Alteraciones de los hematíes
Un hematíe ―también llamado eritrocito o glóbulo rojo―[1] es la célula de la sangre encargada del transporte del oxígeno a los órganos y tejidos, y del dióxido de carbono para su eliminación. Contiene en su interior una proteína compleja, en cuya molécula está presente el hierro, que confiere a la sangre su color rojo característico y que es denominada hemoglobina (Hb), esencial para dicha función de transporte.[2]
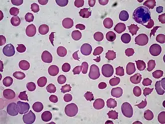
Los hematíes pueden presentar variaciones en su tamaño, forma y color.[2]
Alteraciones del tamaño
Los hematíes normocíticos (tamaño normal) presentan las siguientes dimensiones:
- diámetro longitudinal: 6-8 µm
- diámetro transversal (espesor):
- diámetro periférico: 2 µm
- diámetro central: 1 µm
- superficie: 120-140 µm²
- volumen: 80-100 µm³
Anisocitosis
La anisocitosis (del griego an: ‘privación’; isos: ‘igual’; y kytos: ‘célula’) es un estado patológico de los glóbulos rojos, en el cual estos elementos presentan dimensiones extremadamente variables, en lugar de tener todos el mismo diámetro. Este término se aplica igualmente a las grandes variaciones de diámetro que pueden presentar los glóbulos blancos.
Consiste en la coexistencia de hematíes de distintos tamaños en una misma muestra de sangre. Se produce, por ejemplo, en los pacientes transfundidos.
Microcitosis
La microcitosis consiste en la existencia de unos hematíes con un diámetro longitudinal inferior a 6 µm y un volumen inferior a 80 µm³.
Se produce en la talasemia, en la anemia sideroacréstica y, sobre todo, en la anemia ferropénica.
Macrocitosis
La macrocitosis consiste en la existencia de unos hematíes con un diámetro longitudinal superior a 8 µm y un volumen superior a 100 µm³.
Se produce, fundamentalmente, en el alcoholismo y en las hepatopatías crónicas.
Megalocitosis
La megalocitosis consiste en la existencia de unos hematíes con un diámetro longitudinal superior a 11.
Se produce en la anemia megaloblástica.
Alteraciones de la forma
Los hematíes normocíticos poseen una forma de disco bicóncavo sin núcleo.
Poiquilocitosis

Es un trastorno de carácter inespecífico consistente en la desigualdad o variabilidad en la forma de los hematíes en una misma muestra o frotis.[3][4]
Dacriocitosis
Consiste en hematíes maduros de forma ovalada con un extremo agudo (en forma de lágrima o de pera). Se observa en todas las condiciones asociadas a esplenomegalia y en las siguientes enfermedades:
También aparecen estos hematíes en la hematopoyesis extramedular (mielofibrosis, anemia mieloptísica).
Acantocitosis
Consiste en la existencia de unos hematíes con espículas de longitud y posición irregular (acantocitos). Se produce en la abetalipoproteinemia, en la cirrosis hepática, mielofibrosis aguda y crónica, y en pacientes a los que se les administra altas dosis de heparina.
Dianocitosis
Consiste en la no existencia de unos hematíes planos y con una forma de sombrero de punta; esto hace que los hematíes, vistos frontalmente, tengan un reborde coloreado, que delimita una zona anular pálida, cuyo centro también está coloreado. Ello les confiere una imagen en diana y por eso, reciben el nombre de dianocitos.
Se produce en la talasemia y en las hepatopatías.
Drepanocitosis
Consiste en la existencia de unos hematíes con una forma de hoz. Se produce en la anemia de células falciformes.
Eliptocitosis
Consiste en la existencia de unos hematíes con una forma elíptica y oval.
Se produce en la anemia ferropénica, en la anemia megaloblástica y en la mielofibrosis, pero es típica de la eliptocitosis hereditaria.
Tienen esta forma los eritrocitos del camello, de la salamandra y de la gallina.
Equinocitosis
También llamados estereocitos o astrocitos, consiste en la existencia de unos hematíes con espículas cortas y distribuidas regularmente a lo largo de toda su superficie.
Se produce, por ejemplo, en la uremia, cuando los hematíes son pobres en K+ y en las hepatopatías neonatales. También se da en el déficit de piruvato quinasa.
Esferocitosis
Consiste en la existencia de unos hematíes con una forma esférica, que habitualmente también son de pequeño tamaño (microesferocitos).
Se produce en la hidrocitosis, en la anemia inmunohemolítica y, sobre todo, en la esferocitosis hereditaria.
Esquistocitosis

Consiste en la existencia de unos hematíes fragmentados (esquistocitos).
Se produce en la anemia microangiopática, en la hemólisis mecánica por la presencia de una prótesis valvular en el corazón y en las quemaduras graves.
Estomatocitosis
Consiste en la existencia de unos hematíes con una invaginación central en forma de boca. Estos eritrocitos son realmente discos unicóncavos. Se produce en el alcoholismo y en las hepatopatías crónicas.
Excentrocitosis
Consiste en la existencia de unos hematíes cuya Hb está concentrada en uno de sus polos.
Se produce en el déficit de G6FD (glucosa-6-fosfato deshidrogenasa).
Queratocitosis
Consiste en la existencia de unos hematíes con dos espículas en su superficie. Se produce en la anemia hemolítica microangiopática, en la hemólisis por prótesis cardiacas y en el hemangioma cavernoso.
Alteraciones del color
Los hematíes normocrómicos presentan, con los métodos de tinción habituales, una coloración rosada (eosinófila). Además, esta coloración es más intensa en la periferia que en el centro.
Anisocromía
Consiste en una falta de uniformidad en la coloración entre unos hematíes y otros.
La coexistencia de dos poblaciones de hematíes, con coloraciones distintas, se produce por ejemplo en:
- El inicio del tratamiento de la anemia carencial.
- Los enfermos con anemia hipócroma que son transfundidos.
Hipocromía
Consiste en la existencia de unos hematíes pálidos y con aumento de la claridad central (hematíes hipocrómicos y anulocitos).
Se produce, por ejemplo, en la anemia ferropénica.
Hipercromía
Consiste en la existencia de unos hematíes intensamente coloreados (hematíes hipercrómicos).
La única hipercromía real es la que se produce en la esferocitosis hereditaria.
Policromasia
Consiste en la existencia de unos hematíes que presentan una coloración ligeramente basófila. Realmente, estas células son reticulocitos.
Inclusiones intraeritrocitarias
Normalmente, los hematíes solo contienen hemoglobina, por lo que su interior es homogéneo.
Sin embargo, en algunas ocasiones se pueden encontrar elementos extraños en su interior.
Sustancia granulofilamentosa
La sustancia granulofilamentosa o reticulofilamentosa procede, fundamentalmente, de restos ribosómicos agregados.
Consiste en una trama granulosa visible mediante la coloración con azul de cresil brillante.
Es propia de los reticulocitos.
Cuerpo de Howell-Jolly
Es un pequeño residuo nuclear. Consiste en un grumo visible en el interior de los hematíes y que se tiñe, de un color que oscila entre el rojo oscuro y el negro, con los colorantes habituales. Aparece en sujetos esplenectomizados y en los que padecen sprue.
Cuerpos de Heinz
Son precipitados de Hemoglobina. Consisten en una serie de pequeñas granulaciones que se sitúan en la periferia de los hematíes y que se tiñen de color púrpura con una solución de cristal violeta. Se producen en enfermedades congénitas que comportan una inestabilidad de la Hb, que hace que esta se desnaturalice y precipite en presencia de algunos medicamentos.
Cuerpo de Papenheimer
También se llaman gránulos sideróticos. Son acúmulos de hemosiderina unida a proteínas. Consisten en gránulos basófilos, con las tinciones habituales, que además, se tiñen también de azul con el colorante de Perls (azul de Prusia).
Se producen en los enfermos esplenectomizados y en las anemias sideroblásticas.
Punteado basófilo
Pueden ser agregados ribosómicos originados por una degeneración vacuolar del citoplasma o precipitados de cadenas globínicas libres.
Consiste en puntitos basófilos, con las tinciones habituales, de tamaño variable y dispersos por toda la superficie del hematíe. Se tiñen con tinción de Perls. Se produce en las intoxicaciones por plomo, y también en la talasemia y en la leucemia.

Están formados por restos de la envoltura nuclear o de microtúbulos.
Consisten en una especie de hilos basófilos, con las tinciones habituales, que adoptan una forma de anillo o de ocho y que pueden ocupar toda la periferia celular.
Se produce en la anemia megaloblástica. Y se ha observado en anemias hemoliticas
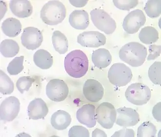
Inclusiones parasitarias

Son ejemplos, las que se encuentran en los hematíes parasitados por distintas formas evolutivas del plasmodium.
Véase también
Referencias
- ↑ «Hematíe», artículo en el Diccionario de la lengua española de la RAE (Real Academia Española). Real Academia Española © Todos los derechos reservados, 2010.
- ↑ a b García Espinosa, Benjamín; Rubio Campal, Faustina (1997): Hematología I: Citología, Fisiología y Patología de hematíes y leucocitos (pp. 155-164). España: Paraninfo, 1997.
- ↑ Antonio Caballero Oliver, Luis Silva Garcia, et. al. (2006): Técnico Especialista en Laboratorio de Atención Primaria del Instituto Catalán de la Salud. Temario, volumen II. Barcelona (Cataluña): MAD-Eduforma, 2006. ISBN 9788466555388.
- ↑ Prieto Valtueña, J. M. (2010) «La clínica y el laboratorio. Interpretación de análisis y pruebas funcionales. Exploración de los síndromes. Cuadro biológico de las enfermedades». Madrid: Elsevier España, 21.ª edición, 2010. ISBN 9788445820308.