Bruxismo
| Bruxismo | ||
|---|---|---|
|
| ||
| Especialidad | Odontología | |
| Sinónimos | ||
| ||
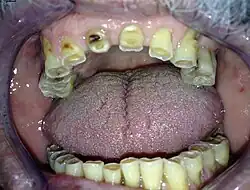
El bruxismo (del griego βρύκειν (/brükein/): ‘rechinar [los dientes]’) es el hábito involuntario de apretar o rechinar las estructuras dentales sin propósitos funcionales.[1] El bruxismo afecta entre un 10 % y un 20 % de la población, y puede conllevar dolor de cabeza y dolor de los músculos de la mandíbula, cuello y oído. El rechinamiento puede desgastar los dientes y ser muy molesto para las demás personas con misofonía.[2]
Epidemiología

El bruxismo o bruxomanía afecta a adultos o niños y a ambos sexos por igual, aunque la edad más frecuente de inicio está entre los 17 y los 20 años, y la remisión espontánea se suele producir después de los 40 años de edad en los casos de bruxismo crónico,[3] aunque puede desaparecer por sí solo en cualquier momento de la vida.
Las personas con síndrome de Prader-Willi suelen presentar bruxismo desde edades muy tempranas.
Etiología
El origen del bruxismo puede ser de origen local. Es decir, de dentro de la boca (intrabucal). Los desencadenantes de este hábito suelen estar relacionados con un estado de ansiedad.[3] Adicionalmente se han estudiado factores genéticos y asociaciones con otras enfermedades como las alergias.[3]
También se ha relacionado el bruxismo nocturno a trastornos o enfermedades como el reflujo gastroesofágico o la apnea del sueño. En ambos casos, se cree que el bruxismo es una consecuencia de dichas situaciones.[4] Por ejemplo, en el caso de la apnea, el bruxismo sería un mecanismo de defensa del cuerpo para reactivar la respiración. En el caso del reflujo, sería una forma para estimular la secreción de saliva y neutralizar el ácido.
Contrariamente a la extendida creencia, el bruxismo no es causado por parásitos intestinales.[5]
Dado que la negación del paciente ante un estado de estrés es muy característica y el cuadro clínico puede ser asintomático, el odontólogo debe ser muy acucioso para identificar el estado de ansiedad presente y para determinar el tratamiento a implementar.
Las hipótesis en cuanto a la fisiopatología sugieren un papel coadyuvante de las alteraciones dentarias, por ejemplo la maloclusión, y de mecanismos nerviosos centrales además de problemas musculares. Los factores psicológicos también pueden desempeñar un papel en el sentido de que las tensiones exacerban este trastorno.[3][6]
Clasificación
El bruxismo se clasifica según el momento de presentación, su intensidad y la manera de mover los dientes.[7]
Según la manera de rechinar los dientes
- El bruxismo céntrico (apretamiento) daña el cuello de los dientes provocando generalmente abracciones cervicales, y los premolares son las piezas más comúnmente dañadas por la inclinación de sus coronas en relación con el eje de sus raíces. Además de acompañarse de cefaleas tipo tensional.
- El bruxismo excéntrico (frotamiento) daña el borde incisal y oclusal de los dientes, generando atriciones en distinto grado. Los movimientos excursivos de la mandíbula siguen un patrón definido que se relaciona con el desgaste en las piezas (al momento de deslizar los dientes, los desgastes son coincidentes); afecta mayormente a incisivos.
Ambos tipos de bruxismo pueden ser simultáneos en un mismo paciente y los signos en las piezas dentales pueden estar o no presentes según la intensidad y duración de los episodios. Además, suelen confundirse con otras lesiones no cariosas provocadas, por ejemplo, por un cepillado traumático.[cita requerida]
Según el momento de su presentación
- El bruxismo del sueño (antes llamado bruxismo nocturno) ocurre durante el sueño. Generalmente, el paciente bruxómano onírico no es consciente del problema, y los datos de esta parasomnia proceden de los compañeros de cama o habitación alarmados por el ruido de los dientes, y también de los dentistas que observan la destrucción del esmalte y de la dentina.[1] Aparece en las etapas 2 y 3 del sueño sin movimientos oculares rápidos (sueño NMOR o sueño NREM). En un ciclo de sueño de 8 horas, los episodios bruxómanos bordean los 17 y 38 minutos en promedio por noche.
- El bruxismo de vigilia (antes, bruxismo diurno) ocurre durante la vigilia, generalmente de manera inconsciente, asociado a periodos de estrés laboral.[8]
Según el grado de afectación
- Grado I (hábito incipiente): La presentación no es agresiva, su reproducción es por un corto periodo de tiempo y a veces de manera ocasional y, aunque puede ser inconsciente para el paciente, es reversible, ya que aparece y se desvanece por sí solo;[9] puede desaparecer cuando el sujeto lo hace consciente, puede estar condicionado a factores locales dentro de la boca que, al ser detectados y eliminados con prontitud, permiten su prevención y eliminación. La ansiedad puede estar ausente en el paciente.
- Grado II (hábito establecido):[9] En este grado, la ansiedad ya se encuentra presente, la reproducción está condicionada a los factores facilitadores, la presentación es inconsciente para el paciente y desaparece cuando el sujeto lo vuelve consciente. En esta etapa pueden encontrarse presentes lesiones en las estructuras dentofaciales, por lo que se requiere de un tratamiento integral para asegurar su eliminación. El hábito grado II puede ser reversible, y si no es tratado puede desarrollarse un hábito grado III.
- Grado III (hábito poderoso): La reproducción es constante incluso en el entorno familiar y social por incorporación del paciente. La presentación se encuentra fortalecida y bien establecida, es excesiva e irresistible para el sujeto que la padece aun siendo consciente.[9] Las lesiones en las estructuras dentofaciales son de considerable magnitud y en algunos casos las lesiones son permanentes. El hábito poderoso es de difícil manejo y los resultados del tratamiento son insatisfactorios, por lo que se requiere de mayor atención y dedicación en el desarrollo de técnicas por parte del dentista que las implementa.
Diagnóstico
El bruxismo es un movimiento parafuncional.[10] Es un contacto dentario distinto de los de la masticación y deglución. Cuando el diagnóstico se establece durante un examen dental y si en estos enfermos las lesiones suelen ser mínimas o imperceptibles, no está indicado ningún tratamiento local sino más bien se establece la atención a los trastornos de ansiedad. Si bien existen signos claros como cefaleas matutinas, abfracciones y atriciones dentales, e incluso relato de terceros, el estándar para el diagnóstico de bruxismo sigue siendo la polisomnografía.
El bruxismo es inconsciente hasta que se hace del conocimiento del paciente. La primera persona que lo detecta suele ser el dentista, al observar el desgaste exagerado de los dientes (facetas) en áreas funcionales y un desgaste moderado en áreas no funcionales, un ensanchamiento de las zonas oclusales y una reducción de la dimensión vertical de la cara, y en ocasiones son los familiares quienes ponen en alerta al paciente, pues de silencioso se vuelve sonoro y molesto.[cita requerida]
Al principio el paciente «juega» con el contacto dentario sin fuerza ni contracción; sin embargo, bajo un estado de tensión emocional, se produce una mayor presión, sobrepasando el umbral de los receptores periodontales a un nivel de presión del que el paciente ya no es consciente y los músculos ya no se relajan. Es difícil obtener un diagnóstico sin el interrogatorio testimonial si el paciente desconoce el problema, por lo que se pide ayuda de los familiares para verificar la situación: se les pide que durante el sueño profundo del paciente intenten abrir la boca tomándolo con los dedos índice y pulgar por la barbilla, intentando separar los dientes: en estado de reposo se abrirá la boca satisfactoriamente, en el caso contrario, un estado de tensión, se tornará difícil separar los mismos.[cita requerida]
Tratamiento

El tratamiento está relacionado con el riesgo de lesión dentaria y su posible afección muscular.[11] En los casos más graves, es necesaria la colocación de una protección dental de resina o plástico, conocida como férula de descarga, para impedir la lesión permanente y afección de los dientes.[1] Además la férula de descarga, desde sus primeros días de su uso, elimina el dolor de mandíbula, de cabeza o de oídos, así como otras molestias que puedan haber aparecido debidas al desgaste de la musculatura de la mandíbula e incluso sin el uso de la férula se pueden llegar a tener mareos debido a la gran presión ejercida sobre la mandíbula.
Férulas oclusales
La férula o guarda oclusal trata el síntoma y no la causa. Es el tratamiento por tradición y más comúnmente implementado por los odontólogos generales.[11] El paciente la utiliza de día (diurno), de noche (nocturno) o todo el día en los casos de bruxismo intenso. Puede ser confeccionada de acrílico o de un material más liviano como la silicona. Las férulas confeccionada con acrílico son económicas y complejas de realizar por la diversidad de pasos y el uso de laboratorio para su recorte y pulido, son incómodas para el paciente y muy rígidas para producir un contrapeso al frotamiento excesivo. Las férulas de silicona son livianas, dóciles y cómodas para quien la usa; durante el frotamiento se reduce la fuerza de contacto entre la férula y los dientes. Las férulas de silicona, sin embargo, se desaconsejan como tratamiento en la actualidad, ya que provoca mayor estímulo masticatorio. Al ser una superficie blanda activa la propiocepción dental y muscular similar a la masticación de alimentos, y por tanto, la misma contracción muscular involuntaria que se quiere evitar con la férula rígida.[cita requerida]
Aunque su costo es relativamente mayor, son más fáciles de confeccionar una vez se disponga del equipo apropiado para su manufactura. Es importante señalar que las férulas o guardas oclusales no eliminan el bruxismo; su función en el tratamiento es de evitar el contacto brusco entre las estructuras dentales, desprogramar la articulación temporomandibular para un ajuste de la oclusión acompañado de una posterior programación propioceptiva, reducir la afección de los músculos masticatorios (miorrelajante) y otras querencias.[cita requerida]
Relajación
En algunas personas, solo la relajación ―incluyendo el yoga, la biorretroalimentación, la autohipnosis y otras terapias alternativas― y la modificación de comportamientos diurnos son suficientes para reducir el bruxismo del sueño.[11][12] Se suele implementar la relajación de la musculatura corporal como alternativa viable para la reducción y eliminación de los estados de nerviosismo, estrés y ansiedad.
Véase también
- Bulimia
- Clasificación internacional de los trastornos del sueño
- Onicofagia (comerse las uñas)
Referencias
- ↑ a b c Frugone Zambra, R.; y Rodríguez, C.: «Bruxismo», artículo en español en la revista Avances en Odontoestomatología, vol. 19, n.º 3, págs. 123-130; 2003. Consultado el 6 de enero de 2010. ISSN 0213-1285.
- ↑ MedlinePlus (1 de julio de 2013). «Bruxismo». Consultado el 25 de diciembre de 2014.
- ↑ a b c d Cairo Valcárcel, Eduardo (2010): «¿Rechina usted los dientes mientras duerme?», artículo en español en la Revista Cubana de Psicología, vol. 13, n.º 1, págs. 59-74; 1996. Consultado el 6 de enero de 2010. ISSN 0257-4322.
- ↑ https://clinicaeverest.cl/bruxismo-la-verdad-detras-del-mito-y-como-abordarlo/?srsltid=AfmBOopuGgzxMdba2kolULXgan3Ra8GgSYpuSWJMYpsqBGwo2t6JUWcA
- ↑ Díaz-Serrano, K. V.; Da Silva, C. B.; De Albuquerque, S.; Pereira Saraiva, M. da C.; y Nelson-Filho, P. (2008). «Is there an association between bruxism and intestinal parasitic infestation in children?». Journal Dental Children (Chic) 75 (3): 276-9. PMID 19040814.
- ↑ Santa Cecilia, Tomás (2020). «Bruxismo y su relación con la ansiedad».
- ↑ Propdental (1 de julio de 2013). «Clasificación del bruxismo según momento, intensidad y movimiento». Consultado el 25 de diciembre de 2014.
- ↑ Implantes & Estética Dental. «Bruxismo: prevención, diagnóstico y tratamiento de vanguardia». Consultado el 8 de enero de 2010.
- ↑ a b c DeTurno.com. «Problema Común pero Desconocido». Consultado el 8 de enero de 2010. (enlace roto disponible en Internet Archive; véase el historial, la primera versión y la última).
- ↑ Echeverría García, José Javier; Josep Pumarola Suñé (1994). El manual de odontología. España: Elsevier. p. 485. ISBN 8445802526.
- ↑ a b c d por MedlinePlus (abril de 2008). «Bruxismo». Enciclopedia médica en español. Consultado el 6 de enero de 2010.
- ↑ «Teeth grinding (bruxism) – NHS». nhs.uk (en inglés). 23 de octubre de 2017. Consultado el 27 de diciembre de 2020.
- Marian Gil Rabanaque. «Bruxismo, trastorno del sueño que consiste en apretar y/o rechinar los dientes.». Consultado el 16 de octubre de 2017.
Enlaces externos
- En Epistemoikos hay más información sobre Bruxismo.