Enfermedad inflamatoria intestinal

Enfermedad inflamatoria intestinal

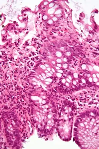
Micrografía que muestra inflamación del intestino grueso en un caso de enfermedad inflamatoria intestinal. Biopsia colonica. Tinción hematoxilina-eosina.
Especialidad Gastroenterología
Diagnóstico diferencial Síndrome del intestino irritable, enfermedad celíaca, gastroenteritis

La denominación enfermedad inflamatoria intestinal, que se abrevia frecuentemente como EII, se emplea para referirse a una serie de problemas que afectan predominantemente al intestino, y que se caracterizan porque producen una inflamación crónica de origen autoinmune, que no tiende a la curación. Agrupa varias enfermedades, pero sobre todo la enfermedad de Crohn y la colitis ulcerosa.[1][2][3]​ Además, algunas personas en las que no está claro si padecen una u otra de estas dos, se las diagnostica de colitis indeterminada. Dentro de la enfermedad inflamatoria intestinal, otros autores incluyen otras enfermedades diferentes, pero son estas tres las que habitualmente se consideran realmente como parte de este grupo.

Historia

Tanto la enfermedad de Crohn como la colitis ulcerosa se reconocieron de manera relativamente reciente, respectivamente en el siglo XIX y primer tercio del XX. El concepto de enfermedad inflamatoria intestinal se emplea desde los años 1940, ya que ambas enfermedades se parecen en sus síntomas y se tratan de una manera parecida. El primero que describió la enfermedad como tal fue el gastroenterólogo de EE. UU. Burrill Bernard Crohn (1884-1983), en 1932.

Causas

Es desconocida, pero tanto en una como en otra, el pensamiento médico es que se trata de cuadros en los que un desencadenante desconocido (posiblemente un agente infeccioso o un antígeno de la alimentación) provoca una respuesta inflamatoria desordenada que termina atacando al propio intestino. Esto no ocurriría en todas las personas, sino en aquellas más predispuestas a ello. Intentar encontrar las causas que expliquen el origen de las diferentes variantes de la EII ha sido (y es) el objetivo del trabajo de muchos científicos durante muchos años. No hay una sola causa que explique el origen de estas enfermedades.

Se ha sugerido la existencia de un componente genético por la presencia de mayor riesgo en los familiares de primer grado de pacientes con enteropatía inflamatoria. Otros posibles factores patogénicos son los anticuerpos anticitoplasma de neutrófilos séricos en el 70 % de los pacientes con colitis ulcerosa. Los brotes agudos pueden ser desencadenados por infecciones, antiinflamatorios no esteroideos y estrés. En conclusión, no hay una sola causa que produzca cualquiera de las variantes de EII. Estas enfermedades aparecen en individuos genéticamente predispuestos en los que la conjunción de factores ambientales exteriores y las bacterias intestinales producen una respuesta inflamatoria intestinal anómala que se perpetúa en el tiempo, produciendo la enfermedad.

Síntomas

Cada uno de los tipos de enfermedad inflamatoria intestinal tiene unos síntomas específicos, que se pueden consultar en las entradas correspondientes, pero para ambas son comunes la diarrea, pérdida de peso, debilidad y la afectación del estado general.

En la enfermedad de Crohn, las manifestaciones más frecuentes son las intestinales, y dependen de la localización y de las complicaciones: dolor, diarreas con o sin moco y sangre, a veces estreñimiento, fisuras y úlceras, cansancio, falta de apetito, fiebre, pérdida de peso y vientre hinchado.

En la colitis ulcerosa, los síntomas más frecuentes son: diarreas, con moco y sangre, fiebre, dolor de vientre, pérdida de peso, debilidad. A veces hay estreñimiento. También dolores articulares, piedras en el riñón o vesícula, manchas en la piel e inflamación en los ojos.

Diferencias entre enfermedad de Crohn y colitis ulcerosa

[4] Enfermedad de Crohn Colitis ulcerosa
Rectorragia +/- +++
Masa abdominal +++ -
Dolor Abdominal +++ +
Pérdida de peso ++ +
Fiebre + +
Fístulas Frecuente Infrecuente
Abscesos Frecuente Raros
Afectación perianal Frecuente Inusual
Estenosis Frecuente Infrecuente

Diagnóstico

En general, se puede decir que en su diagnóstico, lo más importante son los síntomas que el paciente refiere. En función de ellos, el médico solicitará una serie de pruebas que suelen incluir análisis de heces y de sangre, algún tipo de radiografía o prueba de imagen (tomografía, resonancia magnética) y endoscopia.

Diagnóstico diferencial

Las principales enfermedades con las que se realiza el diagnóstico diferencial de la enfermedad de Crohn incluyen la colitis ulcerosa, la enfermedad celíaca, la tuberculosis intestinal, la enfermedad de Behçet, la enteropatía causada por la toma de antiinflamatorios no esteroideos y el síndrome del intestino irritable.[5]

El diagnóstico diferencial de la colitis ulcerosa incluye, principalmente, la enfermedad de Crohn, la colitis infecciosa, la tuberculosis intestinal, el cáncer de colon, el síndrome del intestino irritable, la enteropatía causada por la toma de antiinflamatorios no esteroideos y la esquistosomiasis.[5]

El síndrome del intestino irritable se excluye cuando hay cambios inflamatorios.[5]​ La enfermedad celíaca no puede excluirse con una analítica de sangre ni por la ausencia de atrofia de las vellosidades del intestino delgado. La mayoría de los celíacos antes del diagnóstico presentan anticuerpos de la enfermedad celíaca negativos y lesiones intestinales leves o moderadas, sin atrofia vellositaria.[6][7][8][9]

Tratamiento

Una y otra tienen un tratamiento farmacológico, pero en ambas es importante el apoyo personal, social y familiar al paciente, así como una alimentación adecuada. No existen, desgraciadamente, dietas ni remedios milagrosos, y no hay nadie que hoy por hoy pueda hablar seriamente de que estas enfermedades sean curables. Aquellas personas que están tomando altas dosis de medicamentos que deprimen el sistema inmunitario, como los corticoides e inmunomoduladores, deben ser conscientes de algunos problemas potenciales. Aquellas personas que están siendo tratadas con inmunomoduladores deberían evitar aquellas vacunas fabricadas a partir de virus vivos y muertos.[cita requerida] Cuando se administra una vacuna, esta estimula la producción de anticuerpos por parte del sistema inmunitario.

Las modificaciones en la dieta pueden tener un efecto beneficioso sobre los síntomas de la enfermedad, si bien hasta la fecha no se han realizado suficientes estudios y no se ha demostrado que consigan eliminar la inflamación intestinal. Las dos dietas que han demostrado mayor eficacia son la dieta sin gluten y la dieta baja en FODMAP, en combinación con el tratamiento farmacológico. En personas con malabsorción grave y marcada pérdida de peso, la suplementación mediante nutrición enteral puede ser beneficiosa.[10]

Referencias

  1. Baumgart DC, Carding SR (2007). «Inflammatory bowel disease: cause and immunobiology». The Lancet 369 (9573): 1627-40. PMID 17499605. doi:10.1016/S0140-6736(07)60750-8. 
  2. Baumgart DC, Sandborn WJ (2007). «Inflammatory bowel disease: clinical aspects and established and evolving therapies». The Lancet 369 (9573): 1641-57. PMID 17499606. doi:10.1016/S0140-6736(07)60751-X. 
  3. Xavier RJ, Podolsky DK (2007). «Unravelling the pathogenesis of inflammatory bowel disease». Nature 448 (7152): 427-34. PMID 17653185. doi:10.1038/nature06005. 
  4. Argüelles Arias, Federico; Castro Laria, Mª Luisa; Herrerias Gutiérrez, Juan Manuel. Estado actual de la Enfermedad Inflamatoria Intestinal y de su tratamiento. Sulime Diseño de Soluciones. ISBN 84-690-2370-5. 
  5. a b c World Gastroenterology Organization, ed. (August 2015). «Inflammatory Bowel Disease». Consultado el 13 de marzo de 2016. 
  6. Lewis NR, Scott BB (1 de julio de 2006). «Systematic review: the use of serology to exclude or diagnose coeliac disease (a comparison of the endomysial and tissue transglutaminase antibody tests)». Aliment Pharmacol Ther (Revisión) 24 (1): 47-54. PMID 16803602. doi:10.1111/j.1365-2036.2006.02967.x. «Both the endomysial antibody and tissue transglutaminase antibody have very high sensitivities (93% for both) and specificities (>99% and >98% respectively) for the diagnosis of typical coeliac disease with villous atrophy. (...) As the detection of at least partial villous atrophy was used to make a diagnosis of coeliac disease in the vast majority of studies, we can't assume that the same LRs apply to coeliac patients with lesser abnormality such as an increase in intraepithelial lymphocytes or electron-microscopic changes only. In fact, if such lesser abnormalities were used as criteria for diagnosing (and excluding) coeliac disease, the sensitivity of the tests could be lower (i.e. more false negatives), especially since a number of studies suggest that the EMA and tTG antibody tests are less sensitive with lesser degrees of mucosal abnormality». 
  7. Rodrigo L, Garrote JA, Vivas S (6 de septiembre de 2008). «Celiac disease». Med Clin (Barc) (Revisión) 131 (7): 264-70. PMID 18775218. doi:10.1016/S0025-7753(08)72247-4. «Estos marcadores presentan en general una elevada sensibilidad y especificidad (cercanas al 90 %) en presencia de atrofia marcada de las vellosidades intestinales. Sin embargo, muestran una notable disminución de la sensibilidad (del orden del 40-50 %) en casos con atrofia vellositaria leve o cambios mínimos». 
  8. Rostami Nejad M, Hogg-Kollars S, Ishaq S, Rostami K (2011). «Subclinical celiac disease and gluten sensitivity». Gastroenterol Hepatol Bed Bench (Revisión) 4 (3): 102-8. PMC 4017418. PMID 24834166. 
  9. Bold J, Rostami K (2011). «Gluten tolerance; potential challenges in treatment strategies». Gastroenterol Hepatol Bed Bench (Revisión) 4 (2): 53-7. PMC 4017406. PMID 24834157. 
  10. Hwang C, Ross V, Mahadevan U (abril de 2014). «Popular exclusionary diets for inflammatory bowel disease: the search for a dietary culprit». Inflamm Bowel Dis (Revisión) 20 (4): 732-41. PMID 24562173. doi:10.1097/01.MIB.0000438427.48726.b0. 

Enlaces externos