Pared gastrointestinal

Es la pared celular que rodea el lumen del tracto gastrointestinal. Está formada por varios tipos de tejidos superpuestos en capas concéntricas. La pared actúa como barrera mecánica, biológica y funcional entre el contenido de la luz del intestino y nuestro medio interno.
Estructura
La pared gastrointestinal está formada por cuatro capas de tejido especializado, que son, yendo del lumen hacia el exterior:
- Mucosa.
- Submucosa.
- Capa muscular.
- Serosa (si el tejido es intraperitoneal) o Adventicia (si el tejido es retroperitoneal) -- estos dos últimos tipos de tejidos difieren ligeramente en forma y función según la parte del tracto gastrointestinal al que pertenecen.
En la mayoría de las partes expuestas de la capa mucosa, el epitelio es glandular con muchas células caliciformes. Estas células producen mucus, el cual lubrica el paso del bolo alimentario y protege al epitelio de la acción de las enzimas digestivas.
En el intestino delgado, las vellosidades (villi) son pliegues de la mucosa que aumentan la superficie de absorción del intestino. Cada vellosidad contiene el conducto lacteal o quilífero central que es una conexión al sistema linfático que ayuda en la extracción de los lípidos y fluidos desde el tejido. Sobre la superficie apical de cada enterocito están presentes las microvellosidades que son micro pliegues de la membrana celular que aumentan aún más la superficie de absorción.
Las numerosas glándulas intestinales son como invaginaciones, (con forma de bolsillo), que están localizadas en el tejido subyacente.
En el intestino grueso, las vellosidades (villi) están ausentes y se observa una superficie plana con miles de orificios de las glándulas.
Subyacente al epitelio está la lámina propia, que contiene miofibroblastos, vasos sanguíneos, nervios, y numerosas células inmunes. La lámina propia también contiene la muscularis mucosae que es una capa de músculo liso que ayuda en la acción del peristaltismo y la catástasis a lo largo del intestino.
La submucosa contiene numerosos nervios incluyendo el plexo submucoso (plexo de Meissner), vasos sanguíneos y fibras elásticas de colágeno, estas fibras aumentan la capacidad y ayudan a mantener la forma del intestino. La capa muscular circundante es la que comprende al músculo liso circular y longitudinal que también ayuda al peristaltismo y al movimiento de material dirigiéndolo a lo largo y hacia fuera del intestino. Entre estas dos capas musculares esta el plexo mientérico (plexo de Auerbach).
Finalmente, esta la serosa/adventicia que está hecha de tejido conectivo y cubierta de mucus con el propósito de impedir cualquier daño por fricción del intestino al frotar contra otro tejido. El mesenterio mantiene todo esto en su sitio dentro de la cavidad abdominal.
Histología

El tracto gastrointestinal, tiene una histología general similar, que presenta algunas diferencias que son reflejo de la especialización de sus sectores.
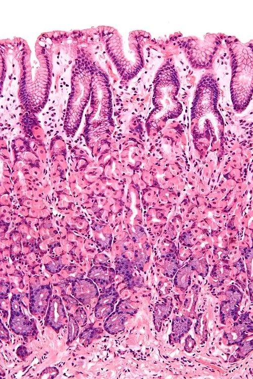
Mucosa

La mucosa es la capa interna del tracto gastrointestinal. Rodea el lumen del tramo, y está en contacto directo con comida digerida (quimo). La mucosa está formada por tres capas:[1]
- El epitelio es la capa más interna. Es donde ocurren la mayoría de los procesos digestivo, absorptivo y secretorio.
- Lámina propia: Es una capa de tejido conectivo dentro de la mucosa. Esta capa es inusualmente celular, en comparación con la mayor parte del tejido conectivo.
- Muscularis mucosae Es una capa delgada de músculo liso.
Epitelio
De tipo variable, según su función y localización.
La mucosa es altamente especializada en cada órgano del tracto gastrointestinal, para hacer frente a las diferentes condiciones. La mayor variación se observa en el epitelio:[1]
- En el esófago, faringe y el canal anal externo, el epitelio es estratificado, escamoso y no queratinizado, para fines de protección.
- En el estómago, el epitelio columnar es simple, y está organizado en fosas gástricas y glándulas para hacer frente a la secreción<[1]
- En el intestino delgado, el epitelio columnar es simple y especializado para la absorción. El epitelio está estructurado en plicas que contienen vellosidades, aumentando de esta forma el área para absorción. Cada célula tiene microvellosidades que forman un borde en cepillo que aumenta en gran medida la superficie disponible para la absorción. El epitelio es columnar simple con microvellosidades. En el íleon en ocasiones hay placas de Peyer en la lámina propia. Las glándulas de Brunner se encuentran en el duodeno, pero no en otras partes del intestino delgado[1]
- En el colon, el epitelio es columnar simple y sin vellosidades. Las células caliciformes, que secretan moco, también están presentes.
- El apéndice tiene una mucosa que se parece a la del colon pero esta infiltrada fuertemente con linfocitos.
La transición entre los tipos diferentes de epitelio ocurre en la unión del esófago y el estómago; del estómago y duodeno, del íleon e intestino ciego, y de la línea péctinea del ano.[1]

Submucosa
La submucosa consta de una capa densa e irregular de tejido conectivo con vasos sanguíneos, linfáticos, y los ramificaciones nerviosas en el espesor de la mucosa y la capa muscular. Contiene el plexo submucoso.[1]
Capa muscular
La capa muscular (también conocida como la muscularis propia[2]) consta de dos capas de músculo, una capa interior y una exterior. El músculo de la capa interior está arreglado en anillos circulares alrededor del tramo, mientras que el músculo de la capa exterior está arreglado longitudinalmente. El estómago tiene una capa muscular extra, que es interior oblicua[1]
Entre las dos capas de músculo está el plexo mientérico o plexo de Auerbach que controla la peristalsis.
La actividad peristaltica es iniciada por las células intersticiales de Cajal. Las células Intersticiales Mientericas de Cajal [ICC-MY] sirven como marcapasos que crean el potencial bioelectrico de onda lenta, que lleva a la contracción del músculo liso.[3]
[4]
Las células intersticiales Intramusculares de Cajal [ICC-IM] están implicadas en la estimulación de células de músculo liso, los neurotransmisores actúan a través de ellas.[5]
El intestino tiene actividad peristáltica intrínseca (ritmo eléctrico basal) debido a su sistema nervioso entérico autónomo. La tasa de contracción puede ser modulada, por el resto del sistema nervioso autónomo.
Las capas no son verdaderamente longitudinales o circulares, en realidad las capas de músculo son helicoidales con diferentes tono muscular. El interior circular es helicoidal con un campo empinado y el exterior longitudinal es helicoidal con un mucho campo más superficial.[cita requerida]
La coordinación de las contracciones de estas capas se denomina peristaltimo lo que impulsa la comida a través del tracto gastrointestinal. La comida se denomina bolo (pelota alimenticia) en el tramo de la boca hasta el estómago. Después de que pasa el estómago, la comida es parcialmente digerida y semilíquida, y es llamada quimo. En el intestino grueso la sustancia semisólida restante se conoce como heces. La capa de músculo circular evita que los alimentos viajen hacia atrás y la capa longitudinal acorta el tracto.
El grosor de la capa muscular varía en cada parte del tracto gastrointestinal:
- En el colon, por ejemplo, la capa muscular es mucho más gruesa porque las heces son grandes y pesadas, y requieren más fuerza para ser empujadas. La capa longitudinal externa del colon se adelgaza en 3 bandas longitudinales discontinuas, conocidas como tenías coli (bandas del colon). Esta es una de las 3 características que ayudan a distinguir entre el intestino grueso y el delgado. [cita requerida]
- De vez en cuando en el intestino grueso habrá contracción masiva de ciertos segmentos, moviéndose una gran cantidad de heces a lo largo de este.
- El píloro en el estómago tiene una porción engrosada de la capa circular interna: el esfínter pilórico. Solo el estómago tiene una tercera capa en la capa muscular. Esta es la capa oblicua interna, y ayuda a batir el quimo en el estómago.
Túnica Adventica
Es la capa más exterior del tracto gastrointestinal consta de varias capas de tejido conectivo y puede ser adventicia o serosa.[1]
Las Regiones Intraperitoneales del tracto gastrointestinal (aquellas partes suspendidas por el peritoneo) está cubiertas con serosa. Esta estructura consta de tejido conectivo cubierto por un epitelio escamosos simple, llamado mesotelio, el cual reduce las fuerzas de fricción durante los movimientos digestivos. En las regiones intraperitoneales se incluyen la mayoría del estómago, la primera porción del duodeno, todo del intestino delgado, intestino ciego y apéndice, Colon transverso, recto y colon sigmoide. En estas secciones del intestino allí es clara la frontera entre la víscera y el tejido circundante. Estas partes del tracto tienen mesenterio.
Las Regiones retroperitoneales del tracto gastrointestinal (aquellas partes que están firmemente sujetas a las estructuras circundantes por fibras de tejido conectivo) están cubiertas con adventicia. Se mezclan en el tejido circundante y se fijan en la posición (por ejemplo, la sección retroperitoneal del duodeno por lo general pasa a través del plano transpilorico ). Las regiones retroperitoneales incluyen la cavidad oral, esófago, píloro, duodeno distal, colon ascendente, colon descendente y el canal anal.
Importancia clínica
La pared gastrointestinal presenta alteraciones funcionales y anatómicas:
- Enfermedad inflamatoria intestinal: Afecta las capas del tracto gastrointestinal de formas diferentes.
- Colitis ulcerosa, implica la mucosa colónica.
- Enfermedad de Crohn: la enfermedad puede producir inflamación en todas las capas en cualquier parte del tramo gastrointestinal y así que puede resultar en fístulas transmural. Un perforación de la úlcera es una erosión a través de las capas del tramo gastrointestinal .
- Se utiliza en la estatificación de la extensión del tumor a través de las capas de la pared gastrointestinal. Esto se asocia con el pronóstico.
Véase también
Galería
-
Organización general de tramo gastro intestinal -
La pared del estómago. -
Esquema del estómago, colon y recto.
Referencias
- ↑ a b c d e f g h Young, Barbara; Woodford; O´Dowd (2009). «Cap.14». Wheater's functional histology : a text and colour atlas (6ª edición). [Edinburgh]: Churchill Livingstone/Elsevier. pp. 251-286.
- ↑ «Oral: Four layers of the G.I. tract (En inglés)». The Histology Guide. University of Leeds. Consultado el 4 de enero de 2014.
- ↑ Hennig GW, Spencer NJ, Jokela-Willis S, Bayguinov PO, Lee HT, Ritchie LA, Ward SM, Smith TK, Sanders KM (mayo de 2010). «ICC-MY coordinate smooth muscle electrical and mechanical activity in the murine small intestine». Neurogastroenterol. Motil. 22 (5): e138-51. PMC 2856807. PMID 20059699. doi:10.1111/j.1365-2982.2009.01448.x.
- ↑ Sanders K, Koh S, Ward S (2006). «Interstitial cells of cajal as pacemakers in the gastrointestinal tract». Annu Rev Physiol 68: 307-343. PMID 16460275. doi:10.1146/annurev.physiol.68.040504.094718.
- ↑ Kito Y (2011). «The functional role of intramuscular interstitial cells of Cajal in the stomach». J Smooth Muscle Res 47 (2): 47-53. PMID 21757854. doi:10.1540/jsmr.47.47.