Gliosis

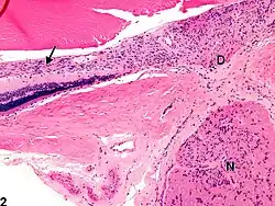
D - disco visual
N - nervio óptico
Gliosis es un término médico usado para describir una proliferación de astrocitos en regiones lesionadas del sistema nervioso central (SNC) y que por lo general deja como saldo la formación de una cicatriz glial. Se puede evidenciar gliosis de los astrocitos o astrogliosis en el proceso de envejecimiento en individuos de la tercera edad y mayores.[1]
Histología
Los astrocitos son células gliales de gran tamaño y con variadas funciones, incluyendo la acumulación en regiones donde ha habido daño de neuronas. La hiper-proliferación de estos componentes celulares de la neuroglía es el signo histopatológico más importante de un daño al SNC. Los astrocitos pasan por un proceso de hipertrofia e hiperplasia, el núcleo celular aumenta de tamaño y se vuelve vesicular con nucléolos prominentes. El citoplasma, que una vez fuera difuso, se expande y se vuelve brillante bajo la tinción celular e irregular en su morfología, del cual parten numerosos procesos llamados astrocito gemistocítico.
Etiología
La gliosis y pérdida neuronal son frecuentes en ciertas regiones del cerebro con trastornos neurodegenerativos como la Esclerosis Múltiple, enfermedad de Alzheimer, el síndrome de Korsakoff, la enfermedad de Huntington, la demencia en pacientes con sida y en la enfermedad de ELA (Esclerosis Lateral Amiotrófica).
Referencias
Véase también
Wikimedia Commons alberga una categoría multimedia sobre Gliosis.