Mastocito
| Mastocito | ||
|---|---|---|
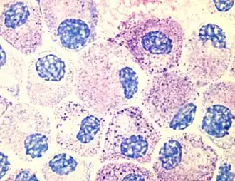
![]() Imagen tomada con un microscopio óptico, en la que se observan mastocitos teñidos con azul de toluidina. | ||
![]() Diagrama de un mastocito. | ||
| Nombre y clasificación | ||
| Latín | Mastocytus | |
| TH | H2.00.03.0.01010 | |
| TH | H2.00.03.0.01010 | |
|
| ||
Los mastocitos o células cebadas son células pertenecientes al sistema inmunitario originadas por células hematopoyéticas. Se originan en las células madre de la médula ósea. Se encuentran en la mayoría de los tejidos del cuerpo. Son conocidos por su relación con la alergia, la anafilaxis, la artritis, la aterosclerosis y el cáncer, sin embargo, su función fisiológica es notable en la defensa contra bacterias, parásitos y venenos.[1][2][3]
Los mastocitos sintetizan y almacenan diversas sustancias: monoaminas bioactivas (histamina, serotonina, dopamina), algunas citocinas (como el factor de necrosis tumoral), proteoglucanos con glucosaminoglucanos tales como la heparina o el condroitinsulfato, entre otros elementos.[3]
Origen
Los mastocitos se originan en la médula ósea a partir de precursores mieloides CD34+ y CD117+ El basófilo sale de la medula ósea en estado maduro, mientras que los mastocitos circulan en forma inmadura. Los mastocitos comparten una única célula progenitora junto con los basófilos, la célula progenitora de basófilos/mastocitos, que a su vez proviene directamente de la célula progenitora mieloide. La formación del mastocito requiere la expresión por parte de la célula progenitora de un factor de transcripción conocido como proteína alfa de unión a CCAAT/Amplificador. Si la célula progenitora no lo expresa, la célula queda predestinada a diferenciarse en basófilo.[cita requerida]
Morfología
Presentan un núcleo central de tamaño medio, con la cromatina desespiralizada. En microscopía óptica solo se pueden distinguir en el citoplasma unos gránulos de gran tamaño, rodeados de membrana y visibles con la técnica del PAS+. Estos gránulos tienen la propiedad de ser metacromáticos, es decir, tienen la capacidad de cambiar el color del colorante con el que son teñidos. Por ejemplo, al utilizar la tinción azul de toluidina, con el cual se puede apreciar que los gránulos se tiñen de púrpura . Lo mismo pasa con colorantes como el Giemsa y el azul de metileno.
Mediante microscopía electrónica puede observarse en el citoplasma unos pequeños vestigios de aparato de Golgi y de retículo endoplasmático rugoso (RER), no muy desarrollados. Sin embargo, esto no impide que estas células lleven a cabo una gran labor de síntesis. No obstante, es muy difícil diferenciar los gránulos de las vesículas de RER y Golgi. El contenido de los gránulos es muy denso, llegando en ocasiones a formar agregados o incluso una especie de laminillas. Su citoplasma es acidófilo con abundantes gránulos metacromáticos al azul de toluidina.
Localización
Los mastocitos se encuentran en cantidades importantes en la piel, en las mucosas del tracto digestivo y en las vías aéreas.
Fisiología

Los mastocitos son células que sintetizan y almacenan histaminas y que se encuentran en la mayoría de los tejidos del cuerpo, particularmente por debajo de las superficies epiteliales, cavidades serosas y alrededor de los vasos sanguíneos. En una respuesta alérgica, un alérgeno estimula la liberación de anticuerpos con una determinada especificidad (contra ese antígeno), los cuales se unen a la superficie de los mastocitos.
Un mastocito es una célula de tejido conectivo que contiene gránulos ricos en histamina y heparina. Los mastocitos desempeñan un papel importante en la protección del organismo ya que están implicados en la comunicación intercelular como la curación de las heridas y en la defensa contra los patógenos como parásitos helmintos, y desempeñan un importante rol en el proceso de las alergias y la anafilaxis.[4]
Presentan todos sus receptores RcEI de IgE ocupados por anticuerpos con epitopes para distintos antígenos, cuando los antígenos se unen a las porciones variables de la IgE que está adherida al receptor en el mastocito, se produce un entrecruzamiento que permite a la célula liberar de golpe todo su contenido endócrino provocando el conocido choque anafiláctico.
La unión del antígeno a la IgE no induce la desgranulación del mastocito, sino que es el entrecruzamiento de sus receptores.
Los mastocitos también contienen serotonina.
Composición de los gránulos
En los gránulos de los mastocitos hay niveles muy elevados de histamina y heparina (importantes influyentes en las reacciones de la inflamación). La heparina es una sustancia con gran acción anticoagulante, mientras que la histamina tiene acción vasodilatadora y, además, aumenta la permeabilidad vascular.
Tumores relacionados con los mastocitos
La mastocitosis es una enfermedad rara que se caracteriza por la proliferación de mastocitos. Existen dos formas:
- Cutánea: involucra sólo a la piel.
- Sistémica: compromete múltiples órganos.
Esto sucede porque los mastocitos, para fagocitar compuestos de gran tamaño (incluido astillas), sufren una endomitosis, que provoca la división del núcleo sin la división del citoplasma, creando mastocitos demasiado grandes.
Véase también
Bibliografía
- Ross, Michael H.; Pawlina, Wojciech (2007). Histología. Texto y Atlas Color con Biología Celular y Molecular. (Incluye Cd-Rom)5aed. Ed. Médica Panamericana. ISBN 9789500604352. Consultado el 11 de septiembre de 2017.
Referencias
- ↑ Agier, Justyna; Pastwińska, Joanna; Brzezińska-Błaszczyk, Ewa (junio de 2018). «An overview of mast cell pattern recognition receptors» [Una visión panorámica de los receptores reconocedores de patrones de los mastocitos]. Inflamm Res (en inglés) 67 (9): 737-746. PMID 29909493. doi:10.1007/s00011-018-1164-5. Consultado el 2 de noviembre de 2018.
- ↑ Komi, Daniel Elieh Ali; Rambasek, Todd; Wöhrl, Stefan (julio de 2017). «Mastocytosis: from a Molecular Point of View» [Mastocitosis: desde un punto de vista molecular]. Clin Rev Allergy Immunol (en inglés) 54 (3): 397-411. PMID 28725969. doi:10.1007/s12016-017-8619-2. Consultado el 2 de noviembre de 2018.
- ↑ a b Rönnberg, Elin; Melo, Fabio R.; Pejler, Gunnar (diciembre de 2012). «Mast Cell Proteoglycans» [Proteoglicanos de los mastocitos]. J Histochem Cytochem (en inglés) (The Histochemical Society) 60 (12): 950-962. PMID 22899859. doi:10.1369/0022155412458927. Consultado el 2 de noviembre de 2018.
- ↑ Ramos-Jiménez J.; Garduño-Torres B.; Arias-Montaño J.A. (2009). «Histamina y comunicación intercelular: 99 años de historia». Rev Biomed (Revisión) 20: 100-126.

