Empiema pleural
| Empiema pleural | ||
|---|---|---|
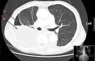
![]() TAC de tórax en el que se aprecia un hidro-neumotórax derecho por empiema pleural. Flechas A: aire, B: fluido | ||
| Especialidad |
neumología cirugía torácica | |
| Síntomas | Fiebre, dolor de pecho al inhalar, tos, dificultad para respirar. | |
| Causas | Bacterias (a menudo, neumonía por estreptococos) | |
| Diagnóstico | Radiografía de tórax, ultrasonido, tomografía computarizada, toracocentesis | |
| Diagnóstico diferencial | Neumonía , derrame pleural , embolismo pulmonar | |
| Tratamiento | Antibióticos , cirugía, drenaje torácico | |
| Sinónimos | ||
|
Derrame pleural purulento Empiema torácico Piotórax | ||
El empiema pleural es la acumulación de pus en la cavidad pleural -espacio entre la pleura visceral y la pleura parietal- o espacio pleural. Es un tipo específico y frecuente de empiema (acumulación de pus en una cavidad orgánica).[1]
Causas
El empiema pleural está causado por una infección (neumonía) que se disemina desde el pulmón y que lleva a una acumulación de pus en el espacio pleural. El líquido infectado se acumula, ejerciendo una presión en los pulmones que origina dolor y dificultad para respirar.
Otras causas pulmonares son ruptura de absceso pulmonar, bronquiectasias, infarto pulmonar, neumotórax espontáneo con fístula broncopleural persistente, quiste hidatídico y tuberculosis pulmonar.[1][2]
Factores de riesgo
Los factores de riesgo del empiema pleural son enfermedades pulmonares recientes que incluyen neumonía bacteriana, absceso pulmonar, cirugía torácica, traumatismo o lesión del tórax y, rara vez, por la introducción de una aguja a través de la pared torácica para drenar el líquido del espacio pleural (toracocentesis). El empiema pleural puede originar tos vómica.
Otros factores de riesgo son diabetes mellitus, uso crónico de esteroides, inmunosupresión, reflujo gastroesofágico, historia de broncoaspiración, historia de tabaquismo o alcoholismo.[3]
Patogenia
En su desarrollo hay 3 fases: exudativa, fibrinopurulenta y organizativa.
- En la exudativa se acumula un líquido pleural estéril relacionado con el aumento de la permeabilidad capilar debido a la liberación de diferentes citocinas. El líquido muestra glucosa mayor de 60 mg/dl, pH mayor de 7,20 y puede resolverse con antibióticos.
- En la fase fibrinopurulenta la invasión bacteriana del espacio pleural induce un daño endotelial, que conlleva a la disminución de la respuesta fibrinolítica y el depósito de fibrina en ambas superficies pleurales, con posibilidades de loculación. El líquido pleural contiene gran cantidad de polimorfonucleares, bacterias y detritus celulares cuyo incremento de actividad metabólica local puede justificar la caída del pH y la glucosa y el incremento de los valores de LDH.
- En la fase organizativa aparecen diversos factores de crecimiento, entre ellos el de los fibroblastos, factor de crecimiento derivado de las plaquetas y el factor de crecimiento transformante beta, estableciendo la fase final con depósito de fibrina y más tarde, tejido fibroso de colágeno. Estas tres fases suelen hacerlo de forma secuencial y progresiva. Aunque el tratamiento de estos pacientes debe ser temprano, el 50% no desarrolla la proliferación del colágeno incluso 3 semanas después de iniciado el proceso, por lo que el tubo de drenaje, los fibrinolíticos y la toracoscopia videoasistida pueden a veces ser efectivos en fases tardías.
Cuadro clínico
La presentación clínica de un paciente con derrame paraneumónico y/o empiema por gérmenes aerobios es la misma que la de los pacientes con neumonía bacteriana sin derrame (fiebre, taquipnea, dolor torácico, expectoración y leucocitosis). Hay que sospechar la presencia de derrame paraneumónico si la fiebre persiste por más de 48 horas después de iniciar el tratamiento antibiótico de una neumonía, pero desde luego el diagnóstico de derrame paraneumónico se debería establecer en el momento de evaluación inicial del paciente.
También es conveniente recordar que es más probable que una neumonía tenga un derrame pleural asociado cuanto mayor sea la duración previa de los síntomas.
Si la cantidad de líquido es muy importante, puede aparecer disnea de esfuerzo o reposo y signos de dificultad respiratoria.[4]
Diagnóstico
El diagnóstico se confirma mediante toracocentesis, al aspirar el pus acumulado en el espacio pleural y analizarlo en el laboratorio de microbiología. También mediante una Rx de tórax, ecografía, TAC, análisis de líquido pleural.[5]
Tratamiento
El tratamiento definitivo para el empiema pleural implica el drenaje del líquido pleural infectado o pus, mediante la inserción de un tubo pleural, con la ayuda guiada de ultrasonido. Se administra antibióticos intravenosos para su tratamiento.
La acción terapéutica se dirige de forma simultánea al control de la infección mediante el tratamiento antibiótico y valoración de la indicación de drenaje torácico por toracostomia. La elección del tratamiento antibiótico en el empiema debe realizarse con el objetivo de proporcionar la mejor actividad antimicrobiana y buena penetración en el espacio pleural.
El líquido pleural de los derrames paraneumónicos y/o empiema es ácido, por lo que disminuyen la eficacia de los aminoglucósidos. Además los aminoglucósidos se ligan al ADN presente en el pus pleural. El metronidazol, que es eficaz frente a microorganismos anaerobios, en empiemas de esta etiología no es de elección dado que no reduce al metabolito activo al encontrarse en un medio pobre de oxígeno, y tampoco tiene buena actividad frente a Streptococcus anaerobios y microaerófilos.
El cloranfenicol tampoco debe de emplearse dado que puede ser degradado por las enzimas microbianas contenidas en el pus.
Teniendo en cuenta estas consideraciones previas, la elección del tratamiento antibiótico se realiza según el tipo de paciente, características de líquido pleural y los resultados de tinciones iniciales.
La duración del tratamiento antibiótico variará dependiendo de las circunstancias clínicas. En general, se indican dosis altas y periodos de tratamiento mayores a un mes. Así, ante la sospecha de anaerobios puede utilizarse clindamicina, amoxicilina / ácido clavulánico. Si hay sospecha de S. aureus puede indicarse vancomicina o cloxacina. En presencia de gramnegativos pueden utilizarse betalactámicos asociados a aminoglucósidos.[6]
Véase también
Referencias
- ↑ a b Garvia, Veronica; Paul, Manju (11 de agosto de 2021). «Empyema». StatPearls (en inglés). Consultado el 27 de julio de 2022.
- ↑ «Derrame pleural paraneumónico y empiema pleural».
- ↑ «Derrame paraneumónico y/o empiema. A propósito de una revisión integral.».
- ↑ «Derrame pleural paraneumónico. Guía diagnóstico-terapéutica».
- ↑ «Empiema Torácico. Revista de Neumología.».
- ↑ «Empiema pleural. Revisión y tratamiento.». Archivado desde el original el 4 de agosto de 2016. Consultado el 27 de julio de 2016.
