Zona reticular

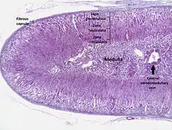
En histología se llama zona reticular a una de las regiones en que se divide la corteza de la glándula suprarrenal. Se encuentra en contacto con la médula suprarrenal en su porción interna y con la zona fasciculada en la porción externa. La zona reticular es la más delgada de las tres que forman la corteza suprarrenal, histológicamente está formada por grupos de células que se organizan formando cordones, los cuales al unirse entre sí dan lugar a una red irregular. La zona reticular secreta andrógenos en pequeñas cantidades, entre ellos dehidroepiandrosterona y androstenediona que acaban por transformarse en testosterona, que es la hormona sexual masculina. En el varón adulto los andrógenos producidos por esta región apenas provocan efectos fisiológicos ya que la secreción principal tiene lugar en el testículo, sin embargo en la mujer pueden originar fenómenos masculinizantes cuando se producen en cantidades excesivas. La hormona ACTH (adrenocorticotropa) secretada por la región anterior de la hipófisis actúa como estimulante de la corteza suprarrenal y favorece la producción de andrógenos suprarrenales. La hormona liberadora de hormona adrenocorticotropa producida por el hipotálamo actúa como estimulador de la secreción de ACTH por la hipófisis.[1][2]

Véase también
Referencias
- ↑ Fisiología de las glándulas suprarrenales. Autores: González-Albarrán, J. Fraile y R. García Robles. Medicine 2000; 8(21): 1097-1101. Consultado el 29 de octubre de 2019.
- ↑ Rainey WE, Nakamura Y (febrero de 2008). «Regulation of the Adrenal Androgen Biosynthesis». J. Steroid Biochem. Mol. Biol. 108 (3–5): 281-6. PMC 2699571. PMID 17945481. doi:10.1016/j.jsbmb.2007.09.015.