Célula de Langerhans

Célula de Langerhans

Célula de Langerhans (1880)
Información anatómica
Sistema Tegumentario
Precursor Sistema fagocítico mononuclear

Las células de Langerhans[1]​ son macrófagos residentes, células dendríticas abundantes en la epidermis, que contienen grandes gránulos llamados gránulos de Birbeck.[2]
Derivan de la médula ósea y residen habitualmente en los epitelios escamosos o en los epitelios estratificados.
Forman una red inmunitaria en toda la epidermis y sirven como centinelas de la piel.
Esta es un tipo de célula presentadora de antígeno necesarias para la función de la respuesta inmune adaptativa.
Las CL tienen funciones importantes en las respuestas inmunitarias contra el cáncer de piel.

Historia

Las células CL fueron descritas por primera vez por el estudiante de medicina Paul Langerhans en 1868, estas células fueron consideradas entonces parte del sistema nervioso debido a sus prolongaciones similares a dendritas.[3]
Posteriormente se las catalogó como grandes macrófagos.

En 2006 se sabía que era la única célula de la epidermis que posee marcadores de superficie característicos de las células inmunocompetentes.[4][5]

En 2016 se asumía que las CL por su ontogenia (sus precursores), pueden ser consideradas macrófagos residentes, con origen embrionario. Al igual que los macrófagos residentes en los tejidos, se estableció que las CL proliferan en un estado diferenciado, con genes de autorrenovación.[6]

Características

Célula de Langerhans.

Las células de Langerhans (CL) normalmente se encuentran en la piel y los epitelios estratificados de las mucosas.[7]
Las células CL en la piel constituyen aproximadamente el 3-5 % de las células de la epidermis.[8]
Las CL capturan, procesan antígenos, y presentan el complejo MHC II unido a péptido (peptide-bound MHC) sobre su superficie celular.
Trabajan en la vigilancia inmunitaria y también en la patología de la piel, ya sea induciendo tolerancia inmunológica o mediando la inflamación.[6]

Microarquitectura

Mediante el microscopio óptico las células de Langerhans (CL) se localizan comúnmente en el nivel suprabasal (capa granular y capa espinosa) de la epidermis.

Células CL teñidas en marrón dentro de la epidermis. Microscopía óptica. Inmunohistoquímica.
Células CL teñidas en marrón dentro de la epidermis. Microscopía óptica. Inmunohistoquímica.

Las LC son células de aspecto estrellado cuyas dendritas sobresalen y se extienden entre los queratinocitos hacia estratos superficiales de la epidermis.
Las LC se han discriminado tradicionalmente por: su ubicación en la epidermis y su presencia de gránulos de Birbeck.[8]

Células de Langerhans en verde, dentro de la epidermis. Microscopía de excitación de dos fotones. Inmunofluorescencia.

Las CL no son móviles y tienen 4-5 prolongaciones de tipo dendrítico, que son proyectados desde el cuerpo de la célula.

Dendrítas en células CL de la epidermis humana. Barra de escala 10 μm. Microscopía óptica. Inmunofluorescencia.

En el ratón se determinó que la densidad de las LC en la piel era de aproximadamente 980 células/mm2.[8]

Ultraestructura

Con microscopía electrónica las LC son células de aspecto estrellado, sus finas prolongaciones («dendritas») atraviesan las uniones estrechas hacia el estrato córneo y pueden buscar antígenos en varias capas de la epidermis.[6]

Célula de Langerhans in situ. Prolongación mostrada en corte (derecha abajo). Microscopía electrónica.
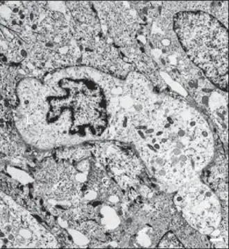
Célula de Langerhans aislada. Gránulos de Birbeck en recuadro, arriba derecha. Microscopía electrónica.

El núcleo es dentado con circunvoluciones o bien lobulado.
El citoplasma es electrolúcido, desprovisto de tonofilamentos y melanosomas.[9]
Inicialmente se identificaron por un marcador citoplasmático específico, el gránulo de Birbeck, un orgánulo denso en electrones.
La célula CL muestra ausencia de desmosomas.[9]

Gránulos de Birbeck

Gránulos de Birbeck. Microscopía electrónica.


Las CL se pueden marcar mediante la reacción immunohistoquimica que revela la actividad de la adenosina trifosfatasa.

El componente principal de los gránulos de Birbeck es la lectina de membrana de tipo C (CD207) denominada langerina,


Las LC expresan: Langerina (CD207), MHC clase II, E-Cadherina, EpCAM (molécula de adhesión de células epiteliales)/TROP1, integrina alfa X/CD11c, y las LC humanas además expresan CD1a. Las LC de ratón expresan CD11b+, CD205+ y F4/80+.

Las CL expresan Zbtb46, mientras que se originan de un progenitor que expresa Mafb, lo que indica un origen de macrófagos. El factor de transcripción MafB controla una red de genes de autorrenovación en macrófagos residentes proliferantes.[6]

Función

Las células de Langerhans (CL) forman parte del grupo de las células presentadoras de antígenos. Las CL comparten un precursor común con los macrófagos.[6]​ Las CL constituyen una red inmunitaria en toda la epidermis y sirven como centinelas inmunitarios de la piel.

Las CL desempeñan papeles importantes tanto en la estimulación como en la supresión de las respuestas inmunitarias adaptativas.[10]

Pueden buscar antígenos en varias capas de la epidermis.[6]

Como células «inmunológicamente inmaduras», su función principal es detectar el entorno en busca de capturar antígenos; luego, las CL experimentan un proceso de maduración funcional y fenotípica, con posterior migración.[7]

Son capaces de migrar a los ganglios linfáticos que drenan la piel para preparar a las células inmunitarias adaptativas, es decir, los linfocitos T y B,[10]


Las LC se han discriminado tradicionalmente por: la ubicación, la presencia de gránulos de Birbeck y la alta expresión de langerina (CD207+).[8]

En condiciones inflamatorias, las CL migran continuamente a los ganglios linfáticos que drenan la piel.[10]​ La migración de las CL es un proceso de varios pasos que implica una gran cantidad de cambios. En primer lugar, las CL debilitan sus uniones intercelulares con los queratinocitos circundantes, lo que está parcialmente regulado por la E-cadherina.
En el paso siguiente, las CL cruzan la membrana basal para migrar a la dermis y transitar hasta el ganglio linfático.
Una vez en la dermis, las CL ingresan a los vasos linfáticos para viajar a los ganglios linfáticos regionales.[6]​ En los ganglios linfáticos que drenan la piel, las CL desempeñan el papel de células presentadoras de antígenos.[10]


Las CL desempeñan papeles importantes tanto en la estimulación como en la supresión de las respuestas inmunitarias adaptativas. La inmunosupresión funciona a través de la expansión de las células T reguladoras (Tregs).[10]

Las CL tienen funciones importantes en las respuestas inmunitarias contra el cáncer. Se destaca el papel de las CL en el melanoma.[10]

Recambio celular de células de Langerhans

Las células de Langerhans (CL) tienen un origen embrionario y se mantienen en gran medida por autorrenovación.

En condiciones homeostáticas las CL muestran una tasa de proliferación lenta, suficiente para reemplazar las células moribundas y emigrantes.

La renovación de las CL en el estado estacionario de la epidermis, está mediada por la proliferación local de las CL residentes. Las CL maduras que residen en la piel poseen una capacidad intrínseca de entrar en un ciclo de división celular cuando es necesario.[10]
Las CL tienen una vida media estimada de 2 meses.[6]

Patología

Células de Langerhans en marrón. Luego de infección bacteriana.
Células de Langerhans en marrón. Luego de infección bacteriana.
Histiocitosis de Langerhans (CL)

La patología cutánea más estudiada relacionada con las CL es la histiocitosis de células de Langerhans (LCH).
Las células de Langerhans (CL) en casos de histiocitosis se pueden encontrar en otros órganos.[11][10]

Cáncer de piel

El cáncer de piel es la neoplasia tumoral sólida, más frecuente en todo el mundo.
Es probable que las células CL estén involucradas en la respuesta inmune anticancerígena inicial de la piel.[10]

Bibliografía

Referencias

  1. OMS,OPS,BIREME (ed.). «Células de Langerhans». Descriptores en Ciencias de la Salud. Biblioteca Virtual en Salud. 
  2. Masci AM., Arighi CN., Diehl AD., Lieberman AE., Mungall C., Scheuermann RH., Smith B., Cowell LG. (2009). «An improved ontological representation of dendritic cells as a paradigm for all cell types». BMC Bioinformatics 10: 70. PMC 2662812. PMID 19243617. doi:10.1186/1471-2105-10-70. 
  3. Langerhans, P. (1868). «Ueber die Nervender menschlicher». Haut. Virchows Arch. (Pathol. Anat.) (en alemán) 44: 325. doi:10.1007/BF01959006. 
  4. Merad M.; Ginhoux F.; Collin M. (2008). «Origin, homeostasis and function of Langerhans cells and other langerin-expressing dendritic cells». Nature reviews immunology 8 (12): 935-947. PMID 19029989. doi:10.1038/nri2455. (requiere suscripción). 
  5. Ginhoux F.; Tacke F.; Angeli V.; Bogunovic M.; Loubeau M.; Dai X.; Stanley E.; Randolph G.; Merad M.; (2006). «Langerhans cells arise from monocytes in vivo». Nat Immunol 7 (3): 265-273. PMID 16444257. doi:10.1038/ni1307. (requiere suscripción). 
  6. a b c d e f g h Julie Deckers; Hamida Hammad; Esther Hoste (2018). «Langerhans Cells: Sensing the Environment in Health and Disease». Frontiers in Immunology (REVISIÓN) (Frontiers) 9: 93. PMC 5799717. PMID 29449841. doi:10.3389/fimmu.2018.00093. Consultado el 7 de octubre de 2024. 
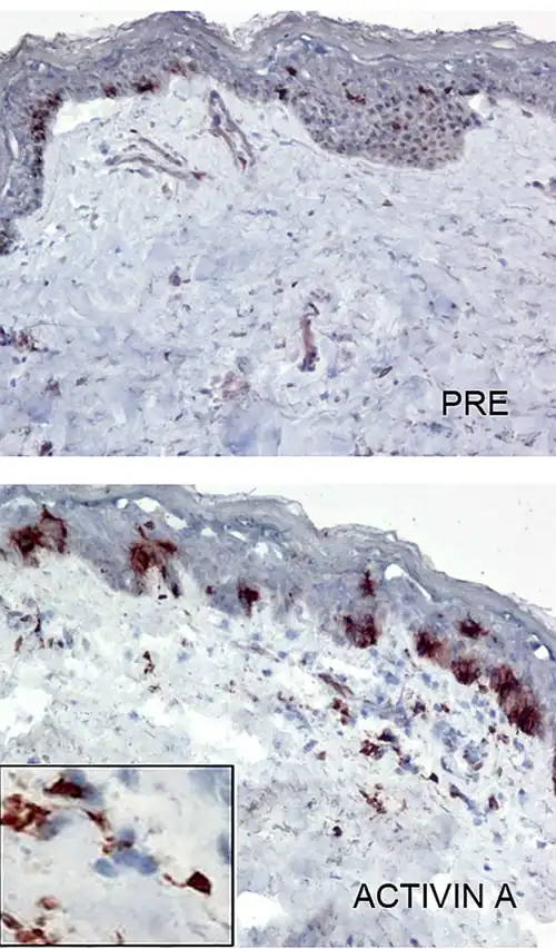
  7. a b Musso T.; Scutera S.; Vermi W.; Daniele R.; Fornaro M.; Castagnoli C,; Alotto D.; Ravanini M.; Cambieri I.; Salogni L.; Elia A.R.; Giovarelli M.; Facchetti F.; Girolomoni G.; Sozzani S. (2008). «Activin A induces Langerhans cell differentiation in vitro and in human skin explants». PLoS ONE (Public Library of Science) 3 (9): e3271. PMC 2533393. PMID 18813341. doi:10.1371/journal.pone.0003271. Consultado el 5 de octubre de 2024. 
  8. a b c d Rattanapak T.; Birchall JC.; Young K.; Kubo A.; Fujimori S.; Ishii M.; Hook S. (2014). «Dynamic Visualization of Dendritic Cell-Antigen Interactions in the Skin Following Transcutaneous Immunization.». PLoS ONE (Public Library of Science) 9 (2): e89503. doi:10.1371/journal.pone.0089503. Consultado el 5 de octubre de 2024. 
  9. a b Michel Démarchez (2019). «Langerhans cell». Biologie de la Peau, 2019. 
  10. a b c d e f g h i Monica Neagu , Carolina Constantin , Gheorghita Jugulete. Victor Cauni, Sandrine Dubrac , Attila Gábor Szöllősi , Sabina Zurac (2022). «Langerhans Cells—Revising Their Role in Skin Pathologies». J Pers Med. (REVISIÓN) 12 (12): 2072. PMC 9782496. PMID 36556292. doi:10.3390/jpm12122072. Consultado el 7 de octubre de 2024. 
  11. OMIM 604856