manish; Huang, Feng (8 de enero de 2019). «Tobacco smoking and semen quality in infertile males: a systematic review and meta-analysis». BMC public health 19 (1): 36. ISSN 1471-2458. PMC 6325781. PMID 30621647. doi:10.1186/s12889-018-6319-3. Consultado el 18 de julio de 2020.
- ↑ «11th Report on Carcinogens by the U.S. Department of Health and Human Services». Archivado desde el original el 28 de octubre de 2006. Consultado el 27 de octubre de 2006.
- ↑ Berdiel, Laura Calpe. «¿Existe un nivel seguro de tabaquismo?». CardioTeca. Consultado el 25 de octubre de 2020.
- ↑ «Tabaco». www.who.int. Consultado el 25 de octubre de 2020.
- ↑ Gobierno de España (27 de diciembre de 2005). «BOE número 309». Boletín Oficial del Estado. Consultado el 10 de octubre de 2016.
- ↑ «La OMS quiere una prohibición total del tabaco». Organización Mundial de la Salud (OMS). 30 de mayo de 2008. Consultado el 11 de octubre de 2016.
- ↑ ,Comité Nacional para la Prevención del Tabaquismo
- ↑ Nutt, D. J., King, L. A. & Phillips, L. D., The Lancet, Vol. 376, Is. 9752, pp. 1558-1565, 2010.
- ↑ Hanan Frenk & Reuven Dar, A Critique of Nicotine Addiction, Kluwer Academic Publishers, 2000. En este libro se cuestiona la adicción a la nicotina.
- ↑ a b Grana, Rachel; Benowitz, Neal; Glantz, Stanton A. (13 de mayo de 2014). «E-cigarettes: a scientific review». Circulation 129 (19): 1972-1986. ISSN 1524-4539. PMID 24821826. doi:10.1161/CIRCULATIONAHA.114.007667. Consultado el 20 de octubre de 2016.
- ↑ Bader, Jean-Michel (27 de agosto de 2008). «Le secret du polonium 210 dans la fumée de cigarette». Le Figaro. pp. Internet Archive Wayback Machine. Archivado desde el original el 18 de septiembre de 2016. Consultado el 11 de octubre de 2016.
- ↑ Brandon, Thomas H.; Goniewicz, Maciej L.; Hanna, Nasser H.; Hatsukami, Dorothy K.; Herbst, Roy S.; Hobin, Jennifer A.; Ostroff, Jamie S.; Shields, Peter G. et al. (1 de febrero de 2015). «Electronic nicotine delivery systems: a policy statement from the American Association for Cancer Research and the American Society of Clinical Oncology». Clinical Cancer Research: An Official Journal of the American Association for Cancer Research 21 (3): 514-525. ISSN 1078-0432. PMID 25573384. doi:10.1158/1078-0432.CCR-14-2544.
- ↑ Pintanel Bassets, Mónica; Lluís Capdevila Ortís i Jordi Niñerola Maymí. Psicologia de la actividad física y salud (en español). Gerona: Documenta Universitaria, 2006. ISBN 84-934959-1-3
- ↑ Molina Bermejo, M. S. (noviembre de 2005). «Manifestaciones cutáneas y tabaco». Formación Médica Continuada en Atención Primaria (Barcelona, España: Doyma) 12 (9): 582-588. ISSN 1134-2072. doi:10.1016/S1134-2072(05)71256-1. Archivado desde el original el 7 de octubre de 2017. Consultado el 7 de octubre de 2017.
- ↑ Moré Alonso, Sandra; González Jiménez, Yanet Tais; Álvarez Guerra González, Liset (2008). «El tabaquismo y el cáncer de pulmón. Reflexiones sobre algunas estadísticas». Medicentro Electrónica (Santa Clara, Cuba: Universidad de Ciencias Médicas de Villa Clara) 12 (4). ISSN 1029-3043.
- ↑ a b Fink, Susana (noviembre de 2005). «¿Por qué no se debe fumar en el lugar de trabajo?». Medicina (Buenos Aires, Argentina: Academia Nacional de Medicina) 65 (6). ISSN 1669-9106.
- ↑ a b c Alexandrov, Ludmil B.; Ju, Young Seok; Haase, Kerstin; Loo, Peter Van; Martincorena, Iñigo; Nik-Zainal, Serena; Totoki, Yasushi; Fujimoto, Akihiro et al. (4 de noviembre de 2016). «Mutational signatures associated with tobacco smoking in human cancer». Science (en inglés) 354 (6312): 618-622. ISSN 0036-8075. PMID 27811275. doi:10.1126/science.aag0299. Consultado el 21 de febrero de 2017.
- ↑ Hecht, Stephen S. (1 de octubre de 2003). «Tobacco carcinogens, their biomarkers and tobacco-induced cancer». Nature Reviews Cancer (en inglés) 3 (10): 733-744. ISSN 1474-175X. doi:10.1038/nrc1190. Consultado el 21 de febrero de 2017.
- ↑ García Sanz, María Teresa (2008). Incidencia de cáncer en el área sanitaria del Salnés: período 2001-2005. La Coruña, España: Universidad de La Coruña. ISBN 978-84-693-9884-5.
- ↑ Moré Alonso, Sandra; González Jiménez, Yanet Tais; Álvarez Guerra González, Liset (2008). «El tabaquismo y el cáncer de pulmón. Reflexiones sobre algunas estadísticas». Medicentro Electrónica (Santa Clara, Cuba: Universidad de Ciencias Médicas de Villa Clara) 12 (4). ISSN 1029-3043.
- ↑ a b Clarke, Ronald James; Macrae, Robert (1988). Physiology. Coffee (en inglés). Vol. 3. Springer Science & Business Media. p. 322. ISBN 9781851661862. OCLC 20284396. Consultado el 6 de octubre de 2017.
- ↑ a b Richmond, Caroline (julio de 2005). «Sir Richard Doll, epidemiólogo que demostró que el tabaco causa cáncer y enfermedades de corazón». Salud pública de México (Cuernavaca, México: Instituto Nacional de Salud Pública) 47 (4): 319-322. ISSN 0036-3634. doi:10.1590/S0036-36342005000400010.
- ↑ Charlton, Anne (junio de 2004). «Medicinal uses of tobacco in history». Journal of the Royal Society of Medicine (en inglés) (Londres, Reino Unido: Royal Society of Medicine) 97 (6): 292-296. ISSN 0141-0768. OCLC 680108530. PMC 1079499.
- ↑ Smith, George Davey (mayo de 2003). «Effect of passive smoking on health». BMJ (en inglés) (Londres, Reino Unido: Asociación Médica Británica) 326 (7398): 1048-1049. ISSN 0959-8138. PMC 1125974. doi:10.1136/bmj.326.7398.1048.
- ↑ a b c d Dostrovsky, Nathaniel (2008). «Anti Smoking Initiatives in Nazi Germany: Research and Public Policy». University of Western Ontario Medical Journal (en inglés) (Universidad de Ontario Occidental) 78 (1): 53-57. ISSN 0042-0336. Archivado desde el original el 7 de octubre de 2017. Consultado el 25 de octubre de 2020.
- ↑ a b Rivera Rodríguez, Diana Esperanza (2006). «La Alemania Nazi (1933-1945) y el control del cáncer». Revista Colombiana de Cancerología 10 (1): 71-74. ISSN 0123-9015. Archivado desde el original el 7 de octubre de 2017. Consultado el 6 de octubre de 2017.
- ↑ Cui, Xiangrong; Jing, Xuan; Wu, Xueqing; Wang, Zhenqiang; Li, Qiang (2016-07). «Potential effect of smoking on semen quality through DNA damage and the downregulation of Chk1 in sperm». Molecular Medicine Reports (en inglés) 14 (1): 753-761. ISSN 1791-2997. PMC 4918538. PMID 27221653. doi:10.3892/mmr.2016.5318. Consultado el 17 de julio de 2020.
- ↑ Asare-Anane, H.; Bannison, S. B.; Ofori, Emmanuel K.; Ateko, R. O.; Bawah, A. T.; Amanquah, S. D.; Oppong, S. Y.; Gandau, B. B. N. et al. (5 de agosto de 2016). «Tobacco smoking is associated with decreased semen quality». Reproductive Health 13 (1): 90. ISSN 1742-4755. PMC 4974764. PMID 27496053. doi:10.1186/s12978-016-0207-z. Consultado el 17 de julio de 2020.
- ↑ Molina Bermejo, M. S. (noviembre de 2005). «Manifestaciones cutáneas y tabaco». Formación Médica Continuada en Atención Primaria (Barcelona, España: Doyma) 12 (9): 582-588. ISSN 1134-2072. doi:10.1016/S1134-2072(05)71256-1. Archivado desde el original el 7 de octubre de 2017. Consultado el 7 de octubre de 2017.
- ↑ Morita, Akimichi (1 de diciembre de 2007). «Tobacco smoke causes premature skin aging». Journal of Dermatological Science (en inglés) 48 (3): 169-175. ISSN 0923-1811. doi:10.1016/j.jdermsci.2007.06.015. Consultado el 26 de octubre de 2020.
- ↑ a b c Molina Bermejo, M. S. (noviembre de 2005). «Manifestaciones cutáneas y tabaco». Formación Médica Continuada en Atención Primaria (Barcelona, España: Doyma) 12 (9): 582-588. ISSN 1134-2072. doi:10.1016/S1134-2072(05)71256-1. Archivado desde el original el 7 de octubre de 2017. Consultado el 7 de octubre de 2017.
- ↑ «Tabaquismo».
- ↑ American Lung Association (2012). «Smoking».
- ↑ Dr. Jorge Lagunas Maitland (12 maro de 2009). «TABAQUISMO». Archivado desde el original el 28 de septiembre de 2015. Consultado el 1 de setiembre de 2015.
- ↑ Argentina. Ministerio de Salud. «Tabaco».
- ↑ Acevedo; Berné; Calderón (2013). «Melanosis del fumador. Reporte de un caso». Revista Venezolana de Investigación Odontológica de la IADR 1 (1).
- ↑ Castro-Rodríguez, Yuri (2019-06). «Melanosis gingival, una revisión de los criterios para el diagnóstico y tratamiento». Odontoestomatología 21 (33): 54-61. ISSN 1688-9339. doi:10.22592/ode2019n33a7. Consultado el 26 de octubre de 2020.
- ↑ «tabaquismo». «Diccionario de la lengua española» - Edición del Tricentenario. Consultado el 25 de octubre de 2020.
- ↑ «OMS | 10 datos sobre la epidemia de tabaquismo y el control mundial del tabaco». www.who.int. Consultado el 25 de octubre de 2020.
- ↑ Drogas. Secretaría General de Sanidad y Delegación del Gobierno para el Plan Nacional Sobre Drogas. Ministerio de Sanidad y Consumo. Gobierno de España. 2008.
- ↑ «OMS | El programa MPOWER y la epidemia mundial de tabaquismo». WHO. Consultado el 25 de octubre de 2020.
- ↑ a b c d «Tabaco». www.who.int. Consultado el 25 de octubre de 2020.
- ↑ Oncken, Cheryl; McKee, Sherry; Krishnan-Sarin, Suchitra; O'Malley, Stephanie; Mazure, Carolyn M. (1 de junio de 2005). «Knowledge and perceived risk of smoking-related conditions: a survey of cigarette smokers». Preventive Medicine (en inglés) 40 (6): 779-784. ISSN 0091-7435. doi:10.1016/j.ypmed.2004.09.024. Consultado el 26 de octubre de 2020.
- ↑ Ruiz Mori, Enrique; Ruiz Mori, Hernán; Salazar-Rojas, Ronald; Torres-Mallma, Cristina; Valer-Villanueva, Sergio; Santiago, Brendy; Blas-Rodriguez, Humberto Joel; Vásquez Tornero, Cindy et al. (2016-01). «Conocimiento de los riesgos del tabaquismo en fumadores, exfumadores y no fumadores». Horizonte Médico (Lima) 16 (1): 32-37. ISSN 1727-558X. Consultado el 26 de octubre de 2020.
- ↑ Yang, Jilan; Hammond, David; Driezen, Pete; Fong, Geoffrey T.; Jiang, Yuan (1 de octubre de 2010). «Health knowledge and perception of risks among Chinese smokers and non-smokers: findings from the Wave 1 ITC China Survey». Tobacco Control (en inglés) 19 (Suppl 2): i18-i23. ISSN 0964-4563. doi:10.1136/tc.2009.029710. Consultado el 26 de octubre de 2020.
- ↑ Thrasher, James F.; Pérez-Hernández, Rosaura; Arillo-Santillán, Edna; Barrientos-Gutiérrez, Inti (2012-06). «Impacto de las advertencias con pictogramas en las cajetillas de cigarrillos en México: resultados de una encuesta en fumadores de Guadalajara». Salud Pública de México 54 (3): 254-263. ISSN 0036-3634. Consultado el 26 de octubre de 2020.
- ↑ Pinilla-Vásquez, Clemencia; Angarita-Fonseca, Adriana (2012). «Conocimientos Y Actitudes Asociadas Al Inicio Del Hábito De Fumar Durante La Vida Universitaria». Revista Hacia la Promoción de la Salud 17 (2): 25-39. ISSN 0121-7577. Consultado el 26 de octubre de 2020.
- ↑ a b «La OMS presenta un nuevo informe sobre la epidemia mundial de tabaquismo». www.who.int. Consultado el 25 de octubre de 2020.
- ↑ Curry, Susan J.; Emery, Sherry; Sporer, Amy K.; Mermelstein, Robin; Flay, Brian R.; Berbaum, Michael; Warnecke, Richard B.; Johnson, Timothy et al. (1 de enero de 2007). «A National Survey of Tobacco Cessation Programs for Youths». American Journal of Public Health 97 (1): 171-177. ISSN 0090-0036. PMC 1716253. PMID 17138932. doi:10.2105/AJPH.2005.065268. Consultado el 25 de octubre de 2020.
- ↑ Camps, Xavier; Frascheri, Marta; Buroni, Cristina (2005-05). «Análisis del funcionamiento de un programa de cesación de tabaquismo». Revista Uruguaya de Cardiología 20 (1): 16-20. ISSN 1688-0420. Consultado el 25 de octubre de 2020.
- ↑ Treating Tobacco Use and Dependence: 2008 Update. US Department of Health and Human Services. 2008 May. Consultado el 25 de octubre de 2020.
- ↑ Fiore, Michael C.; Croyle, Robert T.; Curry, Susan J.; Cutler, Charles M.; Davis, Ronald M.; Gordon, Catherine; Healton, Cheryl; Koh, Howard K. et al. (1 de febrero de 2004). «Preventing 3 Million Premature Deaths and Helping 5 Million Smokers Quit: A National Action Plan for Tobacco Cessation». American Journal of Public Health 94 (2): 205-210. ISSN 0090-0036. PMC 1448229. PMID 14759928. doi:10.2105/AJPH.94.2.205. Consultado el 25 de octubre de 2020.
- ↑ El cigarrillo: Implicaciones para la Salud.
- ↑ Organización Mundial de la Salud (Julio de 2015). «Tabaco». Archivado desde el original el 13 de enero de 2016. Consultado el 19 de enero de 2016.
- ↑ «Tabaco». www.who.int. Consultado el 26 de octubre de 2020.
- ↑ Bello, Jorge (2001). Deja De Fumar Sin Darse Cuenta. Robin Book. p. 97. ISBN 8479274646.
- ↑ a b Ballantyne C (6 de enero de 2009). «What is third-hand smoke?». Scientific American.
- ↑ Comisionado para el Mercado de Tabacos. Ministerio de Hacienda y Administraciones Públicas. Gobierno de España., ed. «El Mercado de Tabacos > Estadísticas». Archivado desde el original el 20 de junio de 2012. Consultado el 31 de mayo de 2012.
- ↑ semFYC, ed. (22 de mayo de 2012). «Resultados de una encuesta realizada en centros de salud de España a fumadores y no fumadores».
- ↑ De Stefani E, Oreggia F, Rivero S, Fierro L. Cancer. 1992 Aug 1;70(3):679-82., ed. «Hand-rolled cigarette smoking and risk of cancer of the mouth, pharynx, and larynx.».
- ↑ Menvielle G, Luce D, Goldberg P, Bugel I, Leclerc A. Eur J Cancer Prev. 2004 Jun;13(3):165-72., ed. «Smoking, alcohol drinking and cancer risk for various sites of the larynx and hypopharynx. A case-control study in France.».
- ↑ Rolke HB, Bakke PS, Gallefoss F. Clin Respir J. 2009 Jul;3(3):152-60., ed. «Relationships between hand-rolled cigarettes and primary lung cancer: a Norwegian».
- ↑ Benhamou S, Benhamou E, Tirmarche M, Flamant R. J Natl Cancer Inst. 1985 Jun;74(6):1169-75., ed. «Lung cancer and use of cigarettes: a French case-control study.».
- ↑ Franco EL, Kowalski LP, Oliveira BV, Curado MP, Pereira RN, Silva ME, Fava AS, Torloni H. Int J Cancer. 1989 Jun 15;43(6):992-1000., ed. «Risk factors for oral cancer in Brazil: a case-control study».
- ↑ Kubina M, Hédelin G, Charloux A, Purohit A, Pauli G, Quoix E. Rev Mal Respir. 1999 Sep;16(4):539-49., ed. «[Do patients with squamous cell carcinoma or adenocarcinoma of the lung have different smoking histories?].».
- ↑ De Stéfani E, Fierro L, Larrinaga MT, Balbi JC, Ronco A, Mendilaharsu M. Lung Cancer. 1994 Sep;11(3-4):191-9., ed. «Smoking of hand-rolled cigarettes as a risk factor for small cell lung cancer in men: a case-control study from Uruguay.».
- ↑ Castaño, T., Hebert, C., Campo, M.T., Ysa, M. Pons, A. (2011). Elsevier España, S.L., ed. «Tabaco de liar: una prioridad de salud pública y consumo». Consultado el 31 de mayo de 2012.
- ↑ Kocyigit A, Selek S, Celik H, Dikilitas M. Mutat Res. 2011 Apr 3;721(2):136-41. Epub 2011 Feb 2., ed. «Mononuclear leukocyte DNA damage and oxidative stress: the association with smoking of hand-rolled and filter-cigarettes.».
- ↑ Rueda, Aleida (31 de agosto de 2022). «Vapear no es “mejor” que fumar, ambos son dañinos». Salud con lupa. Consultado el 19 de febrero de 2024.
