Piel
| Piel (biología) | ||
|---|---|---|
![]() Piel pigmentada del Ajolote | ||
![]() Piel humana en corte histológico | ||
| Nombre y clasificación | ||
| Latín | [TA]: cutis | |
| TA | A16.0.00.002 | |
| Gray | pág.1065 | |
| Estudiado (a) por | dermatología | |
|
| ||
La piel (del latín pellis) o cutis (del latín cutis) o sistema tegumentario,[1] es la cubierta externa de los animales vertebrados y uno de sus órganos más importantes.[2] Las cubiertas de otros animales, como el exoesqueleto de los insectos, tiene otra estructura, composición química y desarrollo embrionario.[3] Mientras otros animales poseen una epidermis similar, la dermis, la capa de tejido conjuntivo debajo, es característica de los cordados.[4]
Actúa como barrera protectora que aísla al organismo del medio que lo rodea, protegiéndolo y contribuyendo a mantener íntegras sus estructuras, funciona también como sistema de comunicación con el entorno y es uno de los principales órganos sensoriales, contiene terminaciones nerviosas que actúan como receptores de tacto, presión, dolor y temperatura. Está formado por la piel propiamente dicha y las faneras o anejos cutáneos que son: pelos, uñas, glándulas sebáceas y sudoríparas.[5][6]
Las enfermedades de la piel son estudiadas por la dermatología.
Desarrollo
En el desarrollo del embrión (embriogénesis) la piel de invertebrados y de vertebrados tiene origen a partir de dos de las capas germinales. La epidermis deriva de la capa ectodermo, la dermis y la hipodermis derivan de la capa mesodermo.
Las estructuras cutáneas surgen de la epidermis e incluyen una variedad de características como el pelo, las plumas, las garras y las uñas.
Durante la embriogénesis, la epidermis se divide en dos capas: la peridermis (que se pierde) y la capa basal germinativa. La capa basal es una capa de células madre y, mediante divisiones asimétricas, se convierte en la fuente de células de la piel durante toda la vida.
- Se mantiene como capa de células madre a través de una señal autocrina, TGF alfa, y a través de la señalización paracrina del FGF7 (factor de crecimiento de los queratinocitos) producido por la dermis por debajo de las células basales. En ratones, la sobreexpresión de estos factores conduce a una sobreproducción de células granulares y a una piel gruesa.[7]
El pelo y las plumas se forman en un patrón regular y se cree que es el resultado de un sistema de reacción-difusión.
- Este sistema de reacción-difusión combina un activador, Sonic hedgehog, con un inhibidor, BMP4 o BMP2, para formar grupos de células en un patrón regular. Las células epidérmicas que expresan Sonic hedgehog inducen la condensación de células en el mesodermo. Los grupos de células mesodérmicas devuelven la señal a la epidermis para que forme la estructura adecuada para esa posición. Las señales BMP de la epidermis inhiben la formación de placodas en el ectodermo cercano.
Se cree que el mesodermo define el patrón. La epidermis instruye a las células mesodérmicas para que se condensen y luego el mesodermo instruye a la epidermis de qué estructura hacer a través de una serie de inducciones recíprocas. Los experimentos de trasplante con la epidermis de ranas y tritones indicaron que las señales mesodérmicas se conservan entre las especies, pero la respuesta epidérmica es específica de la especie, lo que significa que el mesodermo instruye a la epidermis de su posición y la epidermis utiliza esta información para hacer una estructura específica.[8]
Estructura histológica

La estructura histológica básica de la piel es igual en todos los vertebrados.
De manera general desde la superficie hacia la profundidad la piel está formada por tres capas:
- La epidermis.
- La dermis.
- La hipodermis.
Cada una de las capas tiene funciones y componentes diferentes. Dentro de la dermis suelen encontrarse los anexos tegumentarios o faneras, incluso aquellos de origen epidérmico, como el pelo.
La dermis se compone de dos estratos, uno superficial y otro compacto, que presentan las mismas características y son homólogos en todos los grupos, pero reciben distintos nombres de acuerdo al grupo de vertebrados:[9]
| Stratum superficiale | Stratum compactum | |
|---|---|---|
| Condrictios | Stratum vasculare | Stratum compactum |
| Osteíctios | Stratum laxus | Stratum compactum |
| Anfibios | Stratum spongiosum | Stratum compactum |
| Sinápsidos | Capa papilar | Capa reticular |
Funciones
La piel tiene distintas funciones, más o menos marcadas según la especie de que se trate
- Barrera de protección frente el medio externo, está dentro de las primeras barrera inmunológica.
- Mimetismo: permite camuflarse.
- Respiración: la respiración cutánea se da en los anfibios; en el caso de los parásitos anteriormente citados la absorción de nutrientes incluye oxígeno.
- Excreción: es el caso del sudor, una orina muy diluida que además de eliminar sustancias nocivas también permite reducir la temperatura corporal.
- Papel diagnóstico: observando su aspecto se pueden detectar enfermedades, tanto propias de la piel (lepra, sarna, etc.) como de otras partes del cuerpo (ver sección Dermatología). Además, es un indicador de la edad del individuo.
- Importancia en el cortejo: mediante la coloración del tegumento, y de sus faneras (como plumas y pelo) se reconocen individuos del sexo opuesto mediante dimorfismo sexual. También sirven para la exclusión de individuos de otras especies distintas en algunos casos.
Faneras
Las faneras son estructuras anejas a la piel, cada una con una función determinada. Escamas, plumas, pelos tienen una función básica de recubrimiento para servir de protección o mantener la temperatura, aunque estas funciones se pueden ampliar y modificar (ejemplo: las plumas se utilizan en el vuelo de las aves). Otras faneras, como cuernos, garras, etc., están al servicio de la depredación, o a la defensa. Finalmente, hay toda una serie de glándulas exocrinas que secretan sustancias para mantener la impermeabilización, la temperatura, grado de humedad, etc. Pero también venenosas para defenderse de los depredadores, o sustancias nutritivas como las glándulas mamarias exclusivas de mamíferos.
- Escamas: en peces teleósteos, reptiles, remanente en aves y en algunos mamíferos.
- Osteodermos, osteocutos o placas óseas: en reptiles, por ejemplo en cocodrilos y en el caparazón de las tortugas. También aparecen en los mamíferos del orden Xenarthra.
- Plumas: aves.
- Pelos: mamíferos.
- Cuernos: característicos de algunos grupos de mamíferos. Se dividen en cuernos propiamente dichos, astas. El «cuerno» del Rinoceronte es una estructura córnea única.
- Uñas.
- Garras.
- Faneras especializadas, como el órgano perliforme en peces o espolones en machos de especies de anfibios (ambos ayudan en el acoplamiento).
- Glándulas exocrinas.
- Glándulas mucosas.
- Glándulas serosas.
- Glándulas sudoríparas.
- Glándulas sebáceas.
- Glándulas ceruminosas - glándulas del canal del oído que producen cerumen.
- Glándulas mamarias.
Invertebrados
Nematodos

El cuerpo de los nemátodos está recubierto por una delgada cutícula protectora de tres capas. Una membrana basal separa la cutícula de la epidermis que la segrega. La epidermis tiene una estructura celular o sincitial que está engrosada en su capa interna con forma de cordón.[10]
Artrópodos

En los artrópodos, la capa más exterior del tegumento es la cutícula, que es una formación rígida, sin células, compuesta por quitina y segregada por la epidermis que es el tejido vivo subyacente. La epidermis está formada por una sola capa de células epiteliales cúbicas o cilíndricas que descansan sobre la lámina basal, una capa muy delgada, amorfa y acelular de tejido conjuntivo.
Vertebrados
Cephalochordata
Presenta la misma estructura que los vertebrados pero muy simplificada. La epidermis es una capa simple de células. La dermis es delgada y carece de pigmentos.[4]
Ciclostomos

La epidermis es un poco más compleja que la de los cefalocordados, pero no posee estrato córneo. Dentro de la dermis poseen pigmento y unos tabiques a intervalos regulares llamados miocommata.[4]
Peces
La epidermis es muy sencilla, con una capa superficial de queratina.[11] La epidermis de los peces dispone de glándulas que secretan una sustancia llamada mucus que le proporciona protección, lubrica la superficie y disminuye la resistencia al roce con el agua.[12] La dermis es más compleja y está dividida en los dos estratos de tejido conjuntivo fibroso y laxo. En la dermis se originan las escamas y se encuentran los cromatóforos, por ejemplo con melanina, que dan el color a la piel.[4][11]
La piel se compone de dos capas: epidermis revestida por una cutícula y dermis en la que se originan las escamas que en realidad son placas flexibles calcificadas e imbricadas.
Anfibios

La piel de los anfibios es muy fina, lo que hace posible la respiración cutánea. Carece de pelo, pero posee glándulas mucosas productoras de mucus que la mantiene húmeda continuamente. Algunas especies disponen de glándulas que secretan sustancias venenosas que las protegen de depredadores.[13]

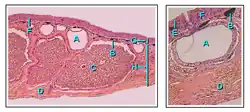
En el ajolote adulto la epidermis es pseudoestratificada y carece de un estrato córneo. Por encima del estrato germinativo, las células epiteliales se entremezclan con células de Leydig. La dermis contiene glándulas mucosas y granulares que están incrustadas dentro del estrato esponjoso, que es una red suelta de fibras de colágeno delgadas y fibroblastos que se encuentran por encima de un estrato compacto.[14]
Reptiles
La piel de los reptiles no posee glándulas para humedecerla, lo que le da un aspecto seco y duro, presenta una capa córnea que contiene escamas córneas que la hace impermeable al agua y resistente a la desecación. En muchas especies se produce el fenómeno de la muda que es el proceso de cambio de la capa más externa de la piel, necesaria para permitir el crecimiento del animal, se produce con una periodicidad variable entre 1 y 12 meses. Cocodrilos y quelonios presentan placas osificadas en la dermis que reciben el nombre de osteodermos, y tienen una función protectora. Presenta dos capas dermis y epidermis, pero está última está cubierta por una tercera capa casi traslúcida y ornamentada que recibe el nombre de epidermícula.
Aves

Tienen la piel cubierta por plumas de diferentes tipos. Las plumas son desde el punto de vista estructural protuberancias corneas que surgen de la epidermis. Poseen glándula uropígea que está situada en la base de la cola y produce una secreción grasa que el mismo animal distribuye con el pico por el plumaje para impermeabilizarlo. Esta glándula se desarrolla especialmente en las aves acuáticas. Algunas aves marinas también poseen glándulas especializadas de la sal.
Mamíferos
Lo más característico de la piel de los mamíferos es el pelo y las glándulas mamarias. También presentan faneras especializadas como los cuernos y las astas.
Ser humano
En el ser humano adulto la piel ocupa una extensión de 2 m² y pesa 4.1 kg. Tiene un espesor que oscila entre 0,5 mm en los párpados y 4 mm en el talón.[15] Se divide en dos capas principales que, de superficie a profundidad, se llaman epidermis y dermis.[16]
Epidermis

Las células principales que forman la epidermis se llaman queratinocitos. Contiene también melanocitos que dan la pigmentación a la piel y células de Langerhans y linfocitos, que se encargan de dar protección inmunológica. La epidermis crece constantemente pero mantiene siempre el mismo espesor debido a un proceso de descamación. Las células situadas en el estrato germinativo se dividen frecuentemente y forman células hijas que emigran progresivamente desde la profundidad hasta la superficie, donde acaban por desprenderse. En el ser humano el proceso completo dura alrededor de cuatro semanas.[17]
Estratos
- El estrato germinativo o capa basal es el más profundo, está formada por células cilíndricas dotadas de núcleos ovales. Las células están dispuestas en general formando una capa única. Intercalados entre los queratinocitos se encuentran algunos melanocitos que segregan melanina y dan color a la piel.[18]
- El estrato espinoso se conforma por células con forma poligonal, los núcleos son redondos y el citosol es de características basofilicas. Tiene un mayor contenido de tonofibrillas que las del estrato germinativo. Las prolongaciones del citosol se asemejan a espinas, por lo que también reciben el nombre de células espinosas, justamente porque las tonofibrillas son más numerosas en dichas prolongaciones dando la forma de espinas.
- El estrato granuloso se compone de 3 a 5 capas de células aplanadas, el citosol contiene gránulos basófilos denominados gránulos de queratohialina. La queratohialina es una sustancia precursora de la queratina. Cuando los queratinocitos llegan a la última capa de este estrato, las células epidérmicas mueren y al morir vierten su contenido al espacio intercelular.
- El estrato lúcido se distingue por tener una zona muy delgada de características eosinófilas. Los núcleos comienzan a degenerar en las células externas del estrato granuloso y desaparecen en el estrato lúcido.
- El estrato córneo está formado por células planas queratinizadas anucleadas, también llamadas células córneas. Esta capa se distingue como la más gruesa y eosinófila. El estrato córneo está formado por hileras aplanadas y muertas que son los corneocitos. Los corneocitos están compuestos mayormente por queratina. Todos los días se eliminan capas de corneocitos.
- El estrato disyunto es la continua descamación de las células córneas.
Dermis

La dermis se encuentra debajo de la epidermis, tienen la peculiaridad de presentar gran abundancia de fibras de colágeno y elásticas que se disponen de forma paralela y que le dan a la piel la consistencia y elasticidad característica del órgano. Histológicamente se divide en 2 capas:
- Estrato papilar (dermis papilar). Es más superficial y su espesor representa el 20 % de la dermis. Está compuesto por tejido conectivo laxo y fibras de colágeno tipo III.
- Estrato reticular (dermis reticular). Es la capa más profunda y corresponde al 80 % del espesor de la dermis. Está formado por tejido conectivo denso, fibras de colágeno tipo I, fibras elásticas. Contiene mastocitos, reticulocitos y macrófagos.
La dermis es más gruesa que la epidermis. En ella se encuentran los anexos cutáneos, que son de dos tipos: córneos (pelos y uñas) y glandulares (glándulas sebáceas y sudoríparas). Cuenta también con vasos sanguíneos y terminaciones nerviosas. Las estructuras de la dermis son las siguientes:


- Folículo piloso. Estructura cutánea de la que nace el pelo.
- Músculo piloerector. Se extienden desde la dermis superficial hasta el folículo piloso. En situaciones de frío intenso, estrés o miedo, estos pequeños músculos se contraen de forma involuntaria, fenómeno que se conoce habitualmente como piloerección o piel de gallina.[16]
- Terminaciones nerviosas que hacen posible la sensación de tacto y la sensibilidad al calor, frío, presión y dolor.
- Glándulas sebáceas. Son glándulas que producen una sustancia oleosa que recibe el nombre de sebo. El sebo reviste y protege la superficie de la piel y el pelo, evitando la deshidratación. Está formado por colesterol, triglicéridos, sales minerales y proteínas. Estas glándulas se encuentran situadas en la dermis y secretan generalmente a un folículo piloso, están ausentes de las palmas de las manos y pies.
- Glándulas sudoríparas. Secretan un líquido compuesto de agua y sales minerales que recibe el nombre de sudor. Se abren al exterior a través de pequeños poros situados en la superficie de la piel. Existen dos tipos de glándulas sudoríparas: ecrinas y paracrinas. Las glándulas sudoríparas ecrinas se distribuyen en la piel de todo el cuerpo, mientras que las apocrinas son menos numerosas, producen una secreción más espesa y se localizan preferentemente en ciertas zonas: axilas, periné y zona púbica.[15]
- Vasos sanguíneos y linfáticos. La epidermis carece de vasos sanguíneos, por lo que su nutrición depende de los vasos de la dermis que se organizan en un plexo arterial profundo situado entre la dermis y la hipodermis y otro superficial del que parten pequeños capilares.
Hipodermis o tejido subcutáneo
En ocasiones se denomina también fascia superficial. Se encuentra situada debajo de la dermis. Está formada por tejido conjuntivo laxo que dispone de fibras para unirse tanto a la dermis como a los tejidos subyacentes. Contiene adipocitos que sirven como reserva de grasa y dispone de numerosos vasos sanguíneos que aportan sangre a las capas más superficiales de la piel.[16] Algunas de las estructuras que se encuentran en la hipodermis son las siguientes:
- Vasos linfáticos y sanguíneos. Los vasos linfáticos y sanguíneos se extienden por el tejido subcutáneo y mandan pequeños plexos por la dermis para irrigarla.
- Nervios cutáneos. Se localizan en el tejido subcutáneo y mandan ramos por la dermis y terminaciones nerviosas aferentes a la epidermis.
- Ligamentos cutáneos. Se les llama en conjunto retinacula cutis, relacionan la dermis con la fascia profunda, tienen la función de proporcionar a la piel el movimiento a través de la superficie de los órganos, nacen en la fascia profunda y se unen a la dermis, están particularmente desarrollados en las mamas.
Morfología
La superficie de la piel no es lisa, presenta surcos, hendiduras y líneas que forman dibujos variables según el sector y el individuo. Por ejemplo las impresiones de los extremos de los dedos que son características de cada persona.
- Pliegues y surcos. Más menos acentuados, están siempre presentes en todos los individuos sobre la cara dorsal de ciertas articulaciones, incluso cuando estos están en extensión completa. Ejemplo: codos, rodillas, dedos, muñecas, etc.
- Arrugas. Pueden ser provocadas por contracción muscular, debido a un movimiento o por disposiciones estructurales de la piel. Ejemplo: pliegues de las articulaciones.
- Poros cutáneos. Son el orificio externo del canal de salida de una glándula sudorípara o sebácea.
Función

La piel realiza diferentes funciones básicas que pueden agruparse en cinco:[15]
- Protección.
- Sensibilidad. La sensibilidad de la piel se debe a la existencia de numerosas terminaciones nerviosas que contienen receptores para el tacto, calor, frío, presión vibración y dolor. Pueden distinguirse los siguientes:
- Corpúsculos de Meissner. Son responsables del tacto fino.
- Corpúsculos de Krause. Proporcionan la sensación de frío.
- Corpúsculos de Pacini. Dan la sensación de presión.
- Corpúsculos de Ruffini. Son sensibles al calor.
- Corpúsculos de Merkel. Son responsables del tacto.
- Termorregulación. La piel tiene gran importancia en el control y mantenimiento de la temperatura corporal. Ello es posible gracias a la contracción o dilatación de los pequeños vasos sanguíneos que la atraviesan, minimizando o aumentando la pérdida de calor según las necesidades.
- Excreción y absorción de sustancias. Una de las sustancias excretadas por la piel es el sudor.
- Síntesis de vitamina D. Aunque una parte de la vitamina D que necesita el organismo se obtiene de los alimentos, el 90 % se sintetiza en la piel. El proceso de síntesis requiere la presencia de rayos ultravioleta procedentes de la radiación solar.
Morfología externa
Externamente, lo que se observa es la macroestructura superficial de la piel. A simple vista parece llana y plena, pero en realidad presenta pliegues, surcos, arrugas y pequeñas prominencias:
- Pliegos y surcos más acentuados, están siempre presentes en todos los individuos sobre la cara dorsal de ciertas articulaciones cuando estas están en extensión completa o están en articulaciones completas. Por ejemplo, codos, dedos, y muñecas.
- Arrugas: pueden ser provocadas por contracción muscular, a causa de un movimiento, o por disposiciones estructurales de la piel; por ejemplo: pliegues de las articulaciones.
- Porus cutanis: son los orificios externos del canal de salida de las glándulas sudoríparas y sebáceas. Estos últimos reciben el nombre de ostium (orificio) folicular.
La elasticidad es una de las propiedades cutáneas más relevantes, y puede ser alterada por diversos factores ya sea extrínsecos o intrínsecos. El más común es el edad.[19] La elasticidad se cuantifica empleando procedimientos elastográficos basados en diversas técnicas de ultrasonografía.[20][21] Algunas enfermedades singulares en las que está afectada la elasticidad de la piel son el cutis laxo congénito,[22] el pseudoxantoma elástico[23] y la dermatoporosidad.[24]
Pigmentación
El color de la piel varía según el número de melanosomas o gránulos de melanina sintetizados dentro de los melanócitos.[25] La piel presenta pigmentación, o melanina, generada por los melanocitos, que absorbe parte de la radiación ultravioleta (UV) del sol, potencialmente peligrosa. También contienen enzimas reparadoras del ADN que ayudan a revertir el mal generado por los UV, las personas que no presentan los productos generados por estas enzimas poseen una mayor probabilidad de sufrir de cáncer de piel. Una forma predominantemente producida por la luz ultravioleta, el melanoma maligno, es particularmente agresiva, causando rápidamente metástasis y siendo mortal con frecuencia si no se trata.[26] La pigmentación de la piel humana varía entre poblaciones de manera sorprendente. Esto ha llevado a la clasificación de las personas basándose en el color de la piel.[27] Diversos medicamentos y compuestos químicos pueden producir cambioes en la pigmentación cutánea.[28][29]
La piel es el órgano humano más grande. Por ejemplo, en una mujer adulta, la piel tiene una superficie de entre 1,5 y 2 metros cuadrados, la mayor parte de ella tiene un grosor de entre 2 y 3 mm. Cada 6,5 cm² de piel contiene 650 glándulas sudoríparas, 20 vasos sanguíneos, 60 000 melanomas, y más de un centenar de terminaciones nerviosas.
Dermatología
La dermatología es la disciplina médica que estudia y trata el sistema tegumentario. Debido a que la piel es el órgano más visible, su apariencia o síntoma, proporciona importantes indicios, de sus enfermedades y también de las de otros órganos, como el hígado. Así mismo, la piel es el órgano más vulnerable, porque está expuesto a radiaciones, traumatismos, infecciones y productos químicos nocivos.
Enfermedades

La piel puede sufrir diferentes enfermedades. Algunas de las más usuales son las siguientes:
- Psoriasis.
- Eccema seborreico.
- Impétigo.
- Cáncer de piel.
- Vitíligo.
- Ictiosis.
- Lesiones traumáticas como quemaduras.
Véase también
- Cicatrización
- Color de piel
- Trastorno cutáneo
- Piel de los mamíferos
- Sistema tegumentario
- Anexo:Enfermedades cutáneas
Referencias
- ↑ Bases de la fisiología, (2ª edición). Autores: Meritxell Lópex Gallardo, Beatriz Gal Iglesias. Consultado el 7 de febrero de 2020.
- ↑ Schiffman, Harvey (2001). «7». La Percepción Sensorial. Limusa Wiley. p. 153. ISBN 968-18-5307-5.
- ↑ Alibardi L (2003). «Adaptation to the land: The skin of reptiles in comparison to that of amphibians and endotherm amniotes». J Exp Zoolog B Mol Dev Evol. 298 (1): 12-41. PMID 12949767. doi:10.1002/jez.b.24.
- ↑ a b c d Weichert, Charles K.; Martínez Fernández, Julia Judith, (1981). Elementos de anatomía de los cordados (4a. edición). McGraw-Hill. ISBN 9686046909. OCLC 849486726. Consultado el 18 de agosto de 2019.
- ↑ «La piel». Clínica Universidad de Navarra.
- ↑ Richard L. Drake (2006). Gray´s Anatomy para Estudiantes. Elsevier. ISBN 9788481748321.
- ↑ Vassar R.; Fuchs E. (1 de mayo de 1991). «Transgenic mice provide new insights into the role of TGF-alpha during epidermal development and differentiation». Genes Dev (en inglés) 5 (5): 714-727. PMID 1709129. doi:10.1101/gad.5.5.714.
- ↑ Gilbert, Scott F. (2000). «Inducción y competencia». Developmental Biology. 6ª edición (en inglés).
- ↑ Sire, Jean-Yves; Donoghue, Philip C.J.; Vickaryous, Matthews K. (2009-4). «Origin and evolution of the integumentary skeleton in non-tetrapod vertebrates». Journal of Anatomy (en inglés) 214 (4): 409-440. doi:10.1111/j.1469-7580.2009.01046.x. Consultado el 17 de agosto de 2019.
- ↑ Padilla Álvarez F.; Cuesta López A. (2003). «3:Filo Nematodos». Zoología aplicada. Díaz de Santos. pp. 38-39.
- ↑ a b Romer, Alfred Sherwood; Parsons, Thomas S. (1986). «La piel». Anatomía Comparada. Nueva Editorial Interamericana. ISBN 9682506565.
- ↑ Gil Caño F.; Ayala Florencia no M.D; López Albors D. Morfología externa típica de un pez teleósteo. Archivado el 10 de enero de 2017 en Wayback Machine. Universidad de Murcia. Consultado el 16 de enero de 2019.
- ↑ Reduca (Biología). Serie Zoología.
- ↑ Seifert AW.; Monaghan JR.; Voss SR.; Maden M. (2012). «Skin Regeneration in Adult Axolotls: A Blueprint for Scar-Free Healing in Vertebrates». PLoS ONE (en inglés) 7 (4): e32875. doi:10.1371/journal.pone.0032875.
- ↑ a b c Anatomía y fisiología para enfermeras. Autor: Ian Peate.
- ↑ a b c Principios de Anatomía y Fisiología. Autor: Tortora-Derrickson. Consultado el 8 de enero de 2019,
- ↑ Alzola R. Curso de histología, embriología y teratología. Sistema tegumentario. Archivado el 17 de mayo de 2018 en Wayback Machine. UNCPBA, 2002. Consultado el 15 de enero de 2019. Departamento de Ciencias Biológicas
- ↑ Histología de la piel. Autor: Gisella Navarrete Franco. Rev Fac Med UNAM Vol.46 No.4 julio-agosto, 2003. Consultado el 13 de enero de 2019
- ↑ Zang, S; Duan, E. Fighting against Skin Aging: The Way from Bench to Bedside - Cell Transplant. 2018 Maig; 27 (5). pp. pp: 729-738. PMC 6047276. PMID 29692196. doi:10.1177/0963689717725755.
- ↑ Arda, K; Ciledag, N; Aktas, E; Aribas, BK; Köse, K. Evaluación cuantitativa de la elasticidad normal de los tejidos blandos mediante elastografía por ultrasonidos de onda de cizallamiento - American Roentgen Ray Society. 2011 Set; 197 (3). pp. pp: 532-536. ISSN 1546-3141. PMID 21862792. doi:10.2214/AJR.10.5449.
- ↑ Gennisson, JL; Deffieux, T; Fink, M; Tanter, T. Elastografía por ultrasonidos: principios y técnicas- Diagn Interv Imaging. 2013 Maig; 94 (5). pp. pp: 487-495. ISSN 2211-5684. PMID 23619292. doi:10.1016/j.diii.2013.01.022.
- ↑ Pessler, F. Cutis laxa (2020; Oct (rev), pàgs: 3 - Manual MSD (Versión profesional). Merck Sharp & Dohme Corp).
- ↑ Germain, DP. Pseudoxanthoma elasticum - Orphanet J Rare Dis (2017 Maig 10; 12 (1)). p. 85. PMC 5424392. PMID 28486967. doi:10.1186/s13023-017-0639-8.
- ↑ Wollina, U; Lotti, T; Vojvotic, A; Nowak, A. Dermatoporosis - The Chronic Cutaneous Fragility Syndrome - Open Access Maced J Med Sci (2019 Ag 30; 7 (18)). pp. 3046-3049. PMC 6910795. PMID 31850120. doi:10.3889/oamjms.2019.766.
- ↑ Wasmeier C, Hume AN, Bolasco G, Seabra MC. Melanosomes at a glance - J Cell Sci. 2008 Des 15; 121 (Pt 24). pp. pp: 3995-3999. ISSN 1477-9137. PMID 19056669. doi:10.1242/jcs.040667.
- ↑ Heistein, JB; Acharya, U. Malignant Melanoma - StatPearls [Internet]. StatPearls Publishing LLC (2020 Des 5; NBK470409 (rev)). p. 8. PMID 29262210.
- ↑ Maton Anthea, Jean Hopkins, Charles William McLaughlin, Susan Johnson, Maryanna Quon Warner, David LaHart, Jill D. Wright (1993; Gen). google.cat/books/about/Human_Biology_and_Health.html?id=lTquuAEACAAJ&redir_esc=y Biología humana y salud. Pearson Prentice Hall. p. 256. ISBN 0-13-981176-1.
- ↑ Hassan, S; Zhou, X. gov/books/NBK542253/ Drug Induced Pigmentation - StatPearls [Internet]. StatPearls Publishing LLC (2020 Feb 16; NBK542253 (rev)). PMID 31194410.
- ↑ Bhattar, PA; Zawar, VP; Godse, KV; Patil, SP; et al. Exogenous Ochronosis - Indian J Dermatol (2015 Nov-Des; 60 (6)). pp. 537-543. PMC 4681189. PMID 26677264. doi:10.4103/0019-5154.169122.
Bibliografía
- A.L. Kierszenbaum. Histology and Cell Biology. St.Louis: Mosby, Elsevier, 2nd Edition, 2006.
- M.H. Ross et al. Histology: A text and atlas. Baltimore, Williams and Wilkins, 4th Edition, 2003.
Enlaces externos
Wikimedia Commons alberga una galería multimedia sobre Piel.
Wikcionario tiene definiciones y otra información sobre piel.



