Empiema
| Empiema | ||
|---|---|---|
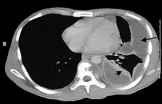
![]() Empiema pleural en tórax. | ||
| Especialidad |
neumología cirugía | |
| Sinónimos | ||
| Derrame purulento. | ||
El empiema (en griego: ἐμπύημα) es la acumulación de pus en una cavidad orgánica.[1]
Diagnóstico diferencial
El empiema es una colección de pus dentro de una cavidad anatómica natural previamente existente, como por ejemplo el útero. Se debe diferenciar de un absceso, que es una colección de pus en una cavidad recién formada de forma patológica.
Clasificación
Generalmente los empiemas se clasifican según su localización en una cavidad orgánica del cuerpo humano:
- en la cavidad pleural (empiema pleural, también conocido como piotórax)
- en la cavidad torácica
- en el útero (piometra)
- en el apéndice (apendicitis)
- en las articulaciones (artritis séptica)
- en la vesícula biliar
- en las meninges (empiema subdural)
- en el cerebro (empiema subdural)
