Dentición permanente
| Dentición permanente | ||
|---|---|---|
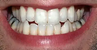
![]() | ||
| Nombre y clasificación | ||
| Latín | [TA]: dentes permanentes | |
| TA | A05.1.03.077 | |
| Información anatómica | ||
| Sistema | Dentina | |
|
| ||
Se denomina dentición permanente, dientes secundarios, segunda dentición o dentición secundaria a los dientes que se forman después de la dentición decidua o «dientes de leche», mucho más fuertes y grandes que estos y que conformarán el sistema dental durante toda la vida.
Estos son los generalmente denominados dientes que, en el ser humano, se dividen en cuatro grupos o familias: incisivos, caninos, premolares y molares o muelas.
- Incisivos (8 piezas): dientes anteriores con borde afilado. Cortan los alimentos.
- Caninos (4 piezas): con forma de cúspide puntiaguda. también llamados colmillos. Desgarran los alimentos.
- Premolares (8 piezas): poseen dos cúspides puntiagudas, por lo que también se conocen por el término bicúspides. Se encargan de triturar el alimento.
- Molares (12 piezas): cúspides anchas. Muelen los alimentos.

Incisivos
Los incisivos son parte de los dientes anteriores y se dividen en dos tipos: incisivos centrales e incisivos laterales, que pueden localizarse en los alveolos dentarios del maxilar superior e inferior.
El diente incisivo tiene un papel muy importante en la estética dental del individuo. Tiene una corona trapezoidal, posee una única raíz y tiene una dimensión vestibulolingual mayor que la mesio distal. Es el incisivo más grande de todos y su longitud inciso cervical de la corona es la mayor de toda la dentición humana.
Su función en la masticación es fundamental por su función cortante.
Al unirse el borde incisal con las caras proximales forma dos ángulos, uno mesioincisal, en un plano más inferior y con un vértice más marcado (ángulo de 90°), y el otro, distoincisal, en un plano más superior y redondeado.
Caninos
Los dientes caninos o familiarmente colmillos son denominados así porque se parecen a los de los perros o canes: están situados entre ambas arcadas dentarias delimitando el sector anterior del posterior. Se sitúan distalmente a los primeros premolares y mesialmente a los incisivos laterales. Existen dos caninos superiores y dos inferiores.
Su función es la de desgarrar lateralmente los alimentos.
Premolares
Es cualquier diente que erupciona en el espacio dejado por un molar temporal o deciduo. Hay en total ocho premolares, cuatro en la mandíbula y cuatro en el maxilar, dos a cada lado respectivamente. Están situados por distal respecto del canino, de forma que el primer premolar está distal al canino, y distal al primer premolar está el segundo premolar.
Son los dientes que están inmediatamente antes de los molares. Su función en la masticación es la trituración fina.
Molares
Los dientes molares están situados en el fondo de la boca y tienen como función principal masticar y triturar los alimentos. No están presentes en niños. El primer molar es el primero en erupcionar siendo ésta la piedra angular de la oclusión. El primer signo de calcificación de este diente puede producirse incluso antes del nacimiento, el esmalte completo tardará de tres a cuatro años en completarse, brotará alrededor de los 6 años pero la raíz no estará completamente formada hasta los 9 o 10 años. Su función en la masticación es la trituración gruesa.
Cronología del cambio a dentición permanente
El cambio de dentadura de leche a la dentadura definitiva tiene la siguiente cronología.
- 7 Años: Salen los incisivos centrales permanentes
- 8 Años: Salen los incisivos laterales permanentes.
- 9 Años: Salen los primeros premolares permanentes
- 10 Años: Salen los caninos permanentes
- 11 Años: Salen los segundos premolares permanentes
Aparición de las nuevas piezas:
- 6 años: Aparece el primer molar
- 12 años: Aparece el segundo molar
- A partir de los 18 años hasta los 30 años: Aparece tercer molar.
