Vellosidades coriónicas
| Vellosidades coriónicas | ||
|---|---|---|
![]() 24 días | ||
|
| ||
Las vellosidades coriónicas[1] son vellosidades que brotan del corion de la placenta, para proporcionar un área máxima de contacto con la sangre materna.
Son un elemento esencial en el embarazo desde el punto de vista histomorfológico y son, por definición, un producto de la concepción. Las ramas de las arterias umbilicales llevan sangre embrionaria a las vellosidades. Tras circular por los capilares de las vellosidades, la sangre vuelve al embrión a través de la vena umbilical. Así, las vellosidades forman parte del límite entre la sangre materna y fetal durante el embarazo.
Estructura


Las vellosidades también se pueden clasificar por sus relaciones:
- Las vellosidades flotantes flotan libremente en el espacio intervelloso. Exhiben un epitelio de dos capas que consta de citotrofoblastos con sincitio superpuesto (sincitiotrofoblasto).
- Las vellosidades de anclaje (tallo) estabilizan la integridad mecánica de la interfaz placentaria-materna.
Desarrollo
El corion sufre una rápida proliferación y forma numerosos procesos, las vellosidades coriónicas, que invaden y destruyen la decidua uterina y al mismo tiempo absorben de ella materiales nutritivos para el crecimiento del embrión. Pasan por varias etapas, dependiendo de su composición.
| Escenario | Descripción | Período de gestación | Contenido |
| Primario | Las vellosidades coriónicas son al principio pequeñas y no vasculares. | 13–15 días | solo trofoblasto[2] |
| Secundario | Las vellosidades aumentan de tamaño y se ramifican, mientras que el mesodermo crece en ellas. | 16–21 días | trofoblasto y mesodermo[2] |
| Terciario | Las ramas de la arteria umbilical y la vena umbilical crecen en el mesodermo, y de esta manera se vascularizan las vellosidades coriónicas. | 17–22 días | trofoblasto, mesodermo y vasos sanguíneos[2] |
Hasta aproximadamente el final del segundo mes de embarazo, las vellosidades cubren todo el corion y son de tamaño casi uniforme, pero después de eso, se desarrollan de manera desigual.
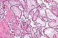
Microanatomía

La mayor parte de las vellosidades consiste en tejidos conectivos que contienen vasos sanguíneos. La mayoría de las células del núcleo de tejido conjuntivo de las vellosidades son fibroblastos. También están presentes los macrófagos conocidos como células de Hofbauer .
Significación clínica
Uso para diagnóstico prenatal
En 1983, un biólogo italiano llamado Giuseppe Simoni descubrió un nuevo método de diagnóstico prenatal utilizando vellosidades coriónicas.[3]
Célula madre
Las vellosidades coriónicas son una rica fuente de células madre. Las células madre coriónicas, al igual que las células madre amnióticas, son células madre multipotentes no controvertidas.[4]
Infecciones
Estudios recientes indican que las vellosidades coriónicas pueden ser susceptibles a infecciones bacterianas[5] y virales. Hallazgos recientes indican que el ureaplasma parvum puede infectar los tejidos de las vellosidades coriónicas de las mujeres embarazadas, lo que afecta el resultado del embarazo.[5] Se ha detectado ADN del poliomavirus JC y del poliomavirus de células de Merkel en vellosidades coriónicas de mujeres embarazadas y mujeres afectadas por un aborto espontáneo.[6][7] También se ha detectado ADN del poliomavirus BK en los mismos tejidos, pero en menor medida.[6]
Aborto temprano

En el aborto espontáneo temprano, el hallazgo de vellosidades coriónicas en las expulsiones vaginales suele ser la única confirmación definitiva de que hubo un embarazo intrauterino en lugar de un embarazo ectópico.
Imágenes Adicionales
-
Micrografía que muestra vellosidades coriónicas. Aumento intermedio. Tinción H&E. -
Micrografía que muestra vellosidades coriónicas. Ampliación muy alta. Tinción H&E. -
Sección a través del embrión. -
Sección transversal de una vellosidad coriónica. -
Embrión humano de unos 28 días, con saco vitelino.
Véase también
Referencias
- ↑ OMS,OPS,BIREME (ed.). «Vellosidades coriónicas». Descriptores en Ciencias de la Salud, Biblioteca Virtual en Salud.
- ↑ a b c Larsen, William J. : Human embryology. Sherman, Lawrence S.; Potter, S. Steven; Scott, William J. 3. ed.
- ↑ «Europe's Biocell Center opens Medford office – Daily Business Update – The Boston Globe». 22 de octubre de 2009. Consultado el 11 de enero de 2010.
- ↑ «The Ticker - BostonHerald.com». Archivado desde el original el 21 de septiembre de 2012. Consultado el 11 de enero de 2010.
- ↑ a b Contini, Carlo; Rotondo, John C.; Magagnoli, Federica; Maritati, Martina; Seraceni, Silva; Graziano, Angela; Poggi, Alice; Capucci, Roberta et al. (2018-01). «Investigation on silent bacterial infections in specimens from pregnant women affected by spontaneous miscarriage». Journal of Cellular Physiology 234 (1): 100-107. ISSN 1097-4652. PMID 30078192. doi:10.1002/jcp.26952.
- ↑ a b Tagliapietra, A.; Rotondo, J. C.; Bononi, I.; Mazzoni, E.; Magagnoli, F.; Maritati, M.; Contini, C.; Vesce, F. et al. (1 de marzo de 2019). «Footprints of BK and JC polyomaviruses in specimens from females affected by spontaneous abortion». Human Reproduction (Oxford, England) 34 (3): 433-440. ISSN 1460-2350. PMID 30590693. doi:10.1093/humrep/dey375.
- ↑ Tagliapietra, Andrea; Rotondo, John Charles; Bononi, Ilaria; Mazzoni, Elisa; Magagnoli, Federica; Gonzalez, Lucia Oton; Contini, Carlo; Vesce, Fortunato et al. (2020-03). «Droplet-digital PCR assay to detect Merkel cell polyomavirus sequences in chorionic villi from spontaneous abortion affected females». Journal of Cellular Physiology 235 (3): 1888-1894. ISSN 1097-4652. PMID 31549405. doi:10.1002/jcp.29213.
Enlaces externos
- http://www.med.umich.edu/lrc/coursepages/M1/embryology/embryo/06placenta.htm (enlace roto disponible en Internet Archive; véase el historial, la primera versión y la última).
