Diferenciación celular

Diagrama de la división y diferenciación celular de la célula madre.
Código de colores (abajo) A= célula madre; B= célula del progenitor; C= célula diferenciada.
1- división simétrica de la célula madre.
2- división asimétrica de la célula madre.
3- división de la célula del progenitor.
4- diferenciación terminal.

La diferenciación celular es el proceso por el cual las células cambian de un tipo celular (morfología) a otro, generalmente un tipo más especializado. Para esta diferenciación la célula atraviesa un proceso de morfogénesis, donde hay modificaciones en su expresión génica, que la llevan a adquirir la morfología y las funciones de un tipo celular específico y diferente al resto de los tipos celulares del organismo.[1]

A cualquier célula que presente un nivel de Potencia celular o capacidad de diferenciación, es lo que se denomina célula madre. Estas pueden clasificarse según su capacidad de diferenciación en totipotentes, pluripotentes, multipotentes y unipotentes.

La diferenciación ocurre múltiples veces durante el desarrollo de un organismo multicelular, a medida que cambia de un cigoto simple a un complejo de tejidos y órganos especializados.

La diferenciación altera de manera drástica el tamaño de la célula, su forma, potencial de membrana y capacidad metabólica y la responsividad de señales.

Potencia celular y células madre

Las células madre son capaces de cambiar y transformarse en otros tipos de células que se encuentran en el cuerpo. Este proceso es la diferenciación celular y está a cargo del desarrollo de todas las células del cuerpo. Esto significa que las células madre pueden diferenciarse en células musculares, células grasas, células óseas, células sanguíneas, células nerviosas, células epiteliales, células inmunes, células sexuales y más.

En las células en desarrollo existen diferentes niveles de potencia celular, es decir, la habilidad de la célula de diferenciarse en otros tipos celulares. Una mayor potencia implica una mayor cantidad de linajes celulares que puede producir.

Una célula capaz de producir la totalidad de tipos celulares, incluyendo los tejidos extra-embrionarios o placentarios se le denomina una célula totipotente. En mamíferos, solo el cigoto y los blastómeros subsecuentes son totipotentes.

Si la célula solo puede diferenciarse en linajes celulares presentes en el adulto se denomina una célula pluripotente. Estas células se denominan meristomáticas en plantas, y células madres embrionarias en animales.

Una célula multipotente solo puede diferenciarse en pocos tipos celulares, generalmente del mismo linaje celular. Por ejemplo, en la hematopoyesis se producen diferentes tipos de células, pero todas del mismo linaje, el sanguíneo.

Finalmente, cuando la célula solo puede producir un único tipo de célula, se le denomina unipotente. Al hablar de célula madres, estas no se van a diferenciar, ya que cumplen la asimetría unicelular. Un claro ejemplo de este linaje son las células madres que producen los espermatozoides (véase Espermatogénesis).

Clonación e inducción de pluripotencia (iPS)

Para la clonación de la oveja Dolly se estudiaron los oocitos de mamífero y se encontraron presentes ciertos factores de transcripción capaces de reprogramar el núcleo, no solo manteniendo su estado de indiferenciación, sino induciendo en núcleos de células diferenciadas una vuelta hacia el estado indiferenciado. Estos factores fueron: Nanog, Tdgf1, Utf1, Lin28, etc.

El hecho de que estos factores pueden no solo mantener la célula indiferenciada si no reprogramar su núcleo una vez diferenciada, y mediante técnicas de laboratorio es posible inducir estadios de pluripotencia (iPS). Por ejemplo, el uso de los factores de Yamanaka (Sox2, Oct4, c-Myc & Klf4)[2]​ logró revertir el nivel de potencia de fibroblastos adultos.

Mecanismos de diferenciación celular

En los organismos cada tipo celular especializado expresa un conjunto de la totalidad de genes presentes en el genoma, son estos procesos de regulación de la expresión génica lo que caracteriza al linaje celular. Al hablar de diferenciación, hablamos de un cambio del patrón de expresión y de toda la red de regulación que produjo esa célula.[3]

Control epigenético

Si bien la diferencia en los patrones de expresión génica se da en su mayoría por elementos reguladores cis y trans (promotores y enhancers) hay mecanismos para que estos patrones de expresión se mantengan durante muchas generaciones de división celular. En este punto los mecanismos epigenéticos juegan un papel fundamental, ya que las modificaciones sobre la cromatina (metilación, fosforilación, acetilación, etc.), ADN (metilaciones, etc.) o la interacción de ARN no codificantes, cambia los patrones de expresión y represión de los genes.

Metilación del ADN

Uno de los mecanismos más frecuentes para la regulación de la expresión es la metilación del ADN. En este proceso, las enzimas metiltransferasas añaden un grupo metilo sobre los residuos de Citosina ubicado en las islas CpG, evitando el acceso al ADN.

En células embrionarias la mayoría de estas islas CpG están sin metilación y asociadas a nucleosomas con un trimetilación en la lisina 4 de la histona H3 (H3K4me3).[4]​ En el proceso de diferenciación solo hay pocos genes como Oct4 y Nanog que presentan metilación temprana, esto para disminuir su expresión a medida que se cumple la diferenciación.[5]​ Células con deficiencias en su metilación entran en procesos de apoptosis rápidamente.[4]

Factores pioneros (Oct4, Sox2, Nanog)

Estos tres factores de transcripción están altamente expresados en células embrionarias indiferenciadas y son importantes para el mantenimiento de la pluripotencia.[4]​ Se ha demostrado que la importancia de estos factores radica en su capacidad de modificar la cromatina, modificando las histonas y metilando el ADN; para permitir o restringir la transcripción de genes.

Si bien estos genes son altamente expresados, su capacidad de mantener la pluripotencia requiere un balance cuidadoso, ya que se ha visto que una perturbación puede conducir a diferentes linajes celulares. Una regulación diferencial entre Oct4 y Sox2 conducen a destinos de línea germinal.[6]​ Del mismo modo, niveles elevados de Oct4 y reducidos de Sox2 promueve destinos mesodermales, ya que Oct4 bloquea destinos neuroectodermales; si aumenta Sox2 y disminuye Oct4 se derivan destinos ectodermicos. Nanog, por su parte no permite la diferenciación, por lo que su supresión es requisito para cualquier cambio de linaje.[6]

Estructura de las histonas donde se aprecian sus colas proteicas donde se pueden evidenciar diferentes modificaciones.

Acceso a nucleosomas y modificación de histonas

Teniendo todas las células del cuerpo el mismo genoma, los patrones de unión de los Factores de transcripción y su efecto sobre los genes marcan la diferencia. Las modificaciones de las histonas que componen el nucleosoma pueden facilitar o bloquear el acceso de los factores de transcripción y la ARN polimerasa al ADN.

Dentro de las técnicas que nos permiten dilucidar si los nucleosomas están bloqueando un gen encontramos la inmunoprecipitación de cromatina (ChIP).

Cuando los nucleosomas están firmemente posicionados sobre el ADN evitando cualquier tipo de transcripción los vamos a denominar heterocromatina. Por el contrario, cuando los enlaces no son tan fuertes y permiten la transcripción, lo denominamos eucromatina. Los procesos responsables por estos cambios de estructuras son las modificaciones sobre las histonas.

Generalmente la adición de grupos acetilos genera apertura y por ende una mayor transcripción. Este proceso se lleva a cabo sobre residuos de lisina por acetil-transferasas. El grupo acetil va a evitar que la lisina encuentre afinidad por el esqueleto de fosfato y azúcar del ADN.

Por otro lado, las metilaciones de histonas tienen comportamientos "menos predecibles", ya que según el residuo metilado puede promover o reprimir la expresión. A pesar de esto se conoce de ciertas metilaciones que reprimen como lo son la trimetilación de la lisina 27 de las histonas H3 (H3k27me3) o H3K9me (metilación en lisina 3 de la H3). También encontramos metilaciones activadoras como la trimetilación de la lisina 4 de la histona H3 (H3K4me3), al igual que las H3K38me y H3K79me

Complejo represivo Polycomb (PRC2)

Al hablar de silenciamiento génico, el complejo represivo polycomb II —uno de los dos miembro de la familia Polycomb (PcG)— cataliza la di- y tri-metilación de la lisina 27 de la histona H3 (H3K27me2/me3).[4][7]​ Este proceso permite la unión de todo el complejo PRC1 (también PcG) que cataliza la ubiquitinación de la histona H2 en la lisina 119 (H2aK119Ub), bloqueando así la actividad de la ARN Polimerasa II y suprimiendo la transcripción.

Al bloquear todas las PcG, las células embrionarias no son capaces de diferenciarse en las tres capas germinales. Mientras que la deleción de los genes PRC1 y PRC2 conlleva a la sobre-expresión de genes de ciertos linajes, pero de manera desordenada.[4]

Proteínas del grupo Tritórax (Trx)

Si bien las proteínas PcG promueven la diferenciación, estas no pueden mantener fenotípo diferenciado. Mantener estos procesos activos es la función de los genes de la familia tritórax (Trx). Una vez inician los programas de diferenciación celular, las proteínas Trx son reclutadas en las zonas transcripcionalmente activas, donde catalizan la trimetilación de la histona H3 en la lisina 4 (H3K4me3) y también la acetilación de otras histonas. Estos procesos conllevan a la activación de la expresión génica.

Se considera que los grupos PcG y Trx son antagonistas funcionales, ya que compiten directamente generando loci de dominios bivalentes donde los genes pueden ser activados o reprimidos rápidamente, según el programa de diferenciación activado.

Señalización celular

Todos los mecanismos que hemos visto hasta ahora deben ser activados en conjunto para poder coordinar la formación de un tejido u órgano (morfogénesis). Las sustancias que logran generar estos cambios celulares coordinados se les conoce como morfógeno o a nivel específico, factores de crecimiento.[cita requerida]

El mecanismo de transducción de la señal es conservado, aunque sus intermediarios cambian según la señal. Un ligando producido por una célula se une a un receptor extracelular de otra célula. Este receptor cambia su dominio citoplasmático y adquiere una propiedad enzimática, esto cataliza una serie de reacciones que amplifican la señal. Esta señal estimula los factores de transcripción o componentes del citoplasma, que alteran la forma o la expresión génica de la célula, al interactuar con los enhancers o promotores de un gen.[1]

Algunos morfógenos relevantes son las proteínas morfogenéticas óseas (BMP), los factores de crecimiento transformantes (TGF) o los factores de crecimiento fibroblásticos (FGF). Se sabe que los TGFs y los FGFs pueden interactuar con los factores de Yamanaka mediante las proteínas Smad.[8]​ La disminución de algunos factores de crecimiento promueve la diferenciación de células madre embrionarias (pluripotentes) y simultáneamente los dominios bivalentes pueden alterar su permisividad para la transcripción.

Otras vías de señalización como la JAK-STAT ha demostrado ser necesaria para el mantenimiento de pluripotencia en células embrionarias de ratón.[9]​ El ácido retinóico también ha demostrado que induce la diferenciación en células humanas y de ratón.[8]​ La señal de Notch cumple papeles importantes en la auto-renovación y el mantenimiento del nicho de células madre. Finalmente Sonic hedgehog (SHH) actúa también como promotor de la diferenciación de células madres y la auto-renovación de células unipotenciales, al regular la producción de BMI1, un componente de polycomb (PcG).

La matriz extracelular

Todos estos procesos celulares y de señalización no se llevan a cabo en el vacío, todo lo contrario, las células están inmersas en una matriz de proteínas, biomoléculas y fluidos que pueden afectar la diferenciación celular.

Mecanismo de transducción de señal mediada por integrinas.

Se ha probado que células madre mesenquimales —originarias de la médula ósea— al ser puestas en sustratos con la misma rigidez que la matriz cerebral o muscular, desarrollan propiedades similares a las de esos tipos celulares.[10]

La lectura de la estas cualidades físicas por parte de la célula se basa en el principio tensegridad, ya que según la fuerza que actúe directamente sobre la membrana celular esta se deformará e interactuará con componentes del citoesqueleto como la actina que puede generar una cascada de señalización. También podemos encontrar receptores de proteínas como las integrinas que son capaces de identificar la fibronectina presente en la matriz.[1][11]

Estas señales generan respuesta por proteínas inducidas por tensión, que pueden modificar la cromatina según la tensión mecánica. Un mecanismo es la vía de RhoA.[11]

Evolución de la diferenciación celular

Animales

Históricamente la embriología se ha concentrado en estudiar el desarrollo animal. Por ello, el uso de organismos modelos como Drosophila melanogaster o C.elegans ha cumplido un papel importante en la descripción de estos procesos. Una gran variedad de morfógenos fueron descubiertos en estos organismos, e hipótesis y experimentos pudieron llevarse a cabo en modelos murinos teniendo en cuenta la homología y ortología genética.

Mapa de los diferentes linajes celulares durante el desarrollo en C. elegans.

Diferenciación celular en plantas superiores

Con la llegada de la biología del desarrollo como ciencia integrativa, se pudo dar inicio a la translación de conocimientos y su aplicabilidad en otros organismos como las plantas.

Diferentes tipos celulares presentes en plantas.

La diferenciación en plantas superiores se produce a partir de las células meristemáticas que son reclutadas para dar lugar a las células maduras que forman parte de los órganos de la planta. Los cambios que se producen en la célula afectan desde al contenido celular o estructura de la pared, hasta a las relaciones entre células vecinas (espacios entre células o crecimiento diferencial de unas respecto a otras).

Está demostrado que los genes de la familia WOX están relacionados con la organización de grupos de células durante el desarrollo de la planta. Según estudios realizados en el desarrollo de Arabidopsis thaliana y Solanum lycopersicum en los que se observó la transcripción y función de los genes WOX4, se constató que estos genes están involucrados en el desarrollo de los haces vasculares de la raíz y en el brote de los órganos laterales en ambas especies.

Una reducción de la expresión de WOX4 mediante ARN de interferencia en Arabidopsis tuvo como consecuencia plantas de pequeño tamaño, cuyo floema y xilema no se había diferenciado o lo habían hecho dando lugar a conductos más pequeños de lo normal. Los datos obtenidos sugieren que los genes WOX4 promueven la diferenciación o la no diferenciación del procambium vascular.[12]

Dediferenciación

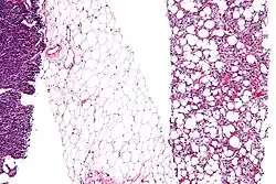
Micrografía que muestra cierta desdiferenciación (en el borde izquierdo de la imagen). + Un componente diferenciado, que muestra lipoblastos y mayor vascularidad (borde derecho de la imagen). + Tejido adiposo completamente diferenciado, que muestra algunos vasos sanguíneos (centro de la imagen).

La dediferenciación es un proceso celular frecuente en formas de vida basales como invertebrados o anfibios, donde una célula diferenciada regresa a un estado anterior en el desarrollo, generalmente asociado a procesos regenerativos.[13]​ Este proceso también se da en plantas con mucha frecuencia.[14]

Véase también

Referencias

  1. a b c Gilbert, Scott F. (2016). Developmental Biology (11.th edición). ISBN 978-1-60535-470-5. OCLC 945169933. Consultado el 6 de mayo de 2020. 
  2. Takahashi, Kazutoshi; Yamanaka, Shinya (2006-08). «Induction of Pluripotent Stem Cells from Mouse Embryonic and Adult Fibroblast Cultures by Defined Factors». Cell (en inglés) 126 (4): 663-676. doi:10.1016/j.cell.2006.07.024. Consultado el 6 de mayo de 2020. 
  3. Scott F. Gilbert (2005). «5:El paradigma de la expresión génica diferencial». Biología del Desarrollo (7.a edición). p. 115. Consultado el 7 de agosto de 2022. 
  4. a b c d e Christophersen, Nicolaj Strøyer; Helin, Kristian (25 de octubre de 2010). «Epigenetic control of embryonic stem cell fate». Journal of Experimental Medicine (en inglés) 207 (11): 2287-2295. ISSN 1540-9538. PMID 20975044. doi:10.1084/jem.20101438. Consultado el 7 de mayo de 2020. 
  5. Meissner, Alexander (2010-10). «Epigenetic modifications in pluripotent and differentiated cells». Nature Biotechnology (en inglés) 28 (10): 1079-1088. ISSN 1087-0156. doi:10.1038/nbt.1684. Consultado el 7 de mayo de 2020. 
  6. a b Thomson, Matt; Liu, Siyuan John; Zou, Ling-Nan; Smith, Zack; Meissner, Alexander; Ramanathan, Sharad (2011-06). «Pluripotency Factors in Embryonic Stem Cells Regulate Differentiation into Germ Layers». Cell (en inglés) 145 (6): 875-889. doi:10.1016/j.cell.2011.05.017. Consultado el 7 de mayo de 2020. 
  7. Zhu, Jiang; Adli, Mazhar; Zou, James Y.; Verstappen, Griet; Coyne, Michael; Zhang, Xiaolan; Durham, Timothy; Miri, Mohammad et al. (2013-01). «Genome-wide Chromatin State Transitions Associated with Developmental and Environmental Cues». Cell (en inglés) 152 (3): 642-654. doi:10.1016/j.cell.2012.12.033. Consultado el 7 de mayo de 2020. 
  8. a b Mohammad, Helai P.; Baylin, Stephen B. (2010-10). «Linking cell signaling and the epigenetic machinery». Nature Biotechnology (en inglés) 28 (10): 1033-1038. ISSN 1087-0156. doi:10.1038/nbt1010-1033. Consultado el 7 de mayo de 2020. 
  9. Niwa, H.; Burdon, T.; Chambers, I.; Smith, A. (1 de julio de 1998). «Self-renewal of pluripotent embryonic stem cells is mediated via activation of STAT3». Genes & Development (en inglés) 12 (13): 2048-2060. ISSN 0890-9369. doi:10.1101/gad.12.13.2048. Consultado el 7 de mayo de 2020. 
  10. Engler, Adam J.; Sen, Shamik; Sweeney, H. Lee; Discher, Dennis E. (2006-08). «Matrix Elasticity Directs Stem Cell Lineage Specification». Cell (en inglés) 126 (4): 677-689. doi:10.1016/j.cell.2006.06.044. Consultado el 7 de mayo de 2020. 
  11. a b Guilak, Farshid; Cohen, Daniel M.; Estes, Bradley T.; Gimble, Jeffrey M.; Liedtke, Wolfgang; Chen, Christopher S. (2009-07). «Control of Stem Cell Fate by Physical Interactions with the Extracellular Matrix». Cell Stem Cell (en inglés) 5 (1): 17-26. doi:10.1016/j.stem.2009.06.016. Consultado el 7 de mayo de 2020. 
  12. Ji, Jiabing; Strable, Josh; Shimizu, Rena; Koenig, Daniel; Sinha, Neelima; Scanlon, Michael J. (31 de diciembre de 2009). «WOX4 Promotes Procambial Development». Plant Physiology 152 (3): 1346-1356. ISSN 0032-0889. doi:10.1104/pp.109.149641. Consultado el 7 de mayo de 2020. 
  13. Stocum, D. L. (2004). Heber-Katz, Ellen, ed. Regeneration: Stem Cells and Beyond 280. Springer Berlin Heidelberg. pp. 1-70. ISBN 978-3-642-62321-9. Consultado el 6 de mayo de 2020. 
  14. Giles, K. L. (1971-12). «Dedifferentiation and regeneration in bryophytes: A selective review». New Zealand Journal of Botany (en inglés) 9 (4): 689-694. ISSN 0028-825X. doi:10.1080/0028825X.1971.10430231. Consultado el 6 de mayo de 2020.