Abetalipoproteinemia
| Abetalipoproteinemia | ||
|---|---|---|
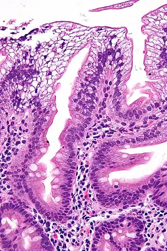
![]() Micrografía de una biopsia duodenal que muestra enterocitos con un citoplasma claro (debido a la acumulación de lípidos) característico de la abetalipoproteinemia. | ||
| Especialidad | endocrinología | |
| Sinónimos | ||
| ||
La abetalipoproteinemia o síndrome de Bassen-Kornzweig, es una rara enfermedad, autosómica recesiva, que afecta al tracto digestivo, cuya principal característica es la incapacidad que tiene el organismo de absorber adecuadamente los componentes grasos del alimento a través del intestino, lo que tiene como consecuencia la producción de heces grasosas (esteatorrea), deficiencia en el desarrollo infantil y problemas en los nervios.[1] La enfermedad se caracteriza por niveles bajos o ausentes de colesterol plasmático, lipoproteínas de baja densidad y lipoproteínas de muy baja densidad. No debe confundirse con una deficiencia de beta-lipoproteínas. Los síntomas característicos incluyen malabsorción de grasas, degeneración espinocerebelosa, acantocitosis y retinosis pigmentaria.[2]
Causas

Esta enfermedad es de origen genético, debido a la existencia de una mutación en un gen en los pacientes: proteína de transferencia de triglicérido microsómico (MTP). Esta enfermedad afecta a ambos sexos, sin embargo es más frecuente en los hombres, llegando estos a representar el 70 % de los casos.
La mutación ocasiona que el organismo sea incapaz de producir lipoproteínas sanguíneas, entre las que incluyen, lipoproteínas de muy baja densidad VLDL (b-100) y los quilomicrones (b-48).El motivo subyace en la incapacidad de fabricar apolipoproteína B (b48 y b100 ). Alterando la funcionalidad de las lipoproteínas del plasma.
Debido a esto los pacientes con este síndrome son incapaces de digerir grasas, lo que conlleva a una deficiencia en el desarrollo de los nervios (neuropatía) y ataxia.[2]
Cuadro clínico
Entre los síntomas se encuentran un retraso en el desarrollo durante la lactancia, heces anormales (excesivamente grasosas, fétidas y espumosas), dificultades del habla, coordinación y equilibrio y debilidad muscular que conlleva a una curvatura de la columna.[3]
Manifestaciones gastrointestinales
Estas manifestaciones incluyen diarrea y deficiencia de vitaminas liposolubles. Son evidentes desde la infancia. Sin embargo, es posible que la diarrea no sea un síntoma prominente más adelante porque los pacientes aprenden a evitar los alimentos grasos. Sin embargo, continúan los déficits de vitaminas liposolubles, porque su asimilación y transporte dependen en gran medida de la integridad de la vía apoB.Por el contrario, altas dosis de terapia con vitamina A pueden lograr niveles séricos normales. Esto muestra que a pesar de la absorción intestinal dañada, el transporte de vitamina A por las proteínas de unión al retinol en el suero no se ve afectado en la abetalipoproteinemia.[2]
Manifestaciones hepáticas
- Hepatomegalia por esteatosis hepática.
- Posible aumento de GOT y GPT en sangre
- Algunos casos cursan con cirrosis
Manifestaciones hematológicas

La acantocitosis es una característica distintiva de esta enfermedad. Los acantocitos son glóbulos rojos con picos anormales debido a la membrana celular de fosfolípidos defectuosa. También se ven en la disfunción hepática. La velocidad de sedimentación globular pueden ser muy bajas. La malabsorción de grasas puede provocar deficiencias de hierro, ácido fólico, y provocar anemia. interviene en la protección contra el daño de los radicales libres. Puede haber hemólisis por falta de vitamina E . La vitamina K participa en la descarboxilación gamma de los factores de coagulación, un paso indispensable en la coagulación. Su deficiencia podría provocar trastornos hemorrágicos.[2]
Diagnóstico
El médico tratante puede solicitar un CSC (conteo sanguíneo completo), en el cual se notará la presencia de glóbulos rojos anormales (con aspecto espinoso; acantocitosis- células de Burr-) que es patognómonico ; estudios de colesterol, los cuales muestran un bajo nivel de lipoproteínas; recolección de material fecal, con el cual se comprobará la presencia de altos niveles de grasas; y, un examen genético comprobará las mutaciones en los genes APOB o MTP.[2]
Tratamiento
El tratamiento consiste en seguir una dieta baja en grasas para evitar los síntomas digestivos, y el uso de suplementos vitamínicos.[4] Debido a que las grasas son parte fundamental del desarrollo, los triglicéridos de cadena larga son sustituidos por triglicéridos de cadena media, los cuales son absorbidos de manera diferente por el intestino.[cita requerida]
Pronóstico
Los resultados del tratamiento varían mucho, dependiendo del grado y alcance de los problemas neurológicos. En casos muy graves se presenta una enfermedad neurológica irreversible alrededor de los 30 años.[cita requerida]
Referencias
- ↑
- ↑ a b c d e Junaid, Zeenat; Patel, Krunal (2021). Abetalipoproteinemia. StatPearls Publishing. Consultado el 25 de septiembre de 2021.
- ↑ Moutzouri, E; Elisaf, M; Liberopoulos, EN (marzo de 2011). «Hypocholesterolemia.». Current vascular pharmacology 9 (2): 200-12. PMID 20626336. doi:10.2174/157016111794519354.
- ↑ Cuerq, Charlotte; Henin, Emilie; Restier, Lioara; Blond, Emilie; Drai, Jocelyne; Marçais, Christophe; Di Filippo, Mathilde; Laveille, Christian et al. (2018-9). «Efficacy of two vitamin E formulations in patients with abetalipoproteinemia and chylomicron retention disease». Journal of Lipid Research 59 (9): 1640-1648. ISSN 0022-2275. PMC 6121919. PMID 30021760. doi:10.1194/jlr.M085043. Consultado el 27 de septiembre de 2022.
Enlaces externos
- En MedlinePlus hay más información sobre Abetalipoproteinemia
- University of Maryland Medical Center Archivado el 7 de marzo de 2005 en Wayback Machine.
- En Epistemoikos hay más información sobre Abetalipoproteinemia.
