Cistoadenoma seroso del páncreas
| Cistoadenoma seroso del páncreas | ||
|---|---|---|
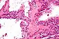
![]() Micrografía mostrando un cistoadenoma seroso del páncreas. H&E stain. | ||
| Especialidad | cirugía general, oncología | |
El cistoadenoma seroso del páncreas es un tumor benigno de este órgano. Generalmente se encuentra en la cola del páncreas,[1] y puede estar asociado con el síndrome de von Hippel-Lindau.[2]
En contraste con algunos de los otros tumores del páncreas que forman quistes (como la neoplasia mucinosa papilar intraductal y la neoplasia quística mucinosa), las neoplasias quísticas serosas son casi siempre completamente benignas. Hay algunas excepciones; en raras ocasiones, se han descrito casos de cistoadenocarcinomas serosos malignos aislados.[3] Además, las neoplasias quísticas serosas crecen lentamente y, si crecen lo suficiente, pueden presionar los órganos adyacentes y causar síntomas.
Clasificación
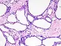
Los patólogos clasifican las neoplasias quísticas serosas en dos grandes grupos. Aquellas que son benignas, que no se han diseminado a otros órganos, se denominan "cistoadenomas serosos".[4] Los cistoadenomas serosos pueden subdividirse en microquístico, oligocístico (o macrocístico), sólido, neoplasia endocrina mixta y neoplasia serosa asociada a VHL. Este último esquema de clasificación es útil porque destaca la variedad de aspectos y las asociaciones clínicas de estas neoplasias. Las neoplasias quísticas serosas que se han diseminado ("metastatizado") a otro órgano se consideran malignas y se denominan "cistoadenocarcinoma seroso".
Patología
Tratamiento
Estas lesiones rara vez requieren cirugía excepto si son sintomáticas o el diagnóstico está en duda. Dado que no tienen potencial maligno, la observación a largo plazo es innecesaria. La cirugía puede incluir la extirpación de la cabeza del páncreas (una duodenopancreatectomía), la extirpación del cuerpo y la cola del páncreas (una pancreatectomía distal) o, rara vez, la extirpación de todo el páncreas (una pancreatectomía total).[5] En algunos casos, la cirugía se puede realizar utilizando técnicas mínimamente invasivas, como la laparoscopia.[6]
Véase también
- Cistoadenoma seroso ovárico
- Tumor pseudopapilar sólido
Referencias
- ↑ Colonna, J.; Plaza, JA.; Frankel, WL.; Yearsley, M.; Bloomston, M.; Marsh, WL. (2008). «Serous cystadenoma of the pancreas: clinical and pathological features in 33 patients». Pancreatology 8 (2): 135-41. PMID 18382099. doi:10.1159/000123606.
- ↑ Eras, M.; Yenigun, M.; Acar, C.; Kumbasar, B.; Sar, F.; Bilge, T. «Pancreatic involvement in Von Hippel-Lindau disease». Indian J Cancer 41 (4): 159-61. PMID 15659868.
- ↑ «Resected serous cystic neoplasms of the pancreas: a review of 158 patients with recommendations for treatment». J. Gastrointest. Surg. 11 (7): 820-6. julio de 2007. PMID 17440789. doi:10.1007/s11605-007-0157-4.
- ↑ «Pathology of Neoplasms of the Pancreas». Johns Hopkins University. Archivado desde el original el 13 de marzo de 2020. Consultado el 25 de abril de 2010.
- ↑ «Pancreatic Surgery». Johns Hopkins University. Archivado desde el original el 23 de febrero de 2020. Consultado el 25 de abril de 2010.
- ↑ «Laproscopic Pancreatic Surgery». Johns Hopkins University. Archivado desde el original el 4 de diciembre de 2019. Consultado el 25 de abril de 2010.
Enlaces externos
| Clasificación | |
|---|---|
| Recursos externos |
|




.jpg)
.jpg)