Giro temporal superior
| Giro temporal superior | ||
|---|---|---|
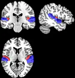
![]() Hemisferio cerebral izquierdo: localización del giro temporal superior. | ||
| Latín | [TA]: gyrus temporalis superior | |
| TA | A14.1.09.138 | |
| Es parte de | Lóbulo temporal | |
| Sistema | Nervioso Central | |
| Sinónimos | ||
primera circunvolución temporal (T1) | ||
El giro temporal superior es una circunvolución del cerebro. Es la primera circunvolución del lóbulo temporal también llamada T1 abreviadamente. Constituye el labio inferior de la cisura de Silvio y se continúa hacia atrás con el giro supramarginal.[1] Contiene la corteza auditiva y su lesión determina el trastorno llamado afasia de Wernicke.
Historia
El psiquiatra Wernicke en 1874, asoció el tercio posterior del giro temporal superior izquierdo con la comprensión del lenguaje oral; describió lo que más tarde se denominaría afasia sensorial.
Para Luria en 1977 existían
centros, organizados en "sistemas de zonas"
que trabajaban armónicamente, cada una ejerciendo un papel dentro del sistema funcional complejo, situadas en áreas diferentes y distantes.
[2]
[3]
Anatomía
El lóbulo temporal superior presenta una porción silviana y otra lateral extra-silviana.[4][5]
La porción intra-silviana corresponde a la superficie del plano temporal superior.

Allí se encuentran los giros temporales transversos anterior y posterior (o de Heschl), que solamente en uno a dos tercios del sector medial de estos giros, albergan la corteza auditiva primaria y que se corresponden con las áreas 41 y 42 de Brodmann.

La porción extra-silviana lateral del giro temporal superior, en sus dos tercios laterales y caudales alberga el área 22, conocida como área de Wernicke.
Función
El desarrollo de técnicas de neuroimagen, en especial la RMN funcional, permite el estudio de los cambios fisiológicos, durante la ejecución de una tarea en el sujeto sano.[3]

La corteza auditiva no es un área unitaria, está compuesta de varias áreas estructurales con diferente papel en la decodificación del sonido.[4]
En la circunvolución temporal superior se localiza la corteza auditiva primaria llamada A1. Corresponde aproximadamente a las antiguas áreas de Brodmann 41 y 42.
Las unidades básicas de organización en la corteza auditiva, son las neuronas, las columnas corticales y las redes neuronales.[4]
Pertenece a la corteza de asociación, específicamente auditiva,
Presenta una organización tonotópica con la frecuencia baja en una distribución
anterior.
Aquí se realiza la secuenciación y segmentación de los fonemas y su coherencia.[6]
Referencias
- ↑ Diccionario Enciclopédico Ilustrado de Medicina Dorland. 1996. McGraw-Hill - Interamericana de España. Vol. 2. ISBN 84-7615-984-6.
- ↑ García. Las funciones corticales superiores del hombre AR Luria - 1977 - sidalc.net. redalyc.
- ↑ a b Cabrales Paffen, Amelia (2015). «Neuropsicología y la localización de las funciones cerebrales superiores en estudios de resonancia magnética funcional con tareas». Acta Neurológica Colombiana (Revisión) 31 (1): 92-100.
- ↑ a b c Bernard J. Baars y Nicole M. Gage, ed. (2013,). «7 -Sound, speech, and music perception». Fundamentals of Cognitive Neuroscience A Beginner's Guide. Academic Press. pp. 175-209.
- ↑ Latarjet; Ruiz-Liard (2004). «cap.24 Encéfalo». Anatomía humana. Panamericana. p. 172.
- ↑ Peña-Casanova, J (2007). Neurología de la conducta y neuropsicología. Panamericana.
