Oocito
| Ovocito | ||
|---|---|---|
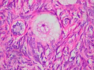
![]() Corte de un Ovocito en el centro de un folículo primario. | ||
| Gray | pág.38 | |
|
| ||
Un ovocito u oocito[1] es la célula germinal femenina (gametocito hembra), que participa en la reproducción. En otras palabras, es un precursor inmaduro del óvulo o célula huevo. El ovocito se produce en el ovario del embrión durante la gametogénesis femenina.
Las células madre germinales femeninas producen las llamadas células germinales primordiales (PGC), que se diferencian para formar una ovogonia. La ovogonia se convierte en un ovocito primario, durante la ovogénesis, tras comenzar el proceso de meiosis y detenerse en profase I. El ovocito es una célula germinal femenina que está en proceso de convertirse en un óvulo maduro.

Dependiendo de la especie uno o varios ovocitos son liberados por el ovario en cada ovulación. En la mujer es frecuente que sea uno solo.[2]
Estructura
El ovocito muestra cambios citológicos en su transición desde un folículo primordial hasta un folículo ovárico desarrollado.[3]
Los ovocitos que son capaces de desarrollar un folículo con antro, presentan las características del período reproductivo. Poseen un citoplasma (ooplasma) grande, y están rodeados por las células del cumulus Oophorus.
Ultraestructura
El ooplasma contiene proteínas, ARN, metabolitos y orgánulos, que son esenciales para la competencia de los ovocitos en la fertilización.[4]
El núcleo que alterna entre el reposo y la meiosis, tiene fases de compactación y de desarrollo.
El retículo endoplásmico, está subdesarrollado y se compone de numerosas vesículas pequeñas. Algunas de ellas contienen cisternas con ribosomas y se hallan cerca del aparato de Golgi.
El ovocito es la célula del cuerpo más rica en mitocondrias y depende en gran medida de estos orgánulos para adquirir competencia para la fertilización y el desarrollo embrionario temprano. El número de mitocondrias varía durante el crecimiento y desarrollo de los ovocitos, pueden ser 6000 en los ovocitos primarios y cerca de 100 000 en el ovocito maduro.[5][4]
Dominio cortical

En el ovocito durante la meiosis I y meiosis II se establece un dominio cortical, caracterizado por la formación de una capa de actina (Act) rodeada por un anillo de miosina (MyoII). Este dominio cortical es una zona que carece de gránulos corticales y de microvellosidades y precede a la formación del cuerpo polar.[6]
Se forma entonces un anillo de citocinesis en la base del corpúsculo polar (Pb en inglés), creado por la acción de la miosina tipo II cortical.
Luego se produce el cierre del anillo en la base del cuerpo polar, que lo termina separando del ovocito, generando el segundo corpúsculo polar (PbII).[7]
Ovogénesis
La formación de un ovocito se denomina ovogénesis u ovocitogénesis y es una forma de gametogénesis, cuya contraparte masculina es la espermatogénesis.
La ovocitogénesis termina en la formación de los ovocitos primarios antes del nacimiento y de los ovocitos secundarios después del nacimiento, como paso previo en la formación del óvulo.
La maduración de la ovogonia dará lugar al ovocito primario. Este proceso se lleva a cabo durante el desarrollo embrionario, por lo que el número de ovocitos está determinado antes del nacimiento (unos dos millones aproximadamente en la mujer al nacer y va disminuyendo hacia la pubertad); es a lo que se denomina reserva ovárica.
Meiosis
El ovocito entra en meiosis antes del nacimiento, deteniéndose en la profase I hasta la entrada en la pubertad.
Posteriormente, las células parietales se diferencian hacia células de la granulosa (CG), que proliferan hasta formar una capa de células cuboidales que circundarán totalmente el ovocito, formando así el folículo primario.[8]
Tras la reanudación de la división, el ovocito primario aumenta de tamaño. Se completa la primera división meiótica y se obtienen dos células desiguales: un ovocito secundario, que recibe la mayor parte del citoplasma, y un corpúsculo polar, pequeño no funcional que degenera pronto. El ovocito secundario prosigue con la meiosis II hasta detenerse en metafase II.[9][7]
Las divisiones meióticas de los ovocitos de los mamíferos son muy asimétricas y producen un gameto haploide grande (el ovocito) y dos cuerpos polares pequeños. La asimetría en esta división meiótica es esencial, para que el futuro óvulo maduro mantenga un gran citoplasma. Mientras que el óvulo grande en el final del proceso se fertiliza y se convierte en un embrión, los diminutos cuerpos polares degeneran rápidamente.[10]
Para asegurar la asimetría necesaria en cada división, el huso en la segunda división meiótica o meiosis II (MII), se forma debajo de la cortical del ovocito y mantiene su posición periférica durante la detención de la metafase II.[10]

El ovocito secundario reanudará la división meiótica si se produce la fecundación. Finalizada la meiosis, se generaría entonces el segundo corpúsculo polar y el ovocito pasaría a llamarse óvulo, estadio que tan solo dura unas horas hasta la fusión de los núcleos de ambos gametos, momento en el que pasarían a formar el cigoto. Si no se produce la fecundación, la segunda meiosis queda detenida en metafase II y no se reanuda.
En la mujer, de los aproximadamente 400.000 ovocitos que pueden existir en la pubertad, solo unos 400 se convertirán en ovocitos secundarios y llegarán a la ovulación. El resto entrará en atresia. El óvulo humano tiene ploidia n=23 ya que posee un cromosoma de cada uno.
Pérdida de ovocitos
Como se ha explicado, antes del nacimiento comienza la pérdida de ovocitos que continuará a lo largo de la vida.
Un gran dogma es que cuando el ovario pierde su función, no es capaz de regenerarla. Todas las ovogonias se producen durante el desarrollo fetal, pero a partir del nacimiento la mujer no es capaz de producir nuevas ovogonias.
Sin embargo, hay algunos mecanismos fisiológicos en donde la pérdida folicular se queda estabilizada:
- Embarazo: no hay ovulación, se mantiene una estabilización. Las mujeres con muchos embarazos tienen la menopausia más tarde. Puede que se deba a la hCG (gonadotropina coriónica humana) pero no se conoce.
- Deprivación alimentaria: déficit nutricional severo como la anorexia. El cuerpo es incapaz de llevar adelante un embarazo.[11]
Otras posibilidades, cuya creencia es que frenan la pérdida folicular pero que en realidad no lo hacen, son las siguientes:
- Amenorrea.
- Cualquier mecanismo que produzca anovulación como estrés externo, no frena la pérdida folicular, ya que se puede estar años sin ovular y se pierden igualmente.
- Periodo de lactancia
- Píldora anticonceptiva: las que están compuestas de progesterona bloquean la ovulación pero no la pérdida folicular. Las combinadas llevan estrógenos y progesterona pero tampoco frenan la pérdida folicular (ni la menopausia).
- Ovario poliquístico: no frenaría la pérdida folicular.[12]
La cantidad de ovocitos remanentes de los que dispone una mujer en un determinado momento de su vida, se denomina Reserva Ovárica.
Referencias
- ↑ OMS,OPS (ed.). «Oocito». Biblioteca virtual de salud, Descriptores en Ciencias de la Salud. Consultado el 9 de noviembre de 2020.
- ↑ Estoy embarazada ¿Qué debo saber?. Cristoph Lees, Karina Reynolds y Grainne McCartan. Ed. Grijalbo. Págs. 16 y 258.
- ↑ Filipiak Y.; Viqueira M.; Bielli A. (2016). «Desarrollo y dinámica de los folículos ováricos desde la etapa fetal hasta la prepuberal en bovinos.». Veterinaria (Montev.) (Montevideo) 52 (202). Consultado el 4 de febrero de 2022.
- ↑ a b May-Panloup P.; Boucret L.; Chao de la Barca J-M.; Desquiret-Dumas V.; Ferré-L'Hotellier V.; Morinière C.; Deschamps P.; Procaccio V.; Reynier P. (2016). «Ovarian ageing: the role of mitochondria in oocytes and follicles». Human Reproduction Update 22 (6): 725-743. Consultado el 4 de enero de 2022.
- ↑ Tarazona A.; López A.; Olivera-Angel M. (2010). «La Competencia del Ovocito: qué, cómo y cuándo». Acta biol.Colomb. (Bogotá) 15 (3). Consultado el 4 de febrero de 2022.
- ↑ Deng M.; Li R. (2009). «Sperm Chromatin-Induced Ectopic Polar Body Extrusion in Mouse Eggs after ICSI and Delayed Egg Activation.». PLoS ONE 4 (9): e7171. doi:10.1371/journal.pone.0007171. Consultado el 3 de febrero de 2022.
- ↑ a b Dehapiot B.; Clément R.; Bourdais A.; Carrière V.; Huet S.; Halet G. (2021). «RhoA- and Cdc42-induced antagonistic forces underlie symmetry breaking and spindle rotation in mouse oocytes». PLoS Biology (en inglés) 19 (9): e3001376. doi:10.1371/journal.pbio.3001376. Consultado el 8 de noviembre de 2021.
- ↑ Velázquez, J.A.; Mendieta, E. (2004). «Desarrollo folicular». Encuentros en la biología (Depto. Biología Molecular y Biquímica, Facultad de Ciencias, Universidad de Málaga) (98): 4-7. Archivado desde el original el 23 de octubre de 2016. Consultado el 26 de enero de 2015.
- ↑ Barboni B, Russo V, Cecconi S, Curini V, Colosimo A, Garofalo M L, Capacchietti G, Di Giacinto O, Mattioli M, (2011). «In Vitro Grown Sheep Preantral Follicles Yield Oocytes with Normal Nuclear-Epigenetic Maturation». PLoS ONE 6 (11): e27550.
- ↑ a b Kexi Yi; Rong Li (2012). «Actin cytoskeleton in cell polarity and asymmetric division during mouse oocyte maturation». Cytoskeleton (Revisión) 69 (10): 727-737. Consultado el 11 de noviembre de 2021.
- ↑ «Trastornos de conducta alimentaria: ¿cómo afectan a la fertilidad?». Fertility Madrid. 19 de agosto de 2019. Consultado el 7 de enero de 2022.
- ↑ «Ablan Franklin, Fisiopatología del síndrome de ovario poliquístico. Rev Obstet Ginecol. 2016; 76(Supl 1): S17-S24».
Bibliografía
- Embriología clínica, Moore K.L., Persaud T.V.N, 2009
Enlaces externos
- Universidad de Málaga. Facultad de Ciencias. Revista Encuentros en la biología, que contiene información sobre desarrollo folicular. Archivado el 23 de octubre de 2016 en Wayback Machine.
Wikimedia Commons alberga una categoría multimedia sobre Oocito.
Wikimedia Commons alberga una categoría multimedia sobre Oogénesis.
.jpg)
