Fibra de Rosenthal

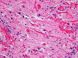
La fibra de Rosenthal es un haz grueso, alargado, con un contorno irregular y en forma de espiral eosinofílico que aparece en la tinción hematoxilina-eosina del cerebro en presencia de gliosis de larga evolución, en ocasiones tumores, y algunos desórdenes metabólicos.
Son características también del astrocitoma pilocítico cerebeloso, también como respuesta cerebral reactiva adyacente al craneofaringioma o a las cavidades siringeas, y como consecuencia de la enfermedad de Alexander (leucodistrofia) se encuentran abundantemente en zonas periventriculares, perivasculares y subpiales.[1]
Condiciones asociadas
Su presencia se asocia o bien al astrocitoma pilocítico[2] (más común) o a la enfermedad de Alexander (una rara leucodistrofia). También se pueden ver en el contexto de la fucosidosis.
Composición
Las fibras se encuentran en procesos astrocíticos y se cree que son grupos de filamentos intermedios de proteínas.
Sus componentes incluyen proteína fibrilar acídica de la glia.[3]
Referencias
- ↑ Compendio de patología estructural y funcional Robbins y Cotran. 7.ª edición. Editorial Elsevier
- ↑ Wippold FJ, Perry A, Lennerz J. (mayo de 2006). «Neuropathology for the neuroradiologist: Rosenthal fibers». AJNR Am J Neuroradiol 27 (5): 958-961. PMID 16687524. Consultado el 15 de enero de 2012.
- ↑ Tanaka KF, Ochi N, Hayashi T, Ikeda E, Ikenaka K (octubre de 2006). «Fluoro-Jade: new fluorescent marker of Rosenthal fibers». Neurosci. Lett. 407 (2): 127-130. PMID 16949206. doi:10.1016/j.neulet.2006.08.014. Consultado el 15 de enero de 2012.