Patología periapical

La patología periapical resulta una enfermedad de asociación bacteriana en gran medida. Debido a la filtración y transporte de microorganismos a lo largo de los túbulos dentinarios la pulpa dental sufre daño necrótico de forma parcial o total. A nivel de experimentación en roedores, se ha demostrado de forma intencional como dejando abiertos los espacios de cámara pulpar han presentado gradualmente inflamación y formación de una lesión. Sin la presencia de bacterias este fenómeno resulta casi imposible de presentarse. Distintos autores han demostrado que la infección pulpar no es una monoinfeccion sino una infección mixta. La patología apical es una consecuencia de los microorganismos, de la elaboración bioquímica de distintas sustancias como las endotoxinas altamente patógenas a los tejidos periapicales y también de la respuesta del huésped a todo este conglomerado bioquímico.
Cambios en el tejido periapical
El diente y sus estructuras de soporte deben tomarse como una unidad biológica. Las interacciones entre dichas estructuras se influencian recíprocamente en salud, función y enfermedad; por lo que no es posible hablar de tejidos periodontales y pulpares como entidades independientes.[1]
El periodonto está anatómicamente interrelacionado con la pulpa dental, con vías de intercambios de elementos nocivos entre los dos compartimientos tisulares cuando uno o ambos tejidos están enfermos.[2]
Entre las vías de comunicación de estos dos procesos tenemos: foramen apical, los conductos laterales, los conductos secundarios, los conductos accesorios y los túbulos dentinarios.[3]
Las lesiones resultantes de la interacción entre la enfermedad pulpar y periodontal son conocidas como lesiones endoperiodontales; término usado por primera vez en 1964 a proposición de Simring y Goldberg. Tienen características inflamatorias que comprometen simultáneamente la pulpa y las estructuras periodontales de inserción.[1]
La inflamación e infección son presentes en éste fenómeno. La presencia de cambios del sistema circulatorio en la región inicia con una contracción de la microcirculación y posteriormente una dilatación casi instantánea. Los Eritrocitos tienen un movimiento lento y los leucocitos se orillan hacia las paredes de los vasos sanguíneos logrando escapar y viajar a los espacios extravasculares.
A medida que la afectación pulpar avanza, los cambios que se producen a nivel del periodonto son notorios. La necrosis pulpar sí que se asocia frecuentemente con inflamación del tejido periodontal, compartiendo mecanismos microbiológicos y etiológicos similares. Según la microflora y la capacidad del huésped para resistir la infección, pueden generarse formas agudas o crónicas en cualquier sitio donde existe comunicación directa con la cámara pulpar. Una entidad puede evolucionar a la otra y en ocasiones puede ocurrir una transformación cística.[4]
Las manifestaciones agudas de las infecciones de los conductos radiculares pueden originar una rápida y extensa destrucción del aparato de inserción. Los abscesos pueden drenar al exterior en diferentes direcciones, fistulizando a lo largo del espacio del ligamento periodontal o fistulizando a través del hueso hacia el surco-bolsa.[5]
Clasificación clínica de la patología periapical
La Asociación Americana de Endodoncia publicó en 2009 un consenso sobre la terminología a utilizar para el diagnóstico clínico de la patología pulpar y periapical, dado que tradicionalmente se han utilizado términos basados en hallazgos histopatológicos y variados para denominar al mismo cuadro clínico. Estos términos además no son aplicables a la práctica clínica.[6][7]
De acuerdo a dicha clasificación, se distinguen los siguientes cuadros clínicos:
- Tejidos apicales sanos. Diente con tejido perirradicular normal, no sensible a las pruebas de percusión y palpación, permaneciendo la lámina dura que rodea la raíz íntegra y el espacio del ligamento periodontal uniforme. No presenta la sintomatología de un cuadro de patología periapical.
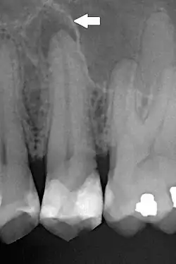
- Periodontitis apical sintomática. Inflamación del periodonto, generalmente apical, que produce síntomas clínicos incluyendo respuesta dolorosa a la masticación y/o percusión o palpación. Cursa con dolor localizado al verse afectados los nociceptores de ligamento periodontal. Este dolor puede ser persistente, continuo, espontáneo, pudiendo llegar a ser tan severo que interrumpe las actividades cotidianas. Incluye sensación de diente crecido o presión en su región apical. Radiográficamente se puede observar ensanchamiento del ligamento periodontal asociado o no a radiolucidez apical.
- Periodontitis apical asintomática. Inflamación y destrucción del periodonto apical, de origen pulpar, asociado con un área radiolucidez apical, y no produce síntomas clínicos. Cursa generalmente sin sintomatología o molestias leves. Los tejidos blandos colaterales no presentan ningún tipo de manifestación clínica. están dentro de los parámetros normales. Este cuadro era denominado como periodontitis irreversible crónica granulomatosa.
- Abceso apical agudo. Una reacción inflamatoria debido a la infección y necrosis pulpar caracterizada por su rápida aparición, dolor espontáneo, sensibilidad del diente a la presión, formación de pus y tumefacción de los tejidos adyacentes. Cursa con sintomatología de dolor constante y/o pulsátil, localizado, con la sensación de diente extruido, con movilidad aumentada. Se acompaña de malestar general y la formación de un exudado purulento o absceso (“flemón”). Radiográficamente puede apreciarse ensanchamiento del espacio periodontal o un área de radiolucidez apical cuando es la evolución de una periodontitis apical asintomática.
- Abceso apical crónico. Una reacción inflamatoria a la infección y necrosis pulpar caracterizada por su inicio gradual con poca o ninguna molestia y drenaje intermitente de pus a través de un tracto sinusal asociado (fístula). Radiográficamente se observa zona radiolúcida apical y clínicamente cursa de manera asintomática.
- Osteitis condensante. Lesión periapical en la cual se observa una lesión radiopaca difusa que representa una reacción ósea localizada a un estímulo inflamatorio, generalmente localizado en el área apical. Se asocia a un estímulo inflamatorio moderado y de larga duración procedente desde el conducto radicular.
Osteomielitis
En algunos casos de infección pulpar, la consecuencia puede llegar a ser osteomielitis aguda, bacterias pasan desde el ápice hacia el hueso con el potencial de generar una necrosis de hueso. También puede llegar a extenderse por zonas de cara y cuello con el riesgo mortal de diseminarse como una angina de Ludwig. El paciente puede experimentar un dolor altísimo que requiera ayuda de cirujanos maxilofaciales para su control y estabilización en hospital bajo riesgo de perder la vida por asfixia o cierre de vías respiratorias altas. La vistamicroscópica puede ser usual encontrar neutrófilos abundantes en espacios óseosmedulares. También puede presentarse el fenómeno de reabsorción ósea por la presencia de osteoclastos en actividad intensa. El tratamiento de la osteomielitis debe ser intenso, inmediato, urgente, y lo suficiententemente potente para controlar la situación del paciente.
Granuloma Periapical
Es un fenómeno de inflamación crónica mantenida por el hecho de que constantemente existen bacterias, ya sea en la región misma o provenientes desde una caries, un conducto infectado, una bolsa periodontal o una corona alta que genera maloclusión traumática en el periápice o bruxismo. En el microscopio pueden aparecer polimorfonucleares y células plasmáticas que no tienen capacidad de producir ya anticuerpos o incluso cuerpos de Rusell. En ocasiones aparece trayecto fistuloso.
Formación epitelial
Los restos epiteliales de Malassez presentes en el tejido periapical, periodontal, así como en el ligamento periodontal y hueso periodontal. En las lesiones crónicas no siempre está presente, se considera la teoría de la cual pudo haber sido destruido anteriormente. La inflamación crónica rodea el tejido epitelial. La presencia de epitelio nos lleva a considerar un quiste en la región. Existe ampliamente conocido el pseudoquiste o los conceptos de quiste verdadero o no verdadero. Los patólogos orales han demostrado que radiográficamente es casi imposible determinar la diferencia entre quiste y granuloma periapical. La curación se logra con la regeneración del hueso y la reparación del periápice con cemento nuevo, en ocasiones gracias a la ayuda de la cirugía periapical.
Referencias
- ↑ a b Martínez Arróniz, fernando (México. 2003). «Diagnóstico y tratamiento endoperiodontal». Revista de salud pública y nutrición. Consultado el mayo de 2009.
- ↑ Jaquez Bairán, E (Switzerland. 2001). «Lesiones periodontales». University of Bern. Consultado el febrero de 2011.
- ↑ Rivas Muñoz, R (2004). «Relación endoperiodontal». Notas de endodoncia. Apoyo académico por analogías.
- ↑ Sanz-Sánchez; Bascones-Martínez (Abril de 2008). «Otras enfermedades periodontales. II: Lesiones endoperiodontales y condiciones y/o deformidades del desarrollo o adquiridas». Avances en periodoncia 20 (1). ISSN 1699-658
|issn=incorrecto (ayuda). - ↑ Bergenhaltz, Hasselgren (1999). Endodoncia y Periodoncia. Editorial médica panamericana. p. 296-331.
- ↑ «AAE Consensus Conference Recommended Diagnostic Terminology». Journal of Endodontics 35 (12): 1634-1634. 2009-12. ISSN 0099-2399. doi:10.1016/j.joen.2009.09.035. Consultado el 26 de noviembre de 2021.
- ↑ García Guerrero, Claudia Carmiña; Lara Rodríguez, Diana Carolina; García Serrano, Lina María (10 de octubre de 2019). «GUÍA DE PRÁCTICA CLÍNICA PARA EL MANEJO QUIRÚRGICO EN ENDODONCIA DE LA ENFERMEDAD PERIAPICAL POSTRATAMIENTO». Revista Facultad de Odontología 30 (2). ISSN 2145-7670. doi:10.17533/udea.rfo.v30n2a8. Consultado el 26 de noviembre de 2021.
Bibliografía
- Richard E. Walton, Mahmoud Torabinejad Principles and Practice of Endodontics Saunders; 3 edition (January 15, 2002)ISBN-13: 978-0721691602.
- Stephen Cohen, Richard C. Burns Mosby; 8 edition (August 25, 2001) ISBN-13: 978-0323011624.
- Peter H. A. Guldener, Kaare Langeland, P. Hotz, T. M. Leisebach Minder, H. Rocke. Thieme, Stuttgart (January 1, 1993)ISBN-13: 978-3136100035.
Enlaces externos
- Sitio Web sobre el concepto de absceso periapical
- Sitio Web sobre patología periapical Archivado el 20 de abril de 2010 en Wayback Machine.
- Sitio Web sobre patología periapical en implantes
- Estudio científico de prevalencia de la patología periapical (enlace roto disponible en Internet Archive; véase el historial, la primera versión y la última).