Ovulación
PB=cuerpo polar
DNA= Pronúcleo. Microscopía de contraste de interferencia diferencial.
La ovulación[1] u ovocitación es uno de los procesos del ciclo ovárico de las mujeres, en el cual un folículo ovárico maduro se rompe y libera un ovocito en el extremo de la trompa uterina, durante la fase ovulatoria (periodo periovulatorio).
El óvulo liberado, es el gameto femenino y podrá alcanzar la fecundación hasta las 12 o 48 horas siguientes a su liberación. En la mayoría de las mujeres, la ovulación se produce cuatro días antes o cuatro días después de la mitad de su ciclo ovárico habitual.
Las alteraciones de la ovulación (disfunción ovulatoria), representan un porcentaje de los casos de infertilidad humana.
La ovulación también ocurre dentro del ciclo estral de todas las restantes hembras de mamífero, aunque este proceso guarda diferencias sustanciales con el ciclo menstrual humano.
El proceso
La ovulación es un proceso altamente dinámico y cíclico que ocurre a lo largo de la vida reproductiva, 650 veces en ratonas y aproximadamente 400 veces en mujeres.[2]
La ovulación ocurre principalmente como consecuencia de pulsos hormonales. A nivel del eje hipotálamo-hipófisis-ovario, la GnRH liberada en el hipotálamo desde el núcleo arcuato, actúa sobre la adenohipófisis mediante pulsos lentos, induciendo la síntesis de FSH o mediante pulsos rápidos activando la secreción de LH.[3]
De los varios folículos en crecimiento simultáneo, se selecciona el folículo dominante destinado a ovular, que completará su crecimiento. Este folículo dominante libera inhibina impidiendo el crecimiento de los demás folículos, que entran en atresia. Dicho folículo dominante puede localizarse en cualquiera de los dos ovarios, por lo que la ovulación parece ser un proceso aleatorio, pues no necesariamente tiene qué producirse un mes en el ovario derecho y al siguiente en el ovario izquierdo.
En la fase folicular (preovulatoria) del ciclo ovárico, el folículo dentro del ovario sufre una serie de transformaciones denominadas expansión del cumulus Oophorus, estos cambios son estimulados por la secreción de FSH.
Después de que estas transformaciones se completan, se forma una abertura denominada stigma en el folículo, y el óvulo es expulsado a través de esta abertura.
La ovulación es disparada por un aumento significativo en la secreción de FSH y LH por la glándula pituitaria.
El óvulo es liberado en la cavidad peritoneal y recogido por la trompa de Falopio mediante un movimiento peristáltico. Normalmente, el ovocito liberado por el ovario derecho es recogido por la trompa de Falopio del lado derecho, lo mismo sucede en el lado izquierdo.[4]
En las mujeres, los dos días anteriores y los dos posteriores a la ovulación, así como el propio día de ovulación, constituyen la fase fértil.
Más de dos días tras la ovulación, el ovocito está listo para captar los espermatozoides, que una vez eyaculados pueden ser fecundantes durante 4 días.[5]
La ovulación en promedio ocurre hacia el día catorce de un ciclo menstrual de duración promedio (veintiocho días). Sin embargo es normal que el día en que se produce la ovulación se aparte del promedio, siendo comunes ovulaciones entre los días 10 y 19 del ciclo menstrual.
La longitud del ciclo por sí misma no es un indicador confiable del día de ovulación. Mientras que por lo general una ovulación temprana resulta en un ciclo menstrual más corto, y viceversa, la fase luteal (post-ovulatoria) del ciclo menstrual puede variar hasta en una semana, entre diferentes mujeres.
Las fases
El proceso de la ovulación se desarrolla de manera coordinada e interrelacionada en cinco pasos complejos: la detención de la proliferación de la granulosa, la reanudación de la meiosis, la expansión del cúmulo con liberación de ovocitos dentro del antro, la lisis de la pared del folículo y la salida (extrusión) del ovocito en su metafase II.[6]
Esta, se da usualmente entre 24 y 36 horas después del aumento de LH, por lo que la hormona luteinizante es un factor de medición del periodo de máxima fertilidad y permite estimar los días fértiles de la mujer. [6]
La ovulación para su estudio, puede ser dividida en fases: preovulatoria, ovulatoria y postovulatoria que se producen sucesivamente y sin detenciones.
Eventos previos
Los ovocitos que pueden llegar a madurar y convertirse en óvulos durante la vida reproductiva de una mujer, se calculan entre 400-450 en condiciones fisiológicas, (sin estimulación hormonal externa y sin bloqueo de ovulación). El resto de los ovocitos degenerarán, al entrar en el proceso de atresia del folículo, mediante apoptosis.[7]
Durante la pubertad, gracias a la FSH se estimula el ovocito primario que estaba parado en profase I dando paso a la continuación de su desarrollo. Cuando completa la meiosis I genera un ovocito secundario y un corpúsculo polar.
Posteriormente, el ovocito secundario entra en la meiosis II, pero se paraliza en la etapa de metafase II. Es en esta etapa como será ovulado, y la meiosis II solo finalizará en caso de darse la fecundación.
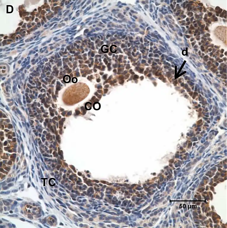
Durante todo este proceso, el ovocito está recubierto por células, lo que en conjunto forma el folículo ovárico. Con la menarquia o primera regla (y desde entonces en cada ciclo menstrual) va a madurar un grupo de folículos primordiales hasta el estado de folículo preovulatorio o de Graaf.
El de Graaf contiene el ovocito detenido en la profase de la primera división meiótica rodeado por una capa de células de la granulosa que conforman la corona radiata, una capa de células de la granulosa mural, una lámina basal protectora, y una red de capilares sanguíneos entre las capas de células de la teca interna y externa.
Las células de la granulosa mencionadas van a funcionar como mensajeros bidireccionales con el ovocito y el resto de células para favorecer la función folicular. De hecho, las células del cúmulo cumulus oophorus, son células de la granulosa que van a conectar, como si de un puente se tratara, el complejo corona-ovocito con las células murales de la granulosa.
Además de todas estas capas celulares, el folículo de Graaf se caracteriza por un gran saco de fluido conocido como antro (del latín, antrum). Inducidas por la hormona luteinizante (LH), las células de la teca del folículo preovulatorio secretan androstenediona, que es convertido en estradiol (un tipo de estrógeno) por las células murales de la granulosa. A diferencia de otras fases del ciclo menstrual, la liberación de estrógenos al final de la fase folicular tiene un efecto estimulante en la hormona liberadora de gonadotropinas del núcleo arcuato del hipotálamo (GnRH), que a su vez promueve la expresión de las hormonas luteinizante y foliculoestimulante (FSH) en la hipófisis. El aumento en la concentración de estas dos hormonas dará lugar al comienzo de la fase preovulatoria o folicular.
Fase preovulatoria
El ovocito debe estar rodeado por las células de la capa granulosa para alcanzar una ovulación exitosa, estas forman la corona radiata y el cumulus Oophorus.
Debido al aumento de las concentraciones de FSH y LH, en el cumulus oophorus se induce un proceso proliferativo y de mucificación conocido como expansión del cumulus. La mucificación se define como la secreción de ácido hialurónico para generar una red de células dispersas y a la vez unidas por una matriz pegajosa alrededor del ovocito. Esta red va a permanecer con el ovocito tras la ovulación y se ha demostrado que es necesaria para la fecundación.[cita requerida]

Un incremento en el número de células del cúmulo, genera un aumento del volumen de fluido del antro, lo que a su vez aumenta el tamaño del folículo hasta unos 20 milímetros (mm) de diámetro. Este aumento de tamaño lleva al folículo antral a convertirse en folículo preovulatorio o de Graaf, el cual forma una pronunciada protuberancia o bulto en la superficie del ovario.
Fase ovulatoria
La ovulación es el final de una serie de eventos moleculares, bioquímicos y morfológicos dentro del folículo.[6]
Estos eventos incluyen las interacciones entre: las células somáticas del folículo y el ovocito, la composición del líquido folicular y la vascularización de la periferia del folículo.[8]
El proceso ovulatorio, se inició por picos de las hormonas gonadotropinas de la adenohipófisis.
La conclusión de la ovulación, por otra parte, está mediada por factores parácrinos presentes dentro del mismo folículo, originados en las células de: la teca, la pared de la granulosa, el cumulus Oophorus, y el propio ovocito.
El folículo secreta enzimas proteolíticas que degradan el tejido folicular en el sitio de la protuberancia del ovario. Esto permite la liberación del complejo cúmulo-ovocito a la cavidad peritoneal, donde es captado por las fimbrias de las trompas uterinas (o trompas de Falopio).[9][4]
Lateralización y alternancia
En las mujeres, el lugar de la ovulación en ciclos sucesivos, fue estudiado por algunos investigadores y encontraron que era más probable que ocurriera en el ovario del otro lado (alternancia),[10] otros, encontraron más probable que fuera en el mismo ovario (se denomina lateralización);[11] o más cerca en el tiempo, que el lugar de la ovulación en ciclos sucesivos mostraba que la probabilidad era igual.[12] En el año 2000 un estudio colaborativo multicéntrico esta vez en mujeres fértiles de 19 a 42 años, investigó la alternancia del ovario derecho al izquierdo en ciclos sucesivos y encontró que era aleatoria.[13]
Día de la ovulación
El ciclo comienza y termina con la menstruación y se divide por la ovulación. Existen diferencias en el día de la ovulación, que es el final de la fase folicular. El tiempo desde el inicio de la última menstruación (FUM fecha última menstruación) hasta la ovulación es, en promedio de 14 días, pero presenta una variación sustancial entre mujeres y entre ciclos en la misma mujer.
| Ciclo corto | Ciclo medio | Ciclo largo | |
|---|---|---|---|
| Total de días del ciclo[14] | 21 a 24 días | 25 a 30 días | 31 a 35 días |
| Día de Ovulación | a los 12,4 días | a los 15,2 días | a los 19,5 días |
Para las mujeres con una duración típica del ciclo de 25 a 30 días, la duración de la fase folicular fue en promedio de 15,2 días. Para mujeres con ciclos normales pero más largos (de 31-35 días), fue de 19,5 días y para mujeres con ciclos normales pero más cortos (de 21-24 días) fue de 12,4 días. Estos hallazgos demuestran que, la creencia generalizada de que la ovulación ocurre de manera consistente en el día 14 del ciclo no es correcta. En un total de 612.613 ciclos estudiados, el ciclo ovulatorio tuvo una duración media de 29,3 días. La duración media de la fase folicular fue de 16,9 días.[14]
Los pocos días que rodean la ovulación, (aproximadamente entre los días 10 a 18 de un ciclo de 28 días), constituyen el período fértil o fase fértil de la mujer.
En este momento el ovocito ya habrá comenzado la segunda división meiótica y se quedará detenida en la metafase II (M II), hasta la fecundación.[15]
Fase postovulatoria
Una vez liberado el ovocito al espacio peritoneal, se forma el cuerpo lúteo dentro de ese folículo.[16]
Dolor periovulatorio (Mittelschmerz)
El dolor periovulatorio (Mittelschmerz en alemán) es reconocido como una de las causas del dolor abdomino-pélvico recurrente en ginecología.[17]
Se presenta bajo la forma de pinchazos o malestar en la zona baja del abdomen (fosas ilíacas e Hipogastrio), al producirse la rotura del folículo ovárico.
Suele ser una manifestación de irritación del peritoneo, por la liberación de sangre o líquido desde el folículo del ovario. Generalmente el dolor es unilateral y desaparece en el transcurso de unas horas, aunque en algunas mujeres puede llegar a ser muy intenso y prolongado.[18]
Durante la fase de ovulación debido a la variación genética humana las mujeres no tendrán todas el mismo síntoma.
Tratamiento
El dolor no es dañino y no significa la presencia de enfermedad. Por lo general, no es necesario ningún tratamiento. Los analgésicos (analgésicos) como los AINE (antiinflamatorios no esteroideos) pueden ser necesarios en casos de dolor prolongado o intenso.
Las formas hormonales de anticoncepción se pueden tomar para prevenir la ovulación y, por lo tanto, el dolor ovulatorio, pero por lo demás no se conoce ninguna prevención.[19]
Disfunción de la ovulación
La falta de ovulación o una ovulación anormal o irregular se denomina disfunción ovulatoria. Esta disfunción implica la ausencia de hasta 9 menstruaciones por año.[20][21]
Las causas son diversas, pero usualmente incluyen desequilibrios hormonales como el síndrome de ovario poliquístico, hipotiroidismo, y hiperprolactinemia, así como factores de estilo de vida como la anorexia, el ejercicio excesivo y el estrés crónico. O puede estar relacionada con condiciones médicas como tumores hipotalámicos y ciertos medicamentos. [22]
Los síntomas más comunes son períodos menstruales irregulares, dificultad para concebir, acné, aumento de peso y cambios de humor.
El diagnóstico se realiza mediante un examen físico, análisis de sangre de niveles hormonales y ecografías pelvianas seriadas, mientras que el tratamiento varía según la causa, e incluye corrección hormonal, inducción de la ovulación, cirugía y cambios en el estilo de vida.[23]
Diferencias con el proceso ovulatorio en el estro
La ovulación también ocurre dentro del ciclo estral o celo de todas las restantes hembras de mamífero, aunque este proceso guarda diferencias sustanciales con el ciclo menstrual humano.[24][25]
Dado que si no existe un embarazo, en la menstruación el "nido" (endometrio) se desprende y sale del cuerpo de la mujer y en el estro, en cambio, el cuerpo reabsorbe ese revestimiento, preparándolo para un nuevo ciclo.[26][27]
Así mismo, las mujeres que menstrúan suelen ser receptivas al sexo durante todo el año. Las hembras en estro, tienen períodos específicos en los que son más fértiles y muestran un comportamiento más receptivo al apareamiento.[26][28]
Sin embargo, es importante destacar que la duración y características del ciclo estral varían considerablemente entre las diferentes especies de mamíferos. Por lo que en la cría de animales domésticos o de ganado, el conocimiento del ciclo estral suele ser de utilidad para programar las monta o inseminación artificial y maximizar las posibilidades de concepción.[24][25]
Véase también
Referencias
- ↑ OMS,OPS (ed.). «Ovulación». Descriptores en Ciencias de la Salud, Biblioteca Virtual de Salud.
- ↑ Ruixu Huang , Caroline E. Kratka , Jeffrey Pea , Cai McCann , Jack Nelson , John P. Bryan , Luhan T. Zhou , Daniela D. Russo , Emily J. Zaniker-Gomez , Achla H. Gandhi , Alex K. Shalek , Brian Cleary , Samouil L. Farhi , Francesca E. Duncan , Brittany A. Goods (2025). «Single-cell and spatiotemporal profile of ovulation in the mouse ovary.». PLoS Biology (Public Library of Science). doi:10.1371/journal.pbio.3003193. Consultado el 21 de julio de 2025. CC BY
- ↑ «Cómo son las fases del ciclo de la ovulación». Natalben. Consultado el 21 de septiembre de 2024.
- ↑ a b T.W. Sandler (2007). «3:Primera semana del desarrollo: de la ovulación a la implantación». Langman: Embriologia Médica (10a. edición). Médica Panamericana. p. 33.
- ↑ Martínez Moro A.; Rodrigo A.; Barranquero Gómez M.; Rogel Cayetano S. (19 de mayo de 2020). «Prueba de vitalidad: espermatozoides inmóviles vivos o muertos, ¿Cuánto duran los espermatozoides vivos en el cuerpo de la mujer». Reproducción Asistida ORG. Consultado el 17 de enero de 2022.
- ↑ a b c Freitas de Medeiros S.; Barceló Barbosa B.; Souto de Medeiros A.; Marly Winck Yamamoto M. (2021). «Morphology and Biochemistry of Ovulation». Rev Bras Ginecol Obstet (Revisión) (Thieme) 43 (6): 480-486. doi:10.1055/s-0041-1731379. Consultado el 16 de enero de 2022.
- ↑ Manual MSD, ed. (2021). «¿Cuántos óvulos?». Versión para público general. Consultado el 14 de enero de 2022.
- ↑ Sutton M.L.; Gilchrist R.B.; Thompson J.G. (2003). «Effects of in-vivo and in-vitro environments on the metabolism of the cumulus–oocyte complex and its influence on oocyte developmental capacity» (PDF). Human Reproduction Update 9 (1): 35-48. doi:10.1093/humupd/dmg009. Consultado el 17 de enero de 2022.
- ↑ Robker R.L.; Hennebold J.D.; Russell D.I. (2018). «Coordination of Ovulation and Oocyte Maturation: A Good Egg at the Right Time». Endocrinology (Artículo de revisión) 159 (9): 3209-3218. doi:10.1210/en.2018-00485. Consultado el 17 de enero de 2022.
- ↑ Gougeon A.; Lefèvre B. (1984). «Histological evidence of alternating ovulation in women.». J. Reprod. Fertil. 70 (7-13).
- ↑ Werlin L.B.; Weckstein L.; Weathersbee P.S. et al. (1986). «Ultrasound: a technique useful in determining the side of ovulation.». Fertil. Steril. 46: 814-817.
- ↑ Check J.H.; Dietterich C.; Houck M.A. (1991). «Ipsilateral versus contralateral ovary selection of dominant follicle in succeeding cycle.». Obstet. Gynecol. 77: 247-249. Consultado el 30 de enero de 2022.
- ↑ Ecochard R.; Gougeon A. (2000). «Side of ovulation and cycle characteristics in normally fertile women.». Human reproduction (Oxford, England) 15 (4): 752-755. PMID 10739814. doi:10.1093/humrep/15.4.752. Consultado el 30 de enero de 2022.
- ↑ a b Bull J.R.; Rowland S.P.; Berglund Scherwitzl E.; Scherwitzl R.; Gemzell Danielsson K.; Harper J. (2019). «Real-world menstrual cycle characteristics of more than 600,000 menstrual cycles.» [Características del ciclo menstrual del mundo real de más de 600,000 ciclos menstruales]. npj Digital Medicine (Nature) 2 (83). Consultado el 13 de enero de 2022.
- ↑ Yvonne Butler Tobah. «Quedar embarazada». Mayo Clinic. Consultado el 14 de enero de 2022.
- ↑ David Vantman; Margarita Vega (2010). «Fisiología reproductiva y cambios evolutivos con la edad de la mujer». Revista Médica Clínica Las Condes 21 (3): 348-362. Consultado el 14 de enero de 2022.
- ↑ Ezcurra R.; Lamberto N.; Peñas V. (2009). «Dolor abdomino-pélvico en ginecología». Anales Sis San Navarra (Pamplona: SciELO) 32 (supl.1). Consultado el 21 de enero de 2022.
- ↑ Neus Garrido Mollá (2010). El dolor pelvico: tipos. Clasificación. Etiología. La dismenorrea. La dispareunia. Dolor pélvico de causa orgánica. Diagnóstico y manejo. (Seminario). Complejo hospitalario universitario de Albacete.
- ↑ Kippley, Sheila (1996). The art of natural family planning (4th ed edición). Couple to Couple League International. ISBN 0-926412-13-2. OCLC 35626462. Consultado el 3 de abril de 2022.
- ↑ «PubMed Health - Mittelschmerz». web.archive.org. 19 de febrero de 2011. Archivado desde el original el 19 de febrero de 2011. Consultado el 3 de abril de 2022.
- ↑ Amiram Magendzo, N. (2010-05). «Anovulación y disfunción ovulatoria e infertilidad». Revista Médica Clínica Las Condes 21 (3): 377-386. doi:10.1016/S0716-8640(10)70548-4. Consultado el 21 de septiembre de 2024.
- ↑ -, - (7 de octubre de 2014). «Suplemento 1». Revista Peruana de Ginecología y Obstetricia 60: S1-S50. ISSN 2304-5132. doi:10.31403/rpgo.v60i117. Consultado el 21 de septiembre de 2024.
- ↑ Manual MSD, ed. (2020). «Disfunción ovulatoria». Versión para profesionales.
- ↑ a b «6.2 Fases del ciclo estral | Reproducción de los animales domésticos». reproduccionanimalesdomesticos.fmvz.unam.mx. Consultado el 21 de septiembre de 2024.
- ↑ a b «19.3 Ciclo estral | Reproducción de los animales domésticos». reproduccionanimalesdomesticos.fmvz.unam.mx. Consultado el 21 de septiembre de 2024.
- ↑ a b Thompson, Claire; Wessel, Gary M. (2020-07). «Do I Menstruate or “Estruate”? – is this just a potato, potatoe thing?». Molecular reproduction and development 87 (7): 737-738. ISSN 1040-452X. PMC 7765733. PMID 32592190. doi:10.1002/mrd.23398. Consultado el 21 de septiembre de 2024.
- ↑ Cortés-Vidauri, Zimri; Aréchiga-Flores, Carlos; Rincón-Delgado, Melba; Rochín-Berumen, Fabiola; López-Carlos, Marco; Flores-Flores, Gilberto; Cortés-Vidauri, Zimri; Aréchiga-Flores, Carlos et al. (2018-12). «Revisión: El Ciclo Reproductivo de la Yegua». Abanico veterinario 8 (3): 14-41. ISSN 2448-6132. doi:10.21929/abavet2018.83.1. Consultado el 21 de septiembre de 2024.
- ↑ Hernández-Coronado, Cyndi; Rosales-Torres, Ana; Vázquez-López, Salomón; Guzmán-Sánchez, Adrián; Hernández-Coronado, Cyndi; Rosales-Torres, Ana; Vázquez-López, Salomón; Guzmán-Sánchez, Adrián (2023-12). «Sincronización del estro y ovulación en hembras bovinas de razas cárnicas. Bases endocrinas y protocolos usados». Abanico veterinario 13. ISSN 2448-6132. doi:10.21929/abavet2023.16. Consultado el 21 de septiembre de 2024.
Otras lecturas
- Baewald, A.R.; Adams, G.P.; Pierson, R.A. (2004). «A new model for ovarian follicular development during the human menstrual cycle». Fertil Steril (en inglés) (80): 116-122. Consultado el 19 de abril de 2010.
- Chabbert Buffet, N.; Djakoure, C.; Maitre, S.C.; Bouchard, P. (1998). «Regulation of the human menstrual cycle». Front Neuroendocrinol (en inglés) (19): 86-151. Consultado el 19 de abril de 2010.
- Fortune, J.E. (1994). «Ovarian follicular growth and development in mammals». Biol Reprod (PDF) (en inglés) (50): 225-232. Consultado el 19 de abril de 2010.
Enlaces externos
- Esta obra contiene una traducción parcial derivada de «Ovulation» de Wikipedia en inglés, concretamente de esta versión, publicada por sus editores bajo la Licencia de documentación libre de GNU y la Licencia Creative Commons Atribución-CompartirIgual 4.0 Internacional.
- Video sobre Ovulación. A.D.A.M. en MedlinePlus.



