Resonancia magnética nuclear
La resonancia magnética nuclear (RMN) es un fenómeno físico basado en las propiedades mecánico-cuánticas de los núcleos atómicos al ser perturbados dentro de un campo magnético oscilante.
La RMN aprovecha que los núcleos atómicos (por ejemplo, dentro de una molécula) resuenan a una frecuencia directamente proporcional a la fuerza de un campo magnético ejercido, de acuerdo con la ecuación de la frecuencia de precesión de Larmor, para posteriormente perturbar este alineamiento con el uso de un campo magnético alterno, de orientación ortogonal. La literatura científica hasta el 2008 incluye espectros en un gran intervalo de campos magnéticos, desde 100 nT hasta 20 T. Los campos magnéticos mayores son a menudo preferidos puesto que correlacionan con un incremento en la sensibilidad de la señal, aunque para la imagen por resonancia magnética en medicina se utilizan campos magnéticos que generen radiación no ionizante. Existen muchos otros métodos para incrementar la señal observada. El incremento del campo magnético también se traduce en una mayor resolución espectral, cuyos detalles son descritos por el desplazamiento químico y el efecto Zeeman.
Todos los núcleos que poseen un número impar de protones + neutrones tienen un momento magnético y un momento angular intrínseco, en otras palabras, tienen un espín > 0. Los núcleos más comúnmente empleados en RMN son el protio (1H, el isótopo más sensible en RMN después del inestable tritio, 3H), el 13C y el 15N, aunque los isótopos de núcleos de muchos otros elementos (2H, 10B, 11B, 15N, 17O, 19F, 23Na, 29Si, 31P, 35Cl, 99Tc, 113Cd, 195Pt) son también utilizados.
El fenómeno de la RMN también se utiliza en la RMN de campo bajo, la RMN de campo terrestre y algunos tipos de magnetómetros. RMN también se refiere a la familia de métodos científicos que exploran este fenómeno para estudiar moléculas (espectroscopia de RMN), macromoléculas (RMN biomolecular), así como tejidos y organismos completos (imagen por resonancia magnética).
Historia
Descubrimiento
La resonancia magnética nuclear fue descrita y medida en rayos moleculares por Isidor Isaac Rabi en 1938.[1] Ocho años después, en 1946, Félix Bloch y Edward Mills Purcell refinan la técnica usada en líquidos y en sólidos, por lo que compartieron el Premio Nobel de Física en 1952.[2]
Purcell había trabajado en el desarrollo del radar y sus aplicaciones durante la Segunda Guerra Mundial en el Laboratorio de Radiación del Instituto Tecnológico de Massachusetts. Su trabajo durante tal proyecto fue producir y detectar energía de radiofrecuencias, y sobre absorciones de tales energías de RF por la materia, precediendo a su codescubrimiento de la RMN.
Ellos se dieron cuenta de que los núcleos magnéticamente activos, como 1H (protio) y 31P, podían absorber energía de RF cuando eran colocados en un campo magnético de una potencia específica y así lograban identificar los núcleos. Diferentes núcleos atómicos dentro de una molécula resuenan a diferentes frecuencias de radio para la misma fuerza de campo magnético. La observación de tales frecuencias resonantes magnéticas de los núcleos presentes en una molécula permite al usuario entrenado descubrir información química, estructural, espacial y dinámica acerca de las moléculas.
El desarrollo de la resonancia magnética nuclear como técnica de química analítica y de bioquímica fue paralela con el desarrollo de la tecnología electromagnética y su introducción al uso civil.
Principio físico
Espín nuclear
Los hadrones (más específicamente bariones) que componen al núcleo atómico (neutrones y protones), tienen la propiedad mecánico-cuántica intrínseca del espín. El espín de un núcleo está determinado por el número cuántico del espín I. Si el número combinado de protones y neutrones en un isótopo dado es par, entonces I = 0, i. e. no existe un espín general; así como los electrones se aparean en orbitales atómicos, de igual manera se asocian neutrones y protones en números pares (que también son partículas de espín ½) para dar un espín general = 0.
Un espín distinto a cero, I, está asociado a un momento magnético distinto a cero, μ:
en donde γ es la constante giromagnética. Esta constante indica la intensidad de la señal de cada isótopo usado en RMN. Salvo en la desintegración atómica, no se obtiene el núcleo separado de los electrones, los electrones que giran alrededor del núcleo se distinguen por los cuatro números cuánticos, la mecánica cuántica lo explica
Valores del momento angular del espín
El momento angular asociado al espín nuclear esta cuantizado. Esto significa que tanto la magnitud como la orientación del momento angular están cuantizadas (es decir, I solo puede tomar valores en un intervalo restringido). El número cuántico asociado se conoce como número cuántico magnético, m, y puede tomar valores enteros desde +I hasta -I. Por lo tanto, para cualquier núcleo, existe un total de 2I+1 estados de momento angular.
El componente z del vector de momento angular, Iz es por lo tanto:
en la que es la constante de Planck reducida.
El componente z del momento magnético es simplemente:
Comportamiento del espín en un campo magnético
Consideremos un núcleo que posee un espín de ½, como 1H, 13C o 19F. Este núcleo tiene dos estados posibles de espín: m = ½ o m = -½ ( también se les llama 'arriba' y 'abajo', o α y β, respectivamente). Las energías de estos dos estados son degeneradas —lo cual significa que son las mismas. Por lo tanto las poblaciones de estos dos estados (i.e. el número de átomos en los dos estados) serán aproximadamente iguales en condiciones de equilibrio térmico.
Sin embargo, al poner este núcleo bajo un campo magnético, la interacción entre el momento magnético nuclear y el campo magnético externo promoverá que los dos estados de espín dejen de tener la misma energía. La energía del momento magnético μ bajo la influencia del campo magnético B0 (campo magnético principal) está dado por el producto escalar negativo de los vectores:
En el que el campo magnético ha sido orientado a lo largo del eje +z (por convención).
Por lo tanto:
Como resultado, los distintos estados nucleares del espín tienen diferentes energías en un campo magnético ≠ 0. En otras palabras, podemos decir que los dos estados del espín de un espín ½ han sido alineados ya sea a favor o en contra del campo magnético. Si γ es positiva (lo cual es cierto para la mayoría de los isótopos) entonces m = ½ está en el estado de baja energía.
La diferencia de energía entre los dos estados está dada por la ecuación:
y esta diferencia se traduce en una pequeña mayoría de espines en el estado de baja energía.
La resonancia ocurre cuando esta diferencia energética es excitada por radiación electromagnética de la misma frecuencia. La energía de un fotón es , donde es su frecuencia. Por lo tanto la absorción ocurrirá cuando:
Estas frecuencias corresponden típicamente al intervalo de radiofrecuencias del espectro electromagnético.
Apantallamiento nuclear
Podría parecer, por lo dicho arriba, que todos los núcleos del mismo núclido (y por lo tanto la misma γ) resuenan a la misma frecuencia. Este no es el caso. La perturbación más importante en las frecuencias para aplicaciones en RMN es el efecto de 'apantallamiento' que ejercen los electrones circundantes. En general, este apantallamiento electrónico reduce el campo magnético del núcleo (lo cual determina la frecuencia de la RMN), debido a que se alinean en dirección contraria al Bo. Como resultado, la brecha energética se reduce y la frecuencia requerida para alcanzar resonancia también se reduce. Este desplazamiento de la frecuencia de RMN, influenciado fuertemente por los grupos químicos se conoce como desplazamiento químico, y explica por qué el RMN es una sonda directa de la estructura química. Si un núcleo está más apantallado, estará desplazado hacia 'campo alto' (menor desplazamiento químico) y si está más desapantallado, entonces estará desplazado hacia 'campo bajo' (mayor desplazamiento químico).[3]
A menos que la simetría local sea particularmente alta, el efecto de apantallamiento depende de la orientación de la molécula con respecto al campo externo. En RMN de estado sólido, el 'giro al ángulo mágico' (magic angle spinning) es necesario para disipar esta dependencia orientacional. Esto no se requiere en RMN convencional puesto que el movimiento rápido y desordenado de moléculas en solución disipa el componente anisótropo del desplazamiento químico.
Digitalización mediante transformada de Fourier
La recuperación natural de la dirección y sentido de los espines una vez se deja de aplicar la radiofrecuencia, generará unas emisiones a consecuencia de la liberación energética, los cuales serán captados por la antena receptora del escáner. Estas emisiones han de ir en concordancia con la Dim-Fase, siendo la compilación de todas estas emisiones el principio de la resonancia magnética.
Una vez finalizada toda la extracción de datos se procederá al trato de las mismas en el dominio de la frecuencia mediante el empleo de la transformada de Fourier, la cual nos facilitará la reconstrucción de la imagen final por pantalla. La frecuencia de la variación de una señal en el espacio se denomina "K", es decir, los datos compilados en el dominio de las frecuencias espaciales se denomina espacio K.
La finalidad de la creación de este espacio es poder aplicar las leyes matemáticas de Fourier, lo que permite identificar el lugar de procedencia de las emisiones en un determinado momento y, por lo tanto, su lugar de procedencia.
Espectroscopia de RMN
La espectroscopia de RMN es una de las principales técnicas empleadas para obtener información física, química, electrónica y estructural sobre moléculas. Es una poderosa serie de metodologías que proveen información sobre la topología, dinámica y estructura tridimensional de moléculas en solución y en estado sólido. Asimismo, en los años 1998-2001 la resonancia magnética nuclear fue una de las técnicas más utilizadas para implementar algunos principios de las computadoras cuánticas.[4]
La Espectroscopía por RM mide la actividad de los metabolitos durante el procesamiento cognitivo. Se puede hacer un seguimiento de los picos de NAA (N-Acetil Aspartato) en relación con la activación de un área del encéfalo durante la tarea demandada. Pese a que correlaciona indirectamente con estos procesos, se han hallado ciertos patrones metabólicos como el decremento en picos NAA en el Hipocampo, relacionado con un déficit de Memoria, y decremento en picos NAA en el Lóbulo Temporal, relacionado con la epilepsia.
Aplicaciones más comunes
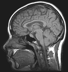
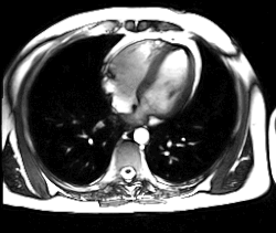
La resonancia magnética hace uso de las propiedades de resonancia aplicando radiofrecuencias a los núcleos atómicos o dipolos entre los campos alineados de la muestra, y permite estudiar la información estructural o química de una muestra. La RM se utiliza también en el campo de la investigación de ordenadores cuánticos. Sus aplicaciones más frecuentes se encuentran ligadas al campo de la medicina, la bioquímica y la química orgánica. Es común denominar "resonancia magnética" al aparato que obtiene imágenes por resonancia magnética (IRM, o MRI por las siglas en inglés de Magnetic Resonance Imaging).[cita requerida]
Aplicación en medicina

La resonancia magnética es una técnica que sirve para diagnosticar enfermedades mediante la obtención de imágenes del cuerpo. A pesar de que no existe efecto nocivo sobre el paciente, no se recomienda la práctica en embarazadas, salvo que su uso sea imprescindible.
La máquina que se utiliza en la resonancia magnética, debido a su dimensión y su tecnología, combina las ventajas de los equipos de alto campo magnético y los equipos abiertos. Así, se consigue una mayor definición y una mayor calidad en la imagen, y el paciente tiene una menor sensación de claustrofobia y además tiene una mayor comodidad. La duración de la prueba no depende de la gravedad de la afección, sino que depende de la región que se vaya a estudiar.[cita requerida]
- Desarrollo de la exploración
Antes de comenzar la resonancia, el personal sanitario determinará si puede o no realizarse mediante el relleno de un cuestionario. En una cabina se depositarán los objetos personales. El personal sanitario indicará la posición a colocar en la mesa. Alrededor de la zona del cuerpo a examinar se coloca unas antenas, un aparato cuya finalidad es mejorar la calidad de las imágenes. Finalmente la mesa se deslizará hacia el interior del imán y así comenzará la exploración.[cita requerida]

- Desarrollo del examen
Durante la exploración el imán producirá unos ruidos con diferente intensidad, que incluso pueden llegar a ser desagradables, aunque antes de empezar el examen el personal sanitario puede aportar tapones o auriculares para reducir el ruido. Estos ruidos son producto de la obtención de las imágenes. Para obtener las imágenes con mayor calidad, es imprescindible mantenerse estático, realizando una tranquila respiración y siguiendo las indicaciones del personal sanitario. Dependiendo de la parte del cuerpo que se tenga que examinar, habrá que mantener la respiración unos segundos.[cita requerida]
El imán per se (léase el campo magnético propiamente dicho) no puede generar sonidos ya que el aparato auditivo humano es insensible a dicho fenómeno físico.
De existir ruidos, estos serán producto de vibraciones mecánicas de piezas o partes ferromagnéticas alcanzadas por el campo magnético mientras el mismo está variando (véase magnetostricción) para registrar la respuesta de los núcleos atómicos de los tejidos bajo estudio. Si no existiese tal variación (modulación) y los campos intervinientes fuesen estáticos no se podría registrar el comportamiento dinámico de los núcleos atómicos y en consecuencia los datos buscados no podrían obtenerse.
- Efectos secundarios
En relación con su uso en medicina, a veces el estudio requiere la inyección de fármacos basados en un elemento químico conocido como gadolinio. La razón es que el gadolinio actúa como un medio de contraste que mejora la calidad de la imagen por resonancia magnética. El elemento químico es tratado previamente, ligándolo a quelantes, para permitir su eliminación por el organismo y para disminuir su alta toxicidad. El gadolinio es responsable de un grave enfermedad conocida como fibrosis sistémica nefrogénica, una patología que afecta principalmente a personas con insuficiencia renal, el motivo parece ser que la sustancia se acumula en grandes dosis en el organismo de estas personas. Recientemente se ha descubierto otro hecho preocupante, el gadolinio también se acumula en cantidades significativas en los diferentes tejidos de personas con función renal normal.[cita requerida]
Véase también
- Electromagnetismo
- Imagen por resonancia magnética
- Relajación (RMN)
- Tomografía
- Tecnología sanitaria
- Biorresonancia (pseudociencia)
- Resonancia de espín electrónico.
- Imagen por resonancia magnética funcional.
Referencias
- ↑ I.I. Rabi, J.R. Zacharias, S. Millman, P. Kusch (1938). «A New Method of Measuring Nuclear Magnetic Moment». Physical Review 53: 318. doi:10.1103/PhysRev.53.318.
- ↑ Filler, Aaron (2009). «The History, Development and Impact of Computed Imaging in Neurological Diagnosis and Neurosurgery: CT, MRI, and DTI». Nature Precedings. doi:10.1038/npre.2009.3267.5.
- ↑ «Introducción a la espectroscopia de RMN». Archivado desde el original el 23 de abril de 2009. Consultado el 3 de mayo de 2009.
- ↑ Hay una revisión de los logros de esos años, las dificultades fundamentales y algunas alternativas en: Jones, J.A. (2001). «Quantum computing and nuclear magnetic resonance». PhysChemComm (en inglés) 11. doi:10.1039/b103231n. pp.1-8.
Bibliografía
- Hornak, Joseph P. The Basics of NMR
- A. Carrington, A.D. McLachlan (1967). Introduction To Magnetic Resonance. Londres: Chapman and Hall. ISBN.
- G.E Martin, A.S. Zekter (1988). Two-Dimensional NMR Methods for Establishing Molecular Connectivity. N.York: VCH Publishers. p. 59.
- J.W. Akitt, B.E. Mann (2000). NMR and Chemistry. Cheltenham, RU: Stanley Thornes. pp. 273, 287.
- J.P. Hornak. «The Basics of NMR». Consultado el 23 de febrero de 2009.
- J. Keeler (2005). Understanding NMR Spectroscopy. John Wiley & Sons. ISBN 0470017864.
- K. Wuthrich (1986). NMR of Proteins and Nucleic Acids. New York (NY), EEUU: Wiley-Interscience.
- J.M Tyszka, S.E Fraser, R.E Jacobs (2005). «Magnetic resonance microscopy: recent advances and applications». Current Opinion in Biotechnology 16 (1): 93-99. doi:10.1016/j.copbio.2004.11.004.
- L.O. Zufiría, J.F. Martínez (2006). «Aprendiendo los fundamentos de la resonancia magnética». Monografía SERAM 1 (1): 20.
- J.C. Edwards. «Principles of NMR». Process NMR Associates. Consultado el 23 de febrero de 2009.
- Blümich, Bernhard, "RMN portátil", Investigación y Ciencia, 390, marzo de 2009, pp. 82-87.
Enlaces externos
Wikimedia Commons alberga una categoría multimedia sobre Resonancia magnética nuclear.- En MedlinePlus hay más información sobre Resonancia magnética nuclear
Tutorial
Animaciones y simulaciones
- Animaciones
- Animación de un espín RMN 1/2 precesión
- Simulaciones interactivas de los principios del RMN
Software
- CARA - Computer Aided Resonance Assignment, libre, desarrollado por el grupo del Prof. Kurt Wüthrich
- CCPN NMR software suite from community led Collaborative Computing Project for NMR.
- Janocchio Conformation-dependent coupling and NOE prediction for small molecules.
- Soft para procesar RMN del ACD/Labs para 1D y 2D espectros RMN. Interfaz DB disponible.
- Soft predictivo RMN ACD/NMR Predictors
- Soft de simulación RMN QSim
- Soft libre para simular un espín acoplado a multiplets y a espectros DNMR WINDNMR-Pro Archivado el 28 de marzo de 2010 en Wayback Machine.
- Soft para procesar RMN NMRPipe
- RMN - Un programa de procesador de datos RMN para Macintosh.
Video
- introductcoó a RMN y MRI
- Richard Ernst, NL - Developer of Multdimensional NMR techniques video libre provisto por Vega Science Trust
- 'An Interview with Kurt Wuthrich' video de Vega Science Trust (Wüthrich fue ganador del Premio Nobel de Química en 2002 "por su desarrollo de la espectrometría resonante magnética nuclear para determinar la estructura tridimensional de macromoléculas biológicas en solución").
Wiki
- NMR Wiki Proyecto abierto NMR, EPR, MRI web
- e-MRI: curso interactivo de física RMI (requiere Flash player)
- Herramienta didáctica para el estudio de los principios físicos de la imagen por resonancia magnética
- The Basics of MRI (en inglés)