Calcinosis cutis
| Calcinosis cutis | ||
|---|---|---|
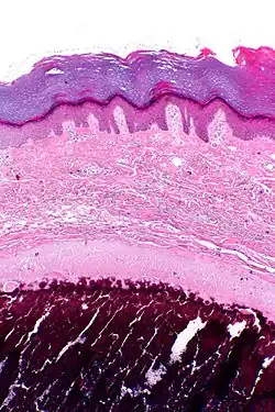
![]() Microfotografía de una biopsia de piel afectada por calcinosis cutis. | ||
| Especialidad | dermatología | |

En medicina, se entiende por calcinosis cutis o calcinosis cutánea, al depósito de sales de calcio en la piel o el tejido subcutáneo. Puede estar ocasionada por diferentes enfermedades.[1][2]
Fisiopatología
La calcinosis se caracteriza por el depósito de sales insolubles de calcio, fundamentalmente cristales de hidroxiapatita, en los tejidos blandos. Si el depósito se realiza en la piel o el tejido subcutáneo, el fenómeno recibe el nombre de calcinosis cutis. La causa por la que se depositan las sales de calcio depende de la entidad que origina el mal, siendo el mecanismo no bien conocido. En los enfermos de dermatomiositis, por ejemplo, se cree que las células musculares resultan dañadas por un proceso inflamatorio, lo que hace que las mitocondrias liberen calcio al exterior de la célula, el cual posteriormente se deposita en la piel.[1][2]
Tipos
Dependiendo de la causa, pueden distinguirse varios grupos:[1][2]
- Distrófica. Se llama así cuando la calcinosis se produce en situaciones de daño en los tejidos, sin anomalías en los sistemas de control del metabolismo del calcio. Ocurre por ejemplo en los pacientes afectos de dermatomiositis, en los que se produces pequeños depósitos cálcicos en las extremidades, también en el Síndrome de CREST de la esclerodermia.
- Metastásica. Recibe este nombre cuando la calcinosis tiene lugar en el contexto de alteraciones en los sistemas que regulan los niveles de calcio en el organismo.
- Yatrógena, si es consecuencia de algún tratamiento médico.
- Idiopática, cuando es de causa desconocida,
- Calcifilaxis. Trastorno infrecuente de la piel que afecta a pacientes con insuficiencia renal crónica. Se caracteriza por calcificación de la capa intima de las pequeñas arterias de la dermis, lo que ocasiona focos de necrosis por falta de riego sanguíneo y úlceras cutáneas.
Aspecto de las lesiones
Es variable dependiendo del tipo de calcinosis y si afecta a una piel normal o con alteraciones previas. Generalmente son lesiones únicas o múltiples que adoptan el aspecto de pequeñas neoformaciones de consistencia dura o pétrea, a veces ulceradas, y color blanquecino, rosado o negruzco.[1][2]
Referencias
- ↑ a b c d María Florencia Pedrini Cinqualbrez, Emilia Cohen Sabban, Leonardo Paz, Horacio Cabo: Calcinosis cutis idiopática universal. Archivado el 3 de julio de 2015 en Wayback Machine. Arch. Argent. Dermatol. 2013; 63 (6): 237-240
- ↑ a b c d Muiño Joga, M; Méndez Bustelo, MJ; Fernández Fernández, MV: Calcinosis cutis. Cuadernos de Aten Primaria, año 2014, Vol. 20, Pág. 249.
