Pulpotomía

La pulpotomía es un procedimiento mínimamente invasivo que se realiza en niños en un diente primario con caries extensa pero sin evidencia de patología radicular. [1] Las técnicas endodóncicas mínimamente invasivas de terapia pulpar vital (TPV) se basan en una mejor comprensión de la capacidad para sanar y regenerarse de los tejidos pulpares, además de la disponibilidad de materiales endodóncicos avanzados. Durante la eliminación de caries, se produce una exposición cariosa o mecánica de la pulpa de la cavidad. Durante la pulpotomía, el tejido pulpar inflamado/enfermo se retira de la cámara pulpar coronal del diente, dejando tejido pulpar sano que se reviste con un medicamento clínicamente eficaz a largo plazo que mantiene la supervivencia de la pulpa y favorece la reparación. [2] Existen varios tipos de medicamentos que se colocan sobre de la pulpa vital, como la solución de formocresol de Buckley, el sulfato férrico, el hidróxido de calcio o el agregado de trióxido mineral (MTA). [1] El MTA es un material más reciente utilizado para pulpotomías con alto indice de éxito, mejor que el formocresol o el sulfato férrico. También se recomienda que sea el agente de pulpotomía preferido en el futuro. [3] [4] Una vez rellenada la cámara pulpar coronal, el diente se restaura con un material de obturación que lo selle el diente contra las microfiltraciones, como una corona de acero inoxidable, que es la restauración más eficaz a largo plazo. Sin embargo, si queda suficiente estructura dental de soporte, otros materiales de obturación como la amalgama o la resina compuesta pueden proporcionar una alternativa funcional cuando el diente primario tiene una vida útil de dos años o menos. [1] Los resultados del tratamiento a medio y largo plazo de la pulpotomía en dientes permanentes sintomáticos con caries, especialmente en personas jóvenes, indican que la pulpotomía puede ser una alternativa potencial al tratamiento de conductos radiculares (TCR). [5]

Existe otro término también relacionado con el tratamiento de la pulpa vital: la apexogénesis . La apexogénesis es un tratamiento en el que se preserva el tejido pulpar vital en la parte apical de un conducto radicular para permitir la finalización de la formación del ápice radicular . Este procedimiento clínico es esencialmente una pulpotomía profunda, destinada a preservar la pulpa en dientes inmaduros que presentan una inflamación pulpar profunda. Algunos ejemplos son los dientes con exposiciones cariosas y traumatismos en los que el tratamiento de la pulpa expuesta se retrasa y se vuelve necesario profundizar más dentro del canal para alcanzar el tejido sano. [6]
Objetivos
En diente inmaduro
Después del tratamiento de pulpotomía, la pulpa radicular debe permanecer asintomática sin ningún signo o síntoma clínico adverso como sensibilidad, dolor o inflamación. En las radiografías no debe haber evidencia postoperatoria de reabsorción radicular patológica. Debe haber ausencia de signos clínicos de infección e inflamación y ningún daño al diente sucesor . [1] Sin embargo, las radiografías juegan un papel muy importante para comprobar si se puede realizar una pulpotomía en el diente primario. Por ejemplo, se consideran aspectos como la extensión de la caries en el diente primario y el desarrollo del diente permanente sucesorio.
_showing_Deciduous(Milky_or_Primary)_Tooth_75_and_developing_crown_of_Permanent_or_Secondary_Teeth_35%252C_36_and_37.jpg)
En diente permanente maduro
El diente debe ser asintomático. No debe haber signos ni síntomas clínicos. En las radiografías, debe haber ausencia de evidencia postoperatoria de patología. [1]
En los dientes primarios
La pulpotomía permite la continuación de la formación de la raíz, lo que conduce al cierre del extremo del diente, la preservación y el mantenimiento de la vitalidad pulpar, una estructura radicular más fuerte y una mayor integridad estructural. [7]
Indicaciones
Dientes primarios
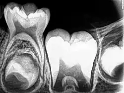
Los dientes primarios o deciduos (de leche) en los niños tienen espacios pulpares relativamente grandes. Las caries no tienen que desarrollarse significativamente antes de llegar a la cámara pulpar.
Cuando el tejido blando de la cámara pulpar está infectado (tiene bacterias) o afectado (está inflamado), puede ser extirpado por un dentista o un terapeuta dental con anestesia local . Si el tejido blando de los canales aún está lo suficientemente sano, se puede colocar un relleno especial medicado en la cámara para intentar mantener viva la pulpa restante (en los conductos). El proceso de extracción de la pulpa de la cámara es la pulpotomía propiamente dicha, aunque la palabra a menudo se utiliza para referirse a todo el proceso, incluida la colocación de la medicación. Hay muchos medicamentos que se pueden utilizar para rellenar la cámara pulpar, incluyendo el óxido de zinc eugenol, así como el agregado de trióxido mineral .
Existen dos tipos de técnicas de pulpotomía en función de la extensión de la caries en un diente y los síntomas que presente. Se puede realizar una pulpotomía vital o una pulpotomía no vital. Sin embargo, investigaciones recientes demuestran que las pulpotomías no vitales rara vez están indicadas debido a sus bajas tasas de éxito, por lo que a veces es mejor extraer el diente.
Posteriormente, el diente se restaura mediante una obturación convencional, ya sea de composite o amalgama, o con una corona de acero inoxidable. Debido a que el proceso de pulpotomía hace que el diente se vuelva ligeramente quebradizo, normalmente se indica una corona de acero inoxidable como la opción preferida de restauración definitiva.
La pulpotomía se puede realizar tanto en dientes permanentes como en dientes primarios.
Tipos
Dientes primarios
La indicación de este procedimiento de pulpotomía es cuando se produce una exposición pulpar durante la eliminación de caries en un diente primario con una pulpa normal o pulpitis reversible o tras una exposición pulpar traumática.[1] A continuación, se amputa el tejido coronal y se juzga que el tejido radicular restante es vital sin supuración, pus, necrosis o sangrado excesivo que no pueda controlarse con una bolita de algodón húmeda (con solución salina) después de varios minutos, y no hay signos radiográficos de infección o reabsorción patológica. [1]
La terapia de pulpotomía puede clasificarse según los siguientes objetivos de tratamiento: desvitalización (momificación, cauterización), preservación (desvitalización mínima, no inductiva) o regeneración (inductiva, reparadora). [8]
Debilitación
Se utilizan múltiples visitas con aplicación de formocresol en la pulpotomía para fijar completamente la pulpa radicular y reducir la infección pulpar. La pulpa radicular fue teóricamente esterilizada y desvitalizada, reduciendo así la infección y la reabsorción interna.
Surgió otra forma de desvitalización no química: la pulpotomía electroquirúrgica. La electrocauterización libera calor que desnaturaliza la pulpa y reduce la contaminación bacteriana. Experimentalmente, se ha demostrado que la electrocirugía reduce la reabsorción radicular patológica y la patología periapical, así como una serie de efectos pulpares que incluyen inflamación aguda y crónica, hinchazón y necrosis difusa. Se ha informado que este método tiene un alto índice de éxito en las pulpotomías.
Sin embargo, este método puede resultar más sensible al diagnóstico y a la técnica, y puede no ser adecuado si se ha producido una reabsorción radicular apical. [8]
Preservación
El óxido de zinc eugenol (ZOE) fue el primer agente que se utilizó para la conservación. En los últimos años, se ha propuesto el glutaraldehído como alternativa al formocresol debido a sus mejores propiedades de fijación y su baja toxicidad.Recientemente se ha prestado atención a un producto químico distinto del aldehído, el sulfato férrico, como agente de pulpotomía. Minimiza las posibilidades de inflamación y reabsorción interna. Esta categoría de terapia pulpar todavía está en proceso de cambio, aunque no es probable que se produzcan grandes cambios en el futuro.[8]
Regeneración
El tratamiento ideal de pulpotomía debe dejar la pulpa radicular viva y sana. En este caso, el diente debe ser rellenado con materiales restauradores nocivos en su interior, disminuyendo así las posibilidades de reabsorción interna, así como la formación de dentina reparadora. El hidróxido de calcio fue el primer agente utilizado en pulpotomías que demostró alguna capacidad para inducir la regeneración de la dentina. Sin embargo, la tasa de éxito no es muy elevada. Los recientes avances en el campo de la formación de hueso y dentina han abierto nuevas perspectivas para la terapia pulpar, que es un factor llamado proteína morfogenética ósea (BMP). Tiene propiedades inductoras óseas, que pueden inducir hueso de forma predecible para su uso en los campos de la cirugía ortopédica, oral y periodontal. Lo más importante para la odontología es que estas proteínas osteogénicas son prometedoras para la terapia pulpar. [8]
Dientes permanentes jóvenes
Pulpotomía parcial para exposiciones cariosas
La pulpotomía parcial también está indicada en dientes permanentes jóvenes con exposición pulpar debido a caries, siempre que el sangrado pueda controlarse en varios minutos. Se trata de un procedimiento en el que el tejido pulpar inflamado situado bajo una exposición se extirpa hasta una profundidad de 1 a 3 mm o más para alcanzar el nivel del tejido pulpar sano. El sangrado pulpar se puede controlar mediante irrigación con hipoclorito de sodio o clorhexidina . A continuación, se cubre la zona con un medicamento pulpar, hidróxido de calcio o MTA, seguido de una restauración final que proporciona un sellado completo para evitar cualquier fuga y contaminación bacteriana tras la restauración. [1]
Tras la intervención, la pulpa remanente debe permanecer vital y el paciente no debe presentar ningún signo o síntoma clínico adverso, como sensibilidad, dolor o inflamación. Los dientes inmaduros deben continuar con el desarrollo normal y la apexogénesis .[1]
Pulpotomía parcial por exposición traumática
Las fracturas de la corona dental son una de las lesiones dentales más comunes y la pulpa queda expuesta en aproximadamente el 25% de todas las fracturas de corona. [9] Mantener la vitalidad del tejido pulpar en un diente inmaduro es importante para permitir el crecimiento continuo del diente.
La pulpotomía parcial debida a una exposición traumática también se conoce como pulpotomía de Cvek. El procedimiento consiste en la extracción de 1 a 3 mm (0 a 0,1 plg) de tejido pulpar inflamado debajo de una exposición para alcanzar el nivel de tejido pulpar sano. A continuación se irriga la superficie de la pulpa restante con irrigantes bactericidas como hipoclorito de sodio o clorhexidina hasta que cese el sangrado. Luego se cubre el sitio con un medicamento pulpar, ya sea hidróxido de calcio o MTA, [1] y se restaura la cavidad restante con un material que proporcione un sellado completo para evitar cualquier fuga y contaminación bacteriana tras la restauración.[10]
El tejido pulpar restante debe seguir siendo vital después de una pulpotomía parcial y los dientes con raíces inmaduras deben mostrar un desarrollo y una apexogénesis normales continuados. No debe haber signos de dolor, inflamación o sensibilidad tras el procedimiento.[1] Cvek y otros reportaron que las pulpotomías parciales tras una exposición traumática tuvieron una tasa de éxito del 96%.[11]
Medicamentos
La pulpotomía es una terapia pulpar vital; los medicamentos que pueden promover la curación y preservar la vitalidad del diente deben colocarse después de la eliminación de la pulpa inflamada. [12]
En la pulpotomía de dientes primarios pueden utilizarse medicamentos como el formocresol, agregado de trióxido mineral, óxido de zinc, eugenol e hidróxido de calcio en la pulpotomía. Se ha cuestionado el uso de formocresol debido a problemas de toxicidad.[13] Se puede utilizar sulfato férrico, hipoclorito de sodio [14] [15] o una solución anestésica local que contenga un agente vasoconstrictor para detener cualquier sangrado de la pulpa antes de colocar el medicamento. Se han utilizado mezclas enriquecidas con calcio en molares permanentes con pulpitis irreversible mostrando resultados positivos. [16]
Sulfato férrico
El sulfato férrico se utiliza para detener el sangrado pulpar formando una membrana de sellado a través de la aglutinación de las proteínas de la sangre con iones férricos y sulfato. Este coágulo metal-proteico en la superficie de la pulpa puede actuar como una barrera contra los irritantes externos. Se cree que la formación de coágulos fisiológicos puede minimizar la inflamación y la reabsorción interna en comparación con el hidróxido de calcio. Lo más importante es que el sulfato férrico provoca una desvitalización mínima y la posterior preservación del tejido pulpar. [17] Se ha demostrado que el sulfato férrico tiene un éxito clínico cercano al 100% en comparación con el formocresol (77%) con un seguimiento de un año. [18]
Formocresol
El formocresol se ha utilizado en procedimientos de pulpotomía de dientes primarios desde la década de 1940. El formocresol es un agente tanto bactericida como desvitalizante. Mata las bacterias y convierte el tejido pulpar en compuestos inertes. Esta acción estabiliza la pulpa vital, manteniéndola inerte y preservando el diente primario hasta su exfoliación natural.[19] Sin embargo, el formaldehído, un componente principal del formocresol, ha suscitado preocupaciones respecto de su uso seguro. El formaldehído es una sustancia peligrosa y se ha percibido la necesidad de reevaluar el uso de formocresol. [19] [20]
Óxido de zinc eugenol (ZOE)
Una vez detenida la hemorragia pulpar, se coloca una base adecuada, como óxido de zinc eugenol, para sellar el diente y evitar microfiltraciones. [1] ZOE es un material no tóxico para las células pulpares y posee propiedades antimicrobianas y antiinflamatorias. Además, también tiene efecto anestésico local o calmante sobre la pulpa dental. [21] [22]
Hidróxido de calcio
El hidróxido de calcio Ca(OH) 2 se utiliza convencionalmente como agente de pulpotomía de los dientes permanentes, pero con menos éxito a largo plazo. [1] El hidróxido de calcio es un material altamente alcalino (pH 12) que tiene efecto bactericida y tiene el potencial de mejorar la formación de dentina reparadora (puente de dentina). Sin embargo, también provoca necrosis superficial del tejido pulpar en contacto con el medicamento y se ha demostrado que es tóxico para las células en cultivo de tejidos. [12] [21] Por lo tanto, a pesar de ser un material popular para la terapia pulpar vital, su uso como agente de pulpotomía sigue siendo controvertido.
Agregado de trióxido mineral (MTA)
El MTA es un material más reciente que consta de silicato tricálcico, silicato dicálcico, aluminato tricálcico, aluminoferrita tetracálcica, óxido de bismuto y sulfato de calcio. Se sabe que el MTA tiene excelentes características físicas, biocompatibilidad y tiene la capacidad de estimular la liberación de citocinas de los fibroblastos pulpares, lo que puede estimular la formación de tejido duro. Tiene una mejor integridad estructural y forma un puente dentinario más grueso y localizado. [20] [12] El MTA da como resultado una formación de puente de dentina más predecible y una mejor salud pulpar. [1] El MTA tiene una alta tasa de éxito y se ha demostrado que funciona igual o mejor que el formocresol o el sulfato férrico. Sin embargo, el coste, la disponibilidad y la dificultad de manejo de este material siguen siendo sus inconvenientes actuales. [1] [12]
Técnicas alternativas de pulpotomía
Pulpotomía electroquirúrgica
La pulpotomía electroquirúrgica es un método de corte y coagulación de tejidos blandos mediante ondas de radio de alta frecuencia. Puede controlar las hemorragias sin coagulación química y es antibacteriano. La pulpotomía electroquirúrgica tiene una tasa de éxito del 70 al 94%. Sin embargo, se considera una técnica delicada. [19] [23]
Pulpotomía láser
El láser de dióxido de carbono emite un haz infrarrojo que tiene afinidad por el agua y es capaz de producir una cauterización bien localizada en el tejido blando. El tejido se elimina por ablación mediante la conversión del rayo láser en calor. El láser de dióxido de carbono parece ser una alternativa prometedora para la terapia de pulpotomía. [24]
Importancia clínica
La conservación de la vitalidad de los tejidos pulpares parece ser una alternativa menos dolorosa al tratamiento del conducto radicular (ECA) para pacientes más jóvenes. La elevada tasa de éxito notificada para la pulpotomía sugiere que este procedimiento ofrece esperanzas como alternativa al tratamiento del conducto radicular en dientes con diagnóstico de pulpitis irreversible . [25] [26]
Véase también
- Pulpectomía
Referencias
- ↑ a b c d e f g h i j k l m n ñ «Overview». www.aapd.org. Consultado el 24 de enero de 2020.
- ↑ Cushley, Siobhan; Duncan, Henry F.; Lappin, Mark J.; Tomson, Phillip L.; Lundy, Fionnuala T.; Cooper, Paul; Clarke, Mike; El Karim, Ikhlas A. (September 2019). «Pulpotomy for mature carious teeth with symptoms of irreversible pulpitis: A systematic review». Journal of Dentistry 88: 103158. ISSN 1879-176X. PMID 31229496. doi:10.1016/j.jdent.2019.06.005.
- ↑ Ng, F. K.; Messer, L. B. (March 2008). «Mineral trioxide aggregate as a pulpotomy medicament: a narrative review». European Archives of Paediatric Dentistry 9 (1): 4-11. ISSN 1818-6300. PMID 18328232. doi:10.1007/bf03321589.
- ↑ Seale, N. Sue; Glickman, Gerald N. (May 2008). «Contemporary perspectives on vital pulp therapy: views from the endodontists and pediatric dentists». Pediatric Dentistry 30 (3): 261-267. ISSN 0164-1263. PMID 18615993.
- ↑ Barngkgei, Imad Hassan; Halboub, Esam Saleh; Alboni, Roula Safouh (2013). «Pulpotomy of Symptomatic Permanent Teeth with Carious Exposure Using Mineral Trioxide Aggregate». Iranian Endodontic Journal 8 (2): 65-68. ISSN 1735-7497. PMC 3662039. PMID 23717332.
- ↑ Cohen, Stephen (2011), «Introduction», Cohen's Pathways of the Pulp, Elsevier, pp. xvi, ISBN 978-0-323-06489-7, doi:10.1016/b978-0-323-06489-7.00037-0.
- ↑ Nosrat, Ali; Asgary, Saeed (May 2010). «Apexogenesis treatment with a new endodontic cement: a case report». Journal of Endodontics 36 (5): 912-914. ISSN 1878-3554. PMID 20416445. doi:10.1016/j.joen.2009.11.025.
- ↑ a b c d Ranly, D. M. (November 1994). «Pulpotomy therapy in primary teeth: new modalities for old rationales». Pediatric Dentistry 16 (6): 403-409. ISSN 0164-1263. PMID 7854945.
- ↑ Krastl, Gabriel; Weiger, Roland (1 de diciembre de 2014). «Vital pulp therapy after trauma». ENDO - Endodontic Practice Today 8: 293-300.
- ↑ Fong, Cheng D.; Davis, Martin J. (January 2002). «Partial pulpotomy for immature permanent teeth, its present and future». Pediatric Dentistry 24 (1): 29-32. ISSN 0164-1263. PMID 11874055.
- ↑ Cvek, Miomir (1 de enero de 1978). «A clinical report on partial pulpotomy and capping with calcium hydroxide in permanent incisors with complicated crown fracture». Journal of Endodontics (en inglés) 4 (8): 232-237. ISSN 0099-2399. PMID 283188. doi:10.1016/S0099-2399(78)80153-8.
- ↑ a b c d Taneja, Saumya; Singh, Abhinav (1 de agosto de 2019). «Evaluation of effectiveness of calcium hydroxide and MTA as pulpotomy agents in permanent teeth: A meta-analysis». Pediatric Dental Journal (en inglés) 29 (2): 90-96. ISSN 0917-2394. doi:10.1016/j.pdj.2019.04.001.
- ↑ Godhi B, Sood PB, Sharma A (October 2011). «Effects of mineral trioxide aggregate and formocresol on vital pulp after pulpotomy of primary molars: An in vivo study». Contemporary Clinical Dentistry 2 (4): 296-301. PMC 3276856. PMID 22346156. doi:10.4103/0976-237X.91792.
- ↑ Shabzendedar M, Mazhari F, Alami M, Talebi M (2013). «Sodium hypochlorite vs formocresol as pulpotomy medicaments in primary molars: 1-year follow-up». Pediatric Dentistry 35 (4): 329-32. PMID 23930631.
- ↑ Al-Mutairi MA, Bawazir OA (March 2013). «Sodium hypochlorite versus Formocresol in primary molars pulpotomies: a randomized clinical trial». European Journal of Paediatric Dentistry 14 (1): 33-6. PMID 23597217.
- ↑ Yazdani S, Jadidfard MP, Tahani B, Kazemian A, Dianat O, Alim Marvasti L (2014). «Health Technology Assessment of CEM Pulpotomy in Permanent Molars with Irreversible Pulpitis». Iranian Endodontic Journal 9 (1): 23-9. PMC 3881298. PMID 24396372.
- ↑ Bandi, Madhuri; Mallineni, Sreekanth Kumar; Nuvvula, Sivakumar (2017). «Clinical applications of ferric sulfate in dentistry: A narrative review». Journal of Conservative Dentistry 20 (4): 278-281. ISSN 0972-0707. PMC 5721513. PMID 29259368. doi:10.4103/JCD.JCD_259_16.
- ↑ Fei, A. L.; Udin, R. D.; Johnson, R. (November 1991). «A clinical study of ferric sulphate as a pulpotomy agent in primary teeth». Pediatric Dentistry 13 (6): 327-332. ISSN 0164-1263. PMID 1843987.
- ↑ a b c «Formocresol, still a controversial material for pulpotomy: A critical literature review». www.jresdent.org. Consultado el 24 de enero de 2020.
- ↑ a b Rodd, H. D.; Waterhouse, P. J.; Fuks, A. B.; Fayle, S. A.; Moffat, M. A.; British Society of Paediatric Dentistry (September 2006). «Pulp therapy for primary molars». International Journal of Paediatric Dentistry. 16 Suppl 1 (s1): 15-23. ISSN 0960-7439. PMID 16939452. doi:10.1111/j.1365-263X.2006.00774.x.
- ↑ a b Harandi, Azadeh; Forghani, Maryam; Ghoddusi, Jamileh (2013). «Vital Pulp Therapy with Three Different Pulpotomy Agents in Immature Molars: A Case Report». Iranian Endodontic Journal 8 (3): 145-148. ISSN 1735-7497. PMC 3734519. PMID 23922578.
- ↑ Markowitz, K.; Moynihan, M.; Liu, M.; Kim, S. (June 1992). «Biologic properties of eugenol and zinc oxide-eugenol. A clinically oriented review». Oral Surgery, Oral Medicine, and Oral Pathology 73 (6): 729-737. ISSN 0030-4220. PMID 1437045. doi:10.1016/0030-4220(92)90020-q.
- ↑ Cameron, Angus C.; Widmer, Richard P. (2013). Handbook of Pediatric Dentistry | ScienceDirect. Mosby. ISBN 9780723436959. Consultado el 24 de enero de 2020.
- ↑ Elliott, R. D.; Roberts, M. W.; Burkes, J.; Phillips, C. (September 1999). «Evaluation of the carbon dioxide laser on vital human primary pulp tissue». Pediatric Dentistry 21 (6): 327-331. ISSN 0164-1263. PMID 10509333.
- ↑ «Pulpotomy for young vital pulps with carious exposure». Dental Abstracts (en inglés) 64 (1): 33-34. 1 de enero de 2019. ISSN 0011-8486. doi:10.1016/j.denabs.2018.09.025.
- ↑ Cushley, Siobhan; Duncan, Henry F.; Lappin, Mark J.; Tomson, Phillip L.; Lundy, Fionnuala T.; Cooper, Paul; Clarke, Mike; El Karim, Ikhlas A. (1 de septiembre de 2019). «Pulpotomy for mature carious teeth with symptoms of irreversible pulpitis: A systematic review». Journal of Dentistry (en inglés) 88: 103158. ISSN 0300-5712. PMID 31229496. doi:10.1016/j.jdent.2019.06.005.