Filamento intermedio

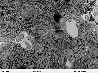
Dos desmosomas mostrando unos conspicuos filamentos intermedios.

Los filamentos intermedios son componentes del citoesqueleto, formados por agrupaciones de proteínas fibrosas. Su nombre deriva de su diámetro, de 10 nm, menor que el de los microtúbulos, de 25 nm, pero mayor que el de los microfilamentos, de 7 nm. Son únicos en las células animales

Estructura

Se componen de proteínas en alfa-hélice, que se agrupan de forma jerárquica para dar lugar a los filamentos intermedios:

  • Dos proteínas se asocian de forma paralela, es decir, con los extremos amino terminal y carboxi terminal hacia el mismo lado.
    • Dos dímeros se asocian de forma antiparalela para dar un tetrámero
      • Los tetrámeros se asocian cabeza con cola para dar largas fibras llamadas protofilamentos, que, además, se asocian lateralmente para dar:
        • El filamento intermedio, se asemeja a una cuerda formada por las hebras de tetrámeros unidos cabeza con cola.

La unidad funcional que se considera precursor, por su elevada estabilidad en el citosol, es el tetrámero.

Tipos de proteínas de los filamentos intermedios

  1. I. Queratina ácida
  2. II. Queratina básica
  3. III. Vimentina, desmina, periferina
  4. IV. Neurofilamentos
  5. V. Láminas o proteínas laminares (envoltura nuclear)
  6. VI. Nestina
  7. VII. Desminas. Cel. musculares y fibroblastos

Función

Su función principal es darle rigidez a las células. La función depende de la composición y la localización de los filamentos. Las laminas nucleares además de darle rigidez al núcleo participan en la regulación de transcripción. Otros miembros, las queratinas, participan en algunas uniones celulares (desmosomas y hemidesmosomas).

Además:

  • Apoyo estructural
  • Fijación al núcleo
  • Suministran una conexión adaptable
  • Proporcionan un marco estructural
  • No dan movimiento

Su función no se observa claramente in vitro ya que es dar origen a tejidos y órganos.[cita requerida] Son esenciales para el anclaje de células a otras células o a la matriz extracelular. In vitro no se requieren proteínas para su función pero in vivo sí. Algunas funciones de las proteínas asociadas in vivo a los filamentos intermedios son:

  • Unir los filamentos intermedios con otras estructuras celulares como la membrana plasmática
  • Hacer redes entre filamentos intermedios
  • Formar haces

Irregularidades en la expresión genética de las proteínas de los filamentos intermedios causan fragilidad y distrofias celulares (como es el caso de ciertas cardiomiopatías).

Estabilidad

Los filamentos intermedios, a diferencia de la actina F o los microtúbulos, son muy estables. Para su dinámica se requiere la fosforilación y defosforilación de sus componentes por medio de Quinasas y fosfatasas, respectivamente.

Relación con otros elementos del citoesqueleto

Existen proteínas asociadas a filamentos intermedios que establecen enlaces cruzados con microtúbulos y actina. También son buenos inhibidores de las miosinas.