Cistoadenoma seroso de ovario
| Cistoadenoma seroso de ovario | ||
|---|---|---|
![]() Cistoadenoma seroso de ovario | ||
| Especialidad | oncología | |
El cistoadenoma seroso de ovario, también (menos precisamente) conocido como cistoadenoma seroso, es la neoplasia ovárica más común, que representa el 20% de las neoplasias ováricas, y es de carácter benigno.[1]
Tiene un parecido muy superficial con el tipo más común de cáncer de ovario (carcinoma seroso de ovario) bajo el microscopio; sin embargo, es prácticamente imposible de mezclarse con su contraparte maligna (carcinoma seroso), y no comparte los rasgos genéticos de los tumores serosos indeterminados, también denominados tumores serosos límite, que pueden transformarse en carcinoma seroso.[2]
No están relacionados con los cistoadenomas serosos del páncreas, es decir, la presencia de cistoadenoma ya sea en ovario o páncreas no sugiere un riesgo mayor de padecerlo en el otro órgano.
Los procedimientos de diagnóstico incluyen inicialmente un estudio de ultrasonido o doppler en color para conocer el tamaño y la naturaleza de la masa. La investigación de la sangre incluye el nivel de CA 125 para la detección y más CEA, niveles de beta hCG, AFP, CA19-9 y niveles de LDH para confirmar el diagnóstico. Antes de acudir a la cirugía se realiza una investigación de rutina.
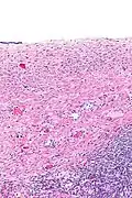
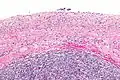
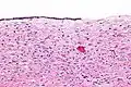
Histopatología
Los cistoadenomas serosos se diagnostican mediante examen histomorfológico, por patólogos. En general, son quistes uniloculares que contienen un líquido claro de color pajizo. Microscópicamente, el revestimiento del quiste consiste en un epitelio simple con cilios que puede ser columnar o plano.
Imágenes microscópicas
Véase también
Referencias
- ↑ Human Reproduction. University of Utah Medpath http://library.med.utah.edu/kw/human_reprod/seminars/seminar4B2.html.
- ↑ Cheng, EJ.; Kurman, RJ.; Wang, M.; Oldt, R.; Wang, BG.; Berman, DM.; Shih, IeM. (Jun 2004). «Molecular genetic analysis of ovarian serous cystadenomas.». Lab Invest 84 (6): 778-84. PMID 15077125. doi:10.1038/labinvest.3700103.
Enlaces externos
- Aspecto externo de este tumor. y otros de ovario, (en inglés)
| Clasificación |
|---|






