Adenocarcinoma pulmonar

El adenocarcinoma pulmonar es un tipo de carcinoma pulmonar no microcítico, uno de los dos grandes grupos en los que se clasifica el cáncer de pulmón.
Características
- Frecuencia
- Es el tercer tipo histológico en frecuencia (de 10 al 25% del total). Se diagnostica tanto en fumadores como en no fumadores con lesiones fibróticas (silicosis, tuberculosis, etc.). Es el menos relacionado con el consumo del tabaco pero aun así es más frecuente en fumadores. Es más frecuente en mujeres.
- Localización
- Periférico (nódulos pulmonares) en el 75% de los casos.
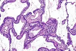
- Histopatología
- Está constituido por células binucleadas que tienen mucina en el 80% de los casos. Las células por tanto producen moco, forman una sola hilera de células prismáticas con proliferación papilar, tubular o acinos y algunas veces glándulas completas.
- Origen
- Se origina a partir de las células que forman las glándulas bronquiales. El adenocarcinoma bronquial es el tumor asociado más frecuentemente a lesiones cicatriciales pulmonares, como la tuberculosis, aunque en la mayoría de los casos la cicatriz es una respuesta desmoplásica al tumor.
- Diseminación
- Metástasis por vía hemática en hueso, cerebro e hígado. Pueden pasar inadvertidos durante mucho tiempo, pues aunque su velocidad de crecimiento es intermedia entre el epidermoide y el anaplásico, al estar situados periféricamente, no comprometen en su crecimiento inicial estructuras que repercutan sobre la función pulmonar. Incluso en ocasiones son diagnosticados a través de sus metástasis hematógenas, que suelen ser de aparición precoz.