Cálculo vesical
Un cálculo vesical es una piedra que se encuentra en la vejiga urinaria. [1]
Signos y síntomas

Los cálculos vesicales son pequeños depósitos minerales que pueden formarse en la vejiga. En la mayoría de los casos, se desarrollan cuando la orina se vuelve muy concentrada o cuando la persona está deshidratada. Esto permite que los minerales, como las sales de calcio o magnesio, cristalicen y formen cálculos. Los cálculos vesicales varían en número, tamaño y consistencia. En algunos casos, no causan ningún síntoma y se descubren como un hallazgo incidental en una radiografía simple. Sin embargo, cuando aparecen síntomas, estos pueden incluir dolor abdominal bajo y de espalda intenso, dificultad para orinar, micción frecuente durante la noche, fiebre, dolor al orinar y sangre en la orina. La mayoría de las personas que presentan síntomas se quejan de un dolor que aparece en oleadas. El dolor también puede estar asociado con náuseas, vómitos y escalofríos.
Los cálculos vesicales varían en tamaño, forma y textura: algunos son pequeños, duros y lisos, mientras que otros son grandes, puntiagudos y muy blandos. Se pueden tener una o varias piedras. Son algo más comunes en hombres que tienen agrandamiento de próstata. Una próstata grande presiona la uretra y dificulta el paso de la orina. Con el tiempo, la orina estancada se acumula en la vejiga y los minerales como el calcio comienzan a precipitarse. Otras personas que desarrollan cálculos vesicales incluyen aquellas que han tenido lesiones en la médula espinal, parálisis o algún tipo de daño a los nervios. Cuando los nervios de la espalda están dañados, la vejiga no puede vaciarse, lo que resulta en orina estancada.
Causas
Los cálculos vesicales pueden aparecer cuando los riñones, la vejiga o los uréteres se inflaman, lo que puede ocurrir cuando la orina se vuelve demasiado concentrada, o cuando el cuerpo se deshidrata. Minerales como el calcio y el magnesio se cristalizan en los cálculos, lo que puede provocar síntomas como dolor lumbar o abdominal, y dificultad para orinar.
El uso de catéteres urinarios también puede provocar cálculos en la vejiga. Las personas que están paralizadas o no pueden orinar adecuadamente pueden requerir el uso de pequeños tubos de plástico (catéteres), que son colocados en la vejiga. El uso de estos tubos puede provocar una infección, que irrita la vejiga y da lugar a la formación de cálculos.
Finalmente, un cálculo renal puede desplazarse por el uréter hasta la vejiga y convertirse en un cálculo vesical. Existe cierta evidencia que indica que la irritación crónica de la vejiga por cálculos retenidos puede aumentar el riesgo de cáncer de vejiga. La esquistosomiasis urinaria, una enfermedad causada por el trematodo digéneo Schistosoma haematobium, ha sido relacionada con el desarrollo de cálculos vesicales. [2] [3] Sin embargo, la evidencia acumulada hasta el momento no apoya esta hipótesis. [4] [5]
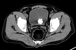
Diagnóstico

El diagnóstico de cálculos vesicales incluye análisis de orina, ecografía, radiografías o cistoscopia (que consiste en insertar una pequeña cámara delgada en la uretra y observar la vejiga). El pielograma intravenoso también se puede utilizar para evaluar la presencia de cálculos renales. Esta prueba implica la inyección de un agente de radiocontraste que se introduce en el sistema urinario. Luego se obtienen imágenes de rayos X cada pocos minutos para determinar si hay alguna obstrucción en el contraste mientras se excreta en la vejiga. Hoy en día, el pielograma intravenoso ha sido reemplazado en muchos centros de salud por la tomografía computarizada. Las tomografías computarizadas son más sensibles y pueden identificar cálculos muy pequeños que son detectados con otras pruebas.
Clasificación

Los cálculos urinarios pueden estar compuestos por las siguientes sustancias:
- Oxalato de calcio monohidrato (whewellita)
- Oxalato de calcio dihidrato (weddellita)
- Fosfato de calcio
- Fosfato de magnesio
- Fosfato de amonio
- Fosfato de amonio y magnesio (estruvita)
- Hidroxifosfato de calcio (apatita)
- Ácido úrico y sus sales (uratos)
- Cistina
- Xantina
- Indigotina (rara)
- Urostealito (raro)
- Sulfonamida (poco frecuente)
Cálculo de Jackstone
Los cálculos de Jackstone son cálculos vesicales poco comunes que tienen una apariencia similar a la de los juguetes matatena. Casi siempre están compuestos de oxalato de calcio dihidrato y constan de un núcleo central denso y espículas radiales. Por lo general son de color marrón claro con manchas oscuras, y generalmente se forman en la vejiga urinaria y rara vez en el tracto urinario superior. Su aparición en radiografías simples y tomografías computarizadas en pacientes humanos suele ser fácilmente reconocible. Los cálculos renales a menudo deben eliminarse mediante cistolitotomía. [6]
Prevención
La mejor manera de prevenir los cálculos vesicales es beber abundantes líquidos. Se cree, además, que los jugos que contienen citrato reducen el riesgo de formación de cálculos. Un estudio publicado en el Clinical Journal of the American Society of Nephrology indica que el jugo de naranja es más eficaz para prevenir la formación de cálculos que otros jugos cítricos. [7] Los hombres que tienen dificultad para orinar debido al agrandamiento de la próstata deben buscar tratamiento. Sin embargo, orinar en posición sentada parece mejorar el vaciado de la vejiga, lo que podría disminuir el riesgo de formación de los cálculos vesicales. [8]
Es fundamental la prevención de los cálculos vesicales en los recién nacidos, especialmente en los primeros tres meses de vida, ya que es cuando comienzan a formarse la mayoría de los cálculos. Los estudios muestran que alimentar a los recién nacidos con leche (materna, de vaca o de cabra) sin sustitutos ni suplementos hasta al menos el tercer mes es eficaz para prevenir la mayoría de los cálculos. [9]
Gestión
Aumentar la ingesta de líquidos puede facilitar el paso de pequeños cálculos en la vejiga. Sin embargo, los cálculos más grandes pueden requerir otros tratamientos. La fragmentación de los cálculos vesicales se puede lograr mediante el uso de un cistoscopio que se inserta en la vejiga. Con este método, el urólogo visualiza el cálculo y utiliza energía ultrasónica o litotricia láser para provocar la fragmentación de los cálculos en pequeños trozos, que luego se eliminan. Este procedimiento requiere anestesia y puede requerir ingreso en un hospital. Las complicaciones de este tratamiento incluyen infección y daño a la vejiga. Algunos cálculos son demasiado grandes incluso para el tratamiento cistoscópico y pueden requerir una cistotomía abierta, en la que se realiza una incisión en la vejiga y se extraen los cálculos manualmente. En el caso de los niños con cálculos urinarios, la evidencia que respalda las opciones de tratamiento es muy débil y se necesitan ensayos de alta calidad para ayudar a guiar el manejo clínico. [10]
Cistolitotomía
La cistolitotomía es un procedimiento quirúrgico para la extracción de cálculos vesicales en los casos en los que se considera que alguno es demasiado grande para expulsarlo de forma natural, como los cálculos de Jackstone desarrollados. Esto puede requerir cirugía abierta para extraer el cálculo, sin embargo, la cistolitotomía robótica permite un enfoque mínimamente invasivo para lograr la extracción a través de incisiones mucho más pequeñas que el enfoque tradicional. La mayoría de los cálculos vesicales se pueden tratar mediante un procedimiento endoscópico, evitando la necesidad de una incisión quirúrgica.
La cistolitotomía abierta se realiza bajo anestesia general y es un procedimiento para pacientes internados. El primer paso es una cistoscopia para examinar la vejiga, para luego realizar una incisión en la parte inferior del abdomen. Una vez extraído el cálculo, se repara la vejiga con una sutura absorbible y se inserta un catéter en la vejiga a través de la uretra. Ocasionalmente es necesario gotear suavemente líquido dentro y fuera de la vejiga durante un período, ya que suele haber algo de sangrado después del procedimiento. La mayoría de los pacientes no presentan efectos secundarios importantes después de la cistolitotomía, pero puede estar seguida de una leve sensación de ardor y sangrado leve. Los efectos secundarios más graves incluyen infección de la vejiga, necesidad prolongada de uso del catéter e infección en la incisión quirúrgica. Los efectos secundarios raros pueden incluir sangrado tardío que requiere la eliminación de coágulos o cirugía adicional, lesión en la uretra que causa formación de cicatrices, fiebre e infección más grave que requiere una estadía más prolongada en el hospital y cicatrización tardía de la vejiga, que puede requerir un procedimiento adicional. [11]
Historia
La cistotomía litoclástica es atribuida a Ammonius Lithotomos (cortador de piedra) de Alejandría, Egipto. El término "litotomía" deriva de la misma palabra griega (λιθοτομία, lithotomia), que significa "corte de piedra". Aulo Cornelio Celso escribió que Litótomo desarrolló instrumentos para romper y extraer cálculos vesicales. [12] Celso dio la primera descripción de la litotomía tal como se realizaba antes y durante su tiempo, y desde entonces la operación lleva su nombre: el método celsiano. [13]
Etimología
La litiasis (formación de cálculos) en la vejiga se denomina cistolitiasis ( /ˌsɪstoʊlɪˈθaɪəsᵻs/), de cyto- (vejiga/quiste) + -lith (cálculo) + -iasis (trastorno).
Véase también
Referencias
- ↑ McNutt, WF (1893). «Chapter VII: Vesical Calculi (Cysto-lithiasis)». Diseases of the kidneys and bladder: a text-book for students of medicine. IV: Diseases of the Bladder. Philadelphia: J.B. Lippincott Company. pp. 185-6. Consultado el 4 de junio de 2011.
- ↑ Ward, RO (1945). «Some Surgical Aspects of Urinary Bilharziasis». Proceedings of the Royal Society of Medicine 39 (1): 27-38. ISSN 0035-9157. PMC 2181785. PMID 19993192. doi:10.1177/003591574503900105.
- ↑ Lukács, T; Frang D; El-Seaghy AA; Pajor L (1989). «Multiple urolithiasis in bilharziasis patients». International Urology and Nephrology 21 (3): 269-73. PMID 2807777. doi:10.1007/BF02559736.
- ↑ Ibrahim, A (1978). «The relationship between urinary bilharziasis and urolithiasis in the Sudan». British Journal of Urology 50 (5): 294-7. ISSN 0007-1331. PMID 753482. doi:10.1111/j.1464-410X.1978.tb03634.x.
- ↑ Kambal, A (1981). «The Relation of Urinary Bilharziasis to Vesical Stones in Children». British Journal of Urology 53 (4): 315. ISSN 0007-1331. PMID 7260543. doi:10.1111/j.1464-410X.1981.tb03185.x.
- ↑ Singh, KamalJeet; Goyal, Adarsh; Tiwari, Anuj (2011). «Jackstone: A rare entity of vesical calculus». Indian Journal of Urology 27 (4): 543-4. ISSN 0970-1591. PMC 3263228. PMID 22279326. doi:10.4103/0970-1591.91449.
- ↑ «Orange Juice Fights Kidney Stones». www.webmd.com. Consultado el 26 de abril de 2011.
- ↑ de Jong, Y; Pinckaers, JH; Ten Brinck, RM; Lycklama À Nijeholt, AA; Dekkers, OM (2014). «Urinating Standing versus Sitting: Position Is of Influence in Men with Prostate Enlargement. A Systematic Review and Meta-Analysis.». PLOS ONE 9 (7): e101320. Bibcode:2014PLoSO...9j1320D. PMC 4106761. PMID 25051345. doi:10.1371/journal.pone.0101320.
- ↑ Halstead, Scott B. (April 2016). «Epidemiology of bladder stone of children: precipitating events». Urolithiasis 44 (2): 101-108. ISSN 2194-7236. PMID 26559057. doi:10.1007/s00240-015-0835-8.
- ↑ Barreto, Lenka; Jung, Jae Hung; Abdelrahim, Ameera; Ahmed, Munir; Dawkins, Guy P. C.; Kazmierski, Marcin (9 de octubre de 2019). «Medical and surgical interventions for the treatment of urinary stones in children». The Cochrane Database of Systematic Reviews 2019 (10): CD010784. ISSN 1469-493X. PMC 6785002. PMID 31596944. doi:10.1002/14651858.CD010784.pub3.
- ↑ «Cystolithotomy (Open Removal of Bladder Stones)». Nicholas Brook Urology. Nick Brook Urologist Adelaide. 2013. Consultado el 17 de abril de 2014.
- ↑ Celsus, Aulus Cornelius (1831). A translation of the eight books of Aul. Corn. Celsus on medicine. Simpkin and Marshal. pp. 311–. Consultado el 4 de junio de 2011.
- ↑ Gouley, John William Severin (1892). Diseases of the urinary apparatus: phlegmasic affections. D. Appleton and Company. pp. 3–. Consultado el 4 de junio de 2011.