Acantocitosis
.jpg)
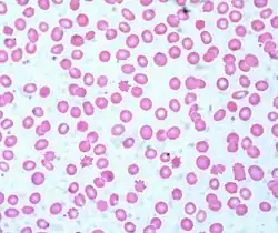
La acantocitosis (del griego ἄκανθα, espina y kýtos, célula) es la presencia de un tipo de glóbulos rojos anormales en el torrente sanguíneo, llamados acantocitos. Se caracterizan por presentar proyecciones protoplasmáticas en diferentes formas y tamaños separadas de modo irregular, que proporcionan a la célula un aspecto espinoso. Esta anomalía puede observarse en la abetalipoproteinemia.[1]
Existen varias enfermedades en las que se puede observar la acantocitosis que son:
- Abetalipoproteinemia o síndrome de Bassen Kornzweig: Es la forma familiar hereditaria. En esta enfermedad el 80% de los hematíes en la sangre circulante son acantocitos. A causa de la incapacidad del intestino para absorber las grasas de la dieta, se producen diarrea o heces grasosas, y dificultades de aprendizaje en los niños (retraso mental y problemas nerviosos, entre otras complicaciones). Se acompaña frecuentemente de anemia hemolítica.
- Síndrome de McLeod: Es un trastorno multisistémico ligado al cromosoma X con alteración hematológica, neuromuscular y del sistema nervioso central, que pertenece al grupo de las llamadas neuroacantocitosis.
- Hepatopatías.
- Corea acantocitica, otro tipo de neuroacantocitosis
- Se puede presentar además acantocitos en la hematuria, orientando a que esos glóbulos rojos son de origen glomerular. Una hematuria con más de 5% de acantocitos podemos asegurar que es de origen glomerular con una especificidad del 98%.
- Deficiencia de vitamina E.
Referencias
Wikimedia Commons alberga una categoría multimedia sobre Acantocitosis.