Epididimitis
| Epididimitis | ||
|---|---|---|
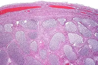
![]() Epididimitis aguda con abundante exudado fibrinopurulento en los túbulos. | ||
| Especialidad | urología | |
| Síntomas | Dolor en la parte posterior del testículo, hinchazón del testículo, ardor al orinar, micción frecuente[1] | |
| Tipos | Agudo (menos de 6 semanas), Crónico (más de 12 semanas) | |
| Diagnóstico diferencial | Torsión testicular, hernia inguinal, cáncer testicular, orquitis | |
Epididimitis es un término médico que se refiere a una inflamación del epidídimo, la estructura tubular detrás del testículo donde maduran los espermatozoides y que conecta el testículo con los conductos deferentes.[1] Es un trastorno que resulta doloroso en varios grados y se suele acompañar con un enrojecimiento e hinchazón del escroto. La epididimitis es una de las causas más frecuentes de escroto agudo aunque rara vez puede ser una enfermedad crónica. Si el diagnóstico no se logra con la historia médica del paciente y su examen físico, un ultrasonido Doppler puede confirmar el aumento del flujo sanguíneo característico de un epidídimo inflamado.
Etiología


2: Cabeza del epidídimo
3: Lóbulos del epidídimo
4: Cuerpo del epidídimo
5: Cola del epidídimo
6: Conducto del epididimo
7: Conducto deferente.
La causa más frecuente de epididimitis es infecciosa. En hombres que son sexualmente activos, el organismo más común es la Chlamydia trachomatis, aunque también se ve con frecuencia infecciones por E. coli y Neisseria gonorrhoeae. En niños, por lo general suele haber una previa infección, por lo general viral o una asociación a anormalidades del sistema urinario. Antes de la pubertad el E. coli es el agente más común, así como en la tercera edad. La epididimitis puede ser difícil de distinguir de una torsión testicular y a menudo suelen ser enfermedades concomitantes. También pueden aparecer epididimitis de causas no infecciosas, incluyendo posquirúrgicos como la vasectomía, actividad física extenuante, etc.[2][3] La epididimitis química suele ser consecuencia de fármacos como la amiodarona.[4]
Diagnóstico
La epididimitis puede ser difícil de distinguir de la torsión testicular. A veces, ambas circunstancias pueden ocurrir simultáneamente. Varias pruebas son necesarias para distinguir una situación crónica de epididimitis de una serie de condiciones clínicas que pueden causar dolor constante a nivel de la bolsa escrotal. Estas enfermedades son: cáncer de testículo, la inflamación de los nervios y los músculos puede causar o contribuir a la epididimitis crónica. Como último recurso, puede utilizarse la cirugía exploratoria.
Tratamiento
Tanto en la forma aguda como en la crónica, los antibióticos se utilizan si se sospecha una infección. El tratamiento de elección a menudo es la azitromicina y la cefixima para cubrir tanto la gonorrea como la clamidia. Las fluoquinolonas ya no se recomiendan debido a la resistencia generalizada de las gonorreas. La doxiciclina puede usarse como una alternativa a la azitromicina. En la epididimitis crónica, se puede prescribir un curso de antibióticos de cuatro a seis semanas para asegurar la erradicación completa de cualquier posible causa bacteriana, especialmente las diversas clamidias.
Para casos causados por organismos entéricos (como E. coli), se recomienda ofloxacina o levofloxacina.
En los niños, es mejor evitar las fluoroquinolonas y la doxiciclina. Dado que las bacterias que causan infecciones del tracto urinario a menudo son la causa de la epididimitis en los niños. Es más adecuado en estos casos el uso de cotrimoxazol, o algún derivado de las penicilinas (como por ejemplo, cefalexina).
Los remedios caseros como la elevación del escroto y las compresas frías aplicadas regularmente al escroto pueden aliviar el dolor en los casos agudos. Los analgésicos o medicamentos antiinflamatorios a menudo se usan para el tratamiento de formas tanto crónicas como agudas. La hospitalización está indicada para casos graves, y los controles pueden asegurar que la infección se haya curado. La extirpación quirúrgica del epidídimo rara vez es necesaria, causa esterilidad y solo alivia el dolor en aproximadamente el 50% de los casos. Sin embargo, en la epididimitis supurativa aguda (epididimitis aguda con una secreción de pus), puede ser recomendable la epididimotomía. En casos refractarios, puede requerirse una epididimectomía completa. En casos con dolor testicular incurable, la eliminación de todo el testículo o orquiectomía también puede estar justificada.
En general, se cree que la mayoría de los casos de epididimitis crónica eventualmente se "eliminarán" en el sistema del paciente si no se trata, aunque esto puede llevar años o incluso décadas.[5] Sin embargo, algunos medicamentos relacionados con la curación de la próstata han demostrado ser efectivos en el tratamiento de la epididimitis crónica, incluyendo doxazosina.[6]
Consecuencias
El proceso inflamatorio involucrado y la subsecuente reparación del epitelio, los túbulos y el estroma del epidídimo, son una causa de infertilidad humana por factor masculino.
La infección y la inflamación del epidídimo están involucradas en 13-15% de los casos de infertilidad masculina.[7]
Referencias
- ↑ por MedlinePlus (agosto de 2008). «Epididimitis». Enciclopedia médica en español. Consultado el 20 de enero de 2008.
- ↑ Schwingl PJ, Guess HA (2000). «Safety and effectiveness of vasectomy». Fertil. Steril. 73 (5): 923-36. PMID 10785217. doi:10.1016/S0015-0282(00)00482-9.
- ↑ Raspa RF (1993). «Complications of vasectomy». American family physician 48 (7): 1264-8. PMID 8237740.
- ↑ Ibsen HH, Frandsen F, Brandrup F, Møller M (agosto de 1989). «Epididymitis caused by treatment with amiodarone». Genitourin Med 65 (4): 257-8. PMC 1194364. PMID 2807285.
- ↑ Enfermedades del riñón y tracto urinario https://books.google.com/?id=hghs1uI2rg8C&pg=PA645%7Cisbn=978-0-7817-9307-0
- ↑ La medicina herbal china puede ser tonificante para el riñón y para la expulsión de la humedad combinada con doxazosina para el tratamiento de la epididimitis crónica / http://www.druglib.com/abstract/zh/zhou-yc_zhonghua-nan-ke-xue_20101200.html https://web.archive.org/web/20130731160440 / http://www.druglib.com/abstract/zh/zhou-yc_zhonghua-nan-ke-xue_20101200.html
- ↑ Zhao H.; Yu. C.; He C.; Mei C.; Liao A.; Huang D. (2020). «The Immune Characteristics of the Epididymis and the Immune Pathway of the Epididymitis Caused by Different Pathogens.». Front. Immunol. doi:10.3389/fimmu.2020.02115. Consultado el 8 de enero de 2022.
Enlaces externos
- Galejs LE (febrero de 1999). «Diagnosis and treatment of the acute scrotum». Am Fam Physician 59 (4): 817-24. PMID 10068706. Archivado desde el original el 6 de junio de 2011. Consultado el 20 de enero de 2009.
- Nickel JC (2003). «Chronic epididymitis: a practical approach to understanding and managing a difficult urologic enigma». Rev Urol 5 (4): 209-15. PMC 1553215. PMID 16985840.
