Tinción de Papanicolaou

La tinción de Papanicolaou (tinción Pap) es una tinción citológica multicromática (multicoloreada) desarrollada por George Papanicolaou en 1942.[1][2][3] La tinción de Papanicolaou es una de las más ampliamente utilizas en citología,[1] donde se usa para ayudar a los patólogos a hacer un diagnóstico. A pesar de que es más conocida por su uso en la detección de cáncer cervical en la prueba de Papanicolaou o citología vaginal, también se usa como tinción en muestras no ginecológicas de una variedad de secreciones corporales y de biopsias de aguja fina de órganos y tejidos.[4][5] Papanicolaou publicó tres formulaciones de esta tinción en 1942, 1954, y 1960.[2]
Uso
La tinción de Papanicolaou suele diferenciar células en preparaciones de frotis (en los que las muestras están extendidas sobre un portaobjetos de vidrio)[6] de varias secreciones corporales y biopsias de aguja; los especímenes pueden incluir frotis ginecológicos (prueba de Papanicolaou ), esputo, cepillados, lavados, orina, líquido cefalorraquídeo,[4] líquido abdominal, líquido pleural, líquido sinovial, fluido seminal,[7] aspiraciones de aguja fina, muestras tumorales, u otras muestras que contienen células sueltas.[4][8][9]
La tinción de Papanicolaou esta plenamente estandarizada, existiendo varias formulaciones, que difieren en los tintes exactos utilizados, sus proporciones, y el tiempo del proceso.[1][2] Normalmente está asociada con citopatología donde las células examinadas están sueltas, pero la tinción también ha sido modificada y utilizada en trozos de tejido.[9]
Prueba de Papanicolaou
La tinción de Papanicolaou se utiliza en la citología vaginal (o prueba de Papanicolaou) y es una técnica fiable en el cribado de cáncer cervical en ginecología.[10]
Método generalizado de tinción
La forma clásica de la tinción de Papanicolaou implica cinco tintes en tres soluciones.[2][11][12]
- La primera solución de tinción contiene hematoxilina que tiñe los núcleos celulares.[2][10][12] Papanicolaou usó hematoxilina de Harris en las tres formulaciones de la tinción que publicó.[2]
- La segunda solución de tinción (denominada OG-6) contiene Orange G en alcohol etílico al 95% con una pequeña cantidad de ácido fosfotúngstico.[2][12] En el OG-6, el OG significa Orange G y el '6' denota la concentración de ácido fosfotúngstico añadido; otras variantes son OG-5 y OG-8).[2]
- La tercera solución de tinción está compuesta por tres tintes, Eosina Y, Verde claro SF y marrón Bismarck Y en alcohol etílico al 95% con una pequeña cantidad de ácido fosfotúngstico y carbonato de litio.[2][12] Esta solución, denominada EA, seguida de un número que indica la proporción de los colorantes, otras formulaciones incluyen EA-36, EA-50 y EA-65.[2]
Las contratinciones se disuelven en alcohol etílico al 95%, lo que evita que las células se tiñen demasiado, lo que oscurecería los detalles nucleares y los contornos de las células, especialmente en el caso de que las células se superponen en el portaobjetos.[2][3] Se agrega ácido fosfotúngstico para ajustar el pH de las contratinciones y ayuda a optimizar la intensidad del color.[2] La contratinción de EA contiene marrón Bismarck y ácido fosfotúngstico, que cuando se combinan, hacen que ambos se precipiten fuera de la solución, reduciendo la vida útil de la mezcla.[2]
Resultados
La tinción debería resultar en células que son tan transparentes que incluso las muestras gruesas donde se superponen las células pueden interpretarse.[2] Los núcleos celulares deben ser nítidos, de color azul a negro[12][13] y los patrones de cromatina del núcleo deben estar bien definidos. El citoplasma celular se tiñe de azul verdoso y la queratina se tiñe de naranja.[5][13]
La eosina Y tiñe las células escamosas epiteliales superficiales, los nucléolos, los cilios y los glóbulos rojos.[2] La tinción de Verde Claro SF tiñe el citoplasma de otras células, distintas de las células escamosas superficiales.[2] Las células superficiales son de color naranja a rosa, y las células intermedias son de color verde turquesa a azul.[12]
Tinción de Papanicolaou Ultrarrápida
La tinción Ultrarrápida de Papanicolaou es una alternativa para las muestras de aspiración con aguja fina, desarrollada para lograr una claridad visual comparable en un tiempo significativamente más corto. El proceso difiere en la rehidratación del frotis secado al aire con solución salina, el uso de formaldehído al 4% en un fijador de etanol al 65% y el uso de Hematoxylin-2 de Richard-Allan y Cyto-Stain, lo que da como resultado un proceso de 90 segundos que produce tinciones policromáticas transparentes.[14]
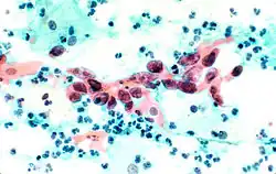
Ejemplos de tinción de Papanicolaou
|
Artículos de George N. Papanicolaou describiendo su tinción
- Papanicolaou, George N. "Un procedimiento nuevo para la tinción de frotis vaginal." Ciencia 95.2469 (1942): 438@–439.
- Papanicolaou, George N. "El método de frotis celular para diagnosticar el cáncer". Revista estadounidense de salud pública y salud nacional 38.2 (1948): 202-205.
- Papanicolaou, George N. "Atlas de citología exfoliativa". Publicado para el fondo de la Commonwealth por Harvard University Press. (1954).
- Papanicolaou, George N. "Memorando sobre tinción". Atlas de citología exfoliativa. Cambridge, MA: Harvard University Press, Suplemento II (1960): 12.
Véase también
- Tinción Diff-Quik— Romanowsky (método generalmente utilizado en citología)[15]
Referencias
- ↑ a b c Schulte, E. K. W. (1 de febrero de 1991). «Standardization of biological dyes and stains: pitfalls and possibilities». Histochemistry (en inglés) 95 (4): 319-328. ISSN 1432-119X. doi:10.1007/BF00266958. Consultado el 28 de octubre de 2020.
- ↑ a b c d e f g h i j k l m n ñ o Gill, Gary W. (2013). Gill, Gary W., ed. Cytopreparation: Principles & Practice. Essentials in Cytopathology (en inglés). Springer. pp. 143-189. ISBN 978-1-4614-4933-1. doi:10.1007/978-1-4614-4933-1_10. Consultado el 28 de octubre de 2020.
- ↑ a b Chantziantoniou, Nikolaos; Donnelly, Amber D.; Mukherjee, Maheswari; Boon, Mathilde E.; Austin, R. Marshall (2017). «Inception and Development of the Papanicolaou Stain Method». Acta Cytologica (en inglés) 61 (4-5): 266-280. ISSN 0001-5547. PMID 28384641. doi:10.1159/000457827. Consultado el 28 de octubre de 2020.
- ↑ a b c Kumar, Vinay, 1944-; Abbas, Abul K.; Aster, Jon C.; Robbins, Stanley L. (Stanley Leonard), 1915-2003. (2013). Robbins basic pathology (9th ed edición). Elsevier/Saunders. p. 910. ISBN 1-4377-1781-0. OCLC 759916378. Consultado el 28 de octubre de 2020.
- ↑ a b Carleton, H. M. (Harry Montgomerie); Wallington, E. A. (1980). Carleton's Histological technique. (5th ed. edición). Oxford University Press. p. 520. ISBN 0-19-261310-3. OCLC 6194502. Consultado el 28 de octubre de 2020.
- ↑ Stedman, Thomas Lathrop, 1853-1938. (2000). Stedman's medical dictionary. (27th ed edición). Lippincott Williams & Wilkins. ISBN 0-683-40007-X. OCLC 42772946. Consultado el 28 de octubre de 2020.
- ↑ Björndahl, Lars; Mortimer, David; Barratt, Christopher L. R.; Castilla, Jose Antonio; Menkveld, Roelof; Kvist, Ulrik; Alvarez, Juan G.; Haugen, Trine B. (1 de abril de 2010). A Practical Guide to Basic Laboratory Andrology (en inglés). Cambridge University Press. ISBN 978-1-139-48249-3. Consultado el 28 de octubre de 2020.
- ↑ «Journal of histotechnology: anatomy, histochemistry, microscopy, pathology : an official publ. of the National Society for Histotechnology.». Journal of histotechnology : anatomy, histochemistry, microscopy, pathology : an official publ. of the National Society for Histotechnology. (en inglés). 1977. ISSN 0147-8885. OCLC 643884537. Consultado el 28 de octubre de 2020.
- ↑ a b Preethi, S.; Sivapathasundharam, B. (26 de marzo de 2015). «Will modified Papanicolaou stain be the new stain for keratin?». Journal of Histotechnology 38 (1): 9-13. ISSN 0147-8885. doi:10.1179/2046023614Y.0000000053. Consultado el 28 de octubre de 2020.
- ↑ a b Ross, Michael H.,. Histology : a text and atlas : with correlated cell and molecular biology (Seventh edition edición). p. 984. ISBN 978-1-4511-8742-7. OCLC 885230777. Consultado el 28 de octubre de 2020.
- ↑ Carson, Freida L., 1926- (2009). Histotechnology. A self-instructional text (3rd ed edición). ASCP Press. p. 361-3363. ISBN 978-0-89189-581-7. OCLC 433693342. Consultado el 28 de octubre de 2020.
- ↑ a b c d e f Bancroft, John; Stevens, Alan, eds. (1982). The Theory and Practice of Histological Techniques (2nd ed.). Longman Group Limited.
- ↑ a b Dey, Pranab (2018). Dey, Pranab, ed. Basic and Advanced Laboratory Techniques in Histopathology and Cytology (en inglés). Springer. pp. 133-138. ISBN 978-981-10-8252-8. doi:10.1007/978-981-10-8252-8_14. Consultado el 28 de octubre de 2020.
- ↑ Yang, G. C.; Alvarez, I. I. (1995-01). «Ultrafast Papanicolaou stain. An alternative preparation for fine needle aspiration cytology». Acta Cytologica 39 (1): 55-60. ISSN 0001-5547. PMID 7531380. Consultado el 28 de octubre de 2020.
- ↑ Demay, Richard M. (2012). The art and science of cytopathology (2nd ed edición). Am Soc Clinical Pathology. p. 1505. ISBN 0-89189-644-9. OCLC 761848930. Consultado el 28 de octubre de 2020.
.jpg)
.jpg)
.jpg)

