Pseudomixoma peritoneal
| Pseudomixoma peritoneal | ||
|---|---|---|
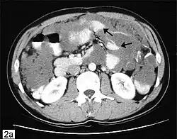
![]() Tomografía axial computarizada de abdomen que muestra la existencia de un pseudomixoma peritoneal con múltiples masas peritoneales señaladas por flechas. | ||
| Especialidad | oncología | |
El pseudomixoma peritoneal es una enfermedad clínica rara caracterizada por la acumulación de grandes contenidos mucinosos o mucosos en la cavidad peritoneal.[1][2][3]
Etiología
La causa del pseudomixoma peritoneal es objeto de discusión y no está totalmente establecida. Se considera que la mayor parte de los casos se deben a la rotura y diseminación metastásica de un tumor mucinoso localizado en al apéndice ileocecal.[2] Los tumores mucinosos representan el 8% de las neoplasias que afectan al apéndice ileo-cecal y tienen la peculiaridad de que provocan la acumulación de un material de aspecto gelatinosos que causa dilatación qúistica del apéndice que puede llegar a romperse. Por otra parte hay que considerar que este tipo de tumores son heterogéneos en cuanto a malignidad, algunos presentan bajo potencial maligno, mientras que otros son de peor pronóstico por su capacidad para aumentar de tamaño y provocar metástasis. Cuando el tumor es de baja malignidad y está diseminado en el peritoneo, el cuadro se denomina adenomucinosis peritoneal difusa, en cambio si la malignidad es de alto grado el diagnóstico más correcto sería carcinomatosis peritoneal difusa.[4]
Historia
La primera descripción fue realizada por Carl F. Rokitansky en 1842. Werth acuñó el término pseudomixoma peritoneal en el año 1884, relacionándolo en esta ocasión con un carcinoma mucinoso de ovario.[5] En el año 1901 Frankl lo describió relacionándolo con un quiste apendicular. Aunque inicialmente se relacionó con procesos benignos, actualmente se sabe que está provocado por tumores malignos bien diferenciados o de malignidad límite. En la mayoría de los casos, el tumor primario se localiza a nivel del apéndice ileo-cecal o el ovario, aunque también se ha descrito en relación con tumores de otras localizaciones.
Epidemiología
Es una enfermedad muy rara, la incidencia oscila entre 0.5 y 1 casos por 100 000 habitantes y año.[6] Es más frecuente en mujeres que en varones, la edad media de aparición es alrededor de los 50 años.
Referencias
- ↑ Qu Z, Liu L (2006). «Management of pseudomyxoma peritonei». World J Gastroenterol 12 (38): 6124-7. PMID 17036382.
- ↑ a b Pseudomixoma peritoneal. Autor: Ismael Suárez-Torres1; Eduardo Reyna-Villasmil. Rev. peru. ginecol. obstet. vol.63 no.1 Lima ene./mar. 2017. Consultado el 6 de octubre de 2019.
- ↑ Pseudomixoma peritoneal - CFNavarra
- ↑ Tumores mucinosos del apéndice: incidencia, diagnóstico y tratamiento quirúrgico. Autores: Oana Anisa Nutu, Alberto A. Marcacuzco Quinto, Alejandro Manrique Municio, Iago Justo Alonso, Jorge Calvo Pulido, María García-Conde, Félix Cambra Molero, Luis Carlos Jiménez Romero. Cirugía Española. Vol. 95. Núm. 6. Páginas 321-327 (junio - julio 2017). Consultado el 6 de octubre de 2019.
- ↑ Young R (2004). «Pseudomyxoma peritonei and selected other aspects of the spread of appendiceal neoplasms». Semin Diagn Pathol 21 (2): 134-50. PMID 15807473. doi:10.1053/j.semdp.2004.12.002.
- ↑ Marmor S, Portschy PR, Tuttle TM, Virnig BA (Apr 2015). «The Rise in Appendiceal Cancer Incidence: 2000–2009». J Gastrointest Surg. 19 (4): 743-50. doi:10.1007/s11605-014-2726-7.
