Neumoencefalografía

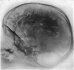
Una neumoencefalografía (a veces abreviada como PEG) era un procedimiento médico en el cual la mayor parte del fluido cerebroespinal es drenado de la cavidad craneana y reemplazado con aire, oxígeno o helio para permitir que las imágenes de rayos X muestren una mayor definición. Este procedimiento se deriva de la ventriculografía, un método más temprano y primitivo en el cual el aire era inyectado directamente a través de orificios practicados en el cráneo.
El procedimiento fue introducido en 1919 por el neurocirujano norteamericano Walter Dandy.[1]
La neumoencefalografía fue un procedimiento ampliamente ejecutado durante los primeros años del siglo XX, pero resultaba extremadamente doloroso; al punto que la mayor parte de los pacientes no lo toleraba. Como efectos secundarios frecuentes se presentaban migrañas y vómitos, además de que requería una larga recuperación de entre 2 y 3 meses hasta que el volumen normal de líquido fuera restablecido. Un vídeo del procedimiento se encuentra documentado en un documental de la BBC acerca de una instalación temprana de EMI.[2]
Las técnicas modernas de generación de bioimágenes tales como la RMN y la tomografía computada han tornado obsoleta a la neumoencefalografía.[3] Al día de hoy, la neumoencefalografía se encuentra limitada al campo de la investigación y se utiliza en muy raras circunstancias. Un procedimiento relacionado es la neumomielografía, donde se utiliza gas en forma similar para investigar el canal espinal.
La neumoencefalografía aparece en la cultura popular en la película de 1973 El exorcista, cuando el personaje de Regan MacNeil (Linda Blair) es sometida al procedimiento. También se hace una referencia al mismo en el séptimo episodio de la séptima temporada de House M. D. como un ejemplo de un procedimiento extremadamente peligroso.
Referencias
- ↑ «Walter Dandy». Walter Dandy. Society of Neurological Surgeons. Archivado desde el original el 25 de julio de 2011. Consultado el 28 de abril de 2011.
- ↑ Vídeo en YouTube demostrando el procedimiento.
- ↑ Greenberg, Mark (2010). Handbook of Neurosurgery. Thieme.