Virus del Zika

Virus del Zika

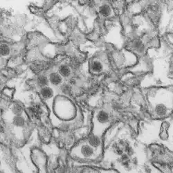
Micrografía electrónica del virus del Zika. Las partículas virales tienen 40 nm de diámetro, con envoltura externa y un núcleo interno denso. (fuente: CDC)

Modelo tridimensional de la cápside del virus, coloreado por cadenas de proteínas.
Taxonomía
Dominio: Riboviria
Reino: Orthornavirae
Filo: Kitrinoviricota
Familia: Flaviviridae
Género: Flavivirus
Especie: Virus Zika
Clasificación de Baltimore
Grupo: IV (Virus ARN monocatenario positivo)

El virus del Zika[1]​ (ZIKV) es un virus del género Flavivirus, de la familia Flaviviridae, grupo IV del orden sin clasificar[2]​ que se transmite por la picadura de mosquitos vectores del género Aedes.

En los seres humanos se produce la fiebre del Zika o enfermedad de Zika, la cual se conoce desde la década de 1950 como proveniente de la región ecuatorial que abarca de África a Asia. Su nombre proviene del bosque Zika, cerca de Entebbe (en Uganda), donde se aisló por primera vez este virus, en 1947.[3]

En 2014 el virus se propagó al este a través del océano Pacífico hacia la Polinesia Francesa, y después hacia la isla de Pascua para llegar en 2015 y 2016 a América Central, el Caribe y América del Sur, donde el brote epidémico del Zika ha alcanzado niveles pandémicos.[4][5]​ La enfermedad produce síntomas similares a formas leves de dengue,[6]​ su tratamiento consiste básicamente en el reposo,[7]​ y en la actualidad no existen medicamentos o vacunas para su prevención.[7]​ La fiebre del Zika está relacionada con otras enfermedades similares, como la fiebre amarilla y la fiebre del Nilo Occidental, las cuales también son producidas por otros Flavivirus transmitidos por mosquitos.[6]​ Hay vínculo entre la fiebre del Zika y la microcefalia en recién nacidos de madres infectadas como sucedió en el año 2016 en Brasil.[8][9]

Existen dos linajes de virus del Zika, el linaje africano y el linaje asiático.[10]​ Algunos estudios filogenéticos indican que el virus que está expandiéndose por el continente americano está más estrechamente relacionado con cepas provenientes de la Polinesia Francesa.[10]​ Ya se han publicado las secuencias completas del genoma del virus.[11]​ Algunos estudios preliminares de estos hallazgos demuestran un posible cambio en el funcionamiento del codón de la proteína no estructural 1, lo cual podría aumentar la tasa de replicación viral en humanos.[12]

Historia de la emergencia y diseminación del virus Zika

Con el objetivo inicial de estudiar el ciclo silvestre del virus de la fiebre amarilla, en el año 1946 se localizó un grupo centinela de monos Rhesus en el bosque de Zika, cerca de Entebbe, la capital de Uganda, en una zona infestada por mosquitos de la especie Aedes africanus.  Se tomaron muestras de sangre de uno de los monos que presentó un pico de fiebre, las que fueron inyectadas en ratones por vía intraperitoneal e intracerebral con el fin de aislar e identificar al agente causal del cuadro febril. Al virus aislado del cerebro de los ratones inoculados con las muestras de sangre por vía intracerebral se lo denominó Zika. Posteriormente, en enero de 1948, se efectuó una captura de mosquitos en el mismo bosque, cerca del área donde se había efectuado el aislamiento original en monos, detectándose la presencia del mismo virus en los extractos preparados a partir de ejemplares de Aedes africanus. Más adelante, en la misma región, se efectuaron nuevos aislamientos en mosquitos en 1958, y entre 1962 y 1963.[13][14]

El primer caso clínico de infección humana adjudicada al virus Zika se describió en 1952 en Nigeria, en una niña de 10 años que presentaba un cuadro de fiebre y cefalea. Al mismo tiempo que se aisló el virus que infectó a la niña, se presentaron dos hombres con ictericia transitoria y anticuerpos séricos contra el mismo agente viral, el cual fue identificado inicialmente como la cepa Chuku del virus Zika[15]​⁠. Sin embargo, estudios posteriores demostraron que la cepa Chuku pertenecía en realidad a una especie viral diferente, aunque estrechamente relacionada con Zika, el virus Spondweni. Boletín de la Organización Mundial de la Salud 2016;94:711-711A. Actualmente ambos virus, Zika y Spondweni, que producen cuadros clínicos prácticamente indistinguibles, son considerados como especies diferentes.

Mientras no se han registrado infecciones por virus Spondweni fuera del ámbito del África subsahariana (Boletín de la Organización Mundial de la Salud 2016;94:711-711A), el virus Zika se ha diseminado fuera del continente africano, primero hacia la Micronesia (2007), luego a la Polinesia francesa (2013-2014), y finalmente a Sudamérica, América Central y el Caribe, donde emergió con un brote epidémico de gran magnitud entre 2015 y 2016. Actualmente, el virus se ha diseminado por todo el planeta, excediendo el ámbito geográfico de dispersión de los mosquitos vectores, debido a su capacidad de transmitirse directamente entre humanos por vía sexual.[16][17]​⁠

Virología

Estructura del virión

El virión de Zika posee un genoma de ARN monocatenario, no segmentado, con sentido positivo y de un tamaño de 10.794 nt. El genoma está incluido en una cápside de simetría de tipo icosaédrico, constituida por una única subunidad polipeptídica, la proteína C. En la envoltura de la partícula viral inmadura se encuentra la proteína precursora prM, que mediante proteólisis se transforma en la proteína M del virión maduro. La glicoproteína E también se localiza en la envoltura, formando dímeros que, en el virión maduro, se ubican de forma paralela a la membrana lipídica, adoptando una simetría de tipo icosaédrica. El virión maduro tiene forma esférica y un tamaño aproximado de 50 nm.[18]

Organización y expresión del genoma

El genoma del virus Zika contiene un único marco de lectura abierto (ORF), flanqueado entre regiones 3’ y 5’ no codificantes. El extremo 5 'del genoma tiene una estructura de tipo “cap”, cuya función es promover su traducción inmediata luego del desnudamiento. Por otro lado, el extremo 3' no está poliadenilado, pero forma una estructura de bucle con propiedades regulatorias de la producción de ARNs funcionales no codificantes. El genoma se traduce en una única poliproteína, que posteriormente se escinde por acción de proteasas virales y celulares, lo que resulta en la producción de siete proteínas no estructurales, y las tres estructurales mencionadas anteriormente, C, prM/M y E. Las proteínas no estructurales (NS1, NS2A, NS2B, NS3, NS4A, NS4B y NS5) participan en la replicación, el ensamblaje de los viriones y el antagonismo de la respuesta innata de las células hospederas. La proteína NS5 presenta actividad de ARN polimerasa. Por otro lado, las proteínas estructurales forman la cápside (C), la matriz de la envoltura (M, derivada de la proteólisis del precursor prM) y la envoltura (glicoproteína E, involucrada en la adsorción y penetración virales).[19][20]​ Se ha descripto que, durante su replicación, los flavivirus como el virus Zika producen al menos dos ARN funcionales no codificantes: el ARN subgenómico de flavivirus (sfARN) y un posible miARN (KUN-miR -1). La formación de sfARN se produce a través de la degradación incompleta del ARN genómico por parte de la 5’-3’ exoribonucleasa-1 celular (XRN1) . El sfARN es esencial para la patogenicidad ya que se ha demostrado que su acumulación dentro de las células infectadas influye en el ciclo de vida de los flavivirus al menos de 3 formas distintas : (i) antagoniza la señalización inmune innata del huésped y, por lo tanto, subvierte la defensa del mismo ; (ii) inhibe la actividad de XRN1 y altera la homeostasis del ARNm del huésped ; y (iii) interactúa directamente con el complejo de replicación viral (RC) para modular su actividad. El segundo ARN no codificante funcional, KUN-miR-1, facilita la replicación del virus en mosquitos.[18]

Ciclo de replicación

El ciclo de replicación del virus Zika es similar al de otros virus del mismo género Flavivirus. El virión se une a los receptores de la membrana de la célula hospedera a través de la glicoproteína E de la envoltura, que induce la endocitosis del virión. A continuación, luego de la acidificación del endosoma, se produce  la fusión de la envoltura del virus con la membrana endosomal, la nucleocápside se desintegra y el genoma del virus se libera en el citoplasma. El genoma es transportado a los ribosomas, donde se traduce en la poliproteína que se escinde co- y post-traduccionalmente en las 10 proteínas citadas precedentemente.

El genoma del Virus Zika se replica a través de la transcripción a un intermediario de ARN simple cadena de polaridad negativa en el citoplasma de la célula, en una reacción catalizada por la ARN polimerasa viral. Luego de esa primera transcripción se inducen evaginaciones del retículo endoplasmático, que dan lugar a paquetes de vesículas, en las cuales el ARN de polaridad negativa se transcribe al ARN viral de polaridad positiva por acción de la ARN polimerasa viral. Estas vesículas reclutan las proteínas del virión, que luego son transportadas, junto con el genoma viral, al aparato de Golgi en donde se ensamblarán para luego ser liberados por exocitosis, previa maduración del virión por proteólisis de prM.[21]

Daño celular y efectos citopáticos

Numerosos estudios sugieren que tanto las proteínas estructurales, como algunas proteínas no estructurales, son responsables de los diversos efectos citopáticos observados en las células infectadas por el virus Zika.[22]​ La expresión de estas proteínas restringe la proliferación celular, provocando la hipertrofia inducida o el estrés oxidativo que conducen a la muerte celular. En este sentido, se ha descripto que la expresión de prM se asocia al bloqueo del ciclo celular en G1, mientras que C, M, E y NS4A bloquean el ciclo en la etapa G2/M. Además, como consecuencia de la replicación viral, el aparato de Golgi y el retículo endoplasmático de las células infectadas aparecen alterados. La morfología nuclear también se modifica para formar una estructura en forma de riñón debido a la acumulación de retículo endoplasmático.[23]

Se cree que la patogénesis viral comienza con la infección de las células dendríticas cercanas al sitio de la inoculación, seguido por la diseminación a los nódulos linfáticos y el torrente sanguíneo.[24]​ Generalmente, los Flavivirus se replican en el citoplasma, pero se han encontrado antígenos de virus del Zika dentro del núcleo celular.[25]

Transmisión

Evolución del virus Zika en el continente americano, febrero de 2016.     Más de un millón de casos confirmados.      Entre un millón y 1500 casos.     Menos de 1500 casos.
Aedes aegypti
Aedes aegypti, mosquito vector del virus del Zika.

El virus del Zika es transmitido por mosquitos con actividad diurna y ha sido aislado a partir de varias especies en el género Aedes, como el A. aegypti, además de mosquitos arborícolas como el A. africanus, A. apicoargenteus, A. furcifer, A. hensilli, A. luteocephalus, y A. vitattus. Los estudios muestran que el periodo de incubación extrínseco en los mosquitos es aproximadamente de 10 días.[26]​ Los huéspedes vertebrados del virus son principalmente monos y seres humanos.[27]

Distribución mundial de Aedes aegypti
Distribución mundial de Aedes aegypti. Mapa de probabilidad de ocurrencia:     Ocurrencia más alta.     Ninguna.

El potencial del riesgo de infección con el virus del Zika puede estar limitado a la distribución de las especies de mosquitos que lo transmiten (su vector epidemiológico). La distribución mundial del portador más conocido del virus Zika, el Aedes aegypti, se está expandiendo debido al comercio global y los viajes.[28]​ La distribución del Aedes aegypti es ahora la más extensa jamás registrada, prácticamente en todos los continentes, incluidas América del Norte y la periferia de Europa.[29]

En 2009, Brian Foy, un biólogo de la Universidad Estatal de Colorado en los Estados Unidos, transmitió sexualmente el virus del Zika a su esposa. Foy había visitado Senegal para estudiar las poblaciones de mosquitos, y le picaron en varias ocasiones. Pocos días después de regresar a los Estados Unidos, contrajo fiebre del Zika, pero no antes de tener relaciones sexuales sin protección con su esposa. Después de esto, ella también mostraría los síntomas de la infección, incluso fotosensibilidad. Foy es la primera persona de la que se sabe que transmitió por contacto sexual un virus que requiere ser transportado por vectores a otro ser humano.[30][31]

En 2015, se detectó el ARN del virus del Zika en el líquido amniótico de dos fetos, lo que indica que habría cruzado la placenta y podría causar la transmisión vertical de la enfermedad de una madre a su hijo no nato.[32]​ El 20 de enero de 2016, científicos del estado de Paraná en Brasil detectaron material genético del virus del Zika en la placenta de una mujer que abortó a su feto debido a microcefalia, lo cual confirma que el virus es capaz de cruzar la barrera placentaria.[33]

Enfermedad

Eflorescencia (sarpullido) en un brazo, debido al virus del Zika.

Los síntomas más comunes de la infección con el virus incluyen dolores de cabeza leves, eflorescencia o erupciones maculopapulares, fiebre, malestar general, conjuntivitis y dolores articulares. El primer caso bien documentado por infección del virus del Zika se describió en 1964; comenzó con un dolor de cabeza leve y progresó hasta convertirse en un sarpullido maculopapular junto con fiebre y dolor de espalda. En dos días, el sarpullido comenzó a disminuir y al tercer día la fiebre cedió para solo quedar las erupciones. La fiebre del Zika se considera una enfermedad relativamente leve y limitada, y solo 1 de cada 5 personas desarrollarán los síntomas sin llegar a ser fatal, aunque el verdadero potencial como agente viral causante de enfermedad es desconocido.[26]

No existen vacunas o medicamentos preventivos para el virus del Zika. Los síntomas pueden ser tratados con analgésicos como el paracetamol, ya que otros AINES como la aspirina solo deberían ser utilizados tras descartar infección por dengue u otros Flavivirus, con el fin de reducir el riesgo de sangrado.[34]

Durante la epidemia en la Polinesia Francesa, se confirmaron 73 casos de síndrome de Guillain–Barré y otros padecimientos neurológicos, y se sospecha que podrían ser complicaciones del virus, aunque no hay estudios que lo confirmen.[27]

Relación con la microcefalia

Ilustración de un bebé con microcefalia (izq.) en comparación con un bebé sin microcefalia (der.)

La microcefalia es la degeneración o malformación del cerebro que determina el nacimiento de niños con una cabeza de tamaño más pequeño que el normal y que en ocasiones provoca la muerte a los 10 días de vida. En diciembre de 2015, el Centro Europeo para la Prevención y Control de Enfermedades (ECDC) publicó un aviso sobre la posible asociación del virus del Zika con microcefalia congénita.[35]​ Los datos sugieren que en los fetos de las mujeres infectadas por el virus durante el primer trimestre del embarazo existe un riesgo alto de microcefalia;[36]​ otras investigaciones indican que además de ese síndrome este tipo de transmisión vertical podría causar daño cerebral.[37][38]

Otros efectos

Según pruebas realizadas con ratones, Uraki y colaboradores, afirman en 2017[39]​ que el virus disminuye los niveles de testosterona y reduce significativamente el tamaño de los testículos.[40][41]

Desarrollo de vacunas

En la actualidad, existen vacunas efectivas contra muchos Flavivirus. Por ejemplo, las vacunas contra la fiebre amarilla, la encefalitis japonesa y la encefalitis transmitida por garrapatas se introdujeron en la década de 1930, mientras que la vacuna contra el dengue lo ha sido recientemente.[42][43]

Los trabajos hacia el desarrollo de una vacuna contra el virus del Zika ya habrían comenzado, según el doctor Anthony Fauci, director del Instituto Nacional de Alergia y Enfermedades Infecciosas de los Estados Unidos (NIAID).[44]​ Los investigadores del NIAID ya han tenido experiencia previa al trabajar en vacunas contra enfermedades similares como el virus del Nilo Occidental, el virus chikunguña y el dengue.[44]​ En 2017 se informó de buenas resultados en estudios preclínicos utilizando vacunas de ARN mensajero.[45]

El tiempo necesario para desarrollar una vacuna efectiva, certificarla y ponerla en producción es largo y complejo. Los primeros pasos se llevan a cabo en el laboratorio e incluyen pruebas en animales, ensayos clínicos y las licencias de aplicación y aprobación requeridas.[46]​ Se estima que podría llevar al menos unos 10 a 12 años el tener una vacuna efectiva contra el virus del Zika disponible para su uso.[47]

Véase también

Referencias

  1. «Recomendación: zika, escritura adecuada». Fundéu BBVA. 22 de enero de 2016. 
  2. "Zika virus: Health alerts in South America and Caribbean following fears illness may cause birth deformities" (en inglés)
  3. "ATCC Product Sheet Zika virus (ATCC® VR84TM) Original Source: Blood from experimental forest sentinel rhesus monkey, Uganda, 1947", artículo publicado en el sitio web ATCC.org. Consultado el 4 de febrero de 2016.
  4. McKenna, Maryn (13 de enero de 2016). «Zika Virus: A New Threat and a New Kind of Pandemic». Germination. Consultado el 18 de enero de 2016. 
  5. «WHO sees Zika outbreak spreading through the Americas». Reuters. 25 de enero de 2016. Consultado el 25 de enero de 2016. 
  6. a b «Zika virus infection». ecdc.europa.eu. Consultado el 18 de enero de 2016. 
  7. a b «Symptoms, Diagnosis, & Treatment». Zika Virus. DVBD, NCEZID, Centers for Disease Control and Prevention. 
  8. Oliveira Melo, A. S.; Malinger, G.; Ximenes, R.; Szejnfeld, P. O.; Alves Sampaio, S.; Bispo de Filippis, A. M. (1 de enero de 2016). «Zika virus intrauterine infection causes fetal brain abnormality and microcephaly: tip of the iceberg?». Ultrasound in Obstetrics & Gynecology (en inglés) 47 (1): 6-7. ISSN 1469-0705. doi:10.1002/uog.15831. 
  9. «Epidemiological update: Outbreaks of Zika virus and complications potentially linked to the Zika virus infection». European Centre for Disease Prevention and Control. Consultado el 18 de enero de 2016. 
  10. a b «Zika virus genome from the Americas - The Lancet». www.thelancet.com. Consultado el 26 de enero de 2016. 
  11. Kuno, G.; lChang, G.-J. J. (1 de enero de 2007). «Full-length sequencing and genomic characterization of Bagaza, Kedougou, and Zika viruses». Archives of Virology 152 (4): 687-696. ISSN 0304-8608. PMID 17195954. doi:10.1007/s00705-006-0903-z. 
  12. Freire, Caio Cesar de Melo; Iamarino, Atila; Neto, Daniel Ferreira de Lima; Sall, Amadou Alpha; Zanotto, Paolo Marinho de Andrade (25 de noviembre de 2015). «Spread of the pandemic Zika virus lineage is associated with NS1 codon usage adaptation in humans» (PDF 370KB). BioRxiv (en inglés): 032839 (8 páginas). doi:10.1101/032839. 
  13. G. W. A. Dick, S. F. Kitchen, A. J. H. ZIKA VIRUS (I). ISOLATIONS AND SEROLOGICAL SPECIFICITY. Trans. R. Soc. Trop. Med. Hyg. 46, (1952).
  14. Williams, M. . W. M. . Zika virus: Further isolations in the zika area, and some studies on the strains isolated. Trans. R. Soc. Trop. Med. Hyg. 52, 263–268 (1958)
  15. MacNamara, F. N. Zika virus : A report on three cases of human infection during an epidemic of jaundice in Nigeria. Trans. R. Soc. Trop. Med. Hyg. 48, 139–145 (1954).
  16. Haddow, Andrew D, J. P. W. Distinguishing between Zika and Spondweni viruses. Bull World Heal. Organ (2016).
  17. Mary Kay Kindhauser, Tomas Allen, Veronika Frank, Ravi Shankar Santhana, C. D. Zika: the origin and spread of a mosquito-borne virus. Bull World Heal. Organ (2016).
  18. a b G. Kuno, G. . C. Full-length sequencing and genomic characterization of Bagaza, Kedougou, and Zika viruses. Arch. Virol. 152, 687–696 (2007).
  19. C., C. T. C. H. G. R. ; R. Flavivirus genome organization , expression and replication. Microbiol. Rev 44, 649–688 (1990).
  20. Zanluca C. Dos Santos C.N., Zika virus: an overview. Microbes Infect. (2016).
  21. J, G. L. H. A. . M. G. . M. The Endoplasmic Reticulum Provides the Membrane Platform for Biogenesis of the Flavivirus Replication Complex. J Virol 84, (2010).
  22. Gómez L., Montoya G., Rivera H., H. J. Características de la estructura molecular de las proteínas E del virus del Zika y E1 del virus de la rubéola y posibles implicaciones en el neurotropismo y en las alteraciones del sistema nervioso. Rev. Biomédica 37, (2017).
  23. Cortese M, G. S. Ultrastructural Characterization of Zika Virus Replication Factories. Cell Rep. 18, 2113–2123 (2017).
  24. Knipe, David M.; Howley, Peter M. (2007). Fields' Virology (5th edición). Lippincott Williams & Wilkins. pp. 1156, 1199. ISBN 978-0-7817-6060-7. 
  25. Buckley, A.; Gould, E. A. (1988). «Detection of virus-specific antigen in the nuclei or nucleoli of cells infected with Zika or Langat virus». Journal of General Virology 69 (8): 1913-20. PMID 2841406. doi:10.1099/0022-1317-69-8-1913. 
  26. a b Hayes, E. B. (2009). «Zika Virus Outside Africa». Emerging Infectious Diseases 15 (9): 1347-50. PMC 2819875. PMID 19788800. doi:10.3201/eid1509.090442. 
  27. a b Fauci, Anthony S.; Morens, David M. (14 de enero de 2016). «Zika Virus in the Americas – Yet Another Arbovirus Threat». New England Journal of Medicine 374 (2): 160113142101009. PMID 26761185. doi:10.1056/NEJMp1600297. 
  28. Kraemer, Moritz UG; Sinka, Marianne E.; Duda, Kirsten A.; Mylne, Adrian QN; Shearer, Freya M.; Barker, Christopher M.; Moore, Chester G.; Carvalho, Roberta G. et al. (7 de julio de 2015). «The global distribution of the arbovirus vectors Aedes aegypti and Ae. albopictus». eLife (en inglés) 4: e08347. ISSN 2050-084X. PMC 4493616. PMID 26126267. doi:10.7554/eLife.08347. Consultado el 24 de enero de 2016. 
  29. «Aedes aegypti». ecdc.europa.eu. Consultado el 25 de enero de 2016. 
  30. Foy, B. D.; Kobylinski, K. C.; Foy, J. L. C.; Blitvich, B. J.; Travassos Da Rosa, A.; Haddow, A. D.; Lanciotti, R. S.; Tesh, R. B. (2011). «Probable Non–Vector-borne Transmission of Zika Virus, Colorado, USA». Emerging Infectious Diseases 17 (5): 880-2. PMC 3321795. PMID 21529401. doi:10.3201/eid1705.101939. 
  31. Enserink, M. (6 de abril de 2011). «Sex After a Field Trip Yields Scientific First». Science News. AAAS. 
  32. Vogel, Gretchen (3 de diciembre de 2015). «Fast-spreading virus may cause severe birth defects». Science News. AAAS. doi:10.1126/science.aad7527. 
  33. «Caso de aborto confirma que zika consegue atravessar a placenta». Bem Estar (en portugués). globo.com. 20 de enero de 2016. 
  34. «For Health Care Providers: Clinical Evaluation & Disease». Zika Virus. DVBD, NCEZID, Centers for Disease Control and Prevention. 19 de enero de 2016. Archivado desde el original el 25 de diciembre de 2015. Consultado el 28 de enero de 2016. 
  35. «Rapid risk assessment: Zika virus epidemic in the Americas: potential association with microcephaly and Guillain-Barré syndrome» (PDF). Stockholm: European Centre for Disease Prevention and Control. 10 de diciembre de 2015. p. 14. Archivado desde el original el 12 de febrero de 2016. Consultado el 9 de enero de 2016. 
  36. Beaubien, Jason (22 de enero de 2016). «The Zika Virus Takes A Frightening Turn – And Raises Many Questions». NPR. 
  37. Darlington, S. (23 de diciembre de 2015). «Brazil warns against pregnancy due to spreading virus». CNN. Consultado el 23 de diciembre de 2015. 
  38. Oliveira Melo, A. S.; Malinger, G.; Ximenes, R.; Szejnfeld, P. O.; Alves Sampaio, S.; Bispo de Filippis, A. M. (1 de enero de 2016). «Zika virus intrauterine infection causes fetal brain abnormality and microcephaly: tip of the iceberg?». Ultrasound in Obstetrics & Gynecology (en inglés) 47 (1): 6-7. ISSN 1469-0705. doi:10.1002/uog.15831. 
  39. Uraki, R.; Hwang, J.; Jurado, K. A.; Householder, S.; Yockey, L. J.; Hastings, A. K.; Homer, R. J.; Iwasaki, A. y Fikrig, E. (2017) «Zika virus causes testicular atrophy». Science Advances, 3(2): e1602899 doi 10.1126/sciadv.1602899
  40. «Estudio revela que el zika baja la testosterona y afecta los testículos». El Universal. 22 de febrero de 2017. Archivado desde el original el 25 de febrero de 2017. Consultado el 25 de febrero de 2017. 
  41. Ziba Kashef (22 de febrero de 2017). «Zika virus harms testes, says study». Yale News (en inglés). Consultado el 25 de febrero de 2017. 
  42. Bennett, John E.; Dolin, Raphael; Blaser, Martin J. (28 de agosto de 2014). «Principles and Practice of Infectious Diseases». Elsevier Health Sciences (en inglés). p. 1881. ISBN 9781455748013. 
  43. Maron, Dina Fine. «First Dengue Fever Vaccine Gets Green Light in 3 Countries». Scientific American. Consultado el 28 de enero de 2016. 
  44. a b Sternberg, Steve (22 de enero de 2016). «Vaccine Efforts Underway as Zika Virus Spreads». US News & World Report. Consultado el 28 de enero de 2016. 
  45. Fernandez, E; Diamond, MS (19 de abril de 2017). «Vaccination strategies against Zika virus». Current Opinion in Virology 23: 59-67. PMC 5576498. PMID 28432975. doi:10.1016/j.coviro.2017.03.006. 
  46. «Vaccine Development, Testing, and Regulation — History of Vaccines». www.historyofvaccines.org. Consultado el 28 de enero de 2016. 
  47. «Zika virus: US scientists say vaccine '10 years away' - BBC News». BBC News (en inglés británico). Consultado el 28 de enero de 201628 de enero de 2016. 

Enlaces externos