Hemocromatosis
| Hemocromatosis | ||
|---|---|---|
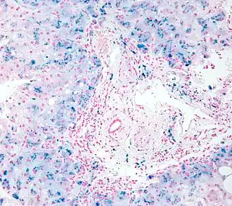
![]() Micrografía de una biopsia de hígado mostrando los depósitos debidos a sobrecarga de hierro. Tinción de Perls. | ||
| Especialidad | Hematología, gastroenterología, hepatología | |
| Síntomas | Cansancio, dolor abdominal, piel bronceada, disfunción sexual[1] | |
| Complicaciones | Cirrosis, fallo hepático, cáncer de hígado, fallo cardíaco, diabetes, artritis, infecciones[1][2] | |
| Inicio habitual | En hombres, mayores de 40, mujeres mayores de > 50[1] | |
| Tipos | Primaria, secundaria[2] | |
| Causas |
Primaria: hemocromatosis hereditaria (HHC)[1] Secundaria: Hemosiderosis por transfusiones repetidas, consumo excesivo en la dieta[1] | |
| Diagnóstico | Análisis de sangre (con una elevada relación entre hierro sérico y transferrina), biopsia hepática[1] | |
| Tratamiento | Flebotomía, terapia de quelación, trasplante de hígado[1] | |
| Frecuencia | 1 in 400 personas de raza blanca[2] | |
| Sinónimos | ||
| Sobrecarga de hierro, diabetes bronceada[2] | ||
La hemocromatosis, también conocida como sobrecarga de hierro, a la acumulación excesiva de hierro en el organismo.[2] Los síntomas pueden incluir cansancio, dolor abdominal, oscurecimiento de la piel y disfunción sexual.[1] Las complicaciones pueden incluir cirrosis, insuficiencia hepática, cáncer de hígado, insuficiencia cardíaca, diabetes, artritis e infecciones.[1][2]
Causas
Las causas más comunes son la hemocromatosis hereditaria (HHC), un trastorno genético y la sobrecarga de hierro por transfusiones de sangre repetidas.[1] En raras ocasiones, puede ocurrir debido a una ingesta dietética excesiva o daño hepático durante el desarrollo temprano (este último conocido como hemocromatosis neonatal ).[1]
Estudios recientes en el trastorno por atracón han identificado disfunciones en las vías del metabolismo del hierro que resultan en un exceso de hierro en los pacientes. Estudios de asociación del genoma completo (GWAS) sugieren que podría estar relacionado con polimorfismos en el gen HFE, implicado en la hemocromatosis hereditaria. Ensayos de saturación de la transferrina (biomarcador para estudiar el transporte y almacén de hierro y el metabolismo del grupo hemo) confirman la sobrecarga de hierro en el organismo de pacientes con TA.[3]
Diagnóstico y tratamiento
Los factores de riesgo para una enfermedad más grave incluyen otras enfermedades hepáticas y alcoholismo.[1] Por lo general, el diagnóstico se realiza mediante análisis de sangre, que pueden respaldarse con una biopsia de hígado.[1]
La mayoría de los casos de sobrecarga de hierro debida a hemocromatosis se tratan con la extracción regular de sangre mediante flebotomía.[1] Inicialmente se realiza dos veces por semana y, una vez que los niveles de hierro bajen, se pueden espaciar las extracciones de dos a tres veces por año.[1] Aquellos que tienen sobrecarga de hierro debido a otras razones pueden ser tratados con terapia de quelación.[1] La hemocromatosis neonatal se puede tratar con exanguinotransfusiones e inmunoglobulinas intravenosas.[1] Ocasionalmente se requiere un trasplante de hígado.[1] Deben evitarse los suplementos de hierro y la vitamina C.[1]
Epidemiología
Aproximadamente 1 de cada 400 personas blancas padece de hemocromatosis y es el trastorno autosómico recesivo más común en este grupo.[2] El inicio de los síntomas en los hombres suele ser después de los 40 años y en las mujeres después de los 50 años[1] Si bien los hombres y las mujeres tienen la misma probabilidad de portar la mutación, los hombres tienen entre 2 y 3 veces más probabilidades de desarrollar complicaciones.[1][2] Los resultados en la hemocromatosis son buenos si la enfermedad se detecta temprano y se trata.[2] Los síntomas de la sobrecarga de hierro fueron descritos por primera vez por Armand Trousseau en 1865, aunque no fue hasta 1889 que von Recklinghausen relacionó la enfermedad con el hierro.[4]
Referencias
- ↑ a b c d e f g h i j k l m n ñ o p q r s t «Hemochromatosis». National Institute of Diabetes and Digestive and Kidney Diseases. NIDDK. Archivado desde el original el 22 de marzo de 2021. Consultado el 24 de febrero de 2021.
- ↑ a b c d e f g h i Porter, JL; Rawla, P (enero de 2020). Hemochromatosis. PMID 28613612.
- ↑ Burstein, David; Griffen, Trevor C.; Therrien, Karen; Bendl, Jaroslav; Venkatesh, Sanan; Dong, Pengfei; Modabbernia, Amirhossein; Zeng, Biao et al. (2023-09). «Genome-wide analysis of a model-derived binge eating disorder phenotype identifies risk loci and implicates iron metabolism». Nature Genetics (en inglés) 55 (9): 1462-1470. ISSN 1546-1718. doi:10.1038/s41588-023-01464-1. Consultado el 1 de febrero de 2024.
- ↑ Barton, James C.; Edwards, Corwin Q. (2000). Hemochromatosis: Genetics, Pathophysiology, Diagnosis and Treatment (en inglés). Cambridge University Press. p. 3. ISBN 978-0-521-59380-9. Archivado desde el original el 28 de agosto de 2021. Consultado el 24 de febrero de 2021.
Enlaces externos
- Esta obra contiene una traducción derivada de «User:Mr. Ibrahem/Iron overload» de Wikipedia en inglés, concretamente de esta versión del 20 de agosto de 2023, publicada por sus editores bajo la Licencia de documentación libre de GNU y la Licencia Creative Commons Atribución-CompartirIgual 4.0 Internacional.
