Varicocele
| Varicocele | ||
|---|---|---|
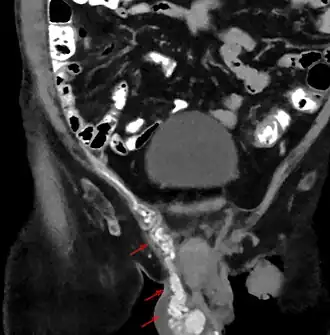
![]() Un varicocele visto mediante tomografía computarizada. Se pueden ver las venas bien desarrolladas a lo largo del cordón espermático. | ||
| Especialidad | urología | |
En medicina, el término varicocele[1] se refiere a la dilatación de las venas del cordón espermático que drenan los testículos, las cuales se vuelven tortuosas y alargadas.[2] En el varicocele femenino, la dilatación se produce en la vena ovárica y da lugar a varices pélvicas (uterinas, vaginales, vulvares, rectales y anales) y en piernas o muslos, ocasionando el denominado síndrome de congestión pélvica.
Los vasos sanguíneos que nutren al testículo se originan en el abdomen y descienden por el conducto inguinal, formando parte del cordón espermático, hasta llegar a la gónada. El flujo de sangre venoso está controlado por una serie de válvulas que impiden el reflujo sanguíneo. Unas válvulas defectuosas o la compresión de las venas por estructuras adyacentes pueden causar la dilatación de estas venas y originar un varicocele.[3]
Epidemiología
El varicocele se da entre el 15 y el 20 % de los hombres. Alrededor del 40 % de los hombres infértiles presenta esta patología.[4] Se diagnostica entre los 15 y 25 años de edad e incluso antes de dicha edad, y es raro encontrarlo después de los 45 años. La mayoría de los casos son extratesticulares, aunque en el 2 % de los casos se presenta intratesticular. Las venas que más se afectan son las del lado izquierdo, aunque puede darse también en el derecho e incluso en ambos lados.[5]
Etiología
Varicocele idiopático
El varicocele idiopático se produce cuando las válvulas, situadas entre las venas a lo largo del cordón espermático, no funcionan correctamente. Se trata del mismo mecanismo que da lugar a las venas varicosas comunes en las piernas. Esto da lugar a un reflujo sanguíneo en el plexo pampiniforme que ocasiona un aumento de las presiones y, finalmente, daños en el tejido testicular. El 98 % de los varicoceles idiopáticos ocurren en el lado izquierdo, posiblemente debidos al trayecto de la vena espermática izquierda desembocando en la vena renal. La vena espermática derecha drena directamente en la vena cava inferior, un trayecto considerablemente menor. Los varicoceles aislados en el lado derecho son raros, por ello deben ser objeto de evaluación ante una posible masa abdominal o pélvica.
Varicocele secundario
El varicocele secundario se origina por la compresión del drenaje venoso del testículo por diferentes causas, principalmente de estirpe tumoral.[6] La presencia de un varicocele secundario en un paciente de más de 40 años de edad establece una sospecha de malignidad pélvica o abdominal. Una causa no maligna del varicocele secundario es el denominado síndrome de cascanueces,[7] en el que la vena renal izquierda está atrapada entre la arteria aorta y la arteria mesentérica superior, lo que provoca el aumento de las presiones que se transmiten retrógradamente al plexo pampiniforme del lado izquierdo.[8]
Fisiopatología

El término varicocele se refiere a la dilatación y a la tortuosidad del plexo pampiniforme, la red de venas que drena el testículo.[3] Este plexo, resultante de la fusión de las venas espermáticas, viaja a lo largo de la porción posterior del testículo y del epidídimo con el conducto deferente y después continúa en el interior del cordón espermático.[9] La vena espermática derecha desemboca en la vena cava inferior, mientras que la espermática izquierda lo hace en la vena renal izquierda, en ángulo recto, la cual desembocará posteriormente en la cava inferior.
Los vasos que componen el plexo pampiniforme alcanzan, normalmente, los 0.5-1.5 mm de diámetro. Sin embargo, cuando existe varicocele, superan los 2 mm de diámetro.[2]
La red venosa del cordón espermático drena hacia la vena espermática y se conoce como plexo pampiniforme. Este trastorno es esencialmente igual a las varices en las piernas y hacen que una vena, que normalmente tiene 0,5-1,5 mm de diámetro, se dilate a más de 2 mm.
La presencia de varicocele se relaciona con recuentos anormales de espermatozoides y daño incrementado en su ADN, aún en presencia de semen con características normales. El daño producido es consecuencia de reacciones de oxidación.[10]
Se ha encontrado una asociación entre la exposición al humo del cigarrillo y el deterioro del espermiograma en pacientes con varicocele.[11]
Cuadro clínico
En la mayoría de los casos el varicocele no se se desarrolla con síntomas evidentes. Un niño puede crecer sin que él o sus padres noten el varicocele. Muchos adolescentes no saben que presentan esta enfermedad hasta que se les hace un examen físico de rigor, como el requerido por ciertas empresas laborales y en la inscripción militar obligatoria.
Los síntomas pueden presentarse al final de un día inusualmente caluroso, luego de realizar ejercicio físico prolongado,[12] al final del coito, o después de estar en posición vertical durante un período extenso de tiempo.
Los síntomas de un varicocele pueden incluir:[13]
- Dolor o sensación de arrastre en el escroto.
- Puntadas, sensación de cosquilleo.
- Sensación de pesadez en el testículo.
- Infertilidad.
- Atrofia o contracción testicular.
- Presencia de una vena dilatada que se detecta mediante la vista o con la palpación.
El varicocele puede agravarse y llegar a una fase en la que aumenta el volumen del escroto o del testículo. Esto causa dolor o incomodidad, al punto de poder limitar los movimientos pasivos de la cadera. La intensidad del dolor, que suele ser intermitente, se acompaña con una irradiación principalmente al interior del muslo. El dolor causado por un varicocele suele mitigarse con los analgésicos habituales.
Diagnóstico
A la palpación se encuentra una masa contorsionada y blanda a lo largo del cordón espermático, que se describe como una bolsa de gusanos.[14] Para facilitar la palpación de la masa se le aconseja al paciente que realice la maniobra de Valsalva o bien, que se mantenga de pie durante el examen, con el fin de incrementar la presión venosa intraabdominal y provocar la dilatación de las venas.
Sin embargo, la masa puede no ser tan obvia, especialmente cuando se extiende hacia abajo. El lado del testículo que presenta el varicocele puede o no ser más pequeño en relación con el lado sano.
Cuando el varicocele no se evidencia mediante la exploración física pueden resultar fiables los ultrasonidos porque detectan la dilatación de los vasos del plexo pampiniforme a más de 2 mm. La ecografía Doppler es una técnica que mide la velocidad a la que la sangre fluye por los vasos.[2] Realizar la maniobra de Valsalva durante la exploración con Doppler aumenta la sensibilidad de la técnica porque detecta el flujo sanguíneo retrógrado que se origina en un varicocele.[2]
-
Varicocele en ecografía (izquierda: testículo) -
Varicocele
Tratamiento

Los varicoceles se pueden tratar con un soporte escrotal (por ejemplo, suspensorios o calzoncillos especiales), junto con un fármaco vasoconstrictor. Sin embargo, si el dolor continúa o si aparece infertilidad o atrofia testicular, puede ser necesaria una ligadura quirúrgica.
El tratamiento quirúrgico del varicocele se denomina varicocelectomía.[15] Las tres posibles vías de abordaje son la inguinal, la retroperitoneal y la infrainguinal/subinguinal. Tras realizar la incisión se buscan las venas espermáticas dilatadas y se ligan con seda. Se trata de una intervención muy sencilla realizada en poco más de media hora y con anestesia epidural. Al tratarse de una intervención ambulatoria, el paciente puede irse a casa en un par de horas o cuando desaparezcan los efectos de dicha anestesia. Durante las 24 horas posteriores a la cirugía se mantienen bolsas de hielo para reducir la inflamación. También se recomienda el uso de un suspensorio, puesto que evita las molestias de este padecimiento, como el dolor.
Las posibles complicaciones de este procedimiento incluyen un hematoma, una infección, o un daño en los tejidos y estructuras escrotales. Además, el daño a la arteria que suministra la sangre al testículo también puede ocurrir.
Una alternativa a la cirugía es la embolización, una técnica mínimamente invasiva que se lleva a cabo por un radiólogo intervencionista. Esto implica introducir un pequeño catéter por una vena periférica y llegar hasta las venas abdominales que drenarán los testículos. Mediante un pequeño y flexible catéter, se obstruyen las venas para que el aumento de la presión desde el abdomen ya no se transmita a los testículos (estos drenarán a través de pequeñas venas colaterales). El período de recuperación es significativamente menor que con la cirugía y el riesgo de complicaciones es mínimo. La embolización es un tratamiento efectivo aún para los varicoceles que anteriormente han sido intervenidos quirúrgicamente;[16] se trata de varicoceles que reaparecen después de haber sido operados quirúrgicamente. La principal teoría que explica este hecho es la presencia de venas testiculares que proceden de la colateralización venosa. El uso de un pegamento durante la embolización o de espirales metálicas, puede ser efectivo frente al fenómeno de las venas colaterales.[17]
Pronóstico
El varicocele suele ser inocuo y normalmente no requiere tratamiento por un tiempo indefinido o hasta que aparezcan síntomas.[14] Si es necesaria la cirugía por la aparición de infertilidad o atrofia testicular, el pronóstico es bueno. La eliminación quirúrgica del varicocele puede restablecer la temperatura testicular, lo que resulta en un aumento de la producción de espermatozoides.[3]
Complicaciones
Con el aumento de la presión causada por la varicosidad, el complejo de venas que drenan el testículo aumentan la resistencia a la circulación sanguínea, causando alteraciones metabólicas y estructurales del órgano, lo que puede conllevar daño al tejido circundante. Pueden verse afectadas las condiciones ideales para el crecimiento y la maduración de los espermatozoides sanos y su capacidad fecundante. Sin tratamiento, el varicocele es una causa frecuente de infertilidad masculina y también pueden causar dolor crónico. A menudo se ha observado la alteración de fluido seminal que presenta diversas anomalías, el más frecuente es la reducción del número de espermatozoides y/o deterioro de su motilidad y morfología. La dilatación de las venas se traduce en un aumento de unos pocos grados de la temperatura de los testículos que si se mantiene durante un tiempo prolongado, puede causar infertilidad, ya que la producción de espermatozoides, es muy sensible a pequeños cambios de temperatura.
Véase también
Referencias
- ↑ Es un término masculino: el varicocele, según su artículo en el Diccionario de la lengua española.
- ↑ a b c d Carol M. Rumack; Stephanie R. Wilson, J. William Charboneau, Jo-Ann Johnson (2006). «Capítulo 24: El escroto». Diagnóstico por ecografía. España: Elsevier. p. 870. ISBN 848174879X. Consultado el 3 de abril de 2009.
- ↑ a b c Craig A Canby (2007). Anatomía basada en la resolución de problemas. España: Elsevier. p. 163. ISBN 8481749877. Consultado el 3 de abril de 2009.
- ↑ Lomboy; Coward, JR; RM (2016). «The Varicocele: Clinical Presentation, Evaluation, and Surgical Management». Seminars in Interventional Radiology 33 (3): 163-169. doi:10.1055/s-0036-1586143. Consultado el 10/06/25.
- ↑ Márquez Moreno, Antonio Javier; Emilio Julve Villalta y José Ruiz Escalante. «Epidemiología del varicocele».
- ↑ Vallejo-Ordoñez; Carrillo-Quisnia; Vivanco-Castillo; Morales-Barrera, G. M.; I. D.; D. L.; C. A. (Noviembre-diciembre 2023). «Actualización sobre el diagnóstico y tratamiento del varicocele». Revista de Ciencias Médicas de Pinar del Río 27 (6).
- ↑ «El varicocele secundario». Archivado desde el original el 31 de octubre de 2009.
- ↑ Rudloff U, Holmes RJ, Prem JT, Faust GR, Moldwin R, Siegel D (2006). «Mesoaortic compression of the left renal vein (nutcracker syndrome): case reports and review of the literature». Annals of Vascular Surgery 20. PMID 16374539. doi:10.1007/s10016-005-5016-8. p. 120-9.
- ↑ R. J. Last; Chummy S. Sinnatamby (2003). Anatomía de Last. Paidotribo. pp. 222-223. ISBN 848019670X. Consultado el 3 de abril de 2009.
- ↑ R. Smith, H. Kaune, D. Parodi, M. Madariaga, R. Rios, I. Morales y A. Castro (2006 de abril). «Increased sperm DNA damage in patients with varicocele: relationship with seminal oxidative stress». Hum. Reprod. (en inglés) 21 (4): 986-993.
- ↑ ACEVEDO, Cyntia, HIDALGO cuen, María E, VENEGAS, Andrés et al. Evaluación de la posible incidencia de la varicocelectomía sobre el estrés oxidativo asociado con varicocele. Rev Cubana Invest Bioméd [online]. 2000, vol. 19, no. 3 [citado 2008-05-30], pp. 213-216. Disponible en: [1]. ISSN 0864-0300.
- ↑ Antonio J. Arnal Meinhardt. Varicocele, dolor en testículo Archivado el 14 de agosto de 2012 en Wayback Machine. Rev TuDoctorOnline. Consultado 18 de septiembre de 2012.
- ↑ por MedlinePlus (mayo de 2008). «Varicocele». Enciclopedia médica en español. Consultado el 20 de marzo de 2009.
- ↑ a b Cuppett, Micki; Walsh, Katie M (2007). «Enfermedades genitourinarias y ginecológicas». Medicina general aplicada al deporte. Elsevier España. ISBN 8481749915. «Véase página 160».
- ↑ Masson, S.; Günter Janetschek, Donald P Griffith, Jens Rassweiler (1997). «Capítulo 23: Linfadenectomía pélvica extraperitoneal laparoscópica y disección de los vasos epigástricos antes de la revascularización peneana». Cirugía laparoscópica en Urología. España: Elsevier. p. 274. ISBN 8445804812. Consultado el 3 de abril de 2009.
- ↑ Punekar, S.V.; Prem, A.R.; Ridhorkar, V.R.; Deshmukh, H.L.; Kelkar, A.R. (1 de enero de 1996). «Post-surgical recurrent varicocele: efficacy of internal spermatic venography and steel-coil embolization». British Journal of Urology (en inglés) 77 (1): 124-128. ISSN 1464-410X. doi:10.1046/j.1464-410x.1996.82321.x. Consultado el 5 de abril de 2018.
- ↑ «Técnica de embolización». Archivado desde el original el 31 de marzo de 2010.
Enlaces externos
- Varicocele (en inglés) por eMedicine.
