Adenohipófisis

Adenohipófisis

Adenohipófisis (en gris oscuro abajo) "Anterior lobe".
Hipófisis de mono.
Nombre y clasificación
Sinónimos
lóbulo anterior de la hipófisis;
hipófisis anterior
Latín [TA]: adenohypophysis;
[TA]: lobus anterior hypophysis;
pars distalis
TA A11.1.00.002
Gray pág.1276
Información anatómica
Sistema endocrino
Arteria arteria hipofisaria superior;
arteria hipofisaria inferior (en parte)
Vena venas portales hipofisarias

La adenohipófisis[1]​ o lóbulo anterior de la hipófisis es una estructura glandular perteneciente al sistema endócrino. Se encuentra formada por cordones epiteliales anastomosados, rodeados de una red de sinusoides.[2]​ Secreta siete hormonas principales, que controlan la actividad de las glándulas endocrinas periféricas: adrenales, tiroides y gónadas. La adenohipófisis contribuye además al control de otras actividades fisiológicas como el crecimiento y la lactancia.
Los trastornos en la función de la adenohipófisis, pueden provocar hipofunción o hiperfunción de las células secretoras, con hiposecreción o hipersecreción de sus hormonas que determinan consecuencias globales.

Desarrollo embriológico

Desarrollo embrionario. RP= Bolsa de Rathke. INF= el infundíbulo, una extensión del Diencéfalo. VD= Diencéfalo ventral.
AL= lóbulo anterior o adenohipófisis.

La adenohipófisis deriva de la boca embrionaria primitiva (llamada estomodeo), está formada por ectodermo del techo de la boca y deriva de la bolsa de Rathke. En el embrión humano durante el segundo mes, la conexión con la cavidad oral se pierde y la bolsa se ubica en asociación estrecha con el infundíbulo del hipotálamo.

Posteriormente, las células del remanente de la bolsa de Rathke aumentan en cantidad y conforman el lóbulo anterior (AL) de la hipófisis o adenohipófisis.[3]

Estructura

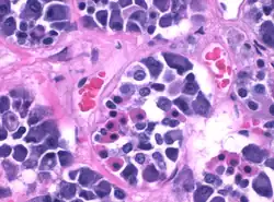
Adenohipófisis. Se observan capilares con glóbulos rojos.

Durante mucho tiempo se consideró a la adenohipófisis como similar a un mosaico aleatorio de células productoras de hormonas. El uso de imágenes 3D de toda la adenohipófisis, ha descubierto redes de células neuroendócrinas altamente organizadas e interdigitadas, con interacciones entre células del mismo tipo y de tipo diferente.
Otros componentes conforman el tejido de soporte (estroma) como las células gliales, las células foliculoestelatas y un lecho capilar abundante.[4]
Los diferentes tipos de células endocrinas están más agrupados en los peces teleósteos.[5]

Células

La adenohipófisis secreta muchas hormonas, de las cuales seis son relevantes para el funcionamiento adecuado del organismo; estas seis son secretadas por cinco tipos de células, de origen epitelial.
Como ocurre en muchas glándulas endocrinas, estas células aparecen organizadas en lagunas rodeadas de capilares sinusoides fenestrados, hacia los cuales se vierte su secreción hormonal.[cita requerida]

Células teñidas.
Células LH de la Adenohipófisis de pez (en verde).

Durante décadas los tipos de células se clasificaron según su afinidad por las tinciones en: acidófilas, basófilas y cromófobas, estas últimas no se tiñen. Esta clasificación morfológica no aportaba información significativa sobre su actividad secretora. En la actualidad, se cuenta con técnicas de inmunohistoquímica, y se han podido identificar cinco tipos celulares principales que son secretores: células somatotropas, células lactotropas, células corticotropas, células gonadotropas y células tirotropas.[2]

Somatotropas 

Las células Somatotrofas[6]​ tienen unos grandes gránulos acidófilos, y se tiñen de color naranja intenso con eosina. Se encuentra gran cantidad de ellas en la parte distal de la adenohipófisis. Secretan somatotropina u hormona del crecimiento. Tienen un núcleo central, mitocondrias en bastón y un abundante retículo endoplásmico rugoso.

Mamotropas o Lactotropas

Las células lactotrofas[7]​ aparecen separadas, individualmente. Son pequeñas, poligonales, con gránulos de prolactina pequeños que se tornan grandes durante la lactancia. Después del nacimiento, aumenta su número, el cual se normaliza al terminar la lactancia. La liberación de sus gránulos está determinada por su estimulante, el péptido intestinal vasoactivo (VIP) y la hormona liberadora de tirotropina, y es inhibida por la dopamina.

Corticotropas

Las células corticotropas[8]​ son basófilas, redondas u ovoides, con un núcleo excéntrico y pocos orgánulos. Secretan hormona adrenocorticotrópica (ACTH) y hormona lipotrópica o lipotropina (LPH) ). Sus gránulos se excretan con el estímulo de la hormona liberadora de corticotropina (CRH).

Gonadotropas

Las células Gonadotrofas[9]​ son basófilas, redondas, con abundante retículo endoplásmico rugoso y abundantes mitocondrias. Secretan las gonadotropinas LH y FSH. Aún no ha podido confirmarse si existen dos poblaciones de células gonadótropas: unas que producen la hormona luteinizante[10]​ y otras, la hormona foliculoestimulante, o si una misma célula produce ambas hormonas en diferentes fases de un mismo ciclo secretor.[cita requerida]

Tirotropas

Las células Tirotrofas[11]​ son basófilas. Se encuentran cerca de los cordones, a cierta distancia de los sinusoides. Se distinguen por sus gránulos pequeños de tirotropina (TSH). También estimulan la liberación de prolactina.

Cromófobas

No se tiñen, tienen poco citoplasma. Estas células se encuentran en medio de los cordones que formarán las células cromófilas. Presentan poco retículo endoplásmico rugoso, poco retículo endoplásmico liso y poco aparato de Golgi pero, por el contrario, tendrán grandes cantidades de poliribosomas, hecho singular que ha llevado a creer que posiblemente sean células de sostén, aunque también se plantea la probabilidad de que sean de renovación de las células glandulares anteriormente citadas. Hay, en cambio, otro porcentaje de células cromófobas, llamadas células foliculoestrelladas.

Foliculoestrelladas, estrelladas o foliculares

Las células foliculoestrelladas (FS) constituyen una población grande en la parte distal de la hipófisis, tienen prolongaciones largas con las que forman uniones herméticas entre ellas, pero que se encontraron en medio de las células secretoras de hormonas. Se caracterizan por no presentar gránulos.[12][13]

Hormonas

"Hormona" Otros nombres Abrev. Estructura Células secretoras Tinción Blanco Efecto
Hormona adrenocorticotropa Corticotropina ACTH Polipéptido Corticotropas Basófila Glándula suprarrenal Secreción de glucocorticoides
Betaendorfina Polipéptido Corticotropas Basófila Receptores de opioides Inhibe los receptores del dolor
Hormona estimulante de tiroides Tirotropina TSH Glicoproteína Tirotropas Basófila glándula tiroides Secreción de hormonas tiroideas
Hormona foliculoestimulante Folitropina FSH Glicoproteína Gonadotropas Basófilo Gónadas Crecimiento del sistema reproductivo
Hormona luteinizante Lutropina LH, ICSH Glicoproteína Gonadotropas Basófilo Gónadas Producción de hormonas sexuales
Hormona de crecimiento Somatotropina GH, STH Polipéptido Somatotropas Acidófilo Hígado, tejido adiposo Promueve el crecimiento; metabolismo de lípidos y carbohidratos
Prolactina Lactogenic hormone PRL Polipéptido Lactotropas o mamotropas Acidofilo Ovarios, glándulas mamarias Secreción de estrógenos/progesterona; producción de leche
Adenohipófisis.

Las demás hormonas son hormonas tróficas que tienen su efecto en algunas glándulas endocrinas periféricas:

La LH y la FSH se denominan gonadotropinas, ya que regulan la función de las gónadas.

Pérdida de la adenohipófisis

La pérdida de la adenohipófisis debido a un proceso patológico o iatrogénico, provocará un cuadro clínico[14]​ que se denomina pan-hipopituitarismo con efectos múltiples en el organismo:

  • Detención del crecimiento.
  • Atrofia de las glándulas suprarrenales.
  • Atrofia de los testículos y ovarios.
  • Atrofia de la tiroides.
  • Trastorno en el metabolismo de lípidos, glúcidos y proteínas.

Patología

Las enfermedades de la adenohipófisis son propias de su origen epitelial secretor, los adenomas y los carcinomas. Los adenomas son neoplasias benignas, originadas en las células secretoras de la adenohipófisis. Se pueden clasificar como adenomas benignos o invasivos. Los carcinomas son neoplasias malignas raras.

Adenomas

Los adenomas adenohipofisarios son expansiones clonales de alguno de sus cinco tipos de células. Estos tipos celulares tienen la capacidad de secretar hormonas y son: las somatotropas, las lactotropas, las corticotropas, las tirotropas y las gonadotropas.[15]

Pueden originar una variedad de síndromes clínicos, como consecuencia de la producción de hormonas, o bien como consecuencia del crecimiento (efecto masa) local.[16]
Las hormonas secretadas en forma excesiva por los adenomas son, con mayor frecuencia, la hormona de crecimiento, la prolactina y la ACTH.[17]

Los adenomas constituyen un 10-15% del total de las neoplasias intracraneales.
Afectan a ambos sexos, predominantemente entre la tercera y sexta décadas de vida, pero pueden parecer en cualquier grupo etario.[18]
Los adenomas invasivos que constituyen el 35 % de todos los neoplasmas hipofisarios, pueden invadir la duramadre, el hueso del cráneo o el seno esfenoide.

Los carcinomas constituyen 0,1 a 0,2 % de todos los tumores hipofisarios.[19]

Imágenes adicionales

Referencias

  1. OMS,OPS. (ed.). «Adenohipófisis». Descriptores en Ciencias de la Salud, Biblioteca virtual de salud. Consultado el 5 de agosto de 2020. 
  2. a b Kühnel, Wolfgang (2005). Atlas color de citología e histología. Ed. Médica Panamericana. ISBN 978-84-7903-835-9. Consultado el 3 de diciembre de 2021. 
  3. Langman. «cap18:Sistema nervioso central». Embriología médica. p. 20. Consultado el 3 de agosto de 2020. 
  4. Budry L.; Lafont C.; El Yandouzi T.; Chauvet N.; Conéjero G.; Drouin J.; Mollard P. (2011). «Related pituitary cell lineages develop into interdigitated 3D cell networks». PNAS (en inglés) 108 (30): 12515-12520. Consultado el 18 de noviembre de 2021. .
  5. Grønlien HK.; Fontaine R.; Hodne K.; Tysseng I.; Ager-Wick E.; Weltzien FA. et al. (2021). «Long extensions with varicosity-like structures in gonadotrope Lh cells facilitate clustering in medaka pituitary culture». PLoS ONE (en inglés) 16 (1): e0245462. doi:10.1371/journal.pone.0245462. 
  6. OMS,OPS (ed.). «Somatotrofos». Descriptores en Ciencias de la Salud, Biblioteca virtual de salud. Consultado el 21 de noviembre de 2020. 
  7. OMS,OPS (ed.). «Lactotrofos». Descriptores en Ciencias de la Salud, Biblioteca virtual de salud. Consultado el 21 de noviembre de 2020. 
  8. OMS,OPS (ed.). «Corticotrofos». Descriptores en Ciencias de la Salud, Biblioteca virtual de salud. Consultado el 21 de noviembre de 2020. 
  9. OMS,OPS (ed.). «Gonadotrofos». Descriptores en Ciencias de la Salud, Biblioteca virtual de salud. Consultado el 21 de noviembre de 2020. 
  10. BIREME/OPS/OMS (ed.). «Hormona Luteinizante». Consultado el 3 de diciembre de 2021. 
  11. OMS,OPS (ed.). «Tirotrofos». Descriptores en Ciencias de la Salud, Biblioteca virtual de salud. Consultado el 21 de noviembre de 2020. 
  12. «Adenohipófisis Pars distalis». coggle. 
  13. Morris J.; Christian H. (2011). «Folliculo-stellate Cells: Paracrine Communicators in the Anterior Pituitary». The Open Neuroendocrinology Journal (PDF) (en inglés) (bentham) 4: 77-89. .
  14. «Insuficiencia hipofisaria». Mayo Clinic. 2019. 
  15. Gonzales-Portillo M. «Tumores de la Hipófisis». Neurocirugía (Universidad Nacional Mayor de San Marcos) 1. Consultado el 14 de febrero de 2022. 
  16. Niveiro de Jaime M.; Aranda López F.I.; Peiró Cabrera G. (2003). «Patología de los adenomas hipofisarios». Revista Española de Patología 36 (4). Consultado el 14 de febrero de 2022. 
  17. «Lesiones hipofisarias». Manual MSD, Versión para Profesionales. Consultado el 14 de febrero de 2022. 
  18. Tortosa F.; Webb S.M. (2017). Novel aspects in histopathology of the pituitary gland 64 (3). pp. 152-161. Consultado el 14 de febrero de 2022. 
  19. «Tratamiento de los tumores de Hipófisis. Versión para profesionales de salud.». NIH. 2020. Consultado el 14 de febrero de 2022.