Aspergiloma
| Aspergiloma | ||
|---|---|---|
|
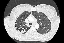
TAC en el que puede apreciarse la existencia de una caverna tuberculosa abajo izquierda, en cuyo interior se ha formado un aspergiloma masa redonda blanquecina. | ||
| Especialidad | Neumología | |
| Diagnóstico | La radiografía de tórax muestra un tumor similar a una opacidad. La serología puede ser útil. Se observan hifas fúngicas en el cultivo de KoH y el cultivo de esputo desarrolla hongos | |
UN aspergiloma es una enfermedad infecciosa humana del pulmón causada por la colonización de una cavidad por un hongo del género Aspergillus , generalmente Aspergillus fumigatus .Se presenta como a una masa redondeada formada por la hifas del hongos y que se localiza dentro de un quiste o cavidad. Generalmente afecta al pulmón, aunque en ocasiones se presenta en otros órganos como el riñón y el cerebro. El aspergiloma es una de las formas de presentación de la aspergilosis, debe distinguirse de la aspergilosis invasiva y la aspergilosis broncopulmonar alérgica.
Aspergiloma pulmonar
Se originan por la invasión y proliferación de Aspergillus en una cavidad pulmonar previa provocada por otra enfermedad, sobre todo tuberculosis pulmonar y sarcoidosis. Aspergillus es un hongo filamentoso y saprofito que vive habitualmente en el suelo sobre materia orgánica y es muy abundante en la naturaleza. Puede quedar suspendido en el aire y ser inhalado , alcanzando los alveolos pulmonares. Cuando las condiciones le son favorable, por ejemplo en personas con déficit de inmunidad, se multiplica con facilidad invadiendo cavidades preexistentes.[1]
El aspergiloma es en realidad una masa más o menos redondeada formada por hifas de hongos mezcladas con detritus pulmonares, moco y células inflamatorias. El síntoma principal que provoca es la expulsión de sangre con la tos (hemoptisis), pero en muchas ocasiones es asintomático. El diagnóstico se sospecha por los síntomas o la aparición de una masa en el interior de una cavidad que puede visualizarse en la radiografía de tórax, tomografia axial computarizada o resonancia magnética nuclear. Se confirma realizando un cultivo de esputo que puede ser positivo para Aspergillus, o mediante el análisis y cultivo de una muestra obtenida por punción y aspiración de la cavidad sospechosa. El tratamiento recomendado es la cirugía o la administración de fármacos específicos como el itraconazol y la anfotericina B.[2]
Historia
El género Aspergillus fue descrito en 1729 por el botánico italiano Pier Antonio Micheli.[3] La primera descripción de aspergiloma en humanos se atribuye a John Hughes Bennett en 1842,[4] pero esta paternidad ha sido cuestionada.[5] Fue en 1847 cuando Theodor Sluyter informó del primer caso humano definitivo de aspergilosis difusa , y en 1855 el médico alemán Friedrich Küchenmeister realizó la primera descripción de la autopsia de un aspergiloma desarrollado en un cáncer de pulmón cavitado.[6] Los primeros aspergilomas desarrollados en una caverna tuberculosa se describieron a partir de 1856.[7][8] Sin embargo, no fue hasta 1938 que se realizó su descripción radiológica , y en 1952 que se afinó la clasificación de las lesiones . Los primeros ensayos de tratamiento antifúngico se remontan a 1959,[9] década en la que se desarrolló el tratamiento quirúrgico.[10]
Referencias
- ↑ J. P. Latge: Aspergillus fumigatus and aspergillosis. In: Clin. Microbiol. Rev. Band 12 (1999), S. 310–350. PMID 10194462
- ↑ Tratamento del aspergiloma pulmonar. Revisión clínica. Autores: Javier Martínez, Montserrat Márquez, Oriol Sola, Jesús Arés y Javier Graraua. Enfermedades Infecciosa y Microbiología Clínica. Vol. 18. N. 8. Páginas 413-415 (octubre 2000). Consultado el 10 de septiembre de 2019.
- ↑ Nova plantarum genera .... Consultado el 16 de noviembre de 2021.
- ↑ Bennett, John Hughes (1844/ed). «XVII. On the Parasitic Vegetable Structures found growing in Living Animals». Earth and Environmental Science Transactions of The Royal Society of Edinburgh (en inglés) 15 (2): 277-294. ISSN 2053-5945. doi:10.1017/S0080456800029963. Consultado el 16 de noviembre de 2021.
- ↑ Hinson, K. F. W.; Moon, A. J.; Plummer, N. S. (1 de diciembre de 1952). «Broncho-pulmonary Aspergillosis: A Review and a Report of Eight New Cases». Thorax (en inglés) 7 (4): 317-333. ISSN 0040-6376. PMID 13015523. doi:10.1136/thx.7.4.317. Consultado el 16 de noviembre de 2021.
- ↑ Francis A. Countway Library of Medicine, Friedrich (1855). Die in und an dem Körper des lebenden Menschen vorkommenden Parasiten : ein Lehr- und Handbuch der Diagnose und Behandlung der thierischen und pflanzlichen Parasiten des Menschen : zum Gebrauche für Studirende der Medicin und der Naturwissenschaften, für Lehrer der Zoologie, Botanik, Physiologie, pathologischen Anatomie und für praktische Ärzte. Leipzig : Druck und Verlag von B.G. Teubner. Consultado el 16 de noviembre de 2021.
- ↑ Friedreich, N. (1 de diciembre de 1856). «Fall vonPneumonomycosis aspergillina». Archiv für pathologische Anatomie und Physiologie und für klinische Medicin (en alemán) 10 (4): 510-512. ISSN 1432-2307. doi:10.1007/BF02116589. Consultado el 16 de noviembre de 2021.
- ↑ Fürbringer, Paul (1 de marzo de 1876). «Beobachtungen über Lungenmycose beim Menschen». Archiv für pathologische Anatomie und Physiologie und für klinische Medicin (en alemán) 66 (3): 330-365. ISSN 1432-2307. doi:10.1007/BF01878266. Consultado el 16 de noviembre de 2021.
- ↑ Kelmenson, VICTOR A (1 de octubre de 1959). «Treatment of Pulmonary Aspergillosis». Diseases of the Chest (en inglés) 36 (4): 442-443. ISSN 0096-0217. doi:10.1378/chest.36.4.442. Consultado el 16 de noviembre de 2021.
- ↑ Daly, R. C.; Pairolero, P. C.; Piehler, J. M.; Trastek, V. F.; Payne, W. S.; Bernatz, P. E. (1986-12). «Pulmonary aspergilloma. Results of surgical treatment». The Journal of Thoracic and Cardiovascular Surgery 92 (6): 981-988. ISSN 0022-5223. PMID 3097424. Consultado el 16 de noviembre de 2021.