Sincicio
| Sincicio o sincitio | ||
|---|---|---|
|
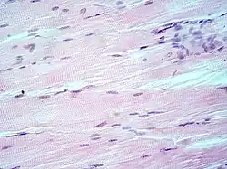
Micrografía de un corte transversal de músculo esquelético estriado. En la periferia de cada célula sincitial se observan varios núcleos. | ||
| Nombre y clasificación | ||
| Latín | Syncytium | |
| TH | H1.00.01.0.00020 | |
| TH | H1.00.01.0.00020 | |
|
| ||
En biología, un sincitio o sincicio es una célula que presenta varios núcleos resultante de la fusión de varias células.[1][2][3]
En España, Colombia y Cuba se prefiere «sincitio»; en Argentina y Chile se prefiere «sincicio».[1]
No se debe confundir con cenocito[4][5] (del griego κοινός koinós ‘común’ y κύτος kytos ‘caja’), que es una célula que contiene muchos núcleos al ocurrir la mitosis sin citocinesis subsiguiente.[6]
El nombre proviene del griego σύν syn ‘junto’ y κύτος kytos ‘caja’.
En la antigüedad podría verse escrito como «sincito».
La mayoría de las células en los organismos eucariotas de plantas y animales tienen un solo núcleo; los sincitios son formas especiales.[7] Sin embargo, en algunos organismos no solo son estructuras habituales sino que, incluso, constituyen el estado más preponderante del ciclo vital —ciertos nematodos o mixomicetos, entre otros.
Un sincitio se forma por fusión de células individuales —en el caso del músculo estriado en los mamíferos— o por división celular incompleta —en insectos, por ejemplo.[8] Es necesario diferenciar el sincitio del plasmodio, que es otro tipo de célula multinucleada que se obtiene a partir de una mixameba ya diferenciada o por la fusión de los gametos móviles de los Myxomycota.[9]
La función del sincitio es variada y depende del organismo evaluado, aunque en general puede afirmarse que funciona como una sola unidad coordinada compuesta de varias celdas vinculadas estructural y funcionalmente, que permiten el intercambio de moléculas e impulsos eléctricos. Los sincitios, además de ser el resultado del plan de desarrollo normal de un organismo, pueden ser la consecuencia de procesos infecciosos ocasionados por virus y otros patógenos.
La actividad de la larva juvenil de segundo estadio de nematodos parásitos como Heterodera o Globodera en el sitio definitivo de alimentación dentro del huésped produce el engrosamiento de la pared celular, la densificación del citoplasma y la fusión de tres a diez células en torno a la cabeza del parásito. El sincitio así resultante presenta una alta actividad metabólica, fundamental para alimentar al juvenil. El huésped en cambio ve limitada la funcionalidad de las raíces porque el sincitio interrumpe los vasos cribosos y leñosos. El efecto es la reducción del crecimiento y el rendimiento de la planta, adelantando la senectud.[10]
Formación
Los sincitios pueden formarse de dos maneras: por fusión o división celular. En organismos unicelulares, la forma menos frecuente es la fusión del citoplasma de individuos de la misma especie, sin fusión de los núcleos. La conjunción de estas células, ameboideas se denomina plasmodio. Es un método común en hongos mixomicetos. La fusión en cambio es una forma de sincitio común que permite que la célula primitiva crezca por divisiones sucesivas de su núcleo, a costa de no segmentar ni aumentar su citoplasma.[1] Este mecanismo puede dar como resultado individuos unicelulares multinucleados o devenir en la formación de individuos multicelulares. Las especies que incluyen únicamente organismos sincitiales incluye a los protozoos —como el infusorio Opalina ranarum y varias especies de radiolarios— y las talofitas, entre las que se incluyen las algas sifonales y los mohos mucilaginosos.[11]
En los organismos pluricelulares, un sincitio puede formarse por fusión o por división celular. Muchos insectos, como Drosophila melanogaster, ponen huevos que inicialmente se desarrollan como blastodermos sincitiales, es decir, a principios de la formación del embrión muestran una división celular incompleta, separando los núcleos y volviendo a ensamblarse pero sin citocinesis. Por lo tanto, los núcleos se multiplican en un espacio citoplasmático común.[8] En cambio, las grandes fibras del músculo esquelético se forman por fusión de células musculares individuales.[12] Los mioblastos —células originadoras de las fibras musculares—[13] sufren un proceso de diferenciación celular dirigido por factores de transcripción como MyoD[14] que los obliga a proliferar en presencia de factores de crecimiento. Cuando ya no hay IGF, los mioblastos dejan de proliferar y comienzan a fusionarse, formando una sola célula con múltiples núcleos.[8]
Ejemplos fisiológicos
Algas
Varias especies de algas están compuestas enteramente por cenocitos. El género de algas verdes Caulerpa, de la familia Caulerpaceae, es un ejemplo. Los individuos de estas especies están constituidos por una única célula gigante que puede llegar a medir tres metros, lo que las convierte en las células vivientes más grandes del mundo.[15]
Las células de las algas del género Chlorophyta son sincitios contenidos por la pared celular que se convierte en células uninucleares al dividirse.[16] En forma inversa, las algas sifonocladales o cladoforales como Acetabularia comienzan su vida en forma unicelular pero luego se convierten en cenocíticas.[17]
El talo de Siphonocladus pusillus, por ejemplo, tiene un aspecto similar a una vesícula cuya pared celular está revestida por una capa multinucleada de citoplasma y en el centro se ubica una vacuola. A medida que el ejemplar envejece, el citoplasma comienza a desprenderse formando pequeñas vesículas con vacuolas recubiertas por una capa de citoplasma polinuclear que se fragmentó de la capa original. Estas pequeñas vacuolas desarrollan una pared de celulosa mientras flotan en el interior de la vacuola central, cuya apariencia se vuelve similar a la de un filamento con tabiques que crecen ramificándose lateralmente, fenómeno conocido como división segregativa y que es característico de este tipo de algas. En cladoforáceas como Chaetomorpha o Cladophora el proceso es algo distinto. En forma independiente de la división nuclear, el citoplasma se divide en dos y se separa de la pared celular, formándose en esa zona un anillo de membrana hacia el centro que crea un tabique transversal doble que se une por cada lado con la capa interna de la pared longitudinal.[18]
Hongos
La mayoría de los hongos crecen como hifas, estructuras cilíndricas y filiformes de 2 a 10 micrómetros de diámetro y hasta varios centímetros de longitud. Las hifas nuevas se forman típicamente por la aparición de nuevos ápices a lo largo de hifas preexistentes por un proceso llamado de ramificación, aunque también puede ocurrir que el extremo apical de las hifas se bifurque, dando lugar a dos hifas con crecimiento paralelo.[19] Las hifas pueden ser septadas o cenocíticas: las primeras se hallan divididas en compartimentos con un solo núcleo por medio de tabiques internos, o septos, que se forman en ángulo recto con las paredes de la hifa. Las hifas cenocíticas, en cambio, no están compartimentalizadas por lo que forman grandes células multinucleadas.[20]
En muchos hongos filamentosos inferiores el micelio está muy poco dividido, presentando escasos septos, por lo que forma verdaderos sincitios. En cambio, la mayoría de los hongos filamentosos superiores presentan dicarión —dos núcleos—, en el cual las células filiformes se hallan parcialmente divididas en segmentos, cada uno con dos núcleos diferentes,[21] provenientes de distintas células madres y que no se fusionan.[22]
En el proceso de doble fecundación en angiospermas, uno de los núcleos generativos del grano de polen se fusiona con la oósfera para originar el cigoto, mientras que el otro núcleo generativo se une con los núcleos polares de la célula central del saco embrionario para formar el núcleo triploide de la célula central o célula a partir de la cual se desarrollará el endosperma. El mismo puede ser de tres tipos, dependiendo del tipo de proceso de formación. En el tipo celular la cariocinesis está acompañada con la citocinesis, por lo que únicamente se originan células uninucleadas. Por el contrario, en los tipos nuclear y helobial las primeras divisiones del núcleo de la célula endospermogenética no están acompañadas de la división del citoplasma a través de paredes celulares, por lo que se forman células cenocíticas que posteriormente pueden formar paredes celulares.[23][24][25]
En el endosperma de los cereales la etapa cenocítica de desarrollo se caracteriza por divisiones celulares sincronizadas alrededor de una gran vacuola central siguiendo un patrón de polaridad antero-posterior. Esta etapa transcurre de 3 a 5 días luego de la doble fertilización, dependiendo de la especie y de las condiciones ambientales y es inmediatamente seguida por una serie de citocinesis que transforman al cenocito en un tejido multicelular.[26][27]
Invertebrados
Insectos

En varias especies de insectos el destino de las células madre se decide mediante interacciones entre las distintas partes de una célula por un método llamado especificación sincitial.
En el embrión de Drosophila melanogaster, existe un solo citoplasma para todos los núcleos. El material genético se intercambia a lo largo del huevo ya que las membranas recién aparecen a partir de trece divisiones mitóticas sucesivas desde su fecundación. Cuando el sincitio alcanza el estadio de aproximadamente 1500 células, en la parte externa aparecen células mononucleadas individuales, que van a formar el blastodermo.
En vertebrados
Músculo
- Músculo esquelético
El músculo esquelético es considerado un verdadero sincitio anatómico, pues cada célula presenta múltiples núcleos, originada por la fusión de múltiples células. Los mioblastos comienzan a multiplicarse, influidos por factores de crecimiento como el FGF. Los receptores integrinas de las fibronectinas y otras moléculas como las cadherinas los obligan a reconocerse, alinearse y adherirse, para posteriormente fusionarse en células musculares sincitiales. Este último proceso está mediado por meltrinas —unas metaloproteasas—.[12] En cultivo, los mioblastos forman el sincitio al proliferar y fusionarse mientras producen proteínas contráctiles. Este proceso es cooperativo, de tal forma que la fusión celular altera el medio de cultivo para inducir la fusión de otros mioblastos.[29]
El sincitio del músculo esquelético permite una rápida contracción coordinada de los músculos en toda su longitud. El potencial de acción se propaga a lo largo de la superficie de la fibra muscular desde el punto de contacto sináptico con la neurona motora.[30] En estados patológicos como la miopatía, la presencia de sincitio permite la viabilidad muscular, porque los focos de necrosis de una parte del músculo esquelético no resultan en la necrosis de las secciones adyacentes de esa zona ya que estas regiones tienen su propio material nuclear, aunque algunos de los segmentos supervivientes queden sin inervación por la pérdida de continuidad con la unión neuromuscular.[31]
- Músculo cardíaco
Al igual que el músculo esquelético, el músculo cardíaco también es un músculo con estriaciones debido a la presencia de retículo sarcoplásmico y miofibrillas. Inicialmente los investigadores consideraban que la fibra muscular cardíaca era un sincitio como la fibra esquelética. Sin embargo, con el desarrollo de la microscopía electrónica pudo comprobarse que no es un auténtico sincitio anatómico,[32] porque cada fibra miocárdica se encuentra separada de las vecinas por sus respectivos sarcolemas en la zona lateral, que se continúan con los discos intercalares en el extremo de cada fibra.[30]
Estos discos tienen uniones en hendidura, con conductancias muy elevadas,[30] que conectan los citoplasmas de células vecinas lo que lleva a que cuando reciben un potencial de acción se produzca una onda de despolarización —precediendo a la contracción de las aurículas y de los ventrículos— sin que exista un neurotransmisor que desencadene la respuesta,[33] por lo que, si bien el músculo cardíaco no es un sincitio anatómico, se comporta como un sincitio funcional. Los discos intercalares además podrían influir en la cohesión del tejido cardíaco durante la contracción.[32] En el músculo cardíaco, el proceso de formación de las células del tejido es similar al de D. melanogaster —por división, no fusión—, finalizando con la expresión de miogenina, una proteína que comienza el proceso para que se produzca la diferenciación final de la célula muscular.[12]
- Músculo liso
A diferencia de los tejidos esqueléticos estriados, el músculo liso contiene retículos escasamente desarrollados y dispersos por la célula, que se contraen debido a las variaciones de la concentración de iones de calcio. El músculo liso puede tener una sola o múltiples unidades. Si bien ninguno de ellos son sincitios anatómicos, el músculo liso de unidad única o visceral puede actuar como un sincitio eléctrico funcional debido a que las células están relacionadas por uniones en hendidura, que permiten el pasaje del impulso nervioso y la contracción coordinada como respuesta al estímulo producido por un potencial de acción. Este tejido es abundante en el abdomen y en órganos del aparato digestivo como el intestino.[33] Allí, la presencia de un sincitio funcional en el músculo liso que conforman sus paredes produce que al ser excitado se forme un anillo contráctil que expande el estímulo hacia zonas contiguas adelante y atrás del punto en que se recibió.[34] Por el contrario, el de unidades múltiples o multiunitario tiene igualmente contracciones involuntarias pero en forma independiente debido a que las células están aisladas eléctricamente y por lo tanto no es un sincitio en ningún aspecto. Este tejido se puede encontrar por ejemplo en el iris de los ojos.[30][33]
Placenta

Otro sincitio importante en vertebrados está en la placenta de los mamíferos placentarios. La conversión del citotrofoblasto —capa de Langhans— en sincitio es una forma fisiológica para regenerar la placenta. Cuando se implanta el embrión está rodeado únicamente de elementos citotrofoblásticos. Sin embargo, algunos estudios científicos en humanos[35][36] demostraron que en el día 14 después de la ovulación, cuando debería producirse la menstruación en condiciones de no - embarazo, la hemorragia periovular que ocurre induce la transformación en sincitio del trofoblasto inmaduro, debido a reacciones inmunitarias.[37]
Cuando se forma la placenta, el estrato de Langhans predomina sobre el sincitio. A medida que la placenta madura, la relación se invierte. La distribución característica de la circulación de la sangre por los vasos fetoplacentarios determinan una mejor irrigación tanto del estrato de Langhans como del sincitio, facilitando el intercambio entre la circulación fetal y el espacio intervelloso, lo que constituye una adaptación a la mejor oxigenación del feto en el embarazo.[38]
Las células embrionarias, sin membranas que las separen, forman una barrera multinucleada.[37][38] El sincitio placentario tiene además otras funciones. Presenta gran cantidad de organelos citoplasmáticos, especialmente en las últimas etapas de desarrollo fetal, indicando un alto metabolismo. También es un gran depósito de hierro, que obtiene del plasma materno.[39] Además se ha demostrado mediante estudios inmunohistoquímicos que el sincitio es el principal lugar donde se forma la gonadotrofina coriónica humana (hCG). Así mismo, como se ha detectado en el huevo recién implantado en el cual el trofoblasto aún no ha madurado, se piensa que también se origina en el citotrofoblasto. El sincitio produce gran cantidad de proteínas placentarias que vierte a la sangre materna. Algunos afirman que evitan el rechazo del feto por procesos inmunes naturales y evitan la coagulación sanguínea en los espacios intervellosos, aunque otros piensan que no cumplen ninguna función. Estas proteínas son liberadas por factores liberadores producidos por la propia placenta, que de este modo actúa en forma autócrina. La producción de proteínas se mantiene en permanente aumento durante todo el embarazo.[37]
Cuando el embarazo acaba, el citotrofoblasto se disgrega y el sincitio se vuelve extremadamente delgado, produciendo un estrecho acercamiento entre la sangre materna y la fetal, hasta el punto que en algunos sitios quedan apenas separadas por el endotelio de los capilares fetales. Estos puntos se conocen como membranas vásculo-sincitiales, que se ubican por debajo del sincitio y lo separan del capilar fetal —semejantes a la del glomérulo renal—. Estas membranas están especializadas en filtrar la sangre; no se encuentran en placentas inmaduras, ni en maduras patógenas en las que el trofoblasto no ha madurado, por lo que puede considerarse que la placenta se divide en dos superficies con funciones distintas: la que corresponde a la aposición endotelio-corial —filtrante— y otra constituida por el sincitio —con función metabólica—.[37]
Sistema nervioso central


En 1855 Franz von Leydig fue el primero en proponer que en el sistema nervioso central de las arañas había una sustancia a la que llamó Punktsubstanz, que se distribuía en las zonas donde no había células nerviosas. En su opinión, la sustancia estaba constituida por fibrillas entrelazadas. En 1865, Otto Deiters visualizó por primera vez las prolongaciones de las células nerviosas, aunque no pudo ver los somas en forma completa. Deiters interpretó que había unas fibrillas delgadas que se extendían desde las prolongaciones protoplasmáticas y se prolongaban hacia otras de mielina, originando un nuevo sistema axónico.[40] Siete años más tarde, Joseph von Gerlach confirmó las observaciones de Leydig y Deiters. Para Gerlach, el tejido nervioso estaba formado por un sincitio citoplasmático continuo en el que las prolongaciones se entrelazaban y anastomosaban formando una red.[41] Esta teoría fue llamada reticularismo o teoría reticular, y permitía entre otras cosas, explicar la transmisión del impulso eléctrico entre neuronas. His y Forel se opusieron a esta idea, pero carecían de metología científica que los avalara.[42]
En 1872 Camilo Golgi desarrolló un método de tinción para analizar al microscopio preparados histológicos de tejido nervioso,[43] que hoy se conoce como tinción de Golgi. La técnica, basada en la precipitación de sales de plata, producía siluetas negras de las células, pero sus resultados no sólo eran inconsistentes sino que ocultaban la estructura celular y las terminaciones nerviosas, lo que llevó a interpretaciones erróneas.[44] A pesar de ello, fue capaz de determinar que las dendritas no formaban una red. Sin embargo, creía que los axones de células aisladas sí lo hacían al sobreponerse y entretejerse, permitiendo la propagación de impulsos nerviosos.[45] Posteriormente Santiago Ramón y Cajal refinaría esta técnica desarrollando una propia, llamada «de plata reducida» o tinción de Cajal, que permitía visualizar la morfología neuronal. Aplicando estas técnicas a tejidos de embriones y animales jóvenes, Cajal no solo probó que no existía un sincitio en el sistema nervioso central, sino que desarrolló la teoría moderna de la neurona, explicando además el crecimiento de las prolongaciones nerviosas e incursionando en el estudio de la polaridad del impulso nervioso.[44]
A pesar de ello, modernamente se ha establecido que algunas células que componen el sistema nervioso como los astrocitos o algunos axones gigantes pueden ser sincitiales. Los astrocitos aíslan las sinapsis de otras terminaciones nerviosas adyacentes y del medio extracelular. Presentan las mismas uniones gap que el músculo cardíaco, quedando unidos en un sincitio[46] al que se denomina red astrocítica o sincitio glial.[47] La red permite el intercambio de iones y otras moléculas de pequeño tamaño, como los neurotransmisores, haciendo que los astrocitos actúen a modo de buffer,[48] en especial de la concentración de ion potasio en el sistema nervioso,[49] además de otros metabolitos como agua, glutamato e ion sodio,[46] lo que preserva los gradientes iónicos, la homeostasis y aporta las moléculas energéticas necesarias para la función neuronal.[47]
Esto es importante en algunos casos como la hipoxia, en que la concentración local de este ion puede aumentar hasta veinte veces, despolarizando las membranas y provocando la liberación de neurotransmisores que multipliquen el efecto, pudiendo llevar a la muerte neuronal.[48]
Los axones pueden estar formados por una o muchas células. Dentro de los axones multicelulares se encuentran los axones gigantes con mielina, que pueden clasificarse en segmentados o sincitiales. Un ejemplo de axón sincitial está representado por los axones gigantes de calamar, que se obtienen por fusión de unas trescientas a quinientas células.[50]
Ejemplos patógenos
Nematodos
Varios géneros de nematodos parásitos, tanto de plantas como de animales, inducen la fusión de las células del hospedador formando un sincitio sin el cual no podrían alimentarse, desarrollarse o completar su ciclo vital.[51][52]
- Parásitos de vegetales
En los nematodos que forman quistes como Heterodera schachtii, el desarrollo embrionario se completa dentro de un sincitio producido en el parénquima vascular por las sustancias contenidas en la saliva del juvenil de segundo estadio o J2 que penetró la epidermis de las raíces secundarias del huésped, generalmente Brassicaceae y Chenopodioideae. Las células sincitiales constituyen el alimento del parásito y le permiten madurar resguardado por el quiste. En su interior, la larva disuelve la pared celular formando tubos y huecos desprovistos de membrana plasmática, lo que permite que los núcleos se muevan y se fusionen los protoplasmas. A partir del cuarto estadio J2 se desarrollan en adultos completos y eclosionan entre tres y cuatro semanas después de la infectación inicial.[10]
Tanto el género Heterodera como el género de parásitos de la papa, Globodera, son endoparásitos sedentarios,[53] pero a diferencia del primero, solo las hembras de Globodera forman sincitios.[10] El exudado de sustancias a través de las raíces de las plantas susceptibles al parásito estimulan la eclosión de los huevos y la emergencia de los juveniles de segundo estadio, que penetran la zona de elongación de la raíz de los húespedes, muy cerca del meristemo. El juvenil avanza creando galerías en la corteza y causando necrosis de las células de las que se nutrió hasta alcanzar el sitio definitivo de alimentación. La larva introduce sustancias en las células corticales adyacentes a la endodermis que rodean su cabeza. De tres a diez de esas células se fundan entre sí y sus paredes celulares se engrosan, conformando el sincitio. A medida que el juvenil se alimenta se rompen las paredes celulares y las células de la endodermis se vuelven necróticas. El citoplasma sincicial se vuelve más denso por el incremento de material membranoso, ribosomas agrupados y de organelos, aunque varía en función del cultivo estudiado. Aumenta la actividad metabólica, evidenciado en grupos de retículo endoplásmico rugoso muy desarrollados junto a mitocondrias, complejo de Golgi y plastidios.[51]
La diferencia en susceptibilidad entre cultivos a la infestación por estos nematodos podría ser el motivo por el cual hay variación en la localización y la morfología de los sincitios. Estos hechos sugieren que la relación hospedador - parásito podría estar gobernada por genes en ambas especies. En cultivos resistentes al nematodo, aunque las primeras etapas de la infección se desarrollan en forma similar, la papa produce una reacción interna que forma un tejido similar al sincitio pero rodeado por una membrana compuesta probablemente de células necróticas que no permite que J2 pueda madurar, debido a la lisis de la pared celular y del citoplasma del sincitio, lo que disminuye la energía disponible para el juvenil. También pueden presentar amiloplastos y mitocondrias que pueden neutralizar los productos secretados por los parásitos y reducir la cantidad de alimentos disponibles para alimentarlo.[51] Hay estudios que indican que los aminoácidos lisina, fenilalanina, triptofano y muy especialmente metionina tienen efectos nocivos ya sea para el metabolismo del sincitio como para el desarrollo del nematodo propiamente dicho.[54]
- Parásitos de animales

Distintas subespecies del género Trichinella producen una zoonosis llamada triquinelosis, por la cual un parásito coloniza el tejido muscular estriado de los mamíferos. El vehículo de infección es la ingesta de carne de animales infectados con quistes del nematodo. Dentro del quiste se aloja una larva arrollada formando una espiral. Al ingerir el quiste, las enzimas de la digestión liberan la larva. Esta se traslada en forma pasiva hacia el yeyuno por peristaltismo donde alcanza su estadio adulto. Allí se reproducen y la nueva camada de larvas perfora la mucosa intestinal y se protegen al formar un sincitio por fusión de un número aproximado de ciento veinte células. En el interior pasan por cuatro mudas hasta completar su desarrollo entre un día y un día y medio más tarde. Las larvas que eclosionan se transportan por la vía linfo-hemática por todo el huésped hasta alojarse en el músculo esquelético estriado.[52]
Los humanos son huéspedes ocasionales, frecuentemente por la transmisión vía ingesta de carne de cerdo infectada. La especie que produce mayores perjuicios a los humanos es Trichinella spiralis.[52]
Virus

Ciertos tipos de virus como los de la familia Paramyxoviridae —incluyendo el virus sincitial respiratorio (RSV)[55] y el VIH— también forman sincitios, pero con las células del huésped.[56] El virus sincitial respiratorio bovino (VSRB) obliga a que las células no ciliadas del epitelio de los bronquios y alvéolos proliferen formando células sincitiales de gran tamaño, con acumulación de linfocitos en el tejido intersticial.[57] En al menos la mitad de los lactantes internados por bronquiolitis en Estados Unidos el agente etiológico es virus sincitial respiratorio. El virus induce la formación de un sincitio en las vías aéreas de los infantes que probablemente provoca una reacción a la inmunoglobulina E y a sustancias liberadas por los neutrófilos, produciendo edema en la mucosa, broncoespasmo y finalmente la necrosis del epitelio del sistema respiratorio debido a que las células gigantes del sincitio ocluyen los alvéolos, los bronquiolos y los bronquios, dificultando la respiración.[58]
En la infección por el VIH, el virus infecta un linfocito T cooperador. Entonces, la célula comienza a mostrar las glicoproteínas superficiales del VIH, que son antigénicas. Normalmente, un linfocito T citotóxico inmediatamente llega a inyectar linfotoxinas, como perforina o granzima, que matan a la célula T ayudante infectada. Sin embargo, si hay cerca células T colaboradoras, los receptores gp41 del VIH que aparecen en la superficie de la célula T se une a otros linfocitos similares. Esto hace que decenas de células T colaboradoras fusionen sus membranas celulares en un sincitio gigante no funcional, lo que hace que el virión del VIH pueda matar muchas células T colaboradoras mediante la infección de una sola.[59]
La infección por VIH-1 afecta el metabolismo normal de los lípidos en los pacientes infectados. A medida que la enfermedad se agudiza aumenta la concentración de los triacilglicéridos y bajan los ácidos grasos poliinsaturados y el colesterol en sangre. En particular, los niveles bajos de colesterol-HDL podrían contribuir a la formación del sincitio e inducir la expresión de fenotipos del VIH. Se realizaron estudios in vitro que sugieren que VIH produce una gran desaturación del ácido esteárico convirtiéndolo en oleico, alterando la relación natural entre ellos en las membranas celulares, lo que colaboraría en la formación del sincitio. Esto también parece estar vinculado a la depleción de células CD4. Durante la fusión celular se producen cambios metabólicos en las células huésped que desaturan los ácidos grasos de la bicapa lipídica variando su fluidez, lo que contribuiría a la formación del sincitio y favorece la expresión de fenotipos víricos. Esta idea se ve reforzada porque su formación es inhibida por la apolipoproteína Al, la principal en la HDL.[60]
Véase también
Nota
Referencias
- ↑ a b c «sincitio». Real Academia Nacional de Medicina.
- ↑ «sincicio». Diccionario del Instituto Nacional del Cáncer.
- ↑ García Peralta, Faustino (1973). Minerva Books, ed. Fundamentos de biología (Libro digitalizado). Digitalizado el 28 de marzo de 2008 a partir del original en la Universidad de Texas (10ª, reimpresa edición). p. 72. Consultado el 28 de diciembre de 2013.
- ↑ González, A.M. & Arbo, M.M. «Glosario». Morfología de Plantas Vasculares. Argentina: Universidad Nacional del Nordeste. Archivado desde el original el 28 de diciembre de 2013. Consultado el 28 de diciembre de 2013.
- ↑ El término se aplica a especies con pared celular. Complutense Oxford (1999). Diccionario de biología - Diccionarios Oxford-Complutense. (Libro digitalizado) (ilustrada edición). GoogleBooks: Editorial Complutense. p. 117. ISBN 9788489784543. Consultado el 28 de diciembre de 2013.
- ↑ Watson, James (2008). «18 - Regulación génica durante el desarrollo». Biología molecular del gen (5.ª edición). España: Editorial Médica Panamericana. p. 631. ISBN 978-84-7903-505-1. Consultado el 28 de diciembre de 2013.
- ↑ Muñoz Martínez, E. J.; García, X. (1998). «8 Citoesqueleto» (Libro digitalizado). En Fondo de Cultura Económica, ed. Fisiología. Células, órganos y sistemas. GoogleBooks. p. 78. ISBN 9789681654467. Consultado el 28 de diciembre de 2013.
- ↑ a b c Wolpert, Lewis (2010). «2: Ciclo vital y desarrollo general de Drosophila» (Libro digitalizado). Principios Del Desarrollo / Development Principles (3ª edición). España: Ed. Médica Panamericana. pp. 33-84. ISBN 978-84-9835-206-1. Consultado el 28 de diciembre de 2013.
- ↑ López-Sánchez, M.E.; Honrubia, M.; Gracia, E.; Gea, F.J. (1986). Revisión bibliográfica sobre la biología de los mixomicetos. Murcia: Secretariado de Publicaciones de la Universidad de Murcia. p. 39. ISBN 9788476840368. Consultado el 30 de diciembre de 2014.
- ↑ a b c Manuel García Zumel. «Nematología vegetal - Nematodos fitopatógenos». Universidad de Valladolid. p. 2-15. Consultado el 29 de diciembre de 2013.
- ↑
- ↑ a b c Eynard, Aldo; Valentich, Mirta; Rovasio, Roberto (2008). «Parte II - Interacciones celulares, patrones complejos e hostogénesis». Histología y Embriología del Ser Humano/ Histology and Embryology of the Human Being: Bases Celulares Y Moleculares/ Cellular and Molecular Basis (4ª edición). Argentina: Ed. Médica Panamericana. pp. 264-265. ISBN 978-950-06-0602-8. Consultado el 28 de diciembre de 2013.
- ↑ «Diccionario médico» (Diccionario en línea). Médicos cubanos.com. Setiembre de 2008. Consultado el 28 de diciembre de 2013.
- ↑ Ross, Michael H.; Wojciech, Pawlina (2007). Histología (5ª edición). Argentina: Ed. Médica Panamericana. p. 321. ISBN 978-950-06-0435-2. Consultado el 28 de diciembre de 2013.
- ↑ Jacobs, W. P. (1994). «Caulerpa». Scientific American (en inglés) 271 (6): 66-71. ISSN 0036-8733. Archivado desde el original el 28 de diciembre de 2013. Consultado el 28 de diciembre de 2013.
- ↑ Bachmann, Konrad (1978). Biología para médicos: conceptos básicos para las facultades de medicina, farmacia y biología.. Volumen 2 de Serie de Biología Fundamental. Reverte. p. 196. ISBN 9788429118049. Consultado el 25 de mayo de 2011.
- ↑ Naturaleza Educativa. «Botánica. Clasificación. Ficofitos o algas - 2ª parte». Asociación Española para la Cultura, el Arte y la Educación (ASOCAE O.N.G.D.). Consultado el 1 de agosto de 2011.
- ↑ Des Abbayes, H. (1989). Botánica: vegetales inferiores. Reverte. pp. 284 - 285. ISBN 9788429118131. Consultado el 1 de agosto de 2011.
- ↑ Harris SD. (2008). «Branching of fungal hyphae: regulation, mechanisms and comparison with other branching systems». Mycologia (en inglés) 50 (6): 823-32. PMID 19202837. doi:10.3852/08-177.
- ↑ Chang S-T, Miles PG. (2004). Mushrooms: Cultivation, Nutritional Value, Medicinal Effect and Environmental Impact (en inglés). CRC Press. ISBN 0849310431.
- ↑ Prats Pastor, Guillermo (2006). «5 - Micología». Microbiología Clínica. Ed. Médica Panamericana. pp. 83-84. ISBN 9788479039714.
- ↑ Piaggio, Mario (9 de julio de 2008). «Curso de biología vegetal. Atlas de imágenes. "D"». Sección Micología de la Facultad de Ciencias (UDELAR). Consultado el 2 de agosto de 2011.
- ↑ Vijayaraghavan, M.R.; Prabhakar, K. (1984). «The endosperm». Johri B.M., ed. Embryology of Angiosperms. Berlin (en inglés) (Springer-Verlag): 319-376.
- ↑ Lopes, M.A.; Larkins, B.A. (1993). «Endosperm origin, development, and function». The Plant Cell Online (en inglés) 5 (10): 1383-1399. ISSN 1532-298X.
- ↑ Berger, F. (1999). «Endosperm development». Curr. Opin. Plant Biol. (en inglés) 2: 28-32. ISSN 1369-5266.
- ↑ Berger, F. (2001). «Dynamic Analyses of the Expression of the HISTONE::YFP Fusion Protein in Arabidopsis Show That Syncytial Endosperm Is Divided in Mitotic Domains». Plant Cell (en inglés) 13: 495-509. doi:10.1105/tpc.13.3.495.
- ↑ Kranz, E.; von Wiegen, P.; Quader, H.; Lörz, H. (1998). «Endosperm Development after Fusion of Isolated, Single Maize Sperm and Central Cells in Vitro». Plant Cell (en inglés) 10: 511-524. doi:10.1105/tpc.10.4.511.
- ↑ Public Library of Science (2004). «The Molecular Biology of Wound Healing». PLoS Biology (en inglés) 2 (8).
- ↑ Gil-Loyzaga, Pablo E. Cátedra innovación y Salud, Fundación FG-UCM, ed. Cultivo de Células Animales Y Humanas, Aplicaciones en Medicina Regenerativa. España: Visión Libros. p. 168. ISBN 978-84-9983-737-6.
- ↑ a b c d Levy, Matthew N.; Koeppen, Bruce M.; Stanton, Bruce A. (2006). Matthew N. Levy, Bruce M. Koeppen, Bruce A. Stanton, ed. Berne Y Levy Fisiologia (4ª edición). Elsevier España. ISBN 9788481749489.
- ↑ Stevens, Alan; Lowe, James (2001). «468». En Elsevier España, ed. Anatomía Patológica (2ª edición). ISBN 9788481745122.
- ↑ a b Montoya Torno, Mario; Corporación para Investigaciones Biológicas (2002). «1». En Corporación para Investigaciones Biológicas, ed. Cardiología (6ª edición). pp. 1-2. ISBN 9789589400579.
- ↑ a b c Cunningham, James G. (2009). Elsevier España, ed. Fisiologia Veterinaria: Incluye Evolve. p. 87. ISBN 9788480863919.
- ↑ Montenegro, R. (2001). «6 - Sistema de órganos». En Raúl Montenegro, ed. Biología evolutiva. Editorial Brujas. pp. 117-118. ISBN 9789874331816. Consultado el 3 de agosto de 2011.
- ↑ Tuttle, SE; O´Toole, RW; O'Saughnessi, RW; Zuspan, FP (1985). «Immunohistochemical evaluation of human placental implantation: an initial study». Am J Obstet Gynecol (en inglés) 153 (3): 239-44.
- ↑ Ulloa-Aguirre, A; Craviotto, A; Méndez, JP (1989). «Studies of the hCG secreted by human trophoblast in vitro». Proceed 71 Meeting Endocrine Society Seattle (en inglés): Abst # 501.
- ↑ a b c d Botella Llusiá, José (1993). Ediciones Díaz de Santos, ed. La placenta: fisiología y patología. p. 392. ISBN 9788479780654.
- ↑ a b Botella Llusiá, José; Claveo Núñez, José A. Tratado de ginecología: fisiología, obstetricia, perinatología, ginecología, reproducción (14ª edición). Ediciones Díaz de Santos. p. 101. ISBN 9788479780920.
- ↑ Birkenfeld, A.; Mordel, N.; Okon, E. (1989). «Direct demonstration of iron in a term placenta in a case of beta-thalassemia major». Am. J. Obstet. Ginecol. (en inglés) 160 (3): 562-563. ISSN 0002-9378.
- ↑ Ramón y Cajal, Santiago (2007). Histología del sistema nervioso del hombre y de los vertebrados, Volumen 1. España: CSIC Press. p. 26-27. ISBN 978-84-340-1723-8.
- ↑ Squire, Larry R. (2013). Fundamental Neuroscience (Libro digitalizado) (en inglés). Academic Press. p. 20. ISBN 978-0-12-385870-2. Consultado el 29 de diciembre de 2013.
- ↑ Ramón y Cajal, S.; Markram, H. (2007). Javier DeFelipe, Jorge Wagensberg, ed. Paisajes neuronales: homenaje a Santiago Ramón y Cajal. CSIC. pp. 49-51. ISBN 9788400085339.
- ↑ Medina Malo, Carlos (2004). Epilepsia: aspectos clínicos y psicosociales. Ed. Médica Panamericana. p. 33. ISBN 9789589181782.
- ↑ a b Estable, C. (1944). Ramón y Cajal - Homenaje en el 10º aniversario de su muerte (1934 - octubre 17 - 1944) (1000 ejemplares fuera de comercio edición). A92:61 RIO, Facultad de Química de la UDELAR: Institución Cultural Española del Uruguay. pp. 29-36.
- ↑ Mazzarello, Paolo (2000). «La historia de la teoría celular: un concepto unificador». Elementos 38: 6. Archivado desde el original el 23 de septiembre de 2015. Consultado el 1 de enero de 2014.
- ↑ a b Niño-de Mejía, María Claudia; Darwin Cohen; Pablo Paredes; Juan A Cuervo (2012). «El astrocito edematizado y enfermo: foco de atención en la fisiopatología de la encefalopatía hepática». Revista Mexicana de Anestesiología 35 (2): 115-121. Consultado el 14 de enero de 2014.
- ↑ a b Medina, Adriana; Martha I Escobar (2005). «Efectos de la isquemia focal sobre la interacción glía - neurona: un análisis basado en la expresión de transportadores de glutamato, las células gliales y las interneuronas corticales». Salud UIS 37 (1). Archivado desde el original el 13 de enero de 2014. Consultado el 13 de enero de 2014.
- ↑ a b Levy, Matthew N.; Berne, Robert M. (2009). Bruce A. Stanton, Bruce M. Koeppen, ed. Berne y Levy Fisiología (6ª edición). España: Elsevier España. p. 56. ISBN 978-84-8086-434-3.
- ↑ Dvorkin, Mario A.; Cardinali, Daniel P.; Iermoli, Roberto H. (2010). «18 - Circulación coronaria e isquemia miocárdica». Best & Taylor Bases fisiológicas de la práctica médica/ Physiological basis of medical practice (14ª, ilustrada edición). Argentina: Ed. Médica Panamericana. p. 864. ISBN 978-950-06-0253-2.
- ↑ Hill, Richard W.; Wyse, Gordon A. (2006). Fisiología Animal. España: Ed. Médica Panamericana. p. 360. ISBN 978-84-7903-990-5.
- ↑ a b c Franco, J.; González, A.; Matos, A. (1993). Manejo Integrado Del Nematodo Quiste de la Papa Globodera Spp. Centro Internacional de la Papa. pp. 46-49.
- ↑ a b c Builes Cuartas, Lorena Marcela; Laverde Trujillo, Laura María (20 de noviembre de 2009). «Triquinelosis una zoonosis parasitaria». Revista CES 4 (2): 130-136. ISSN 1900-9607. Archivado desde el original el 17 de junio de 2012. Consultado el 1 de diciembre de 2013.
- ↑ Raúl Hernández Hernández. «Los nematodos parásitos de la piña. Opciones para su manejo». Cuba: FAO. p. 5. Archivado desde el original el 30 de diciembre de 2013. Consultado el 29 de diciembre de 2013.
- ↑ Betka, M; F. Grundler y U. Wyss (1991). «Influence on changes in the Nurse Cell System (Syncytium) on the Development of the Cyst Nematode Heterodera schachtii: Single Amino Acids». The American Phitopathological Society (en inglés) 81 (1): 75-79. Consultado el 30 de diciembre de 2013.
- ↑ Aguilar (2002). Tratado de Enfermería Pediátrica Enfermería Mosby.. España: Elsevier España. p. 692. ISBN 978-8481-74-558-0. Consultado el 12 de enero de 2014.
- ↑ Prats Pastor, Guillermo (2008). «6: Virología». Microbiología Clínica. España: Médica Panamericana. p. 123. ISBN 978-84-7903-971-4. Consultado el 12 de enero de 2014.
- ↑ Chamizo Pestana, E.G. UABC, ed. Patología especial y diagnóstico de las enfermedades de los animales domésticos. p. 47. ISBN 9789687326351.
- ↑ Shoemaker; Grenvik, Ake (2002). Tratado de medicina crítica y terapia intensiva (4ª, reimpresa edición). Médica Panamericana. pp. 1460-1461. ISBN 9788479035877.
- ↑ Huerta, L et ál (2009). «HIV-Envelope–Dependent Cell-Cell Fusion: Quantitative Studies». The Scientific World Journal (en inglés) 9: 746-763. doi:10.1100/tsw.2009.90.
- ↑ Gutierrez-Rodriguez, Raúl; A. Campa, G. Shor-Posner, M. K. Baum (1998). «Estado del metabolismo de los lípidos en la infección por VIH-1 y SIDA». Diagnostico 37 (6). Archivado desde el original el 4 de marzo de 2016. Consultado el 13 de enero de 2014.