Schistosoma haematobium
| Schistosoma haematobium | ||
|---|---|---|
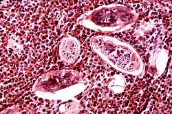
![]() Imagen obtenida mediante microscopio de la vejiga de la orina, en la que se observan huevos de Schistosoma haematobium rodeados por una intensa reacción inflamatoria de eosinófilos. | ||
| Taxonomía | ||
| Reino: | Animalia | |
| Filo: | Platyhelminthes | |
| Subfilo: | Rhabditophora | |
| Superclase: | Neodermata | |
| Clase: | Trematoda | |
| Subclase: | Digenea | |
| Orden: | Strigeidida | |
| Género: | Schistosoma | |
| Especie: |
S. haematobium (Bilharz, 1852) | |
Schistosoma haematobium es una especie de platelminto parásito de la clase de los trematodos. Son gusanos aplanados parasitarios comúnmente llamados bilharzia. Causan infección en el hombre que se denomina esquistosomiasis.[1]
Ciclo de vida del parásito

El ciclo biológico del parásito es complejo y alterna huéspedes vertebrados (humano) e invertebrados (molusco). El hombre es el huésped definitivo y adquiere la infección al bañarse en aguas contaminadas con larvas de Schistosoma haematobium que viven en el medio acuático. Las larvas penetran en el organismo humano a través de la piel, pasan a los capilares sanguíneos, a partir de los cuales alcanzan los pulmones y el hígado. Cuando la larva madura, las hembras colonizan los vasos venosos próximos a la vejiga urinaria, donde depositan cada una de ellas entre 20 y 100 huevos de 150 micras de longitud, los cuales son expulsados por el humano al exterior a través de la orina.
Cuando el huevo expulsado por la orina alcanza un medio acuático adecuado, rompe su membrana ovular liberando un miracidio,[Nota 1] larva ciliada que no es infectiva para el hombre, sino que busca determinados moluscos que son los huéspedes intermedios imprescindibles para su desarrollo, caracoles de agua de los géneros Bulinus, Biomphalaria y Oncomelania, perforan sus partes blandas y colonizan el animal. Cuando el molusco muere, se liberan las larvas que son infecciosas para el hombre. El gusano adulto permanece vivo en el ser humano entre 3 y 5 años, tras los cuales muere, curándose la enfermedad por sí misma si no se produce una nueva reinfección de origen externo.[1][2]
Distribución de la enfermedad
El foco primitivo de la infección fue el valle del Nilo, sin embargo en la actualidad se encuentra distribuida en numerosos países de África, principalmente África oriental, central y del norte. La enfermedad tiende a extenderse progresivamente debido a la construcción de balsas, nuevos pantanos y canales para la agricultura. En los países europeos se presentan casos importados de inmmigrantes o turistas que han viajado a regiones donde el mal es endémico.[3]
Síntomas
La presencia de huevos en la pared de la vejiga urinaria produce una respuesta inflamatoria que ocasiona síntomas típicos, entre ellos molestias al orinar y sangre en la orina (hematuria). Cuando se produce una parasitación crónica, habitual en los nativos de determinadas regiones de África, la vejiga se fibrosa y calcifica, facilitando la aparición de cáncer de vejiga.[4]
Diagnóstico
Generalmente se realiza mediante examen microscópico de la orina en la que se detectan huevos del parásito. Sin embargo en las infecciones crónicas, los huevos pueden ser difíciles de detectar, por lo que en ocasiones se realiza una inyección intradermica de antígenos específicos para comprobar si se produce reacción inflamatoria en la piel como respuesta, lo cual sugiere la existencia de infección.
Otras especies de Schistosoma
Otras especies de schistosoma que provocan infección en el humano, son:
- Schistosoma mansoni: se encuentra en países de África, Brasil, Venezuela, Surinam, Puerto Rico y República Dominicana
- Schistosoma japonicum: se distribuye en países de Asia y el Océano Pacífico
- Schistosoma mekongi: se encuentra en países del sureste de Asia
Notas
- ↑ En parasitología se conoce como miracidio a las larvas de algunos platelmintos tremátodos. Poseen cuerpo sacciforme y están recubiertas de cilios vibrátiles.
Referencias
- ↑ a b Infección vesical por Schistosoma haematobium. Archivado el 2 de abril de 2015 en Wayback Machine. SEMERGEN, medicina de familia. Vol. 36. Núm. 09. noviembre 2010, doi: 10.1016/j.semerg.2010.04.004
- ↑ Roberts, L., Janovy, J. (1996). Foundations of Parasitology, 5th edition. Wm. C. Brown Publishers, Dubuque, Iowa.
- ↑ Jacobo Díaz, Mª del Rosario Florencio: Cistitis por schistosoma haematobium en un inmigrante subsahariano. Rev Diagn Biol v.50 n.1 Madrid ene.-mar. 2001
- ↑ Monografía sobre Schistosoma haematobium.
